Placental site trophoblastic tumor
| Placental site trophoblastic tumor | |
|---|---|
![]() | |
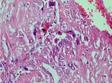
| Photomicrograph showing proliferating intermediate trophoblast with scarce cytotophoblastic and syncytiotrophoblastic elements | |
| Specialty | Oncology, obstetrics |
Placental site trophoblastic tumor is a form of gestational trophoblastic disease, which is thought to arise from intermediate trophoblast.[1]
The tumor may secrete human placental lactogen,[2] and result in a false-positive pregnancy test.[3]
A placental site trophoblastic tumor is a monophasic neoplasm of the implantation site intermediate trophoblast, and usually a benign lesion, which comprises less than 2% of all gestational trophoblastic proliferations. Preceding conditions include molar pregnancy (5%). Compared to choriocarcinoma or invasive mole, hemorrhage is less conspicuous and serum β-HCG level is low, making early diagnosis difficult.
Immunohistochemistry: Often stains with hPL, keratin, Mel-CAM, EGFR.
Treatment
Because chemotherapy is ineffective; the patient should undergo hysterectomy.
Prognosis
10–20% of cases metastasize leading to death.
References
- ↑ Shih IM, Kurman RJ (January 2001). "The pathology of intermediate trophoblastic tumors and tumor-like lesions". International Journal of Gynecological Pathology. 20 (1): 31–47. doi:10.1097/00004347-200101000-00004. PMID 11192071.
- ↑ "Question 1". Examinations in Organ System Pathology. Archived from the original on 6 April 2010.
- ↑ Whitney KA (December 2009). "Placental site trophoblastic tumor". The American Journal of Nursing. 109 (12): 32–7, quiz 38. doi:10.1097/01.NAJ.0000365176.62954.11. PMID 19935163. S2CID 5535092.
