Poland syndrome
| Poland syndrome | |
|---|---|
| Other names: Poland's syndrome, Poland's syndactyly, Poland sequence, Poland's anomaly, unilateral defect of pectoralis major and syndactyly of the hand[1] | |
![]() | |
| Missing right breast and right pectoralis major muscle in Poland syndrome[2] | |
| Specialty | Medical genetics |
| Symptoms | Underdeveloped chest muscle and short webbed fingers on one side[3][1] |
| Usual onset | At birth[1] |
| Causes | Unknown[1] |
| Diagnostic method | Based on symptoms[4] |
| Differential diagnosis | Moebius syndrome, Hanhart syndrome[4] |
| Treatment | Surgical correction[3] |
| Frequency | 1 in 20,000 newborns[1] |
Poland syndrome is a birth defect characterized by an underdeveloped chest muscle and short webbed fingers on one side of the body.[3][1] Short ribs, less fat, and breast and nipple abnormalities may also occur on that side.[1] Typically the right side is involved.[3] People generally have normal movement and health.[1]
The cause is unknown.[1] One theory is that it is due to disruption of blood flow during development before birth.[1] The condition is generally not inherited from a person's parents.[1] No genes that contribute to the disorder have been identified.[1] Diagnosis is based on symptoms.[4] Often people remain undiagnosed and some may not realize they are affected until puberty.[3]
Treatment depends on the severity and may include surgical correction.[3] About 1 in 20,000 newborns are affected.[1] Males are affected twice as often as females.[1] It is named after Alfred Poland who described the condition when he was a student in 1841.[4][5]
Signs and symptoms
A list of the common side effects broken down by frequency.[3]
Very frequent
- Abnormal gastrointestinal tract
- Absent pectoral muscles
- Brachydactyly (Short fingers)
- Dextrocardia
- Diaphragmatic hernia/defect
- Humerus absent/abnormal
- Liver/biliary tract anomalies
- Maternal diabetes
- Oligodactyly/missing fingers
- Radius absent/abnormal
- Rhizomelic micromelia (relatively shorter proximal segment of the limbs compared to the middle and the distal segments)
- Sparsity or abnormality of axillary hair on affected side
- Syndactyly of fingers (webbing)
- Ulna absent/abnormal
- Upper limb asymmetry
- Abnormal rib
- Simian crease on affected side
Frequent
- Hypoplastic/absent nipples
- Scapula anomaly
Occasional
- Agenesis/hypoplasia of kidneys
- Encephalocele/exencephaly
- Abnormal morphology of hypothalamic-hypophyseal axis
- Abnormal function of hypothalamic-hypophyseal axis
- Microcephaly
- Preaxial polydactyly
- Ureteric anomalies (reflux/duplex system)
- Vertebral segmentation anomaly
It is usually considered a unilateral condition. Some have claimed that the term can be applied in bilateral presentation,[6] but others recommend using alternate terminology in those cases.[1]
Scapula is displaced medially and superiorly
Right hand symbrachydactyly in Poland syndrome[2]
Male with Poland syndrome showing absent left pectoral
Causes
The cause of Poland syndrome is unknown. However, an interruption of the embryonic blood supply to the arteries that lie under the collarbone (subclavian arteries) at about the 46th day of embryonic development is the prevailing theory.[7]
The subclavian arteries normally supply blood to embryonic tissues that give rise to the chest wall and hand. Variations in the site and extent of the disruption may explain the range of signs and symptoms that occur in Poland syndrome. Abnormality of an embryonic structure called the apical ectodermal ridge, which helps direct early limb development, may also be involved in this disorder.[8]
Diagnosis


Poland syndrome is usually diagnosed at birth, based upon the physical characteristics. Imaging techniques such as a CT scan may reveal the extent to which the muscles are affected.[9] The syndrome varies in severity and as such is often not reported until puberty, when lopsided growth becomes apparent.[10]
Treatment
Technique
The complete or partial absence of the pectoralis muscle is the malformation that defines Poland syndrome. It can be treated by inserting a custom implant designed by CAD (computer aided design).[11] A 3D reconstruction of the patient's chest is performed from a medical scanner to design a virtual implant perfectly adapted to the anatomy of each one.[12] The implant is made of medical silicone unbreakable rubber. This treatment is purely cosmetic and does not make up for the patient's imbalanced upper body strength.
The Poland syndrome malformations being morphological, correction by custom implant is a first-line treatment.[13] This technique allows a wide variety of patients to be treated with good outcomes. Poland Syndrome can be associated with bones, subcutaneous and mammary atrophy: if the first, as for pectus excavatum, is successfully corrected by a custom implant, the others can require surgical intervention such as lipofilling or silicone breast implant, in a second operation.
Surgery
The surgery takes place under general anaesthesia and lasts less than 1 hour. The surgeon prepares the locus to the size of the implant after performing an 8-cm axillary incision and inserts the implant beneath the skin. The closure is made in two planes.
The implant will replace the pectoralis major muscle, thus enabling the thorax to be symmetrical and, in women, the breast as well. If necessary, especially in the case of women, a second operation will complement the result by the implantation of a breast implant and / or lipofilling.
Lipomodelling is progressively used in the correction of breast and chest wall deformities. In Poland syndrome, this technique appears to be a major advance that will probably revolutionize the treatment of severe cases. This is mainly due to its ability to achieve previously unachievable quality of reconstruction with minimal scarring.[14]
Epidemiology
Poland syndrome affects males three times as often as females and affects the right side of the body twice as often as the left.[15] The incidence is estimated to range from one in 7,000 to one in 100,000 live births.[16]
History

It was first named in 1962 by Patrick Clarkson, a New Zealand-born British plastic surgeon working at Guy's Hospital and Queen Mary's Hospital, London. He noticed that three of his patients had both a hand deformity and an underdeveloped breast on the same side. He discussed this with his colleague at Guy's Hospital, Dr Philip Evans, who agreed that the syndrome was "not widely appreciated". Clarkson found a reference to a similar deformity published by Alfred Poland, over a hundred years earlier in Guy's Hospital reports, in 1841.[17] Clarkson was able to find the hand specimen dissected by Poland, which was still held in the hospital pathology museum.
Poland had dissected a convict known as George Elt, who was said to be unable to draw his hand across his chest. Poland noted the chest wall deformity, and this was illustrated in his article; the hand was also dissected and preserved for posterity in Guy's Hospital museum where it remains today. It cannot be truly said that Poland described this syndrome because he only described one isolated case. Clarkson published his series of three cases and named the syndrome after Poland in his article.[18] According to the National Institute of Healh, Poland Syndrome affects 1 in 20,000 newborns (more males than females).[19]
Notable cases
- TV presenter Jeremy Beadle (1948–2008) was known for having this condition. His Poland syndrome manifested itself in the form of his disproportionately small right hand.[20]
- Olympic boxer Jérôme Thomas is also affected by Poland syndrome, as his left arm and hand are significantly shorter and smaller than his right. Thomas also lacks a left pectoral muscle.
- PGA Tour golfer Bryce Molder has Poland syndrome, with an absent left pectoral muscle and a small left hand. Several surgeries in his childhood repaired syndactyly on the left hand.[21]
- Actor Ted Danson, famous for starring in the TV show Cheers, admitted he had the condition in 2000 to Orange Coast magazine and said that he was bullied as a child because of it.[22]
- Formula One World Champion Fernando Alonso is affected by Poland syndrome; he is missing the right pectoral muscle.[23]
- Cricketer Lewis Hatchett was born with Poland syndrome.[24]
- Australian Paralympian Mathew Silcocks is affected by Poland syndrome.[25]
- Hailey Dawson of Nevada (born 2010) has a missing right pectoral muscle and is missing three fingers on her right hand due to the condition. She has thrown out the ceremonial first pitch at all 30 Major League Baseball parks, using a 3D-printed robotic right hand fitted for her by engineers at the University of Nevada, Las Vegas. [26][27][28]
References
- 1 2 3 4 5 6 7 8 9 10 11 12 13 14 15 Reference, Genetics Home (9 October 2018). "Poland syndrome". Genetics Home Reference. Archived from the original on 14 October 2018. Retrieved 16 October 2018.
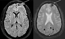
- 1 2 3 Lizarraga, Karlo J; De Salles, Antonio AF (20 September 2011). "Multiple cavernous malformations presenting in a patient with Poland syndrome: A case report". Journal of Medical Case Reports. 5 (1): 469. doi:10.1186/1752-1947-5-469. PMC 3195104. PMID 21933407.
- 1 2 3 4 5 6 7 "Poland syndrome". Genetic and Rare Diseases Information Center (GARD) – an NCATS Program. 2016. Archived from the original on 16 October 2018. Retrieved 16 October 2018.
- 1 2 3 4 "Poland Syndrome". NORD (National Organization for Rare Disorders). 2007. Archived from the original on 26 August 2018. Retrieved 16 October 2018.
- ↑ Weinzweig, Jeffrey (2010). Plastic Surgery Secrets Plus E-Book. Elsevier Health Sciences. p. 774. ISBN 978-0323085908. Archived from the original on 2018-10-16. Retrieved 2018-10-16.
- ↑ Karnak I., Tanyel F. C., Tunçbilek E., Unsal M., Büyükpamukçu N. (February 1998). "Bilateral Poland anomaly". Am. J. Med. Genet. 75 (5): 505–07. doi:10.1002/(SICI)1096-8628(19980217)75:5<505::AID-AJMG9>3.0.CO;2-L. PMID 9489794.
{{cite journal}}: CS1 maint: uses authors parameter (link) - ↑ Poullin P., Toussirot E., Schiano A., Serratrice G. (1992). "[Complete and dissociated forms of Poland's syndrome (5 cases)]". Rev Rhum Mal Osteoartic. 59 (2): 114–20. PMID 1604222.
{{cite journal}}: CS1 maint: uses authors parameter (link) - ↑ "Poland Syndrome". Genetics Home Reference. Archived from the original on 13 December 2014. Retrieved 12 December 2014.
- ↑ "Poland Syndrome - NORD (National Organization for Rare Disorders)". NORD (National Organization for Rare Disorders). Archived from the original on 2018-08-26. Retrieved 2018-03-18.
- ↑ "Poland syndrome | Genetic and Rare Diseases Information Center (GARD) – an NCATS Program". rarediseases.info.nih.gov. Archived from the original on 2018-10-16. Retrieved 2018-03-18.
- ↑ J.-P. Chavoin; A. André; E. Bozonnet; A. Teisseyre; J. Arrue; B. Moreno; D. Glangloff; J-.L. Grolleau; I. Garrido (2010). "Mammary implant selection or chest implants fabrication with computer help". Annales de Chirurgie Plastique Esthétique. 55: 471–480. Archived from the original on 2016-03-12.
- ↑ "Pectus Excavatum & Poland Syndrome treatment". AnatomikModeling. Archived from the original on 2019-05-01. Retrieved 2019-05-01.
- ↑ Chichery A.; Jalbert F.; Foucras L.; Grolleau J.-L.; Chavoin J.-P. (2006). "Syndrome de Poland". EMC - Techniques Chirurgicales - Chirurgie Plastique Reconstructrice et Esthétique. 1 (3): 1–17. doi:10.1016/S1286-9325(06)44494-0. Archived from the original on 2016-03-12.
- ↑ Emmanuel Delay, Libor Streit, Gilles Toussoun, Sophie La Marca, C. Ho Quoc. (January 2013). "Lipomodelling: An important advance in breast surgery". Acta Chirurgiae Plasticae. 55 (2): 34–43. PMID 24467681. Archived from the original on 2021-08-28. Retrieved 2017-10-02 – via ResearchGate.
{{cite journal}}: CS1 maint: multiple names: authors list (link) - ↑ "Learning about Poland Anomaly". Archived from the original on 2018-06-25. Retrieved 2007-02-09.
- ↑ Fokin A, Robicsek F (2002). "Poland's syndrome revisited". Ann Thorac Surg. 74 (6): 2218–25. doi:10.1016/S0003-4975(02)04161-9. PMID 12643435.
- ↑ Poland A. (1841). "Deficiency of the pectoral muscles". Guy's Hospital Reports. VI: 191–193. Archived from the original on 2021-08-28. Retrieved 2019-01-24. "Plate". Archived from the original on 2021-08-28. Retrieved 2019-01-24.
{{cite journal}}: Cite journal requires|journal=(help) - ↑ Clarkson P. (1962). "Poland's syndactyly". Guys Hosp Rep. 111: 335–46. PMID 14021589.
- ↑ "Meet the pint-sized baseball fan throwing out first pitches at every MLB stadium in America: Hailey Dawson, 8, is pitching with a ROBOTIC HAND made by a 3D printer after being born with a rare syndrome". www.msn.com. Archived from the original on 2018-07-13. Retrieved 2018-07-13.
- ↑ Burt, Jennifer (1997-10-20). "Jeremy is a role model for children". Leicester (UK) Mercury.
- ↑ "Bryce Molder". PGA Tour. Archived from the original on January 6, 2011. Retrieved 6 Jan 2011.
- ↑ Communications, Emmis (1 May 2000). "Orange Coast Magazine". Emmis Communications. Archived from the original on 26 July 2018. Retrieved 25 July 2018 – via Google Books.
- ↑ "Poland Syndrome". Dovemed. Archived from the original on 11 April 2016. Retrieved 31 March 2016.
- ↑ "Hatchett retires after defying the odds". ESPN Cricinfo. 2016-09-24. Archived from the original on 2016-09-25. Retrieved 24 September 2016.
- ↑ "Mathew Silcocks | APC Corporate". Archived from the original on 12 July 2012.
- ↑ "9-Year-Old Hailey Dawson Throws Out First Pitch At Camden Yards After Completing 'Journey To 30'". WJZ-TV. August 2, 2019. Archived from the original on August 3, 2019. Retrieved October 3, 2019.
- ↑ Footer, Alyson (October 28, 2017). "Girl with robotic hand throws inspiring first pitch". MLB.com. Archived from the original on June 23, 2018. Retrieved July 1, 2018.
- ↑ Bella, Cheryl (March 15, 2018). "Young Baseball Fan Starts 'Journey to 30' with Pitch for Padres". University of Nevada, Las Vegas. Archived from the original on July 4, 2018. Retrieved July 1, 2018.
External links
| Classification | |
|---|---|
| External resources |
|
