Nonbacterial thrombotic endocarditis
| Nonbacterial thrombotic endocarditis | |
|---|---|
| Other names: Marantic endocarditis[1] | |
![]() | |
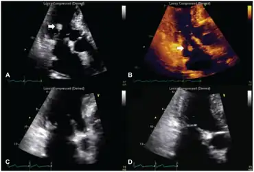
| a,b) Transthoracic echocardiography - NBTE arrow c.d) after anticoagulation therapy lesion practically disappeared | |
| Specialty | Cardiology |
| Symptoms | Typically no symptoms[1] |
| Complications | Stroke[1] |
| Causes | Platelet and fibrin emboli attached to heart valves[2] |
| Risk factors | Cancer[1] |
| Diagnostic method | Echocardiography[1] |
| Treatment | No effective treatment, anticoagulation[1] |
Nonbacterial thrombotic endocarditis (NBTE) is a form of inflammation of the heart in which small sterile vegetations are deposited on the valves.[3] There are typically no symptoms, but has the possibility of presenting with symptoms of stroke.[1]
It is caused by small platelet and fibrin emboli attached to the heart valves.[2]
Diagnosis may be made by echocardiography; however not all emboli are obvious.[1] There is no effective treatment, but anticoagulation is often used.[1]
Around one in five people with a cancer have a non-infective emboli on a mitral or aortic valve.[1] The condition was first identified in 1888 by Zeigler.[3]
Signs and symptoms
There are typically no symptoms, but has the possibility of presenting with symptoms of stroke.[1]
Risk factors
The vegetations are often associated with previous rheumatic fever. Other risk factors include:
- hypercoagulable states
- malignant cancers, especially mucin-producing adenocarcinomas (most commonly associated with pancreatic adenocarcinomas)
- systemic lupus erythematosus: Referred to as Libman-Sacks endocarditis
- trauma (e.g., catheters)
Histopathology
Grossly, vegetations form along lines of valve closure and are generally symmetric with a smooth or warty texture.[1] Histologically, lesions are composed of fibrin (eosinophilic) and platelets but, unlike bacterial etiologies, contain little evidence of PMNs, microorganisms or inflammation.
Diagnosis
Due to the non-invasive nature of NBTE, clinical examination may or may not reveal a new murmur. An embolic stroke may be the first feature to suggest diagnosis of NBTE.[1] An echocardiograph may be used to further assess for valvular lesions.[1]
Treatment
There is no effective treatment, but anticoagulation is often used.[1]
Epidemiology
Around one in five people with a cancer have a non-infective emboli on a mitral or aortic valve.[1]
History
It was formerly known as marantic endocarditis, which comes from the Greek marantikos, meaning "wasting away".[4] The condition was first identified in 1888 by Zeigler.[3]
References
- 1 2 3 4 5 6 7 8 9 10 11 12 13 14 15 16 McKenna, William J.; Elliott, Perry M. (2020). "54. Diseases of the myocardium and endocardium". In Goldman, Lee; Schafer, Andrew I. (eds.). Goldman-Cecil Medicine. Vol. 1 (26th ed.). Philadelphia: Elsevier. p. 312. ISBN 978-0-323-55087-1. Archived from the original on 2022-11-12. Retrieved 2022-11-05.
- 1 2 "Noninfective Endocarditis - Cardiovascular Disorders". Merck Manuals Professional Edition. Archived from the original on 22 April 2021. Retrieved 26 October 2021.
- 1 2 3 Langston, Matthew C.; Zack, Chad J.; Fender, Erin Amanda (26 September 2022). "Non-bacterial thrombotic endocarditis: manifestations and diagnosis in the age of echocardiography". Heart (British Cardiac Society). 108 (20): 1590–1591. doi:10.1136/heartjnl-2022-321223. ISSN 1468-201X. PMID 35609961. Archived from the original on 25 May 2022. Retrieved 5 November 2022.
- ↑ Neurological Sequelae of Infectious Endocarditis at eMedicine
External links
| Classification | |
|---|---|
| External resources |
