Intraepithelial neoplasia

High grade anal intraepithelial neoplasia.

Progression of pancreatic intraepithelial neoplasia, including mutations.[1]

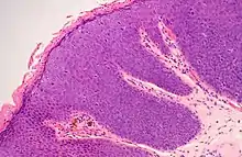
Cervical intraepithelial neoplasia (CIN), spanning a bit more than 2/3 of the thickness of the cervical epithelium.
Intraepithelial neoplasia (IEN) is the development of a benign neoplasia or high-grade dysplasia in an epithelium. The exact dividing line between dysplasia and neoplasia has been very difficult to draw throughout the era of medical science. It varies between persons. In the localizations shown below, the term intraepithelial neoplasia is used to describe more accurately what was historically referred to as epithelial dysplasia. IEN is not cancer, but it is associated with higher risk for developing cancer in future. It is thus sometimes a precancerous condition.
Localizations
| Localization | Usual acronym |
|---|---|
| anal intraepithelial neoplasia | AIN |
| biliary intraepithelial neoplasia | BILIN |
| cervical intraepithelial neoplasia | CIN |
| endometrial intraepithelial neoplasia | EIN |
| gastrointestinal intraepithelial neoplasia[2] | GIN |
| pancreatic intraepithelial neoplasia | PanIN |
| penile intraepithelial neoplasia | PEIN |
| prostatic intraepithelial neoplasia | PIN |
| vaginal intraepithelial neoplasia | VIN |
| vulvar intraepithelial neoplasia | VIN |
References
- ↑ Hackeng WM, Hruban RH, Offerhaus GJ, Brosens LA (2016). "Surgical and molecular pathology of pancreatic neoplasms". Diagn Pathol. 11 (1): 47. doi:10.1186/s13000-016-0497-z. PMC 4897815. PMID 27267993.
{{cite journal}}: CS1 maint: multiple names: authors list (link)
- "This article is distributed under the terms of the Creative Commons Attribution 4.0 International License (http://creativecommons.org/licenses/by/4.0/)"
- Image title and optimization: Mikael Häggström, M.D. - ↑ Schlemper, RJ; et al. (2000). "The Vienna classification of gastrointestinal epithelial neoplasia". Gut. 47 (2): 251–5. doi:10.1136/gut.47.2.251. PMC 1728018. PMID 10896917.
This article is issued from Wmcloud. The text is licensed under Creative Commons - Attribution - Sharealike. Additional terms may apply for the media files.