Oral irritated fibroma
| Irritation fibroma | |
|---|---|
| Other names: Oral fibroma, traumatic fibroma, focal fibrous hyperplasia | |
![]() | |
| Specialty | Gastroenterology |
| Symptoms | Small bump in the mouth[1] |
| Causes | Chronic irritation; cheek or lip biting, rubbing from a rough tooth or denture[1] |
An oral irritated fibroma is a type of angiofibroma that presents as a small |bump in the mouth.[1] It tends to be firm, smooth, and dome-shaped or pedunculated typically on the inside of a cheek.[1] It is usually the same color as the rest of the mouth lining, and may be ulcerated or rough and scaly.[1]
It is thought to be due to chronic irritation such as cheek or lip biting, or rubbing from a rough tooth or denture.[1]

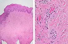
Histopathology of irritation fibroma. Low magnification (left) characteristically[2] shows a nonencapsulated nodular mass. High magnification (right) shows fibrous connective tissue with collagen bundles, and some blood vessels and fibroblasts.
References
- 1 2 3 4 5 6 "Oral irritated fibroma | DermNet NZ". dermnetnz.org. Archived from the original on 4 September 2022. Retrieved 27 April 2023.
- ↑ Molly Housley Smith, D.M.D. "Oral cavity & oropharynx - Soft tissue tumors & proliferations - Irritation fibroma". pathology Outlines. Topic Completed: 26 October 2020. Minor changes: 26 October 2020
This article is issued from Wmcloud. The text is licensed under Creative Commons - Attribution - Sharealike. Additional terms may apply for the media files.
.jpg.webp)