Cingulate island sign
| Cingulate island sign | |
|---|---|
![]() | |
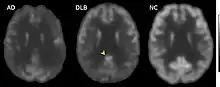
| FDG-PET of horizontal cross section brain. Brighter areas indicate higher metabolism, and the cingulate island sign is present in DLB (arrow), unlike Alzheimer's disease (AD) and normal (NC). | |
| Differential diagnosis | Dementia with Lewy bodies |
In medicine, the cingulate island sign is a finding on FDG-PET brain scans that metabolism in the posterior cingulate cortex is preserved. It can help to identify dementia with Lewy bodies (DLB) and distinguish it from Alzheimer's disease and other dementias.[1][2]
References
- ↑ McKeith IG, Boeve BF, Dickson DW, et al. (July 2017). "Diagnosis and management of dementia with Lewy bodies: Fourth consensus report of the DLB Consortium". Neurology (Review). 89 (1): 88–100. doi:10.1212/WNL.0000000000004058. PMC 5496518. PMID 28592453.
- ↑ Hershey LA, Coleman-Jackson R (April 2019). "Pharmacological management of dementia with Lewy dodies". Drugs Aging (Review). 36 (4): 309–19. doi:10.1007/s40266-018-00636-7. PMC 6435621. PMID 30680679.
This article is issued from Wmcloud. The text is licensed under Creative Commons - Attribution - Sharealike. Additional terms may apply for the media files.
