< Medical Physiology < Gastrointestinal Physiology

Secretions in the GI tract

About 10 liters of fluid pass through the gastrointestinal system each day, and only about 2 liters are ingested, the rest represent secretions from the system itself. About half, 3.5, liters is secreted from the exocrine glands, the salivary glands, the stomach and the liver, the other half is secreted by the epithelial cells of the of the digestive tract it self. Nearly all this fluid is absorbed, so the pellets of feces only contain a significant amount of fluid in diarrhea.

To put this in perspective a 70 Kilogram man has about 42 liters of fluid, so the secretions represent about a sixth of the body's volume. The circulation contains about 3.5 liters, so these secretions represent twice the body's circulating volume. Failures of absorption of the intestinal secretions can thus lead to rapid dehydration and electrolyte imbalance.

The secretions consist of digestive enzymes, mucous and substantial amounts of fluid and ions.

Daily VolumepH
Saliva10006.0 - 7.0
Stomach15001.0 - 3.0
Brunners Glands (duodenum)2008.0 - 9.0
Pancreas1000-15008.0 - 8.3
Bile10007.8
Small Intestine18007.5 - 8.0
Large Intestine2007.5 - 8.0
Total
6700-7200

Types of glands

Several different types of gland are found in the GI Tract:

  • Single cell mucous glands and goblet cells.
  • Pit glands. Invaginations of the epithelia into the submucosa. In the small intestine these are called Crypts of Lieberkuhn.
  • Deep tubular glands. These are found in the stomach - the gastric glands, and the upper duodenum - Brunners glands.
  • Complex glands, the salivary glands, the pancreas, and the liver. The salivary glands and the pancreas are compound acinous glands.

Mechanisms of stimulation

Stimulation occurs due to local effects; autonomic stimulation; and hormones

Local effects

The mechanical presence of food causes stimulation not only locally but also adjacent regions. This may either be a direct effect, or via. the enteric nervous system.

Autonomic stimulation

Stimulation of parasympathetic nerves invariably serve to increase secretion. Stimulation of sympathetic nerves may increase some secretions, but usually diminishes blood flow, which will usually decrease overall secretion.

Hormones

Several different hormones affect secretions. They will be looked at in the regional review of secretions.

Digestive Enzymes

Digestive enzymes are secreted by glandular cells which will store the enzyme in secretory vesicles until they are ready to be released. These cells are characterised by a robust rough endoplastic reticulum and numerous mitochondria. Passage of materials from the ribosomes, through the endoplasmic reticulum and Golgi body to the secretory vesicles takes about 20 minutes.

Note the presence of nerve fibers on the basal side of the cell.

Water & Electrolyte secretions

Glandular secretions must also secrete water and electrolytes to go along with the organic substances. The following illustration shows the most likely mechanism for this.

  • In its resting state the membrane resting potential is about -30-40 mV
  • Neural stimulation causes an influx of -ve chloride ions decreasing resting potential by 10-20 mV
  • Sodium ions follow down the electrical gradient. Cell contents become hyper osmotic.
  • Water follows. Intracellular pressure increases
  • Increased pressure opens ports on apical side of cell flushing water and electrolytes

Micro electrode studies indicate that the whole process lasts about a second!

Digestive Enzymes of the GI tract

The following table shows a summary of the digestive enzymes of the GI tract:

LocationEnzyme NameAction
Salivary Glands Amylase
Lingual Lipase
Starch
Triglycerides (limited action)
Stomach Pepsin (pepsinogen)
Gastric Lipase

Proteins
Triglycerides

Pancreas Amylase

Lipase & Colipase
Phospholipase
Trypsin(Tripsinogen)
Chymotripsin(Chymotripsinogen)

Starch
Triglycerides
Phospholipids
Peptides
Peptides

Intestinal Epithelium

Enterokinase
Disaccharidases
   Sucrase
   Maltase
   Lactase
Peptidases
   Endopeptidases
   Exopeptidases
      Aminopeptidase
      Carboxypeptidase

Activates Trypsin
Disaccharides
   Sucrose
   Maltose
   Lactose
Peptides
   Interior peptide bonds
   Terminal peptide bonds
      Amide end of of peptide
      Cobxyl end of peptide

Note that in both the stomach and the Pancreas the protein digesting enzymes are secreted in non-active forms - pepsinogen in the stomach and Tripsinogen and Chymotripsinogen in the pancreas. This is to prevent autodigestion. They are then activated in the lumen, in the case of Tripsinogen and Chymotripsinogen these are activated by the small intestine enzyme enterokinase.

Digestive Hormones of the Gastrointestinal tract

Numerous hormones are secreted by the Gastrointestinal system. Here is a summary of the most important hormones secreted by the gut.

HormoneSecreted by:Target(s)Releasing stimuliActions
GastrinG cells of StomachHistamine secreting and parietal cells of stomachPeptides in lumenIncreases acid secretion in stomach and gastric motility
Cholecystokinin (CCK)Endocrine cells of small intestinegall bladder; pancreas; gastric musclepartially digested proteins and fatty acids in duodenumgallbladder contraction; inhibits gastric emptying; stimulates secretion of Pancreatic Enzymes
SecretinEndocrine cells of small intestinePancreas; stomachAcid and partially digested proteins and fatty acids in duodenum and small intestineStimulates bicarbonate secretion and pepsin release; inhibits gastric acid secretion, bile ejection
MotilinEndocrine cells of upper small intestineSmooth muscle of Antrum and duodenumFastingStimulates gastric contractions (hunger pangs)

Secretin is of particular historical interest as it was the first hormone discovered in 1902

Mucus Secreting Cells

Mucous is a viscous secretion used for protection and lubrication. It consists mainly of Glycoproteins. It is made by mucous cells in the stomach and Goblet cells in the small intestine. Up to 25% of the intestinal epithelial cells are goblet cells.In the mouth about 70% of the mucous is secreted by the minor salivary glands.

Mucous has the following properties:

  • Adherent properties, it sticks well to surfaces
  • Enough body to prevent contact of most food particles with tissue
  • Lubricates well - has a low resistance to slippage
  • Strongly resistant to digestive enzymes
  • Neutralizing properties. As well as a buffer like effect, mucous can also contain large quantities of bicarbonate.
Blue staining Goblet cells

Control of secretion is by a variety of neuropeptides in the enteric nervous system; parasympathetic innervation; and cytokines from the immune system.

Transverse section of Villus showing goblet cells

Electrolytes and Fluids

A large portion of the 7 liters is composed of water and ions. The ionic composition varies from region to region.

  • The acini of the salivary glands secrete a sodium and chloride rich secretion, this is then turned to a potassium, bicarbonate rich secretion as it travels down the lumen and ducts of the glands
  • The Oxyntic cells of the stomach secret Hydrochloric acid
  • The mucous cells of the stomach secrete a mucous rich in bicarbonates
  • The pancreatic ducts and ductules secrete a solution rich in bicarbonate
  • the Crypts of Liberkuhn of the small intestine secrete a solution almost indistinguishable from interstitial fluid.


Mouth

The Salivary glands consist of the parotid, submandibular, and sublingual glands as well as numerous smaller buccal glands secreting both serous and mucoid secretions. The parotid secretions are mainly serous, the buccal glands mucus, and the sublingual and submandibular are a mixture of the two. The acini secrete proteins and a fluid similar in consistency to interstitial fluid, and the ducts exchange the sodium for potassium and Bicarbonate for chlorine leaving saliva that is rich in Potassium and bicarbonate ions.

The glands secrete between 800-1500 mls a day

Salivary Glands, From Grays Anatomy

The sodium ions are actively reabsorbed, and the potassium ions are actively secreted at the luminal side of the cell with an excess of sodium reabsorbtion causing a -70mV gradient. This causes passive reabsorbtion of chlorine ions. Bicarbonate ions are both passively exchanged , and actively secreted in exchange for chlorine. This is illustrated in the diagram below.


The saliva contains the enzyme Ptyalin, an amylase for breaking down carbohydrates as well as a lipase.

Anti-bacterial action of Saliva

The mouth contains numerous bacteria, and an important function of saliva is oral hygine. The saliva contains thiocyanate, a potent antibacterial. The lipase in the saliva will also breakdown bacteria cell walls and facilitates the passage of thiocyanate into the bacteria.

The lipase in fact is not very important for the digestion of food, most fat digestion occours with the pancreatic enzymes, but is important in its anti-bacterial and oral hygiene role.

Regulation of Salivary Secretion

Salivation is controlled via the parasympathetic system from the salivary nuclei in the brain stem. Factors that induce salivation include:

  • Taste stimuli, especially sour taste
  • Higher centers especially appetite anticipation, smells and visual clues
  • In response to signals from the stomach and upper GI tract, particularly irritating stimuli. Salivation can also occour as a prelude to vomiting.

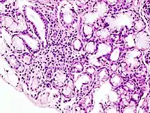
Clinical Note - Sjögren's syndrome

Histopathologic image of focal lymphoid infiltration in the minor salivary gland associated with Sjögren syndrome. Lip biopsy. H & E stain

Sjögren's syndrome is an auto immune disorder where immune cells attack the salivary and tear glands. This can play havoc with oral hygiene and lead to rampant caries.

[See Wikipedia Sjogrens Syndrome]

Link to Histology Slide at University of Ottawa

Esophagus

Esophageal secretions are entirely mucous in character, and assist passage of food as well as protecting the lower end of the esophagus from gastric reflux.

Stomach

The adult stomach secretes about 1500 cc in a normal day consisting of hydrochloric acid, bicarbonate rich mucous, and the digestive hormone precursor pepsinogen. Pepsinogen is activated to its active form pepsin by the acidity of the stomach. G cells also secrete the hormone gastrin.

The gastric pits of the stomach open on to branching glands: pyloric glands in the antral part of the stomach; gastric or oxyntic (acid forming) glands in the fundus and body of the stomach. A schematic diagram of an oxcyntic gland is shown here (see also anatomy).

The parietal or oxcyntic cells secrete hydrochloric acid; the peptic or chief cells secrete pepsinogen; the mucous cells secrete a bicarbonate rich mucous; and the G cells (found only in the antral glands) secrete the hormone Gastrin.

Hydrochloric Acid secretion

The oxcyntic or parietal cell contains a large number of of intracellular canaliculi shown schematically here:

The pH of the secreted acid is about 0.8, and has a hydrogen ion concentration of about 3 million times that of arterial blood. To achieve this level of concentration requires a lot of energy, about 1500 calories per liter of secretion. The mechanism of hydrogen ion formation is illustrated schematically here.

  • Carbon dioxide and water enter the cell and combine to form carbonic acid under the influence of the enzyme carbonic anhydrase.
  • Bicarbonate is actively excreted at the basal side of the cell and is exchanged for chlorine.
  • Potassium is exchanged for hydrogen ions at the apical side of the cell
  • Chlorine ions (not shown in diag.) are also actively secreted.

Clinical Note: Intrinsic factor and Pernicious anaemia

The oxcyntic or parietal cells also secrete intrinsic factor, a substance essential for the absorption of Vitamin B12 in the small intestine. In chronic gastritis, this may not be secreted, and the medical condition pernicious anaemia will develop.

Bicarbonate Rich Mucous Secretion

Mucous secretion rich in alkaline bicarbonate protects the stomach from the Hydrochloric acid of the gastric juice.

Bicarbonate ions are generated by the mechanism illustrated below:

  • Carbon dioxide and water enter the cell and combine to form carbonic acid under the influence of the enzyme carbonic anhydrase.
  • Hydrogen ions are actively secreted on the basal side of the cell in exchange for sodium.
  • Bicabonate ions are actively secreted on the apical or lumen side of the cell in exchange for chlorine

Secretion and Activation of Pepsinogen

Pepsinogen is secreted by the peptic or chief cells of the gland.

When first secreted pepsinogen is inactive, but contact with acid converts it to the active form pepsin by splitting the pepsinogen molecule. Pepsin functions best at a pH between 1.8 and 3.5

Stimulation of Gastric Acid secretion.

The Oxcyntic cells function in close association with histamine producing cells called enterochromaffin-like cells (ECL) which secrete histamin. These cells release histamin in direct contact with the oxcyntic glands and promote the secretion of HCl. The activation of this complex is under hormonal (Gastrin) and nervous control.

  • Gastrin, secreted by the G cells in the antrum of the stomach in response to the presence of protein is the most potent stimulator of the Histamine/Acid complex. The gastrin is not only carried by the blood stream, but is also carried directly into the lumens of the gastric pits an has a direct stimulating action.
  • The Histamin/HCl complex is also activated by acetylcholine released by the vagus nerve
  • Other substances also control Acid secretion, mainly through their action on Gastrin production.

Inhibition of Gastric Acid secretion.

Factors which slow stomach emptying, which was discussed when considering motility will also reduce gastin production and hence Acid secretion.

Regulation of Pepsinogen Secretion

Pepsinogen secretion occours in response to two signals:

  • Acetylcholine release from the vagus nerve
  • stimulation of peptic cell secretion in response to acid in the stomach, probably not directly but through the enteric nervous system

Small Intestine

The upper small intestine secretes the hormones Cholecystokinase and secretin, mucous, Intestinal digestive juices, and possibly enzymes. The Digestive enzymes are secreted by the small intestine at a rate of about 1800 ccs a day. The pH of the small intestine secretions averages 7.5 to 8.0.

Hormone Secretion

Cholecystokinin (CCK)is secreted in response to fats and peptides in the upper small intestines, particularly the duodenum. Actions of CCK include:

  • Secretion of Pancreatic Enzymes
  • Contraction of Gallbladder
  • Relaxation of the sphincter of Oddi
  • increased tension in the pyloric sphincter, inhibiting stomach emptying

Secretin is released in response to the presence of Acid in the duodenum. Actions of Secretin include:

  • Secretion of Copious amounts of bicarbonate rich fluid by the biliary and gall bladder ducts
  • Secretion of alkaline rich mucous by Brunners glands
  • increased tension in the pyloric sphincter, inhibiting stomach emptying

Brunner's Glands

The first few centimeters of the Duodenum, between the pylorus of the stomach and the Ampulla of Vater, contain numerous compound mucous glands called Brunner's Glands. These secrete an Alkaline rich mucous - pH between 8.0 & 8.9 - in response to various stimuli:

  • Local irritation and the presence of Acid
  • Vagal Stimulation
  • Gastrointestinal hormones, particularly secretin.

The mechanism for secreting the alkaline rich mucous is similar to that already discussed for the stomach.


Clinical Note - Peptic Ulcers

Gastric and duodenal ulcers are due mainly to the breakdown of the protective barrier of alkaline mucous.

The following factors have been identified as causes:

  • Non Steroidal Anti-inflamatory Drugs (NSAIDs).
  • The bacteria Heliobacter Pylori.
  • Excess acid secretion which can over whelm the defences. This can occour particularly in Zollinger-Ellison syndrome, caused by benign gastrin secreting tumors which may develop in the stomach or duodenum.

It is of interest that Brunner Cell secretion is inhibited by sympathetic stimulation, thus this may be a connection between the 'hyper' personality and their disposition to duodenal ulcers. Less mucous may be secreted making the duodenum more vulnerable to stomach acid and stomach pepsin.

Crypts of Lieberkuhn

These are located over the entire surface of the small intestine adjacent to the villi. They secrete a copious solution almost identical to interstitial fluid. The mechanism for secretion is not well understood but one hypothesis is illustrated here which differs only slightly from the hypothesis described earlier:

Sodium and chlorine ions are pumped into the cell; water follows by osmosis; the chlorine ions are actively pumped into the lumen; water and sodium follows from the cell itself or possibly passes through 'leaky' tight junctions.

Mucous Cells

The villi are covered with goblet cells. About a quarter to a half of the villi cells are mucous producing.

Enzyme Secretion

Small intestine secretions that are free of cellular debris contains almost no enzymes! Thus the enzymes are either secluded within the cell, or possibly they are attached to the brush border. In any case they are not flushed down the lumen, and they remain local.

Regulation of Small Intestine Secretions

Secretions are produced almost entirely from local enteric nervous reflexes in response to local stimuli.

Pancreas

Anatomiical relations of pancreas
Islet of Langerhans surrounded by Acini
showing relationship of Islet of Langerhans and exocrine gland

The pancreas is a large endocrine and exocrine gland situated retroperitonealy beneath the stomach. The endocrine portion of the gland secretes Insulin and glucagon from the Islets of Langerhans (see thumbnail of histology). This function of the pancreas will be looked at else where. The microscopic structure of the pancras is similar to the salivary glands, the acini secrete enzymes, and the ductules and ducts secrete large quantities of a bicarbonate rich juice. These travel down the pancreatic duct to the second part of the duodenum where it exits via the Ampulla of Vater, protected by the Sphincter of Oddi.

Enzymes secreted by the acini include proteolytic enzymes, amylases and lipases. The proteolytic enzymes are all secreted in an inactive form to prevent auto-digestion(see below).


Pancreatic Digestive Enzymes

The following table summarizes the digestive enzymes secreted by the pancreas:

GroupEnzymesSubstrates
Carbohydrates and Starch Amylase Starch
Fats Lipase & Colipase

Phospholipase
cholesterol esterase

Triglycerides

Phospholipids
Hydrolysis of Cholesterol esters

Proteins and Peptides Trypsin (Tripsinogen)

Chymotripsin (Chymotripsinogen) Carboxypolypeptidase

Peptides
Peptides
Peptides

  • Amylase breaks down carbohydrates (except cellulose) to di-saccharides and some tri-saccharides.
  • Proteolytic enzymes are secreted in the in active form to prevent auto digestion, they are converted to the active form in the small intestine. Trypsin is activated by enterokinase, secreted by the intestinal mucosa;
  • Tripsin then activates Chymotripsinogen
  • Lipase converts fats to fatty acids and monoglycerides
  • Phospholipase splits fatty acids from phospholipids
  • Cholesterol esterase hydrolises cholesterol esters

Inhibition and Activation of Enzymes

The cells that secrete proteolytic enzymes also secrete another substance called tripsin inhibitor. This prevents any tripsin that may form in the cells or ducts from becoming active, or activating the other enzymes. If however the pancreas becomes damaged or the pancreatic ducts become blocked then the action of tripsin inhibitor can be over whelmed, and the very serious condition acute pancreatitis can develop. This can also occur if there is regurgitation of intestinal contents through the Ampulla of Vater. Wiki Article on Acute Pancreatitis

Secretion of Bicarbonate ions

Copious quantities of Bicarbonate ion rich solutions are secreted by the ducts and ductules of the pancreas in response to the hormone Secretin. The mechanisms are similar to that of the mucous cells of the stomach, except that large quantities of fluid are also produced.

  • Carbon dioxide and water enter the cell and combine to form carbonic acid under the influence of the enzyme carbonic anhydrase.
  • Hydrogen ions are actively secreted on the basal side of the cell in exchange for sodium.
  • Bicabonate ions are actively secreted on the apical or lumen side of the cell in exchange for chlorine
  • Sodium and Water ions follow either passively through 'leaky' tight junctions, or through cell by the mechanism described above in 'Water & Electrolyte secretions'.

Phases of Digestion

Like Gastic secretions, Pancreatic secretions can be divided into three phases:

  • Cephalic
  • Gastric
  • Intestinal

The Cephalic phase occurs when we think about or anticipate food. It is mediated by the vagus nerve. It causes secretion of about 20% of the enzymes, but as this secretion is not accompanied by fluid secretions, the enzymes are not flushed out and tend to remain in the ducts.

The gastric phase occurs when food enters the stomach, and again is mediated by neural stimuli. This accounts for another 5-10%, and again in the absence of serous flow these secretions tend to remain in the ducts.

The Intestinal phase occurs when food enters the small intestine and both serous pancreatic secretion becomes copious due to the hormone secretin.

Regulation of pancreatic Secretion

Three basic stimuli control pancreatic secretion

  • Acetylcholine from the parasympathetic nerves of the vagus and the cholinergic nerves of the enteric nervous system.
  • Cholecystokinin secreted in the duodenum and the uopper small intestine
  • Secretin, also secreted in the duodenum and upper jejunum.

The following diagram summarizes the factors controlling pancreatic secretions.

Acetylcholin and Cholecystokinin cause secretion of digestive enzymes, but these tend to remain in the gland, as there are no secretions to flow them out.

Secretin causes copious secretions of sodium bicarbonate rich fluids which wash the enzymes into the small intestine, and also neutralize the Hydrochloric acid from the stomach.

 2HCl + Na2CO3 --> 2NaCl + H2CO3 --> H2O + CO2

The carbonic acid (a weak acid) immediately dissociates into Carbon Dioxide and water The Carbon dioxide is absorbed into the blood stream.

Pancreatic enzymes work best between a pH of 7-8. Sodium Bicarbonate has a pH of about 8.





Biliary System

Basic anatomy of the biliary system

About 1500 mLs of bile are secreted every day. The bile is secreted continuously by the hepatocytes of the liver, and if not immediately required for digestion are stored in the gall bladder. Here they are concentrated up to 15 times. Initially bile fluid has about the same electrolyte concentration of interstitial fluid, but during concentration large quantities of electrolytes (but not Ca ions) are reabsorbed.

In the presence of fats in the duodenum, cholesystokinin is secreted which causes strong contractions of the gall bladder and relaxation of the Sphincter of Oddi, propelling the bile into the small intestine. Vagal stimulation can have a similary but secondary effect.

Bile contains Bile salts, an emulsifying agent neccessary for the digestion and absorption of fats; as well as bilirubin, cholesterol and fatty acids

Composition of Human Hepatic Duct Bile
Water 97%
Bile Salts 0.7%
Bile Pigments 0.2%
Cholesterol 0.07%
Inorganic Salts 0.7%
Fatty Acids 0.15%
Fat 0.1%
Lecithin 0.1%

Manufacture of Bile and Structure of Hepatic Lobule

The illustration below shows a schematic diagram of a liver lobule. Blood is conveyed to the lobules by branches of the hepatic portal vein and the hepatic artery. It then flows through sinuses, bathing the hepatocytes, to the central vein of the lobule, a branch of the Hepatic vein which drains into the Inferior Vena Cava. The hepatocytes secrete bile into bile canuliculi running between the hepatocytes, and these drain into branches of the bile duct.

Bile is continuously secreted by the hepatocytes. The fluid part of the secretion, a watery substance rich in sodium and bicarbonate is added by the ducts of the biliary system, and this secretion is stimulated by Secretin. Histology slide from the University of Ottawa

Recycling of Bile Salts

Bile salts are recycled by the GI System. About 95% of bile salts are are reabsorbed from the terminal ilium and returned to the liver via the portal system. In addition, some salts are produce by bacterial action in the Large intestine, and these too are returned to the liver.

About 0.2 gm per day of bile salts are manufactured by the Liver, and the total pool of salts is about 3.5gm, so recycling is very important. recycling occurs 6-8 times per day or about twice per meal. If the terminal ilium is resected, or affected by disease such as Crohn's, fat digestion is seriously compromised, and mal-absorption of fat soluble vitamins can occur.

Regulation of Bile Secretion

The following Diagram summarizes the regulation of Bile secretion:




Large Intestine

The chief function of the large intestine is absorption of fluids and the formation of faeces. About 1-2 liters of fluid enter the large intestine, and these are mainly absorbed, only about 200 cc being egested each day. The large intestine secretes about 200 cc of fluid a day, mainly in the form of mucous.

Diarrhea

The large intestine can produce large quantities of water and electrolytes in response to irritation, such as occurs in infections. This can lead to dehydration, but also has the beneficial effect of flushing out the irritants.

This article is issued from Wikibooks. The text is licensed under Creative Commons - Attribution - Sharealike. Additional terms may apply for the media files.