Cervical polyp
| Cervical polyp | |
|---|---|
| Other names: Polyp of cervix uteri | |
![]() | |
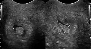
| Cervical polyp on ultrasound | |
| Specialty | Gynecology |
| Symptoms | None, vaginal bleeding after sex, vaginal discharge[1] |
| Usual onset | Typically >40-years age[1] |
| Causes | Unknown[1] |
| Frequency | Common[1] |
A cervical polyp, also known as endocervical polyp, is a is a growth attached to the inside of the cervical canal, part of the uterus.[1] It generally does not have any symptoms, but may present with vaginal bleeding after sex, or vaginal discharge.[1]
They tend to occur as single growth less than 1cm.[1] 0.2% to 1.5% are precancerous or cancerous, seen mostly after menopause.[2] Treatment consists of simple removal of the polyp and prognosis is generally good.
They are most common in females older then 40-years.[1]
Signs and symptoms
Cervical polyps often show no symptoms.[1] Where there are symptoms, they include intermenstrual bleeding, abnormally heavy menstrual bleeding (menorrhagia), vaginal bleeding in post-menopausal women, bleeding after sex and thick white vaginal or yellowish discharge (leukorrhoea).[3][4][5]
Cause
The cause of cervical polyps is uncertain.[1] They may also occur as a result of raised levels of estrogen or clogged cervical blood vessels.[3]
Diagnosis

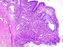
Cervical polyps can be seen during a pelvic examination as cherry-red or greyish-white projections from the cervical canal.[2] Diagnosis can be confirmed by a cervical biopsy which will reveal the nature of the cells present.[3]
Structure
Cervical polyps are finger-like growths, generally less than 1 cm in diameter.[1] They are generally bright red in colour, with a spongy texture.[6] They may be attached to the cervix by a stalk (pedunculated) and occasionally prolapse into the vagina where they can be mistaken for endometrial polyps or submucosal fibroids.[4]
Treatment
Cervical polyps can be removed using ring forceps.[7] They can also be removed by tying surgical string around the polyp and cutting it off.[3] The remaining base of the polyp can then be removed using a laser or by cauterisation.[3] If the polyp is infected, an antibiotic may be prescribed.[3]
Prognosis
99% of cervical polyps will remain benign and 1% will at some point show neoplastic change.[8] Cervical polyps are unlikely to regrow.[3]
Epidemiology
Cervical polyps are most common after age 40-years.[1] They are rare in pre-menstrual girls and uncommon in post-menopausal women.[5]
See also
References
- 1 2 3 4 5 6 7 8 9 10 11 12 WHO Classification of Tumours Editorial Board, ed. (2020). "6. Tumours of the uterine cervix: cervical polyp". Female genital tumours: WHO Classification of Tumours. Vol. 4 (5th ed.). Lyon (France): International Agency for Research on Cancer. p. 352. ISBN 978-92-832-4504-9. Archived from the original on 2022-06-17. Retrieved 2022-08-03.
- 1 2 Alkilani, Yara G.; Apodaca-Ramos, Irasema (2022). "Cervical Polyps". StatPearls. StatPearls Publishing. Archived from the original on 2022-08-03. Retrieved 2022-08-03.
- 1 2 3 4 5 6 7 Smith, Melanie N. (2006-05-10). "Cervical polyps". MEDLINE. Archived from the original on 2007-10-26. Retrieved 2007-11-05.
- 1 2 Bates, Jane (1997). Practical Gynaecological Ultrasound. Cambridge University Press. p. 77. ISBN 1-900151-51-0. Archived from the original on 2022-04-22. Retrieved 2022-07-20.
- 1 2 Bosze, Peter; David M. Luesley (2004). Eagc Course Book on Colposcopy. Informa Health Care. p. 66. ISBN 963-00-7356-0. Archived from the original on 2022-04-07. Retrieved 2022-07-20.
- ↑ Zuber, Thomas J.; E. J. Mayeaux (2004). Atlas of Primary Care Procedures. Lippincott Williams & Wilkins. pp. 254–256. ISBN 0-7817-3905-5. Archived from the original on 2017-04-22. Retrieved 2022-07-20.
- ↑ Moore, Anne (2001-09-20). "How Should I Treat Postcoital Bleeding in a Premenopausal Patient?". Medscape.com. Archived from the original on 2003-12-14. Retrieved 2007-10-21.
- ↑ Tillman, Elizabeth. "Short Instructor Materials" (PDF). Centers for Disease Control and Prevention. Archived from the original on 2006-04-23. Retrieved 2007-10-21.
{{cite web}}: CS1 maint: bot: original URL status unknown (link)
External links
| Classification | |
|---|---|
| External resources |
