Capillariasis
| Capillariasis | |
|---|---|
![]() | |
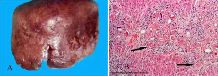
| a,b)Hepatic capillariasis | |
| Specialty | Infectious diseases |
| Frequency | Lua error in Module:PrevalenceData at line 5: attempt to index field 'wikibase' (a nil value). |
Capillariasis is a disease caused by nematodes in the genus Capillaria.[1] The two principal forms of the disease are:
- Intestinal capillariasis, caused by Capillaria philippinensis
- Hepatic capillariasis, caused by Capillaria hepatica
References
- ↑ Berger SA, Marr JS. Human Parasitic Diseases Sourcebook. Jones and Bartlett Publishers: Sudbury, Massachusetts, 2006.
This article is issued from Wmcloud. The text is licensed under Creative Commons - Attribution - Sharealike. Additional terms may apply for the media files.
