CEDNIK syndrome
| Cerebral dysgenesis–neuropathy–ichthyosis–keratoderma syndrome | |
|---|---|
| Other names: CEDNIK syndrome[1] | |
![]() | |
| Left short forehead with bitemporal narrowing, low-set ears, microphthalmia, high-arched palate,short philtrum with bowed upper lip, micrognathia, and high-arched palate Right generalized ichthyosis | |
| Specialty | Dermatology |
Cerebral dysgenesis–neuropathy–ichthyosis–keratoderma syndrome is a neurocutaneous condition caused by mutation in the SNAP29 gene.[2]
Sign and symptoms
CEDNIK syndrome is a rare congenital condition that presents as severe developmental failure of the nervous system and the epidermis. Clinical manifestations include microcephaly, cerebral dysgenesis, facial dysmorphism, palmoplantar keratoderma, and ichthyosis.[3]
These children usually have a normal intrauterine life and normal birth. The first symptoms to appear are abnormal eye movements, poor head and trunk control and failure to thrive. The facial dysmorphism is characteristic with elongated faces, antimongolian eye slant, slight hypertelorism and flat broad nasal root. Palmoplantar keratoderma and ichthyosis appears between 5 and 11 months of age. Soon features of psychomotor retardation as seen as a delay in major developmental milestones, becomes evident. Severe peripheral neuropathy is common in these children. Early macular degeneration is yet another clinical feature.[4]
Pathophysiology
This condition is associated with a loss-of-function mutation in SNAP29 gene, encoding a member of the SNARE family of proteins which is involved in intracellular vesicle fusion. Decrease in SNAP29 expression was found to result in abnormal lamellar granule maturation and secretion.[5] Lamellar granules are organelles found in the upper epidermal layers of skin and is responsible for secretion of lipids, proteases and their inhibitors to stratum corneum during the formation of epidermal barrier. Due to the abnormal vesicle trafficking as a consequence of decreased SNAP29 there is abnormal deposition of epidermal lipids and proteases.[4]
The abnormal gene of CEDNIK disease was mapped on chromosome 22 by Sprecher E et al.[4]
Diagnosis

Tendon reflexes are usually absent. Nerve conduction studies usually show decreased amplitude indicating decrease in the number of active neurons. Muscle biopsies show atrophy.
Ophthalmologic evaluation show hypoplastic optic disk and electrophysiological studies were suggestive of decreased conductance in retina and features of macular atrophy.
Mild sensorineural hearing loss is present.
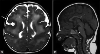
Magnetic resonance imaging of the brain shows abnormalities of the corpus callosum and cortical dysplasia, with pachygyria and polymicrogyria.
Prognosis
Death is common by 5–10 years and is usually as a result of infection or aspiration pneumonia.
See also
References
- ↑ RESERVED, INSERM US14-- ALL RIGHTS. "Orphanet: CEDNIK syndrome". www.orpha.net. Archived from the original on 29 December 2017. Retrieved 18 May 2019.
- ↑ Rapini, Ronald P.; Bolognia, Jean L.; Jorizzo, Joseph L. (2007). Dermatology: 2-Volume Set. St. Louis: Mosby. ISBN 978-1-4160-2999-1.
- ↑ "Kegg Disease: CEDNIK syndrome". www.genome.jp. Archived from the original on 2017-07-17. Retrieved 2019-11-22.
- 1 2 3 Sprecher, Eli; Ishida-Yamamoto, Akemi; Mizrahi-Koren, Mordechai; Rapaport, Debora; Goldsher, Dorit; Indelman, Margarita; Topaz, Orit; Chefetz, Ilana; Keren, Hanni; O'Brien, Timothy J.; Bercovich, Dani (August 2005). "A Mutation in SNAP29, Coding for a SNARE Protein Involved in Intracellular Trafficking, Causes a Novel Neurocutaneous Syndrome Characterized by Cerebral Dysgenesis, Neuropathy, Ichthyosis, and Palmoplantar Keratoderma". American Journal of Human Genetics. 77 (2): 242–251. doi:10.1086/432556. ISSN 0002-9297. PMC 1224527. PMID 15968592.
- ↑ Fuchs-Telem, D.; Stewart, H.; Rapaport, D.; Nousbeck, J.; Gat, A.; Gini, M.; Lugassy, Y.; Emmert, S.; Eckl, K.; Hennies, H. C.; Sarig, O. (March 2011). "CEDNIK syndrome results from loss-of-function mutations in SNAP29". The British Journal of Dermatology. 164 (3): 610–616. doi:10.1111/j.1365-2133.2010.10133.x. ISSN 1365-2133. PMID 21073448. S2CID 8121441.
- ↑ "CEDNIK syndrome (Concept Id: C1836033) - MedGen - NCBI". www.ncbi.nlm.nih.gov. Retrieved 13 January 2024.
External links
| Classification | |
|---|---|
| External resources |
|
