Essential tremor
Other namesIdiopathic tremor
Archimedean spiral drawings from a man with a unilateral essential tremor. The spiral on the left was drawn by the subject using the left hand, and the one on the right using the right hand.
SpecialtyNeurology
Usual onsetAny age, but typically after 40
CausesUnknown
Risk factorsFamily history, exposure to particular toxins[1]
Diagnostic methodBased on symptoms[2]
Differential diagnosisCerebellar tremor, dystonic tremor, multiple sclerosis, Parkinson's disease[3]
TreatmentMedications, surgery[4]
MedicationBeta blockers, primidone, anti-epileptics, topiramate, gabapentin, levetiracetam, benzodiazepines[4]
FrequencyAnnual incidence of 23.7 per 100,000 (2010)[5]

Essential tremor (ET), also called benign tremor, familial tremor, and idiopathic tremor, is a medical condition characterized by involuntary rhythmic contractions and relaxations (oscillations or twitching movements) of certain muscle groups in one or more body parts of unknown cause.[6] It is typically symmetrical, and affects the arms, hands, or fingers; but sometimes involves the head, vocal cords, or other body parts.[4] Essential tremor is either an action (intention) tremor—it intensifies when one tries to use the affected muscles during voluntary movements such as eating and writing—or it is a postural tremor, present with sustained muscle tone. This means that it is distinct from a resting tremor, such as that caused by Parkinson's disease, which is not correlated with movement.[7]

Essential tremor is a progressive[8][9][10] neurological disorder, and the most common movement disorder. Its onset is usually after age 40, but it can occur at any age. The cause is unknown. Diagnosis is by observing the typical pattern of the tremor coupled with the exclusion of known causes of such a tremor.

While essential tremor is distinct from Parkinson's disease, which causes a resting tremor, essential tremor is nevertheless sometimes misdiagnosed as Parkinson's disease.[4] Some patients have been found to have both essential tremors and resting tremors.[4]

Treatments for essential tremor include medications, typically given sequentially to determine which provides the best compromise between effectiveness and troublesome side effects. Clostridium botulinum toxin (Botox) injections and ultrasound are also sometimes used for cases refractory to medications.

Signs and symptoms

In mild cases, ET can manifest as the inability to stop the tongue or hands from shaking, the ability to sing only in vibrato, and difficulty doing small, precise tasks such as threading a needle. Even simple tasks such as cutting in a straight line or using a ruler can range from difficult to impossible, depending on the severity of the condition. In disabling cases, ET can interfere with a person's activities of daily living, including feeding, dressing, and taking care of personal hygiene. Essential tremor generally presents as a rhythmic tremor (4–12 Hz) that occurs only when the affected muscle is exerting effort. Any sort of physical or mental stress tends to make the tremor worse.[2]

The tremor may also occur in the head (neck), jaw, and voice, as well as other body regions, with the general pattern being that the tremor begins in the arms and then spreads to these other regions in some people. Women are more likely to develop the head tremor than are men. Other types of tremor may also occur, including postural tremor of the outstretched arms, intention tremor of the arms, and rest tremor in the arms.[11] Some people may have unsteadiness and problems with gait and balance.[12]

ET-related tremors do not occur during sleep, but people with ET sometimes complain of an especially coarse tremor upon awakening that becomes noticeably less coarse within the first few minutes of wakefulness. Tremor and disease activity can intensify in response to fatigue, strong emotions, low blood sugar, cold and heat, caffeine, lithium salts, some antidepressants, stress, and other factors.[13]

Parkinson's disease and parkinsonism can also occur simultaneously with ET.[4] The degree of tremor, rigidity, and functional disability did not differ from patients with idiopathic Parkinson's disease. Hand tremor predominated (as it did in Parkinson's disease), and occurred in nearly all cases, followed by head tremor, voice tremor, neck, face, leg, tongue, and trunk tremor. Most other tremors occurred in association with hand tremor. More severe tremors, a lower sleep disorder frequency, and a similar prevalence of other non-motor symptoms also can occur.[14]

Walking difficulties in essential tremor are common. About half of patients have associated dystonia, including cervical dystonia, writer's cramp, spasmodic dysphonia, and cranial dystonia, and 20% of the patients had associated parkinsonism. Olfactory dysfunction (loss of sense of smell) is common in Parkinson's disease, and has also been reported to occur in patients with essential tremor. A number of patients with essential tremor also exhibit many of the same neuropsychiatric disturbances seen in idiopathic Parkinson's disease.[15]

Essential tremor with tremor onset after the age of 65 has been associated with mild cognitive impairment,[16] as well as dementia, although the link between these conditions, if any, is still not understood.[17][18]

Essential tremor has two tremor components, central and peripheral. These two tremor components were identified by measuring the tremor of ET patients once with no weights on their hands and then with 1-pound weights on their hands. The addition of the weights resulted in a tremor spectrum with two peaks, one that maintained the same frequency (the central tremor) and one that decreased in frequency (the peripheral tremor). Only with the addition of the weights was the peripheral tremor distinguishable from the central tremor.[19]

The frequency of essential tremor is 4 to 11 Hz, depending on which body segment is affected. Proximal segments are affected at lower frequencies, and distal segments are affected at higher frequencies.[20]

Cause

Genetic

The underlying cause of essential tremor is not clear, but many cases seem to be familial.[21] About half of the cases are due to a genetic mutation and the pattern of inheritance is most consistent with autosomal dominant transmission. No genes have been identified yet, but genetic linkage has been established with several chromosomal regions.[22][23]

Toxins

Some environmental factors, including toxins, are also under active investigation, as they may play a role in the disease's cause.[24]

Pathophysiology

In terms of pathophysiology, clinical, physiological and imaging studies point to an involvement of the cerebellum and/or cerebellothalamocortical circuits.[25] Changes in the cerebellum could also be mediated by alcoholic beverage consumption. Purkinje cells are especially susceptible to ethanol excitotoxicity.[26] Impairment of Purkinje synapses is a component of cerebellar degradation that could underlie essential tremor.[26] Some cases have Lewy bodies in the locus ceruleus.[27][28][29] ET cases that progress to Parkinson's disease are less likely to have had cerebellar problems.[30] Recent neuroimaging studies[31] have suggested that the efficiency of the overall brain functional network in ET is disrupted.

In 2012, the National Toxicology Program concluded that sufficient evidence exists of an association between blood lead exposure at levels >10 μg/dl and essential tremor in adults, and limited evidence at blood lead levels >5 μg/dl.[32]

Genetics

Recent post mortem studies have evidenced alterations in leucine-rich repeat and Ig domain containing one (LINGO1) gene[33][34] and GABA receptors[35] in the cerebellum of people with essential tremor. HAPT1 mutations have also been linked to ET, as well as to Parkinson's disease, multiple system atrophy, and progressive supranuclear palsy.[36]

Diagnosis

Usually, the diagnosis is established on clinical grounds. Tremors can start at any age, from birth through advanced ages (senile tremor).[37][38] Any voluntary muscle in the body may be affected, although the tremor is most commonly seen in the hands and arms and slightly less commonly in the neck (causing the person's head to shake), tongue, and legs. A resting tremor of the hands is sometimes present.[15][39] Tremor occurring in the legs might be diagnosable as orthostatic tremor.

ET occurs within multiple neurological disorders besides Parkinson's disease. This includes migraine disorders, where co-occurrences between ET and migraines have been examined.[40]

Treatment

General measures

Not all individuals with ET require treatment, but many treatment options are available depending on symptom severity.[4] Caffeine and stress should be avoided, and adequate good-quality sleep is recommended.[4]

Oral medications

First-line

When symptoms are sufficiently troublesome to warrant treatment, the first medication choices are beta blockers, such as propranolol or alternately, nadolol and timolol. Atenolol and pindolol are not effective for tremor.[4] Sotalol has shown some potential efficacy, but this remains an off-label use.[41] The anticonvulsant primidone may also be effective.[4] ET is generally very responsive to alcohol, but the risks of regular drinking are greater than the potential benefit. Nonetheless, ET patients sometimes self-medicate with alcohol.[42]

Propranolol and primidone only have tremor-reducing effects on about half of ET patients, and the effects are moderate.[19]

Second-line

Second-line medications are the anticonvulsants topiramate, gabapentin (as monotherapy) or levetiracetam, or benzodiazepines such as alprazolam.

Third-line

Third-line medications are clonazepam and mirtazapine.[4]

Fourth-line

Theophylline has been used by some practitioners to treat ET, though it may also induce tremor. Its use is debated, though, due to conflicting data on its efficacy.[43] Some evidence shows that low doses may lead to improvement.[44][45]

Ethanol has shown superior efficacy to those of benzodiazepines in small trials. It improves tremor in small doses and its effects are usually noticeable within 20 minutes for 3–5 hours, but occasionally appears in a rebound tremor augmentation later.[46]

Some systematic reviews of medications for the treatment of ET have been conducted. A 2017 review of topiramate found limited data and low-quality evidence to support its efficacy and the occurrence of treatment-limiting adverse effects,[47] a 2017 review of zonisamide found insufficient information to assess efficacy and safety,[48] and a 2016 review of pregabalin determined the effects to be uncertain due to the low quality of evidence.[49]

Botulinum toxin injection

When medications do not control the tremor or the person does not tolerate medication, C. botulinum toxin,[50][51][52][53] deep brain stimulation, or occupational therapy can be helpful.[4] The electrodes for deep brain stimulation are usually placed in the "tremor center" of the brain, the ventral intermediate nucleus of the thalamus.

Ultrasound

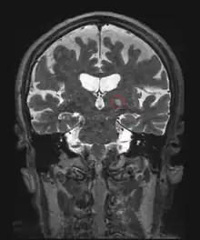
Frontal MRI four days after MRgFUS (MRI-guided high-intensity focused ultrasound): Left ventral intermediate nucleus (Vim) thalamotomy. 79-year-old man with essential tremor.

Additionally, MRI-guided high-intensity focused ultrasound is a nonsurgical treatment option for people with essential tremor who are medication refractory.[54][55] MRI-guided high-intensity focused ultrasound does not achieve healing, but can improve the quality of life by reducing the tremor manifestation.[55][56] While its long-term effects are not yet established, the improvement in tremor score from baseline was durable at 1 year and 2 years following the treatment.[57] To date, reported adverse events and side effects have been mild to moderate. Possible adverse events include gait difficulties, balance disturbances, paresthesias, headache, skin burns with ulcerations, skin retraction, scars, and blood clots.[54][55][58] This procedure is contraindicated in pregnant women, persons who have non-MRI compatible implanted metallic devices, allergy to MR contrast agents, cerebrovascular disease, abnormal bleeding, hemorrhage and/or blood clotting disorders, advanced kidney disease or on dialysis, heart conditions, severe hypertension, and ethanol or substance abuse, among others.[55] The US Food and Drug Administration (FDA) approved Insightec's Exablate Neuro system to treat essential tremor in 2016.[55]

Another treatment for essential tremor is a surgical option; deep brain stimulation is used.

Prognosis

Although essential tremor is often mild, people with severe tremor have difficulty performing many of their routine activities of daily living.[59][60] ET is generally progressive in most cases (sometimes rapidly, sometimes very slowly), and can be disabling in severe cases.[61][62][63]

Epidemiology

ET is one of the most common neurological diseases, with a prevalence around 4% in persons age 40 and older and considerably higher among persons in their 60s, 70s, and 80s, with an estimated 20% of individuals in their 90s and over.[64] Aside from enhanced physiological tremor, it is the most common type of tremor and one of the most commonly observed movement disorders.[65]

Society and culture

Actress Katharine Hepburn (1907–2003) had an essential tremor, possibly inherited from her grandfather,[66] that caused her head—and sometimes her hands—to shake.[67][68][69] The tremor was noticeable by the time of her performance in the 1979 film The Corn Is Green, when critics mentioned the "palsy that kept her head trembling".[70] Hepburn's tremor worsened in her later life.[68]

Charles M. Schulz, American cartoonist and creator of the Peanuts comic strip, was affected during the last two decades of his life.

West Virginia Senator Robert Byrd also had essential tremor.

In 2010, musician Daryl Dragon of The Captain and Tennille was diagnosed with essential tremor, with the condition becoming so severe that Dragon was no longer able to play the keyboards.[71]

Director-writer-producer-comedian Adam McKay was diagnosed with essential tremor.[72]

Downton Abbey creator Julian Fellowes has the condition, as does the show's character Charlie Carson.[73]

In 2022, Matthew Caws of Nada Surf and his son made a PSA called "Living with a Mild Essential Tremor".[74]

Research

Harmaline is a widely used model of essential tremor (ET) in rodents.[75] Harmaline is thought to act primarily on neurons in the inferior olive. Olivocerebellar neurons exhibit rhythmic excitatory action when harmaline is applied locally.[75] Harmane or harmaline has been implicated not only in essential tremors, but is also found in greater quantities in the brain fluid of people with Parkinson's disease and cancer.[76][77][78] Higher levels of the neurotoxin are associated with greater severity of the tremors.[1][79] Harmane is particularly abundant in meats, and certain cooking practices (e.g., long cooking times) increase its concentration,[80][81][82] but at least one study has shown that harmane blood concentrations do not go up after meat consumption in ET patients with already elevated harmane levels, whereas the control group's harmane levels increase accordingly, suggesting that another factor, such as a metabolic defect, may be responsible for the higher harmane levels in ET patients.[83]

Caprylic acid is being researched as a possible treatment for essential tremor. It has currently been approved by the FDA and designated as GRAS, and is used as a food additive and has been studied as part of a ketogenic diet for treatment of epilepsy in children. Research on caprylic acid as a possible treatment for ET began because researchers recognized that ethanol was effective in reducing tremor, and because of this, they looked into longer-chain alcohols reducing tremor. They discovered that 1-octanol reduced tremor and did not have the negative side effects of ethanol. Pharmacokinetic research on 1-octanol lead to the discovery that 1-octanol metabolized into caprylic acid in the body and that caprylic acid actually was the tremor-reducing agent.[84] Many studies of the effects of caprylic acid on essential tremor have been done, including a dose-escalation study on ET patients[85] and a study testing the effects of caprylic acid on central and peripheral tremor.[19] The dose-escalation study examined doses of 8 mg/kg to 128 mg/kg and determined that these concentrations were safe with mild side effects. The maximum tolerated dose was not reached in this study. The study testing the effects of caprylic acid on central and peripheral tremors determined that caprylic acid reduced both.

Terminology

This type of tremor is often referred to as "kinetic tremor". Essential tremor has been known as "benign essential tremor", but the adjective "benign" has been removed in recognition of the sometimes disabling nature of the disorder.[59][60]

See also

References

  1. 1 2 Louis ED, Zheng W, Mao X, Shungu DC (August 2007). "Blood harmane is correlated with cerebellar metabolism in essential tremor: a pilot study". Neurology. 69 (6): 515–20. doi:10.1212/01.wnl.0000266663.27398.9f. PMID 17679670. S2CID 7612446.
  2. 1 2 "Essential Tremor Treatment at the Johns Hopkins Movement Disorders Center in Baltimore, MD". hopkinsmedicine.org. Retrieved October 27, 2014.
  3. Bhidayasiri R (December 2005). "Differential diagnosis of common tremor syndromes". Postgraduate Medical Journal. 81 (962): 756–62. doi:10.1136/pgmj.2005.032979. PMC 1743400. PMID 16344298.
  4. 1 2 3 4 5 6 7 8 9 10 11 12 Abboud H, Ahmed A, Fernandez HH (December 2011). "Essential tremor: choosing the right management plan for your patient". Cleveland Clinic Journal of Medicine. 78 (12): 821–8. doi:10.3949/ccjm.78a.10178. PMID 22135272. S2CID 58374.
  5. Zesiewicz TA, Chari A, Jahan I, Miller AM, Sullivan KL (September 2010). "Overview of essential tremor". Neuropsychiatric Disease and Treatment. 6: 401–8. doi:10.2147/ndt.s4795. PMC 2938289. PMID 20856604.
  6. "tremor""at Dorland's Medical Dictionary
  7. "LINGO1 variant responsible for essential tremors and Parkinson's disease". news-medical.net. 2009-09-02. Retrieved October 27, 2014.
  8. Shukla AW. "Essential Tremor Information". Unified Health. Retrieved 17 June 2018.
  9. Louis ED. "Essential Tremor". National Organization for Rare Disorders. Retrieved 17 June 2018.
  10. Gironell A, Ribosa-Nogué R, Gich I, Marin-Lahoz J, Pascual-Sedano B (2015). "Severity stages in essential tremor: a long-term retrospective study using the glass scale". Tremor and Other Hyperkinetic Movements. 5: 299. doi:10.7916/D8DV1HQC. PMC 4361372. PMID 25793146.
  11. Louis ED (September 2001). "Clinical practice. Essential tremor". The New England Journal of Medicine. 345 (12): 887–91. doi:10.1056/nejmcp010928. PMID 11565522.
  12. Fasano A, Herzog J, Raethjen J, Rose F, Muthuraman M, Volkmann J, Falk D, Elble R, Deuschl G (Dec 2010). "Gait ataxia in essential tremor is differentially modulated by thalamic stimulation". Brain. 133 (Pt 12): 3635–3648. doi:10.1093/brain/awq267. PMID 20926368.
  13. Elble RJ (June 2013). "What is essential tremor?". Curr Neurol Neurosci Rep. 13 (6): 353. doi:10.1007/s11910-013-0353-4. PMC 3674100. PMID 23591755.
  14. Ryu DW, Lee SH, Oh YS, An JY, Park JW, Song IU, Lee KS, Kim JS (2017-05-16). "Clinical Characteristics of Parkinson's Disease Developed from Essential Tremor". Journal of Parkinson's Disease. 7 (2): 369–376. doi:10.3233/JPD-160992. PMID 28409750.
  15. 1 2 Rajput AH, Rozdilsky B, Ang L, Rajput A (May 1993). "Significance of parkinsonian manifestations in essential tremor". The Canadian Journal of Neurological Sciences. 20 (2): 114–7. doi:10.1017/s031716710004765x. PMID 8334571. INIST 4838591.
  16. Benito-León J, Louis ED, Mitchell AJ, Bermejo-Pareja F (2011). "Elderly-onset essential tremor and mild cognitive impairment: a population-based study (NEDICES)". Journal of Alzheimer's Disease. 23 (4): 727–35. doi:10.3233/JAD-2011-101572. PMID 21304183.
  17. Benito-León J, Louis ED, Bermejo-Pareja F (May 2006). "Elderly-onset essential tremor is associated with dementia". Neurology. 66 (10): 1500–5. doi:10.1212/01.wnl.0000216134.88617.de. PMID 16717208. S2CID 34434554.
  18. Klein RD, Kincaid RL, Hodgson AS, Harrison JH, Hillers JK, Cronrath JD (October 1987). "Dietary fiber and early weaning on growth and rumen development of calves". Journal of Dairy Science. 70 (10): 2095–104. doi:10.3168/jds.S0022-0302(87)80259-X. PMC 2824583. PMID 18043006.
  19. 1 2 3 Cao H, Thompson-Westra J, Hallett M, Haubenberger D (July 2018). "The response of the central and peripheral tremor component to octanoic acid in patients with essential tremor". Clinical Neurophysiology. 129 (7): 1467–1471. doi:10.1016/j.clinph.2018.03.016. PMC 6530908. PMID 29678370.
  20. Bracker, Mark D. (December 1994). "A Skin-Deep Diagnosis". The Physician and Sportsmedicine. 22 (12): 79–82. doi:10.1080/00913847.1994.11947721. ISSN 0091-3847. PMID 29272964.
  21. Deng H, Le W, Jankovic J (June 2007). "Genetics of essential tremor". Brain. 130 (Pt 6): 1456–64. doi:10.1093/brain/awm018. PMID 17353225.
  22. Higgins JJ, Pho LT, Nee LE (November 1997). "A gene (ETM) for essential tremor maps to chromosome 2p22-p25". Movement Disorders. 12 (6): 859–64. doi:10.1002/mds.870120605. PMID 9399207. S2CID 2614579.
  23. Gulcher JR, Jónsson P, Kong A, Kristjánsson K, Frigge ML, Kárason A, Einarsdóttir IE, Stefánsson H, Einarsdóttir AS, Sigurthoardóttir S, Baldursson S, Björnsdóttir S, Hrafnkelsdóttir SM, Jakobsson F, Benedickz J, Stefánsson K (September 1997). "Mapping of a familial essential tremor gene, FET1, to chromosome 3q13". Nature Genetics. 17 (1): 84–7. doi:10.1038/ng0997-84. PMID 9288103. S2CID 1506516.
  24. Louis ED (September 2001). "Etiology of essential tremor: should we be searching for environmental causes?". Movement Disorders. 16 (5): 822–9. doi:10.1002/mds.1183. PMID 11746611. S2CID 38809483.
  25. Louis ED, Vonsattel JP (January 2008). "The emerging neuropathology of essential tremor". Movement Disorders. 23 (2): 174–82. doi:10.1002/mds.21731. PMC 2692583. PMID 17999421.
  26. 1 2 Mostile G, Jankovic J (October 2010). "Alcohol in essential tremor and other movement disorders". Movement Disorders. 25 (14): 2274–84. doi:10.1002/mds.23240. PMID 20721919. S2CID 39981956.
  27. Louis ED (October 2009). "Essential tremors: a family of neurodegenerative disorders?". Archives of Neurology. 66 (10): 1202–8. doi:10.1001/archneurol.2009.217. PMC 2762114. PMID 19822775.
  28. Louis ED (2014). "'Essential tremor' or 'the essential tremors': is this one disease or a family of diseases?". Neuroepidemiology. 42 (2): 81–9. doi:10.1159/000356351. PMC 3945103. PMID 24335621.
  29. Louis ED, Faust PL, Vonsattel JP, Honig LS, Rajput A, Robinson CA, Rajput A, Pahwa R, Lyons KE, Ross GW, Borden S, Moskowitz CB, Lawton A, Hernandez N (December 2007). "Neuropathological changes in essential tremor: 33 cases compared with 21 controls". Brain. 130 (Pt 12): 3297–307. doi:10.1093/brain/awm266. PMID 18025031.
  30. Ghika A, Kyrozis A, Potagas C, Louis ED (2015). "Motor and Non-motor Features: Differences between Patients with Isolated Essential Tremor and Patients with Both Essential Tremor and Parkinson's Disease". Tremor and Other Hyperkinetic Movements. 5: 335. doi:10.7916/D83777WK. PMC 4548968. PMID 26336614.
  31. Benito-León J, Sanz-Morales E, Melero H, Louis ED, Romero JP, Rocon E, Malpica N (November 2019). "Graph theory analysis of resting-state functional magnetic resonance imaging in essential tremor". Human Brain Mapping. 40 (16): 4686–4702. doi:10.1002/hbm.24730. PMC 6865733. PMID 31332912.
  32. National Toxicology Program (June 2012). "NTP monograph on health effects of low-level lead" (PDF). NTP Monograph. US Department of Health and Human Services (1): xiii, xv–148. PMID 23964424.
  33. Delay C, Tremblay C, Brochu E, Paris-Robidas S, Emond V, Rajput AH, Rajput A, Calon F (November 2014). "Increased LINGO1 in the cerebellum of essential tremor patients". Movement Disorders. 29 (13): 1637–47. doi:10.1002/mds.25819. PMID 24531928. S2CID 27331090.
  34. Kuo SH, Tang G, Louis ED, Ma K, Babji R, Balatbat M, Cortes E, Vonsattel JP, Yamamoto A, Sulzer D, Faust PL (June 2013). "Lingo-1 expression is increased in essential tremor cerebellum and is present in the basket cell pinceau". Acta Neuropathologica. 125 (6): 879–89. doi:10.1007/s00401-013-1108-7. PMC 3663903. PMID 23543187.
  35. Paris-Robidas S, Brochu E, Sintes M, Emond V, Bousquet M, Vandal M, Pilote M, Tremblay C, Di Paolo T, Rajput AH, Rajput A, Calon F (January 2012). "Defective dentate nucleus GABA receptors in essential tremor". Brain. 135 (Pt 1): 105–16. doi:10.1093/brain/awr301. PMID 22120148.
  36. Vilariño-Güell C, Soto-Ortolaza AI, Rajput A, Mash DC, Papapetropoulos S, Pahwa R, Lyons KE, Uitti RJ, Wszolek ZK, Dickson DW, Farrer MJ, Ross OA (February 2011). "MAPT H1 haplotype is a risk factor for essential tremor and multiple system atrophy". Neurology. 76 (7): 670–2. doi:10.1212/WNL.0b013e31820c30c1. PMC 3053340. PMID 21321341.
  37. Louis ED, Dure LS, Pullman S (September 2001). "Essential tremor in childhood: a series of nineteen cases". Movement Disorders. 16 (5): 921–3. doi:10.1002/mds.1182. PMID 11746623. S2CID 30848508.
  38. Bain PG, Findley LJ, Thompson PD, Gresty MA, Rothwell JC, Harding AE, Marsden CD (August 1994). "A study of hereditary essential tremor". Brain. 117 (4): 805–24. doi:10.1093/brain/117.4.805. PMID 7922467.
  39. Cohen O, Pullman S, Jurewicz E, Watner D, Louis ED (2003). "Rest tremor in essential tremor patients: Prevalence, clinical correlates, and electrophysiological characteristics". Arch Neurol. 60 (3): 405–410. doi:10.1001/archneur.60.3.405. PMID 12633153.
  40. Biary N, Koller W, Langenberg P (December 1990). "Correlation between essential tremor and migraine headache". Journal of Neurology, Neurosurgery, and Psychiatry. 53 (12): 1060–2. doi:10.1136/jnnp.53.12.1060. PMC 488315. PMID 2292698.
  41. P N Leigh; D Jefferson; A Twomey; C D Marsden (Aug 1985). "Beta-adrenoreceptor mechanisms in essential tremor; a double-blind placebo controlled trial of metoprolol, sotalol and atenolol". J Neurol Neurosurg Psychiatry. 46 (8): 510–15. doi:10.1136/jnnp.46.8.710. PMC 1027523. PMID 1027523. S2CID 12506398.
  42. Mostile, Giovanni; Jankovic, Joseph (2010). "Alcohol in essential tremor and other movement disorders". Movement Disorders. 25 (14): 2274–2284. doi:10.1002/mds.23240. ISSN 1531-8257. PMID 20721919. S2CID 39981956.
  43. Zesiewicz TA, Elble R, Louis ED, Hauser RA, Sullivan KL, Dewey RB, Ondo WG, Gronseth GS, Weiner WJ (June 2005). "Practice parameter: therapies for essential tremor: report of the Quality Standards Subcommittee of the American Academy of Neurology". Neurology. 64 (12): 2008–20. doi:10.1212/01.WNL.0000163769.28552.CD. PMID 15972843.
  44. Mally J, Stone TW (June 1991). "The effect of theophylline on essential tremor: the possible role of GABA". Pharmacology Biochemistry and Behavior. 39 (2): 345–9. doi:10.1016/0091-3057(91)90190-D. PMID 1946576. S2CID 1344534.
  45. Mally J, Stone TW (October 1995). "Efficacy of an adenosine antagonist, theophylline, in essential tremor: comparison with placebo and propranolol". Journal of the Neurological Sciences. 132 (2): 129–32. doi:10.1016/0022-510X(95)00128-O. PMID 8543937. S2CID 21810329.
  46. Ondo W (2016). "Essential Tremor: What We Can Learn from Current Pharmacotherapy". Tremor and Other Hyperkinetic Movements. 6: 356. doi:10.7916/D8K35TC3. PMC 4790207. PMID 26989572.
  47. Bruno E, Nicoletti A, Quattrocchi G, Allegra R, Filippini G, Colosimo C, Zappia M (April 2017). "Topiramate for essential tremor". The Cochrane Database of Systematic Reviews. 2017 (4): CD009683. doi:10.1002/14651858.CD009683.pub2. PMC 6478240. PMID 28409827.
  48. Bruno E, Nicoletti A, Filippini G, Quattrocchi G, Colosimo C, Zappia M (August 2017). "Zonisamide for essential tremor". The Cochrane Database of Systematic Reviews. 2017 (8): CD009684. doi:10.1002/14651858.CD009684.pub2. PMC 6483684. PMID 28836659.
  49. Bruno E, Nicoletti A, Quattrocchi G, Filippini G, Colosimo C, Zappia M (October 2016). "Pregabalin for essential tremor". The Cochrane Database of Systematic Reviews. 10 (7): CD009682. doi:10.1002/14651858.CD009682.pub2. PMC 6461190. PMID 27763691.
  50. Zakin E, Simpson D (November 2017). "Botulinum Toxin in Management of Limb Tremor". Toxins. 9 (11): 365. doi:10.3390/toxins9110365. PMC 5705980. PMID 29125566.
  51. Samotus O, Rahimi F, Lee J, Jog M (2016). "Functional Ability Improved in Essential Tremor by IncobotulinumtoxinA Injections Using Kinematically Determined Biomechanical Patterns - A New Future". PLOS ONE. 11 (4): e0153739. Bibcode:2016PLoSO..1153739S. doi:10.1371/journal.pone.0153739. PMC 4839603. PMID 27101283.
  52. Samotus O, Lee J, Jog M (2017). "Long-term tremor therapy for Parkinson and essential tremor with sensor-guided botulinum toxin type A injections". PLOS ONE. 12 (6): e0178670. Bibcode:2017PLoSO..1278670S. doi:10.1371/journal.pone.0178670. PMC 5460844. PMID 28586370.
  53. Samotus O, Kumar N, Rizek P, Jog M (January 2018). "Botulinum Toxin Type A Injections as Monotherapy for Upper Limb Essential Tremor Using Kinematics". The Canadian Journal of Neurological Sciences. 45 (1): 11–22. doi:10.1017/cjn.2017.260. PMID 29157315.
  54. 1 2 Rohani M, Fasano A (2017). "Focused Ultrasound for Essential Tremor: Review of the Evidence and Discussion of Current Hurdles". Tremor and Other Hyperkinetic Movements. 7: 462. doi:10.7916/D8Z89JN1. PMC 5425801. PMID 28503363.
  55. 1 2 3 4 5 FDA News Release. "FDA approves first MRI-guided focused ultrasound device to treat essential tremor", FDA, July 11, 2016
  56. Aharonson V, Postema M, Gebbie R, Van Der Merwe J, Schlesinger I (2023). "Sobel edge detection for quantifying the effectiveness of focused ultrasound thalamotomy for tremor relief". Current Directions in Biomedical Engineering. 9 (1): 17–20. doi:10.1515/cdbme-2023-1005.
  57. Chang JW, Park CK, Lipsman N, Schwartz ML, Ghanouni P, Henderson JM, Gwinn R, Witt J, Tierney TS, Cosgrove GR, Shah BB, Abe K, Taira T, Lozano AM, Eisenberg HM, Fishman PS, Elias WJ (December 2017). "A Prospective Trial of Magnetic Resonance guided Focused Ultrasound Thalamotomy for Essential Tremor: Results at the 2-year Follow-up". Annals of Neurology. 83 (1): 107–114. doi:10.1002/ana.25126. PMID 29265546. S2CID 4437809.
  58. Hedera P (February 2017). "Emerging strategies in the management of essential tremor". Therapeutic Advances in Neurological Disorders (Review). 10 (2): 137–148. doi:10.1177/1756285616679123. PMC 5367648. PMID 28382111.
  59. 1 2 Bain PG, Mally J, Gresty M, Findley LJ (November 1993). "Assessing the impact of essential tremor on upper limb function". Journal of Neurology. 241 (1): 54–61. doi:10.1007/bf00870673. PMID 8138823. S2CID 9502687.
  60. 1 2 Louis ED, Barnes L, Albert SM, Cote L, Schneier FR, Pullman SL, Yu Q (September 2001). "Correlates of functional disability in essential tremor". Movement Disorders. 16 (5): 914–20. doi:10.1002/mds.1184. PMID 11746622. S2CID 9540572.
  61. Critchley M (1949). "Observations on essential (heredofamilial) tremor". Brain. 72 (2): 113–139. doi:10.1093/brain/72.2.113. PMID 18136705.
  62. Busenbark KL, Nash J, Nash S, Hubble JP, Koller WC (1991). "Is essential tremor benign?". Neurology. 41 (12): 1982–1983. doi:10.1212/wnl.41.12.1982. PMID 1745359. S2CID 41199748.
  63. Louis ED, Ford B, Barnes LF (2000). "Clinical subtypes of essential tremor". Arch Neurol. 57 (8): 1194–1198. doi:10.1001/archneur.57.8.1194. PMID 10927801.
  64. Louis ED, Ferreira JJ (April 2010). "How common is the most common adult movement disorder? Update on the worldwide prevalence of essential tremor". Movement Disorders. 25 (5): 534–41. doi:10.1002/mds.22838. PMID 20175185. S2CID 32051975.
  65. Benito-León J, Louis ED (December 2006). "Essential tremor: emerging views of a common disorder". Nature Clinical Practice Neurology. 2 (12): 666–78, quiz 2p following 691. doi:10.1038/ncpneuro0347. PMID 17117170. S2CID 5902956.
  66. Healy, David (director) (January 18, 1993). Katharine Hepburn: All About Me. Turner Home Entertainment.
  67. Claiborne RC (July 22, 2003). "Q & A; Head and Hand Tremors". The New York Times. Retrieved November 3, 2013.
  68. 1 2 Berg AS (2004) [2003]. Kate Remembered: Katharine Hepburn, a personal biography. London: Pocket. p. 260. ISBN 978-0-7434-1563-7.
  69. Conova S (January 29, 2003). "Stopping essential tremor". In Vivo. Columbia University Health Sciences. 2 (2).
  70. Dickens H (1990) [1971]. The Films of Katharine Hepburn. New York City, NY: Carol Publishing Group. p. 31. ISBN 978-0-8065-1175-7.
  71. Grow, Kory (2019-01-03). "Daryl Dragon, Captain and Tennille's Captain, Dead at 76". Rolling Stone. Retrieved 2022-03-02.
  72. Goodyear D (14 March 2011). "Hollywood Shadows". The New Yorker. Retrieved 2018-12-13.
  73. "Downton Abbey creator reveals reason he gave Mr Carson a tremor". Breaking News.ie. November 19, 2019. Retrieved August 20, 2020.
  74. "Essential Tremor". Matthewcaws.com. Retrieved April 9, 2022.
  75. 1 2 Miwa H (2007). "Rodent models of tremor". Cerebellum. 6 (1): 66–72. doi:10.1080/14734220601016080. PMID 17366267. S2CID 24179439.
  76. Kuhn W, Müller T, Grosse H, Rommelspacher H (1996). "Elevated levels of harman and norharman in cerebrospinal fluid of parkinsonian patients". Journal of Neural Transmission. 103 (12): 1435–40. doi:10.1007/bf01271257. PMID 9029410. S2CID 21230301.
  77. Pfau W, Skog K (March 2004). "Exposure to beta-carbolines norharman and harman". Journal of Chromatography B. 802 (1): 115–26. doi:10.1016/j.jchromb.2003.10.044. PMID 15036003.
  78. Louis ED, Pellegrino KM, Factor-Litvak P, Rios E, Jiang W, Henchcliffe C, Zheng W (September 2008). "Cancer and blood concentrations of the comutagen harmane in essential tremor". Movement Disorders. 23 (12): 1747–51. doi:10.1002/mds.22084. PMC 2597456. PMID 18709680.
  79. Louis ED, Factor-Litvak P, Gerbin M, Slavkovich V, Graziano JH, Jiang W, Zheng W (March 2011). "Blood harmane, blood lead, and severity of hand tremor: evidence of additive effects". Neurotoxicology. 32 (2): 227–32. doi:10.1016/j.neuro.2010.12.002. PMC 3073713. PMID 21145352.
  80. Louis ED, Jiang W, Gerbin M, Viner AS, Factor-Litvak P, Zheng W (2012). "Blood harmane (1-methyl-9H-pyrido[3,4-b]indole) concentrations in essential tremor: repeat observation in cases and controls in New York". Journal of Toxicology and Environmental Health. Part A. 75 (12): 673–83. doi:10.1080/15287394.2012.688485. PMC 3412610. PMID 22757671.
  81. Louis ED, Zheng W, Jiang W, Bogen KT, Keating GA (June 2007). "Quantification of the neurotoxic beta-carboline harmane in barbecued/grilled meat samples and correlation with level of doneness". Journal of Toxicology and Environmental Health. Part A. 70 (12): 1014–9. doi:10.1080/15287390601172015. PMC 4993204. PMID 17497412.
  82. Louis ED, Keating GA, Bogen KT, Rios E, Pellegrino KM, Factor-Litvak P (2008). "Dietary epidemiology of essential tremor: meat consumption and meat cooking practices". Neuroepidemiology. 30 (3): 161–6. doi:10.1159/000122333. PMC 2821442. PMID 18382115.
  83. Louis ED, Zheng W, Applegate L, Shi L, Factor-Litvak P (August 2005). "Blood harmane concentrations and dietary protein consumption in essential tremor". Neurology. 65 (3): 391–6. doi:10.1212/01.wnl.0000172352.88359.2d. PMC 4993192. PMID 16087903.
  84. Haubenberger D, McCrossin G, Lungu C, Considine E, Toro C, Nahab FB, Auh S, Buchwald P, Grimes GJ, Starling J, Potti G, Scheider L, Kalowitz D, Bowen D, Carnie A, Hallett M (March 2013). "Octanoic acid in alcohol-responsive essential tremor: a randomized controlled study". Neurology. 80 (10): 933–40. doi:10.1212/WNL.0b013e3182840c4f. PMC 3653213. PMID 23408867.
  85. Voller B, Lines E, McCrossin G, Tinaz S, Lungu C, Grimes G, Starling J, Potti G, Buchwald P, Haubenberger D, Hallett M (April 2016). "Dose-escalation study of octanoic acid in patients with essential tremor". The Journal of Clinical Investigation. 126 (4): 1451–7. doi:10.1172/JCI83621. PMC 4811161. PMID 26927672.
This article is issued from Wikipedia. The text is licensed under Creative Commons - Attribution - Sharealike. Additional terms may apply for the media files.