Cholesterolosis of gallbladder
| Cholesterolosis of gallbladder | |
|---|---|
| Other names: Strawberry gallbladder, gallbladder cholesterolosis | |
![]() | |
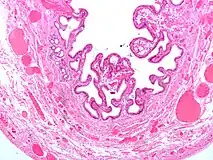
| Micrograph of cholesterolosis of the gallbladder, with an annotated foam cell. H&E stain. | |
| Specialty | Pathology, general surgery |
Cholesterolosis of the gallbladder, also known as strawberry gallbladder, is a change in the gallbladder wall due to excess cholesterol.[1]
The name strawberry gallbladder comes from the typically stippled appearance of the mucosal surface on gross examination, which resembles a strawberry. Cholesterolosis results from abnormal deposits of cholesterol esters in macrophages within the lamina propria (foam cells) and in mucosal epithelium. The gallbladder may be affected in a patchy localized form or in a diffuse form. The diffuse form macroscopically appears as a bright red mucosa with yellow mottling (due to lipid), hence the term strawberry gallbladder. It is not tied to cholelithiasis (gallstones) or cholecystitis (inflammation of the gallbladder).[2]
Cut-opened specimen of gallbladder (strawberry) shows multiple polyps
Micrograph of cholesterolosis of the gallbladder
Micrograph of cholesterolosis of the gallbladder
Micrograph of cholesterolosis of the gallbladder
See also
References
- ↑ Strawberry gallbladder - cancerweb.ncl.ac.uk.
- ↑ "Cholesterolosis of the Gall Bladder". Archived from the original on 2012-10-26. Retrieved 2022-03-12.
Further reading
- Izzo L, Boschetto A, Brachini G, et al. (2001). "["Strawberry" gallbladder: review of the literature and our experience]". Il Giornale di Chirurgia (in italiano). 22 (1–2): 33–6. PMID 11272434.
External links
| Classification |
|---|
