Cyclin D1 is a protein that in humans is encoded by the CCND1 gene.[5][6]
Gene expression
The CCND1 gene encodes the cyclin D1 protein. The human CCND1 gene is located on the long arm of chromosome 11 (band 11q13). It is 13,388 base pairs long, and translates into 295 amino acids.[7] Cyclin D1 is expressed in all adult human tissues with the exception of cells derived from bone marrow stem cell lines (both lymphoid and myeloid).[8][9]
Protein structure
Cyclin D1 is composed of the following protein domains and motifs:[10][11]
- retinoblastoma protein (pRb) binding motif;
- cyclin box domain for cyclin-dependent kinase (CDK) binding and CDK inhibitor binding;
- LxxLL binding motif for co-activator recruitment;
- PEST sequence that may mark the protein for degradation;
- threonine residue (threonine 286) that controls nuclear export and protein stability.
Function
The protein encoded by this gene belongs to the highly conserved cyclin family, whose members are characterized by a dramatic periodicity in protein abundance throughout the cell cycle. Cyclins function as regulators of CDKs (cyclin-dependent kinase). Different cyclins exhibit distinct expression and degradation patterns which contribute to the temporal coordination of each mitotic event. This cyclin forms a complex with and functions as a regulatory subunit of CDK4 or CDK6, whose activity is required for cell cycle G1/S transition. This protein has been shown to interact with tumor suppressor protein Rb and the expression of this gene is regulated positively by Rb. Mutations, amplification and overexpression of this gene, which alters cell cycle progression, are observed frequently in a variety of tumors and may contribute to tumorigenesis.[12]

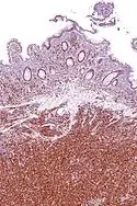
Immunohistochemical staining of cyclin D1 antibodies is used to diagnose mantle cell lymphoma.
Cyclin D1 has been found to be overexpressed in breast carcinoma. Its potential use as a biomarker was suggested.[13]
Normal function
Cyclin D1 was originally cloned as a breakpoint rearrangement in parathyroid adenoma[5] and was shown to be required for progression through the G1 phase of the cell cycle to induce cell migration,[14] angiogenesis[15] and to induce the Warburg effect.[16] Cyclin D1 is a protein required for progression through the G1 phase of the cell cycle.[17] During the G1 phase, it is synthesized rapidly and accumulates in the nucleus, and is degraded as the cell enters the S phase.[17] Cyclin D1 is a regulatory subunit of cyclin-dependent kinases CDK4 and CDK6. The protein dimerizes with CDK4/6 to regulate the G1/S phase transition and entry into the S-phase.
CDK dependent functions
The cyclin D1-CDK4 complex promotes passage through the G1 phase by inhibiting the retinoblastoma protein (pRb).[18] Cyclin D1-CDK4 inhibits pRb through phosphorylation, allowing E2F transcription factors to transcribe genes required for entry into the S phase. Inactive pRb allows cell cycle progression through the G1/S transition and allows for DNA synthesis. Cyclin D1-CDK4 also enables the activation of cyclin E-CDK2 complex by sequestering Cip/Kip family CDK inhibitory proteins p21 and p27, allowing entry into the S phase.[19]
Cyclin D1-CDK4 also associates with several transcription factors and transcriptional co-regulators.[10]
CDK independent functions
Independent of CDK, cyclin D1 binds to nuclear receptors (including estrogen receptor α,[20] thyroid hormone receptor, PPARγ[21][22] and AR[23] ) to regulate cell proliferation, growth, and differentiation. Cyclin D1 also binds to histone acetylases and histone deacetylases to regulate cell proliferation and cell differentiation genes [24][25][23][26] in the early to mid-G1 phase.
Synthesis and degradation
Increasing cyclin D1 levels during the G1 phase is induced by mitogenic growth factors [27] primarily through Ras-mediated pathways,[28][29][30] and hormones.[24] These Ras-mediated pathways lead to the increase in transcription of cyclin D1, and inhibit its proteolysis and export from the nucleus.[31] Cyclin D1 is degraded by the proteasome upon phosphorylation of threonine 286 and subsequent ubiquitylation via the CRL4-AMBRA1 E3 ubiquitin ligase complex.[32]
Clinical significance
Deregulation in cancer
Cyclin D1 overexpression has been shown to correlate with early cancer onset and tumor progression [19] and it can lead to oncogenesis by increasing anchorage-independent growth and angiogenesis via VEGF production.[33] Cyclin D1 overexpression can also down-regulate Fas expression, leading to increased chemotherapeutic resistance and protection from apoptosis.[33]
An abundance of cyclin D1 can be caused by various types of deregulation, including:
- amplification of the CCND1 gene / overexpression of cyclin D1;
- chromosomal translocation of the CCND1 gene;
- mutations in the degradation motif recognized by the CRL4-AMBRA1 E3 ubiquitin ligase;[32]
- disruption of nuclear export[34] and proteolysis of cyclin D1;[35]
- induction of transcription by oncogenic Ras, Src, ErbB2 and STATs;[36][37][38][39]
Cyclin D1 overexpression is correlated with shorter cancer patient survival and increased metastasis.[40][41] Amplification of the CCND1 gene is present in:
- non-small cell lung cancers (30–46%)[42][43]
- head and neck squamous cell carcinomas (30–50%)[44][45][46]
- pancreatic carcinomas (25%)[47]
- bladder cancer (15%)[48]
- pituitary adenomas (49–54%) [49][50]
- breast carcinoma (13%)[51][52][53]
Cyclin D1 overexpression is strongly correlated to ER+ breast cancer[53] and deregulation of cyclin D1 is associated with hormone therapy resistance in breast cancer.[32][54][55] Overexpression of Cyclin D1b, an isoform, is also present in breast and prostate cancers.[11]
Chromosomal translocation around the cyclin D1 gene locus is often seen in B mantle cell lymphoma. In mantle cell lymphoma, cyclin D1 is translocated to the IgH promoter[56] leading to cyclin D1 overexpression. Chromosomal translocation of the cyclin D1 gene locus is also observed in 15–20% of multiple myelomas.[57][58]
Therapeutic target in cancer
Cyclin D1 and the mechanisms it regulates have the potential to be a therapeutic target for cancer drugs:
| Target | Methods of Inhibition |
|---|---|
| Inhibition of cyclin D1 | Inhibiting translation of cyclin D1 mRNA via mTOR inhibitors [59] and RXR activators.[60][61] |
| Inducing Cyclin D1 degradation [31] | Retinoid mediated cyclin D1 degradation via the ubiquitin proteolytic pathway;[62] Differentiation-inducing factor-1 (DIF-1) induced ubiquitin-dependent degradation;[63] Inhibition of cyclin D1 protein synthesis [64][65] |
| Inducing nuclear export of Cyclin D1 | Histone deacetylase inhibitors (HDACIs) to induce nuclear export of Cyclin D1 [66] |
| Inhibition of cyclin D1-CDK4/6 | Small molecule CDK inhibitors [67][68] |
Interactions
Cyclin D1 has been shown to interact with:
See also
References
- 1 2 3 GRCh38: Ensembl release 89: ENSG00000110092 - Ensembl, May 2017
- 1 2 3 GRCm38: Ensembl release 89: ENSMUSG00000070348 - Ensembl, May 2017
- ↑ "Human PubMed Reference:". National Center for Biotechnology Information, U.S. National Library of Medicine.
- ↑ "Mouse PubMed Reference:". National Center for Biotechnology Information, U.S. National Library of Medicine.
- 1 2 Motokura T, Bloom T, Kim HG, Jüppner H, Ruderman JV, Kronenberg HM, Arnold A (April 1991). "A novel cyclin encoded by a bcl1-linked candidate oncogene". Nature. 350 (6318): 512–5. Bibcode:1991Natur.350..512M. doi:10.1038/350512a0. PMID 1826542. S2CID 4232393.
- ↑ Lew DJ, Dulić V, Reed SI (September 1991). "Isolation of three novel human cyclins by rescue of G1 cyclin (Cln) function in yeast". Cell. 66 (6): 1197–206. doi:10.1016/0092-8674(91)90042-W. PMID 1833066. S2CID 12166415.
- ↑ ""CCND1" Gene". GeneCards. Weizmann Institute of Science. 2013. Retrieved May 6, 2015.
- ↑ Withers DA, Harvey RC, Faust JB, Melnyk O, Carey K, Meeker TC (October 1991). "Characterization of a candidate bcl-1 gene". Molecular and Cellular Biology. 11 (10): 4846–53. doi:10.1128/MCB.11.10.4846. PMC 361453. PMID 1833629.
- ↑ Inaba T, Matsushime H, Valentine M, Roussel MF, Sherr CJ, Look AT (July 1992). "Genomic organization, chromosomal localization, and independent expression of human cyclin D genes". Genomics. 13 (3): 565–74. doi:10.1016/0888-7543(92)90126-d. PMID 1386335.
- 1 2 Musgrove EA, Caldon CE, Barraclough J, Stone A, Sutherland RL (July 2011). "Cyclin D as a therapeutic target in cancer". Nature Reviews. Cancer. 11 (8): 558–72. doi:10.1038/nrc3090. PMID 21734724. S2CID 29093377.
- 1 2 Knudsen KE, Diehl JA, Haiman CA, Knudsen ES (March 2006). "Cyclin D1: polymorphism, aberrant splicing and cancer risk". Oncogene. 25 (11): 1620–8. doi:10.1038/sj.onc.1209371. PMID 16550162. S2CID 11382318.
- ↑ "Entrez Gene: CCND1 cyclin D1".
- ↑ He Y, Liu Z, Qiao C, Xu M, Yu J, Li G (January 2014). "Expression and significance of Wnt signaling components and their target genes in breast carcinoma". Molecular Medicine Reports. 9 (1): 137–43. doi:10.3892/mmr.2013.1774. PMID 24190141.
- ↑ Neumeister P, Pixley FJ, Xiong Y, Xie H, Wu K, Ashton A, Cammer M, Chan A, Symons M, Stanley ER, Pestell RG (May 2003). "Cyclin D1 governs adhesion and motility of macrophages". Molecular Biology of the Cell. 14 (5): 2005–15. doi:10.1091/mbc.02-07-0102. PMC 165093. PMID 12802071.
- ↑ Holnthoner W, Pillinger M, Groger M, Wolff K, Ashton AW, Albanese C, Neumeister P, Pestell RG, Petzelbauer P (November 2002). "Fibroblast growth factor-2 induces Lef/Tcf-dependent transcription in human endothelial cells". The Journal of Biological Chemistry. 277 (48): 45847–53. doi:10.1074/jbc.M209354200. PMID 12235165. S2CID 27287405.
- ↑ Sakamaki T, Casimiro MC, Ju X, Quong AA, Katiyar S, Liu M, Jiao X, Li A, Zhang X, Lu Y, Wang C, Byers S, Nicholson R, Link T, Shemluck M, Yang J, Fricke ST, Novikoff PM, Papanikolaou A, Arnold A, Albanese C, Pestell R (July 2006). "Cyclin D1 determines mitochondrial function in vivo". Molecular and Cellular Biology. 26 (14): 5449–69. doi:10.1128/MCB.02074-05. PMC 1592725. PMID 16809779.
- 1 2 Baldin V, Lukas J, Marcote MJ, Pagano M, Draetta G (May 1993). "Cyclin D1 is a nuclear protein required for cell cycle progression in G1". Genes & Development. 7 (5): 812–21. doi:10.1101/gad.7.5.812. PMID 8491378.
- ↑ Matsushime H, Ewen ME, Strom DK, Kato JY, Hanks SK, Roussel MF, Sherr CJ (October 1992). "Identification and properties of an atypical catalytic subunit (p34PSK-J3/cdk4) for mammalian D type G1 cyclins". Cell. 71 (2): 323–34. doi:10.1016/0092-8674(92)90360-o. PMID 1423597. S2CID 19669023.
- 1 2 Diehl JA (2002). "Cycling to cancer with cyclin D1". Cancer Biology & Therapy. 1 (3): 226–31. doi:10.4161/cbt.72. PMID 12432268. S2CID 27507264.
- 1 2 Zwijsen RM, Wientjens E, Klompmaker R, van der Sman J, Bernards R, Michalides RJ (February 1997). "CDK-independent activation of estrogen receptor by cyclin D1". Cell. 88 (3): 405–15. doi:10.1016/S0092-8674(00)81879-6. hdl:1874/21074. PMID 9039267. S2CID 16492666.
- ↑ Wang C, Li Z, Fu M, Bouras T, Pestell RG (2004). "Signal transduction mediated by cyclin D1: from mitogens to cell proliferation: a molecular target with therapeutic potential". Molecular Targeting and Signal Transduction. Cancer Treatment and Research. Vol. 119. pp. 217–37. doi:10.1007/1-4020-7847-1_11. ISBN 978-1-4020-7822-4. PMID 15164880.
- ↑ Fu M, Rao M, Bouras T, Wang C, Wu K, Zhang X, Li Z, Yao TP, Pestell RG (April 2005). "Cyclin D1 inhibits peroxisome proliferator-activated receptor gamma-mediated adipogenesis through histone deacetylase recruitment". primary. The Journal of Biological Chemistry. 280 (17): 16934–41. doi:10.1074/jbc.m500403200. PMID 15713663. S2CID 27249858.
- 1 2 3 Reutens AT, Fu M, Wang C, Albanese C, McPhaul MJ, Sun Z, Balk SP, Jänne OA, Palvimo JJ, Pestell RG (May 2001). "Cyclin D1 binds the androgen receptor and regulates hormone-dependent signaling in a p300/CBP-associated factor (P/CAF)-dependent manner". Molecular Endocrinology. 15 (5): 797–811. doi:10.1210/mend.15.5.0641. PMID 11328859.
- 1 2 Fu M, Wang C, Li Z, Sakamaki T, Pestell RG (December 2004). "Minireview: Cyclin D1: normal and abnormal functions". Endocrinology. 145 (12): 5439–47. doi:10.1210/en.2004-0959. PMID 15331580.
- ↑ McMahon C, Suthiphongchai T, DiRenzo J, Ewen ME (May 1999). "P/CAF associates with cyclin D1 and potentiates its activation of the estrogen receptor". Proceedings of the National Academy of Sciences of the United States of America. 96 (10): 5382–7. Bibcode:1999PNAS...96.5382M. doi:10.1073/pnas.96.10.5382. PMC 21868. PMID 10318892.
- 1 2 Fu M, Rao M, Bouras T, Wang C, Wu K, Zhang X, Li Z, Yao TP, Pestell RG (April 2005). "Cyclin D1 inhibits peroxisome proliferator-activated receptor gamma-mediated adipogenesis through histone deacetylase recruitment". The Journal of Biological Chemistry. 280 (17): 16934–41. doi:10.1074/jbc.M500403200. PMID 15713663. S2CID 27249858.
- ↑ Böhmer RM, Scharf E, Assoian RK (January 1996). "Cytoskeletal integrity is required throughout the mitogen stimulation phase of the cell cycle and mediates the anchorage-dependent expression of cyclin D1". Molecular Biology of the Cell. 7 (1): 101–111. doi:10.1091/mbc.7.1.101. PMC 278616. PMID 8741843.
- ↑ Mittnacht S, Paterson H, Olson MF, Marshall CJ (March 1997). "Ras signalling is required for inactivation of the tumour suppressor pRb cell-cycle control protein". Current Biology. 7 (3): 219–21. doi:10.1016/s0960-9822(97)70094-0. PMID 9395436. S2CID 12508796.
- ↑ Mulcahy LS, Smith MR, Stacey DW (1985). "Requirement for ras proto-oncogene function during serum-stimulated growth of NIH 3T3 cells". Nature. 313 (5999): 241–3. Bibcode:1985Natur.313..241M. doi:10.1038/313241a0. PMID 3918269. S2CID 4322964.
- ↑ Peeper DS, Upton TM, Ladha MH, Neuman E, Zalvide J, Bernards R, DeCaprio JA, Ewen ME (March 1997). "Ras signalling linked to the cell-cycle machinery by the retinoblastoma protein". Nature. 386 (6621): 177–81. Bibcode:1997Natur.386..177P. doi:10.1038/386177a0. hdl:1874/15252. PMID 9062190. S2CID 4354374.
- 1 2 Alao JP (April 2007). "The regulation of cyclin D1 degradation: roles in cancer development and the potential for therapeutic invention". Molecular Cancer. 6: 24. doi:10.1186/1476-4598-6-24. PMC 1851974. PMID 17407548.
- 1 2 3 Simoneschi D, Rona G, Zhou N, Jeong Y, Jiang S, Milletti G, Arbini AA, O'Sullivan A, Wang AA, Nithikasem S, Keegan S (2021-04-29). "CRL4AMBRA1 is a master regulator of D-type cyclins". Nature. 592 (7856): 789–793. Bibcode:2021Natur.592..789S. doi:10.1038/s41586-021-03445-y. ISSN 0028-0836. PMC 8875297. PMID 33854235. S2CID 233243768.
- 1 2 Shintani M, Okazaki A, Masuda T, Kawada M, Ishizuka M, Doki Y, Weinstein IB, Imoto M (2002). "Overexpression of cyclin DI contributes to malignant properties of esophageal tumor cells by increasing VEGF production and decreasing Fas expression". Anticancer Research. 22 (2A): 639–47. PMID 12014632.
- ↑ Alt JR, Cleveland JL, Hannink M, Diehl JA (December 2000). "Phosphorylation-dependent regulation of cyclin D1 nuclear export and cyclin D1-dependent cellular transformation". Genes & Development. 14 (24): 3102–14. doi:10.1101/gad.854900. PMC 317128. PMID 11124803.
- ↑ Diehl JA, Zindy F, Sherr CJ (April 1997). "Inhibition of cyclin D1 phosphorylation on threonine-286 prevents its rapid degradation via the ubiquitin-proteasome pathway". Genes & Development. 11 (8): 957–72. doi:10.1101/gad.11.8.957. PMID 9136925.
- ↑ Casimiro M, Rodriguez O, Pootrakul L, Aventian M, Lushina N, Cromelin C, Ferzli G, Johnson K, Fricke S, Diba F, Kallakury B, Ohanyerenwa C, Chen M, Ostrowski M, Hung MC, Rabbani SA, Datar R, Cote R, Pestell R, Albanese C (May 2007). "ErbB-2 induces the cyclin D1 gene in prostate epithelial cells in vitro and in vivo". Cancer Research. 67 (9): 4364–72. doi:10.1158/0008-5472.CAN-06-1898. PMID 17483350.
- ↑ Amanatullah DF, Zafonte BT, Albanese C, Fu M, Messiers C, Hassell J, Pestell RG (2001). "Ras regulation of cyclin D1 promoter". Regulators and Effectors of Small GTPases, Part G. Methods in Enzymology. Vol. 333. pp. 116–27. doi:10.1016/s0076-6879(01)33050-1. ISBN 9780121822347. PMID 11400329.
- ↑ Matsumura I, Kitamura T, Wakao H, Tanaka H, Hashimoto K, Albanese C, Downward J, Pestell RG, Kanakura Y (March 1999). "Transcriptional regulation of the cyclin D1 promoter by STAT5: its involvement in cytokine-dependent growth of hematopoietic cells". The EMBO Journal. 18 (5): 1367–77. doi:10.1093/emboj/18.5.1367. PMC 1171226. PMID 10064602.
- ↑ Albanese C, Johnson J, Watanabe G, Eklund N, Vu D, Arnold A, Pestell RG (October 1995). "Transforming p21ras mutants and c-Ets-2 activate the cyclin D1 promoter through distinguishable regions". The Journal of Biological Chemistry. 270 (40): 23589–97. doi:10.1074/jbc.270.40.23589. PMID 7559524. S2CID 20805160.
- ↑ Jares P, Colomer D, Campo E (October 2007). "Genetic and molecular pathogenesis of mantle cell lymphoma: perspectives for new targeted therapeutics". Nature Reviews. Cancer. 7 (10): 750–62. doi:10.1038/nrc2230. PMID 17891190. S2CID 8244897.
- ↑ Thomas GR, Nadiminti H, Regalado J (December 2005). "Molecular predictors of clinical outcome in patients with head and neck squamous cell carcinoma". International Journal of Experimental Pathology. 86 (6): 347–63. doi:10.1111/j.0959-9673.2005.00447.x. PMC 2517451. PMID 16309541.
- ↑ Jin M, Inoue S, Umemura T, Moriya J, Arakawa M, Nagashima K, Kato H (November 2001). "Cyclin D1, p16 and retinoblastoma gene product expression as a predictor for prognosis in non-small cell lung cancer at stages I and II". Lung Cancer. 34 (2): 207–18. doi:10.1016/s0169-5002(01)00225-2. PMID 11679179.
- ↑ Yamanouchi H, Furihata M, Fujita J, Murakami H, Yoshinouchi T, Takahara J, Ohtsuki Y (January 2001). "Expression of cyclin E and cyclin D1 in non-small cell lung cancers". Lung Cancer. 31 (1): 3–8. doi:10.1016/s0169-5002(00)00160-4. PMID 11162860.
- ↑ Ikeguchi M, Sakatani T, Ueta T, Kaibara N (September 2001). "Cyclin D1 expression and retinoblastoma gene protein (pRB) expression in esophageal squamous cell carcinoma". Journal of Cancer Research and Clinical Oncology. 127 (9): 531–6. doi:10.1007/s004320100265. PMID 11570573. S2CID 24010774.
- ↑ Izzo JG, Papadimitrakopoulou VA, Li XQ, Ibarguen H, Lee JS, Ro JY, El-Naggar A, Hong WK, Hittelman WN (November 1998). "Dysregulated cyclin D1 expression early in head and neck tumorigenesis: in vivo evidence for an association with subsequent gene amplification". Oncogene. 17 (18): 2313–22. doi:10.1038/sj.onc.1202153. PMID 9811462. S2CID 17852339.
- ↑ Bartkova J, Lukas J, Müller H, Strauss M, Gusterson B, Bartek J (February 1995). "Abnormal patterns of D-type cyclin expression and G1 regulation in human head and neck cancer". Cancer Research. 55 (4): 949–56. PMID 7850812.
- ↑ Gansauge S, Gansauge F, Ramadani M, Stobbe H, Rau B, Harada N, Beger HG (May 1997). "Overexpression of cyclin D1 in human pancreatic carcinoma is associated with poor prognosis". Cancer Research. 57 (9): 1634–7. PMID 9134998.
- ↑ Hall M, Peters G (1996). Genetic alterations of cyclins, cyclin-dependent kinases, and Cdk inhibitors in human cancer. Advances in Cancer Research. Vol. 68. pp. 67–108. doi:10.1016/s0065-230x(08)60352-8. ISBN 9780120066681. PMID 8712071.
- ↑ Simpson DJ, Frost SJ, Bicknell JE, Broome JC, McNicol AM, Clayton RN, Farrell WE (August 2001). "Aberrant expression of G(1)/S regulators is a frequent event in sporadic pituitary adenomas". Carcinogenesis. 22 (8): 1149–54. doi:10.1093/carcin/22.8.1149. PMID 11470742.
- ↑ Hibberts NA, Simpson DJ, Bicknell JE, Broome JC, Hoban PR, Clayton RN, Farrell WE (August 1999). "Analysis of cyclin D1 (CCND1) allelic imbalance and overexpression in sporadic human pituitary tumors". Clinical Cancer Research. 5 (8): 2133–9. PMID 10473097.
- ↑ Barnes DM, Gillett CE (1998). "Cyclin D1 in breast cancer". Breast Cancer Research and Treatment. 52 (1–3): 1–15. doi:10.1023/a:1006103831990. PMID 10066068. S2CID 31241216.
- ↑ Fantl V, Smith R, Brookes S, Dickson C, Peters G (1993). "Chromosome 11q13 abnormalities in human breast cancer". Cancer Surveys. 18: 77–94. PMID 8013002.
- 1 2 Arnold A, Papanikolaou A (June 2005). "Cyclin D1 in breast cancer pathogenesis". Journal of Clinical Oncology. 23 (18): 4215–24. doi:10.1200/JCO.2005.05.064. PMID 15961768.
- ↑ Hodges LC, Cook JD, Lobenhofer EK, Li L, Bennett L, Bushel PR, Aldaz CM, Afshari CA, Walker CL (February 2003). "Tamoxifen functions as a molecular agonist inducing cell cycle-associated genes in breast cancer cells". Molecular Cancer Research. 1 (4): 300–11. PMID 12612058.
- ↑ Kenny FS, Hui R, Musgrove EA, Gee JM, Blamey RW, Nicholson RI, Sutherland RL, Robertson JF (August 1999). "Overexpression of cyclin D1 messenger RNA predicts for poor prognosis in estrogen receptor-positive breast cancer". Clinical Cancer Research. 5 (8): 2069–76. PMID 10473088.
- ↑ Amin HM, McDonnell TJ, Medeiros LJ, Rassidakis GZ, Leventaki V, O'Connor SL, Keating MJ, Lai R (April 2003). "Characterization of 4 mantle cell lymphoma cell lines". Archives of Pathology & Laboratory Medicine. 127 (4): 424–31. doi:10.5858/2003-127-0424-COMCLC. PMID 12683869.
- ↑ Bergsagel PL, Kuehl WM (September 2001). "Chromosome translocations in multiple myeloma". Oncogene. 20 (40): 5611–22. doi:10.1038/sj.onc.1204641. PMID 11607813. S2CID 19937243.
- ↑ Specht K, Haralambieva E, Bink K, Kremer M, Mandl-Weber S, Koch I, Tomer R, Hofler H, Schuuring E, Kluin PM, Fend F, Quintanilla-Martinez L (August 2004). "Different mechanisms of cyclin D1 overexpression in multiple myeloma revealed by fluorescence in situ hybridization and quantitative analysis of mRNA levels". Blood. 104 (4): 1120–6. doi:10.1182/blood-2003-11-3837. PMID 15090460. S2CID 24192626.
- ↑ Musgrove EA (March 2006). "Cyclins: roles in mitogenic signaling and oncogenic transformation". Growth Factors. 24 (1): 13–9. doi:10.1080/08977190500361812. PMID 16393691. S2CID 21082281.
- ↑ Dragnev KH, Petty WJ, Shah S, Biddle A, Desai NB, Memoli V, Rigas JR, Dmitrovsky E (December 2005). "Bexarotene and erlotinib for aerodigestive tract cancer". Journal of Clinical Oncology. 23 (34): 8757–64. doi:10.1200/JCO.2005.01.9521. PMID 16314636.
- ↑ Kim ES, Lee JJ, Wistuba II (June 2011). "Cotargeting cyclin D1 starts a new chapter in lung cancer prevention and therapy". Cancer Prevention Research. 4 (6): 779–82. doi:10.1158/1940-6207.CAPR-11-0143. PMID 21636543. S2CID 12781005.
- ↑ Boyle JO, Langenfeld J, Lonardo F, Sekula D, Reczek P, Rusch V, Dawson MI, Dmitrovsky E (February 1999). "Cyclin D1 proteolysis: a retinoid chemoprevention signal in normal, immortalized, and transformed human bronchial epithelial cells". Journal of the National Cancer Institute. 91 (4): 373–9. doi:10.1093/jnci/91.4.373. PMID 10050872.
- ↑ Mori J, Takahashi-Yanaga F, Miwa Y, Watanabe Y, Hirata M, Morimoto S, Shirasuna K, Sasaguri T (November 2005). "Differentiation-inducing factor-1 induces cyclin D1 degradation through the phosphorylation of Thr286 in squamous cell carcinoma". Experimental Cell Research. 310 (2): 426–33. doi:10.1016/j.yexcr.2005.07.024. PMID 16153639.
- ↑ Baliga BS, Pronczuk AW, Munro HN (August 1969). "Mechanism of cycloheximide inhibition of protein synthesis in a cell-free system prepared from rat liver". The Journal of Biological Chemistry. 244 (16): 4480–9. doi:10.1016/S0021-9258(18)94343-7. PMID 5806588.
- ↑ Obrig TG, Culp WJ, McKeehan WL, Hardesty B (January 1971). "The mechanism by which cycloheximide and related glutarimide antibiotics inhibit peptide synthesis on reticulocyte ribosomes". The Journal of Biological Chemistry. 246 (1): 174–81. doi:10.1016/S0021-9258(18)62546-3. PMID 5541758.
- ↑ Vigushin DM, Coombes RC (January 2002). "Histone deacetylase inhibitors in cancer treatment". Anti-Cancer Drugs. 13 (1): 1–13. doi:10.1097/00001813-200201000-00001. PMID 11914636.
- ↑ Lapenna S, Giordano A (July 2009). "Cell cycle kinases as therapeutic targets for cancer". Nature Reviews. Drug Discovery. 8 (7): 547–66. doi:10.1038/nrd2907. PMID 19568282. S2CID 7417169.
- ↑ Shapiro GI (April 2006). "Cyclin-dependent kinase pathways as targets for cancer treatment". Journal of Clinical Oncology. 24 (11): 1770–83. doi:10.1200/JCO.2005.03.7689. PMID 16603719.
- 1 2 Petre-Draviam CE, Williams EB, Burd CJ, Gladden A, Moghadam H, Meller J, Diehl JA, Knudsen KE (January 2005). "A central domain of cyclin D1 mediates nuclear receptor corepressor activity". Oncogene. 24 (3): 431–44. doi:10.1038/sj.onc.1208200. PMID 15558026. S2CID 21812009.
- ↑ Knudsen KE, Cavenee WK, Arden KC (May 1999). "D-type cyclins complex with the androgen receptor and inhibit its transcriptional transactivation ability". Cancer Research. 59 (10): 2297–301. PMID 10344732.
- 1 2 Wang C, Fan S, Li Z, Fu M, Rao M, Ma Y, Lisanti MP, Albanese C, Katzenellenbogen BS, Kushner PJ, Weber B, Rosen EM, Pestell RG (August 2005). "Cyclin D1 antagonizes BRCA1 repression of estrogen receptor alpha activity". Cancer Research. 65 (15): 6557–67. doi:10.1158/0008-5472.CAN-05-0486. PMID 16061635.
- 1 2 Casimiro MC, Wang C, Li Z, Di Sante G, Willmart NE, Addya S, Chen L, Liu Y, Lisanti MP, Pestell RG (September 2013). "Cyclin D1 determines estrogen signaling in the mammary gland in vivo". Molecular Endocrinology. 27 (9): 1415–28. doi:10.1210/me.2013-1065. PMC 3753428. PMID 23864650.
- ↑ Xia C, Bao Z, Tabassam F, Ma W, Qiu M, Hua S, Liu M (July 2000). "GCIP, a novel human grap2 and cyclin D interacting protein, regulates E2F-mediated transcriptional activity". The Journal of Biological Chemistry. 275 (27): 20942–8. doi:10.1074/jbc.M002598200. PMID 10801854. S2CID 20433975.
- 1 2 Sugimoto M, Nakamura T, Ohtani N, Hampson L, Hampson IN, Shimamoto A, Furuichi Y, Okumura K, Niwa S, Taya Y, Hara E (November 1999). "Regulation of CDK4 activity by a novel CDK4-binding protein, p34(SEI-1)". Genes & Development. 13 (22): 3027–33. doi:10.1101/gad.13.22.3027. PMC 317153. PMID 10580009.
- ↑ Serrano M, Hannon GJ, Beach D (December 1993). "A new regulatory motif in cell-cycle control causing specific inhibition of cyclin D/CDK4". Nature. 366 (6456): 704–7. Bibcode:1993Natur.366..704S. doi:10.1038/366704a0. PMID 8259215. S2CID 4368128.
- 1 2 Lin J, Jinno S, Okayama H (April 2001). "Cdk6-cyclin D3 complex evades inhibition by inhibitor proteins and uniquely controls cell's proliferation competence". Oncogene. 20 (16): 2000–9. doi:10.1038/sj.onc.1204375. PMID 11360184. S2CID 25204152.
- ↑ Taulés M, Rius E, Talaya D, López-Girona A, Bachs O, Agell N (December 1998). "Calmodulin is essential for cyclin-dependent kinase 4 (Cdk4) activity and nuclear accumulation of cyclin D1-Cdk4 during G1". The Journal of Biological Chemistry. 273 (50): 33279–86. doi:10.1074/jbc.273.50.33279. PMID 9837900. S2CID 36068143.
- ↑ Cariou S, Donovan JC, Flanagan WM, Milic A, Bhattacharya N, Slingerland JM (August 2000). "Down-regulation of p21WAF1/CIP1 or p27Kip1 abrogates antiestrogen-mediated cell cycle arrest in human breast cancer cells". Proceedings of the National Academy of Sciences of the United States of America. 97 (16): 9042–6. Bibcode:2000PNAS...97.9042C. doi:10.1073/pnas.160016897. PMC 16818. PMID 10908655.
- ↑ Coleman KG, Wautlet BS, Morrissey D, Mulheron J, Sedman SA, Brinkley P, Price S, Webster KR (July 1997). "Identification of CDK4 sequences involved in cyclin D1 and p16 binding". The Journal of Biological Chemistry. 272 (30): 18869–74. doi:10.1074/jbc.272.30.18869. PMID 9228064. S2CID 37191598.
- ↑ Neuman E, Ladha MH, Lin N, Upton TM, Miller SJ, DiRenzo J, Pestell RG, Hinds PW, Dowdy SF, Brown M, Ewen ME (September 1997). "Cyclin D1 stimulation of estrogen receptor transcriptional activity independent of cdk4". Molecular and Cellular Biology. 17 (9): 5338–47. doi:10.1128/MCB.17.9.5338. PMC 232384. PMID 9271411.
- 1 2 Lin HM, Zhao L, Cheng SY (August 2002). "Cyclin D1 Is a Ligand-independent Co-repressor for Thyroid Hormone Receptors". The Journal of Biological Chemistry. 277 (32): 28733–41. doi:10.1074/jbc.M203380200. PMID 12048199. S2CID 30676926.
- ↑ Ratineau C, Petry MW, Mutoh H, Leiter AB (March 2002). "Cyclin D1 represses the basic helix-loop-helix transcription factor, BETA2/NeuroD". The Journal of Biological Chemistry. 277 (11): 8847–53. doi:10.1074/jbc.M110747200. PMID 11788592. S2CID 42467757.
- ↑ Zwijsen RM, Buckle RS, Hijmans EM, Loomans CJ, Bernards R (November 1998). "Ligand-independent recruitment of steroid receptor coactivators to estrogen receptor by cyclin D1". Genes & Development. 12 (22): 3488–98. doi:10.1101/gad.12.22.3488. PMC 317237. PMID 9832502.
- ↑ Wang C, Li Z, Lu Y, Du R, Katiyar S, Yang J, Fu M, Leader JE, Quong A, Novikoff PM, Pestell RG (August 2006). "Cyclin D1 repression of nuclear respiratory factor 1 integrates nuclear DNA synthesis and mitochondrial function". Proceedings of the National Academy of Sciences of the United States of America. 103 (31): 11567–72. Bibcode:2006PNAS..10311567W. doi:10.1073/pnas.0603363103. PMC 1518800. PMID 16864783.
- ↑ Fu M, Wang C, Rao M, Wu X, Bouras T, Zhang X, Li Z, Jiao X, Yang J, Li A, Perkins ND, Thimmapaya B, Kung AL, Munoz A, Giordano A, Lisanti MP, Pestell RG (August 2005). "Cyclin D1 represses p300 transactivation through a cyclin-dependent kinase-independent mechanism". The Journal of Biological Chemistry. 280 (33): 29728–42. doi:10.1074/jbc.M503188200. PMID 15951563. S2CID 23571294.
- ↑ Meng H, Tian L, Zhou J, Li Z, Jiao X, Li WW, Plomann M, Xu Z, Lisanti MP, Wang C, Pestell RG (January 2011). "PACSIN 2 represses cellular migration through direct association with cyclin D1 but not its alternate splice form cyclin D1b". Cell Cycle. 10 (1): 73–81. doi:10.4161/cc.10.1.14243. PMC 3048077. PMID 21200149.
- ↑ Matsuoka S, Yamaguchi M, Matsukage A (April 1994). "D-type cyclin-binding regions of proliferating cell nuclear antigen". The Journal of Biological Chemistry. 269 (15): 11030–6. doi:10.1016/S0021-9258(19)78087-9. PMID 7908906.
- ↑ Xiong Y, Zhang H, Beach D (August 1993). "Subunit rearrangement of the cyclin-dependent kinases is associated with cellular transformation". Genes & Development. 7 (8): 1572–83. doi:10.1101/gad.7.8.1572. PMID 8101826.
- ↑ Wang C, Pattabiraman N, Zhou JN, Fu M, Sakamaki T, Albanese C, Li Z, Wu K, Hulit J, Neumeister P, Novikoff PM, Brownlee M, Scherer PE, Jones JG, Whitney KD, Donehower LA, Harris EL, Rohan T, Johns DC, Pestell RG (September 2003). "Cyclin D1 repression of peroxisome proliferator-activated receptor gamma expression and transactivation". Molecular and Cellular Biology. 23 (17): 6159–73. doi:10.1128/mcb.23.17.6159-6173.2003. PMC 180960. PMID 12917338.
- ↑ Li Z, Jiao X, Wang C, Shirley LA, Elsaleh H, Dahl O, Wang M, Soutoglou E, Knudsen ES, Pestell RG (November 2010). "Alternative cyclin D1 splice forms differentially regulate the DNA damage response". Cancer Research. 70 (21): 8802–11. doi:10.1158/0008-5472.CAN-10-0312. PMC 2970762. PMID 20940395.
- 1 2 Siegert JL, Rushton JJ, Sellers WR, Kaelin WG, Robbins PD (November 2000). "Cyclin D1 suppresses retinoblastoma protein-mediated inhibition of TAFII250 kinase activity". Oncogene. 19 (50): 5703–11. doi:10.1038/sj.onc.1203966. PMID 11126356. S2CID 1413527.
- ↑ Dowdy SF, Hinds PW, Louie K, Reed SI, Arnold A, Weinberg RA (May 1993). "Physical interaction of the retinoblastoma protein with human D cyclins". Cell. 73 (3): 499–511. doi:10.1016/0092-8674(93)90137-f. PMID 8490963. S2CID 24708871.
- ↑ Adnane J, Shao Z, Robbins PD (January 1999). "Cyclin D1 associates with the TBP-associated factor TAF(II)250 to regulate Sp1-mediated transcription". Oncogene. 18 (1): 239–47. doi:10.1038/sj.onc.1202297. PMID 9926939. S2CID 38863669.
Further reading
- Akita H (May 2002). "[Prognostic importance of altered expression of cell cycle regulators in lung cancer]". Nihon Rinsho. Japanese Journal of Clinical Medicine. 60 (Suppl 5): 267–71. PMID 12101670.
- Chung DC (April 2004). "Cyclin D1 in human neuroendocrine: tumorigenesis". Annals of the New York Academy of Sciences. 1014 (1): 209–17. Bibcode:2004NYASA1014..209C. doi:10.1196/annals.1294.022. PMID 15153436. S2CID 35976233.
- Jain S, Khuri FR, Shin DM (2004). "Prevention of head and neck cancer: current status and future prospects". Current Problems in Cancer. 28 (5): 265–86. doi:10.1016/j.currproblcancer.2004.05.003. PMID 15375804.
- Gladden AB, Diehl JA (December 2005). "Location, location, location: the role of cyclin D1 nuclear localization in cancer". Journal of Cellular Biochemistry. 96 (5): 906–13. doi:10.1002/jcb.20613. PMID 16163738. S2CID 35774178.
- Walker JL, Assoian RK (September 2005). "Integrin-dependent signal transduction regulating cyclin D1 expression and G1 phase cell cycle progression". Cancer and Metastasis Reviews. 24 (3): 383–93. doi:10.1007/s10555-005-5130-7. PMID 16258726. S2CID 25369592.
- Gautschi O, Ratschiller D, Gugger M, Betticher DC, Heighway J (January 2007). "Cyclin D1 in non-small cell lung cancer: a key driver of malignant transformation". Lung Cancer. 55 (1): 1–14. doi:10.1016/j.lungcan.2006.09.024. PMID 17070615.
- Li Z, Wang C, Prendergast GC, Pestell RG (November 2006). "Cyclin D1 functions in cell migration". Cell Cycle. 5 (21): 2440–2. doi:10.4161/cc.5.21.3428. PMID 17106256. S2CID 22220763.
- Zhang T, Liu WD, Saunee NA, Breslin MB, Lan MS (February 2009). "Zinc finger transcription factor INSM1 interrupts cyclin D1 and CDK4 binding and induces cell cycle arrest". The Journal of Biological Chemistry. 284 (9): 5574–81. doi:10.1074/jbc.M808843200. PMC 2645817. PMID 19124461.
- Inaba T, Matsushime H, Valentine M, Roussel MF, Sherr CJ, Look AT (July 1992). "Genomic organization, chromosomal localization, and independent expression of human cyclin D genes". Genomics. 13 (3): 565–74. doi:10.1016/0888-7543(92)90126-D. PMID 1386335.
- Schuuring E, Verhoeven E, Mooi WJ, Michalides RJ (February 1992). "Identification and cloning of two overexpressed genes, U21B31/PRAD1 and EMS1, within the amplified chromosome 11q13 region in human carcinomas". Oncogene. 7 (2): 355–61. PMID 1532244.
- Seto M, Yamamoto K, Iida S, Akao Y, Utsumi KR, Kubonishi I, Miyoshi I, Ohtsuki T, Yawata Y, Namba M (July 1992). "Gene rearrangement and overexpression of PRAD1 in lymphoid malignancy with t(11;14)(q13;q32) translocation". Oncogene. 7 (7): 1401–6. PMID 1535701.
- Rosenberg CL, Wong E, Petty EM, Bale AE, Tsujimoto Y, Harris NL, Arnold A (November 1991). "PRAD1, a candidate BCL1 oncogene: mapping and expression in centrocytic lymphoma". Proceedings of the National Academy of Sciences of the United States of America. 88 (21): 9638–42. Bibcode:1991PNAS...88.9638R. doi:10.1073/pnas.88.21.9638. PMC 52773. PMID 1682919.
- Xiong Y, Connolly T, Futcher B, Beach D (May 1991). "Human D-type cyclin". Cell. 65 (4): 691–9. doi:10.1016/0092-8674(91)90100-D. PMID 1827756. S2CID 33443183.
- Withers DA, Harvey RC, Faust JB, Melnyk O, Carey K, Meeker TC (October 1991). "Characterization of a candidate bcl-1 gene". Molecular and Cellular Biology. 11 (10): 4846–53. doi:10.1128/MCB.11.10.4846. PMC 361453. PMID 1833629.
- Tsujimoto Y, Yunis J, Onorato-Showe L, Erikson J, Nowell PC, Croce CM (June 1984). "Molecular cloning of the chromosomal breakpoint of B-cell lymphomas and leukemias with the t(11;14) chromosome translocation". Science. 224 (4656): 1403–6. Bibcode:1984Sci...224.1403T. doi:10.1126/science.6610211. PMID 6610211.
- Hall M, Bates S, Peters G (October 1995). "Evidence for different modes of action of cyclin-dependent kinase inhibitors: p15 and p16 bind to kinases, p21 and p27 bind to cyclins". Oncogene. 11 (8): 1581–8. PMID 7478582.
- Tassan JP, Jaquenoud M, Léopold P, Schultz SJ, Nigg EA (September 1995). "Identification of human cyclin-dependent kinase 8, a putative protein kinase partner for cyclin C". Proceedings of the National Academy of Sciences of the United States of America. 92 (19): 8871–5. Bibcode:1995PNAS...92.8871T. doi:10.1073/pnas.92.19.8871. PMC 41069. PMID 7568034.
- Fornaro M, Dell'Arciprete R, Stella M, Bucci C, Nutini M, Capri MG, Alberti S (September 1995). "Cloning of the gene encoding Trop-2, a cell-surface glycoprotein expressed by human carcinomas". International Journal of Cancer. 62 (5): 610–8. doi:10.1002/ijc.2910620520. PMID 7665234. S2CID 23260113.
- Motokura T, Arnold A (June 1993). "PRAD1/cyclin D1 proto-oncogene: genomic organization, 5' DNA sequence, and sequence of a tumor-specific rearrangement breakpoint". Genes, Chromosomes & Cancer. 7 (2): 89–95. doi:10.1002/gcc.2870070205. PMID 7687458. S2CID 32254958.






