Detail from a painting by Pisanello, 1436–1438

Hanging is killing a person by suspending them from the neck with a noose or ligature. Hanging has been a common method of capital punishment since the Middle Ages, and is the primary execution method in numerous countries and regions. The first known account of execution by hanging is in Homer's Odyssey.[1] Hanging is also a method of suicide.

The past and past participle of hang in this sense is hanged rather than hung.

Methods of judicial hanging

There are numerous methods of hanging in execution which instigate death either by cervical fracture or by strangulation.

Short drop

Execution of guards and kapos of the Stutthof concentration camp on 4 July 1946 by short-drop hanging. In the foreground are the female overseers: Jenny-Wanda Barkmann, Ewa Paradies, Elisabeth Becker, Wanda Klaff, Gerda Steinhoff (left to right)

The short drop is a method of hanging in which the condemned prisoner stands on a raised support such as a stool, ladder, cart, or other vehicle, with the noose around the neck. The support is then moved away, leaving the person dangling from the rope.[2][3]

Suspended by the neck, the weight of the body tightens the noose around the neck, effecting strangulation and death. This typically takes 10–20 minutes.[4]

Before 1850, the short drop was the standard method of hanging, and it is still common in suicides and extrajudicial hangings (such as lynchings and summary executions) which do not benefit from the specialised equipment and drop-length calculation tables used in the newer methods.

Pole method

Mass execution of Serbs by the Austro-Hungarian army in 1916

A short-drop variant is the Austro-Hungarian "pole" method, called Würgegalgen (literally: strangling gallows), in which the following steps take place:

  1. The condemned is made to stand before a specialized vertical pole or pillar, approximately 3 metres (9.8 ft) in height.
  2. A rope is attached around the condemned's feet and routed through a pulley at the base of the pole.
  3. The condemned is hoisted to the top of the pole by means of a sling running across the chest and under the armpits.
  4. A narrow-diameter noose is looped around the prisoner's neck, then secured to a hook mounted at the top of the pole.
  5. The chest sling is released, and the prisoner is rapidly jerked downward by the assistant executioners via the foot rope.
  6. The executioner stands on a stepped platform approximately 1.2 metres (3.9 ft) high beside the condemned. The executioner would place the heel of his hand beneath the prisoner's jaw to increase the force on the neck vertebrae at the end of the drop, then manually dislocate the condemned's neck by forcing the head to one side while the neck vertebrae were under traction.

This method was later also adopted by the successor states, most notably by Czechoslovakia, where the "pole" method was used as the single type of execution from 1918 until the abolition of capital punishment in 1990. Nazi war criminal Karl Hermann Frank, executed in 1946 in Prague, was among approximately 1,000 condemned people executed in this manner in Czechoslovakia.[5]

Standard drop

The execution of Henry Wirz in 1865 near the U.S. Capitol; Wirz was given a standard drop, which did not break his neck

The standard drop involves a drop of between 4 and 6 feet (1.2–1.8 m) and came into use from 1866, when the scientific details were published by Irish doctor Samuel Haughton. Its use rapidly spread to English-speaking countries and those with judicial systems of English origin.

It was considered a humane improvement on the short drop because it was intended to be enough to break the person's neck, causing immediate unconsciousness and rapid brain death.[6][7]

This method was used to execute condemned Nazis under United States jurisdiction after the Nuremberg Trials, including Joachim von Ribbentrop and Ernst Kaltenbrunner.[8] In the execution of Ribbentrop, historian Giles MacDonogh records that: "The hangman botched the execution and the rope throttled the former foreign minister for 20 minutes before he expired."[9] A Life magazine report on the execution merely says: "The trap fell open and with a sound midway between a rumble and a crash, Ribbentrop disappeared. The rope quivered for a time, then stood tautly straight."[10]

Long drop

Sepia-tone photo from a contemporary 1901 postcard showing Tom Ketchum's decapitated body following a botched execution by long drop hanging. Caption reads "Body of Black Jack after the hanging showing head snapped off."
Execution of an unidentified Nazi war criminal after World War II

The long drop process, also known as the measured drop, was introduced to Britain in 1872 by William Marwood as a scientific advance on the standard drop. Instead of everyone falling the same standard distance, the person's height and weight[11] were used to determine how much slack would be provided in the rope so that the distance dropped would be enough to ensure that the neck was broken, but not so much that the person was decapitated. Careful placement of the eye or knot of the noose (so that the head was jerked back as the rope tightened) contributed to breaking the neck.

Prior to 1892, the drop was between four to ten feet (about one to three metres), depending on the weight of the body, and was calculated to deliver an energy of 1,260 foot-pounds force (1,710 J), which fractured the neck at either the 2nd and 3rd or 4th and 5th cervical vertebrae. This force resulted in some decapitations, such as the infamous case of Black Jack Ketchum in New Mexico Territory in 1901, owing to a significant weight gain while in custody not having been factored into the drop calculations. Between 1892 and 1913, the length of the drop was shortened to avoid decapitation. After 1913, other factors were also taken into account, and the energy delivered was reduced to about 1,000 foot-pounds force (1,400 J).

weight of prisoner[12] 1892 drop(ft & inches) Ft.lbs energy developed 1913 drop(feet & inches) Ft.lbs energy developed
105 and under8'0"840--
1107'10"862--
1157'3"8348'6"1003
1207'0"8408'4"1000
1256'9"8448'0"1000
1306'5"8347'8"996
1356'2"8337'5"1001
1406'0"8407'2"1003
1455'9"8346'11"1003
1505'7"8386'8"999
1555'5"8406'5"995
1605'3"8536'3"1000
1655'1"8396'1"1004
1704'11"8365'10"992
1754'9"8315'8"991
1804'8"8395'7"1005
1854'7"8485'5"1002
1904'5"8395'3"993
1954'4"8445'2"1008
200 and over4'2"8335'0"1008


The decapitation of Eva Dugan during a botched hanging in 1930 led the state of Arizona to switch to the gas chamber as its primary execution method, on the grounds that it was believed more humane.[13] One of the more recent decapitations as a result of the long drop occurred when Barzan Ibrahim al-Tikriti was hanged in Iraq in 2007.[14] Accidental decapitation also occurred during the 1962 hanging of Arthur Lucas, one of the last two individuals to be put to death in Canada.[15]

Nazis executed under British jurisdiction, including Josef Kramer, Fritz Klein, Irma Grese and Elisabeth Volkenrath, were hanged by Albert Pierrepoint using the variable-drop method devised by Marwood. The record speed for a British long-drop hanging was seven seconds from the executioner entering the cell to the drop. Speed was considered to be important in the British system as it reduced the condemned's mental distress.[16]

Long drop hanging is still practiced as the method of execution in a few countries, including Japan and Singapore.[17][18]

As suicide

Suicide by hanging

Hanging is a common suicide method. The materials necessary for suicide by hanging are readily available to the average person, compared with firearms or poisons. Full suspension is not required, and for this reason, hanging is especially commonplace among suicidal prisoners (see suicide watch). A type of hanging comparable to full suspension hanging may be obtained by self-strangulation using a ligature around the neck and the partial weight of the body (partial suspension) to tighten the ligature. When a suicidal hanging involves partial suspension the deceased is found to have both feet touching the ground, e.g., they are kneeling, crouching or standing. Partial suspension or partial weight-bearing on the ligature is sometimes used, particularly in prisons, mental hospitals or other institutions, where full suspension support is difficult to devise, because high ligature points (e.g., hooks or pipes) have been removed.[19]

In Canada, hanging is the most common method of suicide,[20] and in the U.S., hanging is the second most common method, after self-inflicted gunshot wounds.[21] In the United Kingdom, where firearms are less easily available, in 2001 hanging was the most common method among men and the second most commonplace among women (after poisoning).[22]

Those who survive a suicide-via-hanging attempt, whether due to breakage of the cord or ligature point, or being discovered and cut down, face a range of serious injuries, including cerebral anoxia (which can lead to permanent brain damage), laryngeal fracture, cervical spine fracture (which may cause paralysis), tracheal fracture, pharyngeal laceration, and carotid artery injury.[23]

As human sacrifice

There are some suggestions that the Vikings practiced hanging as human sacrifices to Odin, to honour Odin's own sacrifice of hanging himself from Yggdrasil.[24] In Northern Europe, it is widely speculated that the Iron Age bog bodies, many who show signs of having been hanged were examples of human sacrifice to the gods.[25]

Medical effects

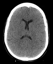
Anoxic brain injury following a hanging. The loss of grey white matter differentiation and small ventricles due to brain swelling are visible.

A hanging may induce one or more of the following medical conditions, some leading to death:

The cause of death in hanging depends on the conditions related to the event. When the body is released from a relatively high position, the major cause of death is severe trauma to the upper cervical spine. The injuries produced are highly variable. One study showed that only a small minority of a series of judicial hangings produced fractures to the cervical spine (6 out of 34 cases studied), with half of these fractures (3 out of 34) being the classic "hangman's fracture" (bilateral fractures of the pars interarticularis of the C2 vertebra).[26] The location of the knot of the hanging rope is a major factor in determining the mechanics of cervical spine injury, with a submental knot (hangman's knot under the chin) being the only location capable of producing the sudden, straightforward hyperextension injury that causes the classic "hangman's fracture".

According to Historical and biomechanical aspects of hangman's fracture, the phrase in the usual execution order, "hanged by the neck until dead", was necessary.[1] By the late 19th century that methodical study enabled authorities to routinely employ hanging in ways that would predictably kill the victim quickly.

The side, or subaural knot, has been shown to produce other, more complex injuries, with one thoroughly studied case producing only ligamentous injuries to the cervical spine and bilateral vertebral artery disruptions, but no major vertebral fractures or crush injuries to the spinal cord.[27] Death from a "hangman's fracture" occurs mainly when the applied force is severe enough to also cause a severe subluxation of the C2 and C3 vertebra that crushes the spinal cord and/or disrupts the vertebral arteries. Hangman's fractures from other hyperextension injuries (the most common being unrestrained motor vehicle accidents and falls or diving injuries where the face or chin suddenly strike an immovable object) are frequently survivable if the applied force does not cause a severe subluxation of C2 on C3.

John Ogilvie, who in 1615 was hanged and disembowelled after torture for his refusal to give up the Catholic faith and convert to Protestantism

In the absence of fracture and dislocation, occlusion of blood vessels becomes the major cause of death, rather than asphyxiation. Obstruction of venous drainage of the brain via occlusion of the internal jugular veins leads to cerebral oedema and then cerebral ischemia. The face will typically become engorged and cyanotic (turned blue through lack of oxygen). There will be the classic sign of strangulation, petechiae, little blood marks on the face and in the eyes from burst blood capillaries. The tongue may protrude.

Compromise of the cerebral blood flow may occur by obstruction of the carotid arteries, even though their obstruction requires far more force than the obstruction of jugular veins, since they are seated deeper and they contain blood in much higher pressure compared to the jugular veins. Where death has occurred through carotid artery obstruction or cervical fracture, the face will typically be pale in colour and not show petechiae. Many reports and pictures exist of actual short-drop hangings that seem to show that the person died quickly, while others indicate a slow and agonising death by strangulation.[28]

When cerebral circulation is severely compromised by any mechanism, arterial or venous, death occurs over four or more minutes from cerebral hypoxia, although the heart may continue to beat for some period after the brain can no longer be resuscitated. The time of death in such cases is a matter of convention. In judicial hangings, death is pronounced at cardiac arrest, which may occur at times from several minutes up to 15 minutes or longer after hanging. During suspension, once the prisoner has lapsed into unconsciousness, rippling movements of the body and limbs may occur for some time which are usually attributed to nervous and muscular reflexes. In Britain, it was normal to leave the body suspended for an hour to ensure death.

After death, the body typically shows marks of suspension: bruising and rope marks on the neck. Sphincters will relax spontaneously and urine and faeces will be evacuated. Forensic experts may often be able to tell if hanging is suicide or homicide, as each leaves a distinctive ligature mark. One of the hints they use is the hyoid bone. If broken, it often means the person has been murdered by manual strangulation.

Notable practices across the globe

La Pendaison (The Hanging), a plate from French artist Jacques Callot's 1633 series The Great Miseries of War.

Hanging has been a method of capital punishment in many countries, and is still used by many countries to this day. Long-drop hanging is mainly used by former British colonies, while short-drop and suspension hanging is common elsewhere, in countries including Iran and Afghanistan.

Afghanistan

Hanging is the most used form of capital punishment in Afghanistan.

Australia

Capital punishment was a part of the legal system of Australia from the establishment of New South Wales as a British penal colony, until 1985, by which time all Australian states and territories had abolished the death penalty;[29] in practice, the last execution in Australia was the hanging of Ronald Ryan on 3 February 1967, in Victoria.[30]

During the 19th century, crimes that could carry a death sentence included burglary, sheep theft, forgery, sexual assaults, murder and manslaughter. During the 19th century, there were roughly eighty people hanged every year throughout the Australian colonies for these crimes.

Bahamas

Bahamas employs hanging to execute the condemned but no executions have been conducted in the country since 2000. In recent years, there have been some inmates on death row but their sentences have been commuted.[31]

Bangladesh

Hanging is the only method of execution in Bangladesh, ever since its independence.

Brazil

Death by hanging was the customary method of capital punishment in Brazil throughout its history. Some important national heroes like Tiradentes (1792) were killed by hanging. The last man executed in Brazil was the slave Francisco, in 1876.[32] The death penalty was abolished for all crimes, except for those committed under extraordinary circumstances such as war or military law, in 1890.[33]

Bulgaria

Bulgaria's national hero, Vasil Levski, was executed by hanging by the Ottoman court in Sofia in 1873. Every year since Bulgaria's liberation, thousands come with flowers on the date of his death, 19 February, to his monument where the gallows stood. The last execution was in 1989, and the death penalty was abolished for all crimes in 1998.[33]

Canada

Historically, hanging was the only method of execution used in Canada and was in use as possible punishment for all murders until 1961, when murders were reclassified into capital and non-capital offences. The death penalty was restricted to apply only for certain offences to the National Defence Act in 1976 and was completely abolished in 1998.[34] The last hangings in Canada took place on 11 December 1962.[33]

Egypt

In 1955, Egypt hanged three Israelis on charges of spying.[35] In 1982 Egypt hanged three civilians convicted of the assassination of Anwar Sadat.[36] In 2004, Egypt hanged five militants on charges of trying to kill the Prime Minister.[37] To this day, hanging remains the standard method of capital punishment in Egypt, which executes more people each year than any other African country.

Germany

Public execution of Polish civilians by the Nazi Germans in German occupied Kraków in 1942
Alleged Soviet partisans hanged by the Nazis in January 1943

In the territories occupied by Nazi Germany from 1939 to 1945, strangulation hanging was a preferred means of public execution, although more criminal executions were performed by guillotine than hanging. The most commonly sentenced were partisans and black marketeers, whose bodies were usually left hanging for long periods. There are also numerous reports of concentration camp inmates being hanged. Hanging was continued in post-war Germany in the British and US Occupation Zones under their jurisdiction, and for Nazi war criminals, until well after (western) Germany itself had abolished the death penalty by the German constitution as adopted in 1949. West Berlin was not subject to the Grundgesetz (Basic Law) and abolished the death penalty in 1951. The German Democratic Republic abolished the death penalty in 1987. The last execution ordered by a West German court was carried out by guillotine in Moabit prison in 1949. The last hanging in Germany was the one ordered of several war criminals in Landsberg am Lech on 7 June 1951. The last known execution in East Germany was in 1981 by a pistol shot to the neck.[29]

Hong Kong

Even though Hong Kong is now part of China it has no capital punishment; it is a special administrative region of China. When Hong Kong was still a part of the British Empire, it had hanging as the method of execution. The last person who was executed was a Chinese Vietnamese man who attacked a security guard and another person. This was in 1966.[38]

Hungary

The prime minister of Hungary, during the 1956 Revolution, Imre Nagy, was secretly tried, executed by hanging, and buried unceremoniously by the new Soviet-backed Hungarian government, in 1958. Nagy was later publicly exonerated by Hungary.[39] Capital punishment was abolished for all crimes in 1990.[29]

India

The hanging of two participants in British India (Indian Rebellion of 1857)

Hanging was introduced by the British. All executions in India since independence have been carried out by hanging, although the law provides for military executions to be carried out by firing squad. In 1949, Nathuram Godse, who had been sentenced to death for the assassination of Mahatma Gandhi, was the first person to be executed by hanging in independent India.[40]

The Supreme Court of India has suggested that capital punishment should be given only in the "rarest of rare cases".[41]

Since 2001, eight people have been executed in India. Dhananjoy Chatterjee, the 1991 rapist and murderer was executed on 14 August 2004 in Alipore Jail, Kolkata. Ajmal Kasab, the lone surviving terrorist of the 2008 Mumbai attacks was executed on 21 November 2012 in Yerwada Central Jail, Pune. The Supreme Court of India had previously rejected his mercy plea, which was then rejected by the President of India. He was hanged one week later. Afzal Guru, a terrorist found guilty of conspiracy in the December 2001 attack on the Indian Parliament, was executed by hanging in Tihar Jail, Delhi on 9 February 2013. Yakub Memon was convicted over his involvement in the 1993 Bombay bombings by Special Terrorist and Disruptive Activities court on 27 July 2007. His appeals and petitions for clemency were all rejected and he was finally executed by hanging on 30 July 2015 in Nagpur jail. In March 2020, four prisoners convicted of rape and murder were executed by hanging in Tihar Jail.[42]

Iran

A public execution for a man convicted of rape, Qarchak, 26 October 2011.

Death by hanging is the primary means of capital punishment in Iran, which carries out one of the highest numbers of annual executions in the world. The method used is the short drop, which does not break the neck of the condemned, but rather causes a slower death due to strangulation. It is legal for murder, rape, and drug trafficking unless the criminal pays diyya to the victim's family, thus attaining their forgiveness (see Sharia). If the presiding judge deems the case to be "causing public outrage", he can order the hanging to take place in public at the spot where the crime was committed, typically from a mobile telescoping crane which hoists the condemned high into the air.[43] On 19 July 2005, two boys, Mahmoud Asgari and Ayaz Marhoni, aged 15 and 17 respectively, who had been convicted of the rape of a 13-year-old boy, were hanged at Edalat (Justice) Square in Mashhad, on charges of homosexuality and rape.[44][45] On 15 August 2004, a 16-year-old girl, Atefeh Sahaaleh (also called Atefeh Rajabi), was executed for having committed "acts incompatible with chastity".[46]

At dawn on 27 July 2008, the Iranian government executed 29 people at Evin Prison in Tehran.[47] On 2 December 2008, an unnamed man was hanged for murder at Kazeroun Prison, just moments after he was pardoned by the murder victim's family. He was quickly cut down and rushed to a hospital, where he was successfully revived.[48]

The conviction and hanging of Reyhaneh Jabbari caused international uproar as she was sentenced to death in 2009 and hanged on 25 October 2014 for murdering a former intelligence officer; according to Jabbari's testimony she stabbed him during an attempted rape and then another person killed him.[49]

Kuwait

Kuwait has always used hanging for execution. During the Gulf War, Iraqi government officials executed different people for different reasons. After the war, Kuwait hanged Iraqi collaborators.[50] Sometimes the executions are in public. The most recent executions were in 2022. [51]

Iraq

Hanging was used under the regime of Saddam Hussein,[52] but was suspended along with capital punishment on 10 June 2003, when a coalition led by the United States invaded and overthrew the previous regime. The death penalty was reinstated on 8 August 2004.[53]

In September 2005, three murderers were the first people to be executed since the restoration. Then on 9 March 2006, an official of Iraq's Supreme Judicial Council confirmed that Iraqi authorities had executed the first insurgents by hanging.[54]

Saddam Hussein was sentenced to death by hanging for crimes against humanity[55] on 5 November 2006, and was executed on 30 December 2006 at approximately 6:00 a.m. local time. During the drop, there was an audible crack indicating that his neck was broken, a successful example of a long-drop hanging.[56]

Barzan Ibrahim, the head of the Mukhabarat, Saddam's security agency, and Awad Hamed al-Bandar, former chief judge, were executed on 15 January 2007, also by the long-drop method, but Barzan was decapitated by the rope at the end of his fall.[57]

Former vice-president Taha Yassin Ramadan had been sentenced to life in prison on 5 November 2006, but the sentence was changed to death by hanging on 12 February 2007.[58] He was the fourth and final man to be executed for the 1982 crimes against humanity on 20 March 2007. The execution went smoothly.[59]

At the Anfal genocide trial, Saddam's cousin Ali Hassan al-Majid (alias Chemical Ali), former defence minister Sultan Hashim Ahmed al-Tay, and former deputy Hussein Rashid Mohammed were sentenced to hang for their role in the Al-Anfal Campaign against the Kurds on 24 June 2007.[60] Al-Majid was sentenced to death three more times: once for the 1991 suppression of a Shi'a uprising along with Abdul-Ghani Abdul Ghafur on 2 December 2008;[61] once for the 1999 crackdown in the assassination of Grand Ayatollah Mohammad al-Sadr on 2 March 2009;[62] and once on 17 January 2010 for the gassing of the Kurds in 1988;[63] he was hanged on 25 January.[64]

On 26 October 2010, Saddam's top minister Tariq Aziz was sentenced to hang for persecuting the members of rival Shi'a political parties.[65] His sentence was commuted to indefinite imprisonment after Iraqi president Jalal Talabani did not sign his execution order and he died in prison in 2015.

On 14 July 2011, US forces transferred condemned prisoners Sultan Hashim Ahmed al-Tay and two of Saddam's half-brothers, Sabawi Ibrahim al-Tikriti and Watban Ibrahim al-Tikriti, to Iraqi authorities for execution.[66] The Iraqi High Tribunal had sentenced Saddam's half-brothers to death on 11 March 2009 for their roles in the executions of 42 traders who were accused of manipulating food prices.[67] None of the three men were executed.

It is alleged that Iraq's government keeps the execution rate secret, and hundreds may be carried out every year. In 2007, Amnesty International stated that 900 people were at "imminent risk" of execution in Iraq.

Israel

Although Israel has provisions in its criminal law to use the death penalty for extraordinary crimes, it has been used only twice, and only one of those executions was by hanging. On 31 May 1962, Nazi leader Adolf Eichmann was captured, taken to Israel and then executed by hanging.[33]

Japan

All executions in Japan are carried out by hanging.

On 23 December 1948, Hideki Tojo, Kenji Doihara, Akira Mutō, Iwane Matsui, Seishirō Itagaki, Kōki Hirota, and Heitaro Kimura were hanged at Sugamo Prison by the U.S. occupation authorities in Ikebukuro in Allied-occupied Japan for war crimes, crimes against humanity, and crimes against peace during the Asian-Pacific theatre of World War II.[68][69]

On 27 February 2004, the mastermind of the Sarin gas attack on the Tokyo subway, Shoko Asahara, was found guilty and sentenced to death by hanging. On 25 December 2006, serial killer Hiroaki Hidaka and three others were hanged in Japan. Long-drop hanging is the method of carrying out judicial capital punishment on civilians in Japan, as in the cases of Norio Nagayama,[70] Mamoru Takuma,[71] and Tsutomu Miyazaki.[72] In 2018 Shoko Asahara and several of his cult members were hanged for committing the 1995 sarin gas attack.

Jordan

Death by hanging is the traditional method of capital punishment in Jordan. On 14 August 1993, Jordan hanged two Jordanians convicted of spying for Israel.[73] Sajida al-Rishawi, "The 4th bomber" of the 2005 Amman bombings, was executed by hanging alongside Ziad al-Karbouly on 4 February 2015 in retribution for the immolation of Jordanian pilot Muath Al-Kasasbeh.

Lebanon

Lebanon hanged two men in 1998 for murdering a man and his sister.[74] However, capital punishment ended up being altogether suspended in Lebanon, as a result of staunch opposition by activists and some political factions.[75]

Liberia

The Hanging of the Harper Seven, Liberia – 16 February 1979

On 16 February 1979, seven men convicted of the ritual killing of the popular Kru traditional singer Moses Tweh, were publicly hanged at dawn in Harper.[76][77]

Malaysia

Hanging is the traditional method of capital punishment in Malaysia and has been used to execute people convicted of murder, drug trafficking and waging war against the government. The Barlow and Chambers execution was carried out as a result of new tighter drug regulations.

Portugal

The last person executed by hanging in Portugal was Francisco Matos Lobos on 16 April 1842. Before that, it had been a common death penalty.

Pakistan

In Pakistan, hanging is the most common form of execution.

Russia

Hanging was commonly practised in the Russian Empire during the rule of the Romanov Dynasty as an alternative to impalement, which was used in the 15th and 16th centuries.

Hanging was abolished in 1868 by Alexander II after serfdom, but was restored by the time of his death and his assassins were hanged. While those sentenced to death for murder were usually pardoned and sentences commuted to life imprisonment, those guilty of high treason were usually executed. This also included the Grand Duchy of Finland and Kingdom of Poland under the Russian crown. Taavetti Lukkarinen became the last Finn to be executed this way. He was hanged for espionage and high treason in 1916.

The hanging was usually performed by short drop in public. The gallows were usually either a stout nearby tree branch, as in the case of Lukkarinen, or a makeshift gallows constructed for the purpose.

After the October Revolution in 1917, capital punishment was, on paper, abolished, but continued to be used unabated against people perceived to be enemies of the regime. Under the Bolsheviks, most executions were performed by shooting, either by firing squad or by a single firearm. In 1943, hanging was restored primarily for German servicemen and native collaborators for atrocities committed against Soviet POWs and civilians. The last to be hanged were Andrey Vlasov and his companions in 1946.

Singapore

In Singapore, long-drop hanging[17] is currently used as a mandatory punishment for crimes such as drug trafficking, murder and some types of kidnapping. It was introduced by the British, when they occupied Singapore and neighbouring Malaysia. It has also been used for punishing those convicted of unauthorised discharging of firearms.[78]

Sri Lanka

Hanging was abolished in Sri Lanka in 1956, but in 1959 it was brought back and later halted in 1978. In 1975, the day before the execution of Maru Sira, he had been overdosed by the prison guards to prevent him from escaping. On the day of his execution he was unconscious, so when he was brought to the gallows, he was slumped over on the trapdoor with a noose around his neck, and when the executioner pulled the lever, his execution was botched and he strangled.

Syria

Eli Cohen, publicly hanged by Syria on 18 May 1965

Syria has publicly hanged people, such as two Jews in 1952, Israeli spy Eli Cohen in 1965, and a number of Jews accused of spying in 1969.[79][80][81]

According to a 19th-century report, members of the Alawite sect centred on Lattakia in Syria had a particular aversion towards being hanged, and the family of the condemned was willing to pay "considerable sums" to ensure its relations were impaled, instead of being hanged. As far as Burckhardt could make out, this attitude was based upon the Alawites' idea that the soul ought to leave the body through the mouth, rather than leave it in any other fashion.[82]

ISIS also used hanging, when it executed people in ISIS-occupied Syria. It also used shooting, beheading and fire [83]

United Kingdom

As a form of judicial execution in England, hanging is thought to date from the Anglo-Saxon period.[84] Records of the names of British hangmen begin with Thomas de Warblynton in the 1360s; complete records extend from the 16th century to the last hangmen, Robert Leslie Stewart and Harry Allen, who conducted the last British executions in 1964.

Until 1868 hangings were performed in public. In London, the traditional site was at Tyburn, a settlement west of the City on the main road to Oxford, which was used on eight hanging days a year, though before 1865, executions had been transferred to the street outside Newgate Prison, Old Bailey, now the site of the Central Criminal Court.

Three British subjects were hanged after World War II after having been convicted of having helped Nazi Germany in its war against Britain. John Amery, the son of prominent British politician Leo Amery, became an expatriate in the 1930s, moving to France. He became involved in pre-war fascist politics, remained in what became Vichy France following France's defeat by Germany in 1940 and eventually went to Germany and later the German puppet state in Italy headed by Benito Mussolini. Captured by Italian partisans at the end of the war and handed over to British authorities, Amery was accused of having made propaganda broadcasts for the Nazis and of having attempted to recruit British prisoners of war for a Waffen SS regiment later known as the British Free Corps. Amery pleaded guilty to treason charges on 28 November 1945[85] and was hanged at Wandsworth Prison on 19 December 1945. William Joyce, an American-born Irishman who had lived in Britain and possessed a British passport, had been involved in pre-war fascist politics in the UK, fled to Nazi Germany just before the war began to avoid arrest by British authorities and became a naturalised German citizen. He made propaganda broadcasts for the Nazis, becoming infamous under the nickname Lord Haw Haw. Captured by British forces in May 1945, he was tried for treason later that year. Although Joyce's defence argued that he was by birth American and thus not subject to being tried for treason, the prosecution successfully argued that Joyce's pre-war British passport meant that he was a subject of the British Crown and he was convicted. After his appeals failed, he was hanged at Wandsworth Prison on 3 January 1946.[86] Theodore Schurch, a British soldier captured by the Nazis who then began working for the Italian and German intelligence services by acting as a spy and informer who would be placed among other British prisoners, was arrested in Rome in March 1945 and tried under the Treachery Act 1940. After his conviction, he was hanged at HM Prison Pentonville on 4 January 1946.

The Homicide Act 1957 created the new offence of capital murder, punishable by death, with all other murders being punishable by life imprisonment.

In 1965, Parliament passed the Murder (Abolition of Death Penalty) Act, temporarily abolishing capital punishment for murder for five years. The Act was renewed in 1969, making the abolition permanent. With the passage of the Crime and Disorder Act 1998 and the Human Rights Act 1998, the death penalty was officially abolished for all crimes in both civilian and military cases. Following its complete abolition, the gallows were removed from Wandsworth Prison, where they remained in full working order until that year.

The last woman to be hanged was Ruth Ellis on 13 July 1955, by Albert Pierrepoint who was a prominent hangman in the 20th century in England. The last hangings in Britain took place in 1964, when Peter Anthony Allen was executed at Walton Prison in Liverpool. Gwynne Owen Evans was executed by Harry Allen at Strangeways Prison in Manchester. Both were executed for the murder of John Alan West.[87]

Hanging was also the method used in many colonies and overseas territories.[88]

Silken rope

In the UK, some felons were traditionally executed by hanging with a silken rope:

United States

The execution of Mary Surratt, Lewis Powell, David Herold, and George Atzerodt, who were all convicted by a military tribunal for being involved in the assassination of Abraham Lincoln, 7 July 1865

Hanging was one means by which Puritans of the Massachusetts Bay Colony enforced religious and intellectual conformity on the whole community.[93] The best known hanging carried out by the Puritans, Mary Dyer was one of the four executed Quakers known as the Boston martyrs.[94]

Capital punishment in the U.S. varies from state to state; it is outlawed in some states but used in most others. However, the death penalty under federal law is applicable in every state. Hanging is no longer used as a method of execution.

When Black pastor Denmark Vesey of the Emanuel African Methodist Episcopal Church was suspected of plotting to launch a slave rebellion in Charleston, South Carolina in 1822, 35 people, including Vesey, were judged guilty by a city-appointed court and were subsequently hanged, and the church was burned down.[95]

The Dakota War of 1862, also known as the Dakota uprising, led to the largest mass execution in the United States when 38 Sioux Indians, who were facing starvation and displacement, attacked white settlers, for which they were sentenced to death via hanging in Mankato, Minnesota in December 1862.[96] Originally, 303 had been sentenced to hang, but the convictions were reviewed by President Abraham Lincoln and the sentences of all but 38 were commuted.[97] In 2019, an historic apology was issued to the Dakota people for the mass hanging and the "trauma inflicted on Native people at the hands of state government."[96]

A total of 40 suspected Unionists were hanged in Gainesville, Texas in October 1862.[98] On 7 July 1865, four people involved in the assassination of President Abraham LincolnMary Surratt, Lewis Powell, David Herold, and George Atzerodt—were hanged at Fort McNair in Washington, D.C.

Men pose for a photograph of the 1920 Duluth, Minnesota lynchings. Two of the Black victims are still hanging while the third is on the ground. A popular method of lynching, hangings were often public spectacles to celebrate white supremacy.[99]

While relatively uncommon, hanging in chains has also been practiced (mainly during the colonial era), the first being a slave after the New York Slave Revolt of 1712. The last hanging in chains was in 1913, of John Marshall in West Virginia for murder.[100] The last public hanging in the United States (not including lynching, one of the last of which was Michael Donald in 1981) took place on 14 August 1936, in Owensboro, Kentucky. Rainey Bethea was executed for the rape and murder of 70-year-old Lischa Edwards. The execution was presided over by the first female sheriff in Kentucky, Florence Shoemaker Thompson.[101][102]

In California, Clinton Duffy, who served as warden of San Quentin State Prison between 1940 and 1952, presided over ninety executions.[103] He began to oppose the death penalty, and after his retirement, wrote a memoir entitled Eighty-Eight Men and Two Women in support of the movement to abolish the death penalty. The book documents several hangings gone wrong and describes how they led his predecessor, Warden James B. Holohan, to persuade the California Legislature to replace hanging with the gas chamber in 1937.[104][105]

Various methods of capital punishment have been replaced by lethal injection in most states and the federal government. Many states that offered hanging as an option have since eliminated the method. Condemned murderer Victor Feguer became the last inmate to be executed by hanging in the state of Iowa on 15 March 1963. Hanging was the preferred method of execution for capital murder cases in Iowa until 1965, when the death penalty was abolished and replaced with life imprisonment without parole. Barton Kay Kirkham was the last person to be hanged in Utah, preferring it over execution by firing squad. Laws in Delaware were changed in 1986 to specify lethal injection, except for those convicted before 1986 (who were still allowed to choose hanging). If a choice was not made, or the convict refused to choose injection, then hanging would become the default method. This was the case in the 1996 execution of Billy Bailey, the most recent hanging in American history; since then, no Delaware prisoner fit the category, and the state's gallows were later dismantled.

Upright jerker

The upright jerker is a method of hanging that originated in the United States in the late 19th century. The person to be hanged is jerked into the air by weights and pulleys. It proved to be ineffective at breaking the neck of the condemned, and death by asphyxiation often occurred. In the United States, use of the method ceased in the late 1930s. However, Iran continues to intermittently employ a variant of this method, using a crane rather than a specially-designed mechanism of pulleys. The method has received heavy criticism from human rights organizations and the European Union.[106]

Inverted hanging, the "Jewish" punishment

Woodcut by Johann Stumpf, who witnessed this type of execution in 1553

A completely different principle of hanging is to hang the convicted person from their legs, rather than from their neck, either as a form of torture, or as an execution method. In late medieval Germany, this came to be primarily associated with Jews accused of being thieves, called the Judenstrafe. The jurist Ulrich Tengler, in his Layenspiegel from 1509, describes the procedure as follows, in the section "Von Juden straff":[107]

To drag the Jew to the ordinary execution place between two angry or biting dogs. After dragging, to hang him from his feet by rope or chain at a designated gallows between the dogs, so that he is directed from life to death[108]

Guido Kisch showed that originally, this type of inverted hanging between two dogs was not a punishment specifically for Jews. Esther Cohen writes:[109]

The inverted hanging with the accompaniment of two dogs, originally reserved for traitors, was identified from the fourteenth century as the "Jewish execution", being practised in the later Middle Ages in both northern and Mediterranean Europe. The Jewish execution in Germany has been thoroughly studied by G. Kisch, who has argued convincingly that neither the inverted hanging nor the stringing up of dogs or wolves beside the victim were particularly Jewish punishments during the High Middle Ages. They first appeared as Jewish punishments in Germany only towards the end of the thirteenth century, never being recognized as exclusively Jewish penalties.

In France the inverted, animal-associated hanging came to be connected with Jews by the later Middle Ages. The inverted hanging of Jews is specifically mentioned in the old customs of Burgundy in the context of animal hanging. The custom, dogs and all, was still in force in Paris shortly before the final expulsion of the Jews in 1394.

In Spain 1449, during a mob attack against the Marranos (Jews nominally converted to Christianity), the Jews resisted, but lost and several of them were hanged up by the feet.[110] The first attested German case for a Jew being hanged by the feet is from 1296, in present-day Soultzmatt.[111] Some other historical examples of this type of hanging within the German context are one Jew in Hennegau 1326, two Jews hanged in Frankfurt 1444,[112] one in Halle in 1462,[113] one in Dortmund 1486,[114] one in Hanau 1499,[112] one in Breslau 1505,[115] one in Württemberg 1553,[116] one in Bergen 1588,[112] one in Öttingen 1611,[117] one in Frankfurt 1615 and again in 1661,[112] and one condemned to this punishment in Prussia in 1637.[118]

The details of the cases vary widely: In the 1444 Frankfurt cases and the 1499 Hanau case, the dogs were dead prior to being hanged, and in the late 1615 and 1661 cases in Frankfurt, the Jews (and dogs) were merely kept in this torture for half an hour, before being garroted from below. In the 1588 Bergen case, all three victims were left hanging till they were dead, ranging from 6 to 8 days after being hanged. In the Dortmund 1486 case, the dogs bit the Jew to death while hanging. In the 1611 Öttingen case, the Jew "Jacob the Tall" thought to blow up the Deutsche Ordenhaus with gunpowder after having burgled it. He was strung up between two dogs, and a large fire was made close to him, and he expired after half an hour under this torture. In the 1553 Württemberg case, the Jew chose to convert to Christianity after hanging like this for 24 hours; he was then given the mercy to be hanged in the ordinary manner, from the neck, and without the dogs beside him. In the 1462 Halle case, the Jew Abraham also converted after 24 hours hanging upside down, and a priest went up on a ladder and baptised him. For two more days, Abraham was left hanging, while the priest argued with the city council that a true Christian should not be punished in this way. On the third day, Abraham was granted a reprieve, and was taken down, but died 20 days later in the local hospital having meanwhile suffered in extreme pain. In the 1637 case, where the Jew had murdered a Christian jeweller, the appeal to the empress was successful, and out of mercy, the Jew was condemned to be merely pinched with glowing pincers, have hot lead dripped into his wounds, and then be broken alive on the wheel.

Some of the reported cases may be myths, or wandering stories. The 1326 Hennegau case, for example, deviates from the others in that the Jew was not a thief, but was suspected (even though he was a convert to Christianity) of having struck an al fresco painting of Virgin Mary, so that blood had begun to seep down the wall from the painting. Even under all degrees of judicial torture, the Jew denied performing this sacrilegious act, and was therefore exonerated. Then a brawny smith demanded from him a trial by combat, because, supposedly, in a dream the Virgin herself had besought the smith to do so. The court accepted the smith's challenge, he easily won the combat against the Jew, who was duly hanged up by the feet between two dogs. To add to the injury, one let him be slowly roasted as well as hanged.[119] This is a very similar story to one told in France, in which a young Jew threw a lance at the head of a statue of the Virgin, so that blood spurted out of it. There was inadequate evidence for a normal trial, but a frail old man asked for trial by combat, and bested the young Jew. The Jew confessed his crime, and was hanged by his feet between two mastiffs.[120]

The features of the earliest attested case, that of a Jewish thief hanged by the feet in Soultzmatt in 1296 are also rather divergent from the rest. The Jew managed somehow, after he had been left to die, to twitch his body in such a manner that he could hoist himself up on the gallows and free himself. At that time, his feet were so damaged that he was unable to escape, and when he was discovered 8 days after he had been hanged, he was strangled to death by the townspeople.[121]

As late as in 1699 Celle, the courts were sufficiently horrified at how the Jewish leader of a robber gang (condemned to be hanged in the normal manner) declared blasphemies against Christianity, that they made a ruling on the post mortem treatment of Jonas Meyer. After 3 days, his corpse was cut down, his tongue cut out, and his body was hanged up again, but this time from its feet.[122]

Punishment for traitors

Guido Kisch writes that the first instance he knows where a person in Germany was hanged up by his feet between two dogs until he died occurred about 1048, some 250 years earlier than the first attested Jewish case. This was a knight called Arnold, who had murdered his lord; the story is contained in Adam of Bremen's History of the Archbishops of Hamburg-Bremen.[123] Another example of a non-Jew who suffered this punishment as a torture, in 1196 Richard, Count of Acerra, was one of those executed by Henry VI in the suppression of the rebelling Sicilians:[124]

He [Henry VI] held a general court in Capua, at which he ordered that the count first be drawn behind a horse through the squares of Capua, and then hanged alive head downwards. The latter was still alive after two days when a certain German jester called Leather-Bag [Follis], hoping to please the emperor, tied a large stone to his neck and shamefully put him to death

A couple of centuries earlier, in France 991, a viscount Walter nominally owing his allegiance to the French King Hugh Capet chose, on instigation of his wife, to join the rebellion under Odo I, Count of Blois. When Odo found out he had to abandon Melun after all, Walter was duly hanged before the gates, whereas his wife, the fomentor of treason, was hanged by her feet, causing much merriment and jeers from Hugh's soldiers as her clothes fell downwards revealing her naked body, although it is not wholly clear if she died in that manner.[125]

Elizabethan maritime law

During Queen Elizabeth I's reign, the following was written concerning those who stole a ship from the Royal Navy:[126]

If anye one practysed to steale awaye anye of her Majesty's shippes, the captaine was to cause him to be hanged by the heels untill his braines were beaten out against the shippe's sides, and then to be cutt down and lett fall intoe the sea.

Hanging by the ribs

A Man Hung Alive by the Ribs to a Gallows by William Blake. Originally published in Stedman's Narrative.

In 1713, Juraj Jánošík, a semi-legendary Slovak outlaw and folk hero, was sentenced to be hanged from his left rib. He was left to slowly die.[127]

The German physician Gottlob Schober (1670–1739),[128] who worked in Russia from 1712, notes that a person could hang from the ribs for about three days prior to expiring, his primary pain being that of extreme thirst. He thought this degree of insensitivity was something peculiar to the Russian mentality.[129]

The Dutch in Suriname were also in the habit of hanging a slave from the ribs, a custom amongst the African tribes from whom they were originally purchased. John Gabriel Stedman stayed in South America from 1772 to 1777 and described the method as told by a witness:[130]

Not long ago, (continued he) I saw a black "man suspended alive from a gallows by the ribs, between which, with a knife, was first made an incision, and then clinched an iron hook with a chain: in this manner he kept alive three days, hanging with his head "and feet downwards, and catching with his tongue the "drops of water" (it being in the rainy season) that were "flowing down his bloated breast. Notwithstanding all this, he never complained, and even upbraided a negro "for crying while he was flogged below the gallows, by calling out to him: "You man?—Da boy fasy? Are you a man? you behave like a boy". Shortly after which he was knocked on the head by the commiserating sentry, who stood over him, with the butt end of his musket.

William Blake was specially commissioned to make illustrations to Stedman's narrative.[131]

Grammar

The standard past tense and past participle form of the verb "hang", in this sense, is "hanged",[132][133][134] although some dictionaries give "hung" as an alternative.[135][136]

See also

References

  1. 1 2 3 4 Mahmoud Rayes; Monika Mittal; Setti S. Rengachary; Sandeep Mittal (February 2011). "Hangman's fracture: a historical and biomechanical perspective" (PDF). Journal of Neurosurgery. Archived (PDF) from the original on 13 January 2017. Retrieved 27 August 2016. It was not until the introduction of the standard drop by Dr. Samuel Haughton in 1866, and the so-called long drop by William Marwood in 1872 that hanging became a standard, humane means to achieve instantaneous death.
  2. Hughes, Robert (11 January 2012). The Fatal Shore: The epic of Australia's founding. Knopf Doubleday. pp. 33ff. ISBN 978-0-307-81560-6. Archived from the original on 6 May 2016. Retrieved 29 September 2014. Before the invention of the hinged trapdoor through which the victim was dropped, he or she was 'turned off' or 'twisted' by the hangman who pulled the ladder away.
  3. Potter, John Deane (1965). The Art of Hanging. A. S. Barnes. p. 23. ISBN 9780498073878. Archived from the original on 26 April 2016. Retrieved 29 September 2014. ... condemned persons still mounted a ladder which was turned round, leaving them dangling. This led to the phrase 'turned off'—they were literally turned off the ladder.
  4. Sauvageau, Anny; Racette, Stéphanie (2007). "Agonal Sequences in a Filmed Suicidal Hanging: Analysis of Respiratory and Movement Responses to Asphyxia by Hanging". Journal of Forensic Sciences. 52 (4): 957–959. doi:10.1111/j.1556-4029.2007.00459.x. PMID 17524058. S2CID 32188375.
  5. "1946: Karl Hermann Frank". Executedtoday.com. 22 May 2009. Archived from the original on 19 October 2017. Retrieved 8 October 2017.
  6. "How Does Death by Hanging Work?". How Stuff Works. 4 January 2007. Archived from the original on 25 January 2022. Retrieved 30 January 2019.
  7. Hellier, C.; Connolly, R. (2009). "Cause of death in judicial hanging: a review and case study". Medicine, Science, and the Law. 49 (1): 18–26. doi:10.1258/rsmmsl.49.1.18. PMID 19306616. S2CID 34469210.
  8. Report by Kingsbury Smith, International News Service, 16 October 1946.
  9. MacDonogh G., After the Reich John Murray, London (2008) p. 450.
  10. "The Gallows Chamber". Life, 28 October 1946. Archived 12 May 2016 at the Wayback Machine.
  11. "History of British judicial hanging". Capital Punishment UK. Archived from the original on 27 August 2013. Retrieved 8 October 2017.
  12. "Hanged by the neck until dead. The process of judicial hanging".
  13. "Gruesome death in gas chamber pushes Arizona towards injections". The New York Times, 25 April 1992. Archived 3 January 2011 at the Wayback Machine. Retrieved 7 January 2008.
  14. "Saddam Hussein's top aides hanged", BBC News, 15 January 2007, archived from the original on 2 March 2016, retrieved 6 December 2011
  15. The end of the rope: The story of Canada's last executions, Toronto Star, 10 December 2012, archived from the original on 11 December 2012, retrieved 10 December 2012
  16. Pierrepoint, Albert (1989). Executioner: Pierrepoint. Hodder & Stoughton General Division. ISBN 978-0-340-21307-0.
  17. 1 2 "'Seven days of horror and hope': What happens during someone's last days on death row in Singapore". Coconuts. 25 April 2023. Archived from the original on 9 December 2023. Retrieved 9 December 2023.
  18. "Politics and capital punishment a volatile mixture". Japan Times. 23 June 2008. Retrieved 28 November 2023.
  19. Bennewith, Olive; Gunnell, David; Kapur, Navneet; Turnbull, Pauline; Simkin, Sue; Sutton, Lesley; Hawton, Keith (2 January 2018). "Suicide by hanging: multicentre study based on coroners' records in England". British Journal of Psychiatry. 186 (3): 260–261. doi:10.1192/bjp.186.3.260. PMID 15738509.
  20. "Canadian Injury Data". Statistics Canada. Archived from the original on 1 October 2005.
  21. "Suicide Statistics". Archived from the original on 18 April 2006. Retrieved 16 May 2006.
  22. "Trends in suicide by method in England and Wales, 1979 to 2001" (PDF). Office for National Statistics. Archived from the original (PDF) on 29 June 2011. Retrieved 16 May 2006.
  23. "ResearchGate – Share and discover research". Researchgate.net. Archived from the original on 25 January 2022. Retrieved 8 October 2017.
  24. Simek, Rudolf (2007). Dictionary of Northern Mythology. Translated by Angela Hall. D.S. Brewer. ISBN 978-0-85991-513-7.
  25. Glob, P (2004). The Bog People: Iron-Age Man Preserved. New York: New York Review of Books. p. 304. ISBN 978-1-59017-090-8.
  26. James R, Nasmyth-Jones R., "The occurrence of cervical fractures in victims of judicial hanging", Forensic Science International, April 1992; 54(1):81–91.
  27. Wallace SK, Cohen WA, Stern EJ, Reay DT, "Judicial hanging: postmortem radiographic, CT, and MR imaging features with autopsy confirmation", Radiology, October 1994; 193(1):263–7.
  28. "How hanging causes death". Archived from the original on 26 April 2006. Retrieved 27 April 2006.
  29. 1 2 3 Countries that have abandoned the use of the death penalty Archived 15 December 2006 at the Wayback Machine, Ontario Consultants on Religious Tolerance, 8 November 2005
  30. Death penalty in Australia Archived 29 March 2010 at the Wayback Machine, New South Wales Council for Civil Liberties
  31. "David Mitchell Put to Death 23 Years Ago". 7 January 2023.
  32. Decolonizing the Criminal Question. Oxford University Press. 2023. p. 204.
  33. 1 2 3 4 Capital Punishment Worldwide Archived 1 November 2009 at the Wayback Machine, MSN Encarta. Archived 31 October 2009.
  34. Susan Munroe, History of Capital Punishment in Canada Archived 16 July 2011 at the Wayback Machine, About: Canada Online,
  35. Phyllis Bennis (2003). Before and After. Olive Branch Press. p. 35. ISBN 978-1-56656-462-5.
  36. "Sadat Assassins are Executed". The Glasgow Herald. 16 April 1982. Archived from the original on 16 April 2021. Retrieved 16 February 2011.
  37. "Articles about Egypt - Page 2 - New York Times". The New York Times. Archived from the original on 16 May 2013. Retrieved 8 February 2017.
  38. "Demise of the death penalty". 23 March 2004.
  39. Richard Solash, Hungary: U.S. President To Honor 1956 Uprising Archived 9 July 2008 at the Wayback Machine (20 June 2006), radio Free Europe; RadioLiberty.
  40. "Yakub Memon first to be hanged in Maharashtra after Ajmal Kasab". The Indian Express. 30 July 2015. Archived from the original on 3 February 2018. Retrieved 12 March 2018.
  41. Sakhrani, Monica; Adenwalla, Maharukh. "Death Penalty – Case for Its Abolition". Economic & Political Weekly. Archived from the original on 17 August 2005.
  42. hanged to death, Nirbhaya convicts (20 March 2020). "Four Nirbhaya case convicts hanged to death in Tihar jail". The Hindu. The Hindu Newspaper. Archived from the original on 20 March 2020. Retrieved 20 March 2020.
  43. Wallace, Mark (6 July 2011). "Iran's execution binge". Los Angeles Times. Archived from the original on 21 November 2011. Retrieved 31 August 2011.
  44. "Iran executes 2 gay teenagers". Direland.typepad.com. Archived from the original on 2 September 2017. Retrieved 27 April 2006.
  45. "Exclusive interview with gay activists in Iran on situation of gays, recent executions of gay teens and the future". Archived from the original on 18 November 2005. Retrieved 27 April 2006.
  46. "Iran: Amnesty International outraged at reported execution of a 16 year old girl". Amnesty International. 23 August 2004. Archived from the original on 9 May 2008. Retrieved 30 March 2008.
  47. "Iran executes 29 in jail hangings". News.bbc.co.uk. 27 July 2008. Archived from the original on 21 May 2014. Retrieved 8 October 2017.
  48. IRAN: Halted execution highlights inherent cruelty of death penalty Archived 16 January 2009 at the Wayback Machine. Amnesty International USA (9 December 2008). Retrieved on 2008-12-11.
  49. "Iran hangs woman despite international uproar". Al Jazeera. Archived from the original on 25 October 2014. Retrieved 25 October 2014.
  50. "Suspected Iraqi collaborators being executed in Kuwait Human rights official says up to 3,000 people are unaccounted for". 19 March 1991.
  51. "Kuwait hangs seven people in first executions since 2017".
  52. "Clark, Richard; The process of Judicial Hanging". Archived from the original on 9 August 2002. Retrieved 29 December 2005.
  53. "Scores face execution in Iraq six years after invasion". Amnesty International USA. 20 March 2009. Archived from the original on 13 May 2009. Retrieved 21 March 2009.
  54. "More bombs bring death to Iraq". Mail & Guardian Online. 10 March 2006. Archived from the original on 6 July 2007. Retrieved 27 April 2006.
  55. "Saddam Hussein sentenced to death by hanging". CNN. 5 November 2006. Archived from the original on 13 November 2006. Retrieved 5 November 2006.
  56. "Saddam Hussein Hanging Video Shows Defiance, Taunts and Glee". nationalledger.com. 1 January 2007. Archived from the original on 20 January 2007. Retrieved 20 January 2007.
  57. "Top Saddam aide sentenced to hang". News.bbc.co.uk. 12 February 2007. Archived from the original on 25 January 2022. Retrieved 8 October 2017.
  58. "Former Saddam aide buried after hanging - Yahoo! News". Archived from the original on 22 March 2007. Retrieved 14 January 2017.
  59. Iraq's "Chemical Ali" sentenced to death Archived 23 September 2020 at the Wayback Machine, MSNBC.com, 24 June 2007. Retrieved on 24 June 2007.
  60. Second death sentence for Iraq's 'Chemical Ali Archived 25 January 2022 at the Wayback Machine, MSNBC.com, 2 December 2008. Retrieved on 2 December 2008.
  61. Iraq's 'Chemical Ali' gets 3rd death sentence Archived 22 December 2009 at the Wayback Machine, Associated Press, 2 March 2009. Retrieved on 17 January 2010.
  62. 'Chemical Ali' gets a new death sentence Archived 5 September 2020 at the Wayback Machine, MSNBC.com, 17 January 2010. Retrieved on 17 January 2010.
  63. "Saddam Hussein's Henchman Chemical Ali Executed". The Daily Telegraph. London. 25 January 2010. Archived from the original on 11 January 2022. Retrieved 25 January 2010.
  64. Caulfield, Philip (26 October 2010). "Tariq Aziz, Saddam Hussein's former aid, sentenced to hang in Iraq for crimes against humanity". New York Daily News. Archived from the original on 6 September 2012. Retrieved 26 October 2010.
  65. al-Ansary, Khalid (15 July 2011). "U.S. turns Saddam's half-brothers over to Iraq". Reuters. Archived from the original on 8 March 2016. Retrieved 17 July 2011.
  66. "Saddam's deputy PM Tariq Aziz gets 15-year prison sentence". CBC News. 11 March 2009. Archived from the original on 27 September 2020. Retrieved 26 January 2020.
  67. "Japanese war criminals hanged in Tokyo – Dec 23, 1948". History.com. Archived from the original on 9 October 2017. Retrieved 8 October 2017.
  68. "1948: Hideki Tojo and six other Japanese war criminals". Executedtoday.com. 23 December 2008. Archived from the original on 7 October 2017. Retrieved 8 October 2017.
  69. "In Secrecy, Japan Hangs a Best-Selling Author, a Killer of 4". New York Times. 7 August 1997. Archived from the original on 18 February 2008. Retrieved 17 June 2008.
  70. "Japanese school killer executed". BBC News. 14 September 2004. Archived from the original on 11 July 2012. Retrieved 17 June 2008.
  71. "Reports: Japan executes man convicted of killing and mutilating young girls in 1980s". International Herald Tribune. 17 June 2008. Archived from the original on 4 August 2008. Retrieved 17 June 2008.
  72. "Jordan 'hangs Israeli spies'". The Independent. London. 16 August 1993. Archived from the original on 11 August 2018. Retrieved 29 August 2017.
  73. "Toledo Blade – Google News Archive Search". News.google.com. Archived from the original on 19 May 2021. Retrieved 8 October 2017.
  74. "LEBANON : Stakeholder Submission to the United Nations Universal Periodic Review" (PDF). Theadvocatesforhumanrights.org. Archived (PDF) from the original on 16 January 2021. Retrieved 8 October 2017.
  75. The Maryland Ritual Murders. The Final Verdict: Death By Hanging Archived 25 January 2022 at the Wayback Machine. Liberiapastandpresent.org. Retrieved 11 December 2017.
  76. Ritualistic Killings Spark Mob Action in Maryland Archived 30 November 2019 at the Wayback Machine. Theperspective.org Jan 2005. Retrieved 11 December 2017.
  77. "Singapore clings to death penalty". Sunday Times (South Africa). 21 November 2005. Archived from the original on 27 September 2011. Retrieved 2 April 2006.
  78. Baylis Thomas (1999). How Israel was Won: A Concise History of the Arab-Israeli Conflict. Lexington Books. p. 154. ISBN 978-0-7391-0064-6.
  79. Mitchell G. Bard, Ph.D. (2 September 2008). The Complete Idiot's Guide to Middle East Conflict, 4th Edition. DK Publishing. p. 193. ISBN 978-1-101-21720-7. Archived from the original on 3 August 2020. Retrieved 5 January 2016.
  80. Michael L. Brown (1992). Our Hands Are Stained with Blood. Destiny Image Publishers. p. 190. ISBN 978-1-56043-068-1.
  81. Burckhardt, J.L.:" Travels in Syria and the Holy Land", London 1822, p.156
  82. "ISIS butchers hang prisoners from meat hooks". 13 September 2016.
  83. Craies, William Feilden (1911). "Hanging" . In Chisholm, Hugh (ed.). Encyclopædia Britannica. Vol. 12 (11th ed.). Cambridge University Press. pp. 917–918.
  84. "Toronto Daily Star – Google News Archive Search". News.google.com. Archived from the original on 25 January 2022. Retrieved 8 October 2017.
  85. Helen. "Lord Haw-Haw: the myth and reality". Safran-arts.com. Archived from the original on 9 October 2017. Retrieved 8 October 2017.
  86. Fielding, Steve (2008), The Executioner's Bible, John Blake Publishing, ISBN 978-1-84454-648-0
  87. "The death penalty in the British Commonwealth". Capitalpunishmentuk.org. Archived from the original on 31 December 2018. Retrieved 8 October 2017.
  88. Lords Hansard text for 12 February 1998 Archived 5 June 2011 at the Wayback Machine, Hansard, Col. 1350.
  89. tiersma, peter. "WRIT OF EXECUTION". Languageandlaw.org. Archived from the original on 23 August 2016. Retrieved 8 October 2017.
  90. "The Newgate Calendar – LAURENCE, EARL FERRERS". Exclassics.com. Archived from the original on 18 November 2016. Retrieved 8 October 2017.
  91. "History". City of London. Archived from the original on 12 June 2011. Retrieved 12 April 2010.
  92. Merrill, Louis Taylor (1945). "The Puritan Policeman". American Sociological Review. American Sociological Association. 10 (6): 766–776. doi:10.2307/2085847. JSTOR 2085847.
  93. Rogers, Horatio, 2009. Mary Dyer of Rhode Island: The Quaker Martyr That Was Hanged on Boston Archived 15 January 2016 at the Wayback Machine pp. 1–2. BiblioBazaar, LLC
  94. "Nine shot, multiple fatalities reported in downtown church shooting". The Post and Courier. 18 June 2015. Archived from the original on 28 July 2016. Retrieved 17 May 2022.
  95. 1 2 "Dakota Governor Walz makes historic apology for 1862 mass hanging in Mankato". Indian Country Today. 2 January 2020. Retrieved 1 December 2023.
  96. Carley, Kenneth (2001). The Dakota War of 1862. Minnesota Historical Society Press. ISBN 0-87351-392-4. OCLC 46685050.
  97. McCaslin, Richard B. (15 June 2010). "Great Hamging at Gainesville". Handbook of Texas Online, Texas State Historical Association. Archived from the original on 8 August 2018. Retrieved 30 May 2014.
  98. "History of Lynching in America". NAACP. Retrieved 14 March 2022.
  99. "DeathPenaltyUSA, the database of executions in the United States". deathpenaltyusa.org. Retrieved 9 May 2022.
  100. "The Last Public Execution in America". Npr.org. Archived from the original on 8 August 2019. Retrieved 20 June 2012.
  101. "On This Day: Kentucky Holds Final Public Execution in the US". Findingdulcinea.com. 14 August 2011. Archived from the original on 11 March 2012. Retrieved 20 June 2012.
  102. Blake, Gene (14 October 1982). "Famed warden Duffy of San Quentin dead at 84". Los Angeles Times.
  103. Duffy, Clinton (1962). Eighty-Eight Men and Two Women. Garden City, NY: Doubleday. OCLC 1317754.
  104. Fimrite, Peter (20 November 2005). "Inside death row. At San Quentin, 647 condemned killers wait to die in the most populous execution antechamber in the United States". San Francisco Chronicle. Archived from the original on 2 July 2009. Retrieved 12 January 2009.
  105. "Iran execution: Man publicly hanged from crane amid protests". AP News. 12 December 2022. Retrieved 2 November 2023.
  106. Tengler, U. "Layenspiegel". Archived 13 May 2016 at the Wayback Machine. p.119
  107. Original German text: Den Juden zwischen zweyen wütenden oder beissenden hunde zu der gewonlichen gerichtstatt zu ziehen. vel schlieffen, mit dem strang oder ketten bey seinen füssen an eynen besondern galgen zwischen die hund nach verkerter mass hencken damit er also von leben zom tod gericht wird
  108. Cohen, Esther (1993). The Crossroads of Justice: Law and Culture in Late Medieval France. Archived 13 May 2016 at the Wayback Machine. Brill. p.92–93
  109. Archuleta, Roy A. (2006). Where We Come From. Where We Come From,collect. p. 46. ISBN 9781424304721. Archived from the original on 13 May 2016. Retrieved 14 March 2016.
  110. Müller, Jörg R. (2008). Beziehungsnetze aschkenasischer Juden während des Mittelalters und der frühen Neuzeit. Hahnsche Buchhandlung. pp. 81, footnote 31. ISBN 9783775256292.
  111. 1 2 3 4 Kriegk, G. L. "Deutsches Bürgerthum im Mittelalter". Archived 13 May 2016 at the Wayback Machine Frankfurt am Main 1868, p.243
  112. Limmer, K.A. Bibliothek der sächsischen Geschichte. Vol. 2. Archived 13 May 2016 at the Wayback Machine. Ronneburg 1831 p.721
  113. Monatsschrift für Geschichte und Wissenschaft des Judentums. Vol. 9 Archived 13 May 2016 at the Wayback Machine. Leipzig 1860, p.90
  114. Henne am Rhyn, O.:"Kulturgeschichte der neuern Zeit: Vom Wiederaufleben d. Wiss. bis... Vol. 1. Archived 12 May 2016 at the Wayback Machine. Leipzig 1870, p.566
  115. Battenberg, F. Von Enoch bis Kafka: Festschrift für Karl E. Grözinger zum 60. Geburtstag. Archived 12 May 2016 at the Wayback Machine. Wiesbaden 2002, p.86
  116. "Öttingen". Jewish Encyclopedia. Archived from the original on 14 August 2017. Retrieved 8 October 2017.
  117. Haym, R: "Preussische Jahrbücher. Vol. 8. Archived 12 May 2016 at the Wayback Machine. Berlin 1861 p.122–23
  118. von Heister, Carl (1863). Geschichtliche Untersuchungen über Israel: Die Juden: aufgebürdete Verbrechen. Erlittene Verfolgung. Angethane Schmach. Vol. 3. Naumburg: Tauerschmidt. p. 38. Archived from the original on 13 May 2016. Retrieved 14 March 2016.
  119. Neilson, George (1896). Caudatus Anglicus. Edinburgh: George p. Johnston. p. 11, footnote 2.
  120. Tschamser, P. F. Malachiam (1864). Annales oder Jahrs-Geschichte der ...: Minderen Brüdern S. Franc. ord. Conventualen genzunt, zu Thann ... 1724. Vol. 1. Colmar: K. A. Hoffmann. p. 250. Archived from the original on 13 May 2016. Retrieved 14 March 2016.
  121. The author regards this as probably the last case in which a Jew (although in this case dead) was hanged up by the feet in Germany. Schnitzler, Norbert (2002). "Juden vor Gericht: Soziale Ausgrenzung durch Sanktionen". In Schlosser, Hans; Sprandel, Rolf; Willoweit, Daniel (eds.). Herrschaftliches Strafen seit dem Hochmittelalter: Formen und Entwicklungsstufen (in German). Cologne, Weimar: Böhlau. p. 292. ISBN 9783412086015.
  122. On Kisch's assessment, see for example: Kisch, Guido (1943). Historia Judaica: A Journal of Studies in Jewish History, Especially in Legal and Economic History of the Jews. Vol. 5–6. Historia Judaica. p. 119. On locus in Adam of Bremen's text, see Adam of Bremen (2013). History of the Archbishops of Hamburg-Bremen. Translated by Tschan, Francis J.; Reuter, Timothy. New York: Columbia University Press. p. 120. ISBN 9780231500852. Archived from the original on 13 May 2016. Retrieved 14 March 2016.
  123. Ryccardi di Sancto Germano Notarii Chronicon Archived 12 March 2004 at the Wayback Machine trans. G. A. Loud
  124. Bradbury, Jim (2007). The Capetians: Kings of France 987–1328. London: Conitunuum Books. pp. 78–79. ISBN 9780826435149. Archived from the original on 12 May 2016. Retrieved 14 March 2016.
  125. Hurton, William (1862). Hearts of Oak, or Naval yarns. By the author of 'Vonved the Dane'. London: Richard Bentley. p. 84.
  126. "Modern-day 'outlaws' gather to honour Jánošík Archived 16 May 2013 at the Wayback Machine". The Slovak Spectator. 9 July 2012.
  127. Schober, Gottlob – Deutsche Biographie. 1891. Archived from the original on 5 August 2018. Retrieved 8 October 2017.
  128. Müller, Gerhard F. (1762). Sammlung Rußischer Geschichte, 1st and 2nd Part of 7th Volume. St. Petersburg: Kayserl. Academie der Wißenschafften. p. 23. Archived from the original on 13 May 2016. Retrieved 14 March 2016.
  129. Stedman, J.G.: " Narrative, of a five years' expedition", Vol.1, London 1813, p.116
  130. Honour, Hugh (1975). The European Vision of America Cleveland, Ohio; The Cleveland Museum of Art, p.343
  131. Oxford English Dictionary (2015 update), OUP, Oxford, UK
  132. Online "Hang". Compact Oxford English Dictionary of Current English. Archived from the original on 19 October 2004. Retrieved 6 July 2009.
  133. Online "Hang". American Heritage Dictionary. Archived from the original on 18 July 2011. Retrieved 6 July 2009.
  134. "Hang". Merriam-Webster's Online Dictionary. Archived from the original on 21 April 2009. Retrieved 6 July 2009.
  135. Jess Stein, ed. (1979). Random House Dictionary of the English Language (1st ed.).

Further reading

  • Jack Shuler, The Thirteenth Turn: A History of the Noose. New York: Public Affairs, 2014, ISBN 978-1610391368
This article is issued from Wikipedia. The text is licensed under Creative Commons - Attribution - Sharealike. Additional terms may apply for the media files.