Congenital amegakaryocytic thrombocytopenia

Congenital amegakaryocytic thrombocytopenia
Congenital amegakaryocytic thrombocytopenia is inherited in an autosomal recessive manner

Congenital amegakaryocytic thrombocytopenia (CAMT) is a rare inherited disorder.[1][2][3]

Signs and symptoms

The primary manifestations are thrombocytopenia and megakaryocytopenia, or low numbers of platelets and megakaryocytes. There is an absence of megakaryocytes in the bone marrow with no associated physical abnormalities.[4]

Cause

The cause for this disorder appears to be a mutation in the gene for the TPO receptor, c-mpl, despite high levels of serum TPO.[5][6] In addition, there may be abnormalities with the central nervous system including the cerebrum and cerebellum which could cause symptoms.[5]

Diagnosis

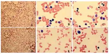
Progression of bone marrow failure in a child with CAMT. A, B, C- Bone marrow aspiration performed at 2 years of age showed no megakaryocytes in a cellular particle with erythroid and myeloid precursors without dysplasia (100x, 1000x, 1000x, respectively). D, E, F- Bone marrow aspirate showed very hypocellular results with few lymphocytes at 2.5 years of age (100x, 100x, 1000x, respectively).

Diagnosis of this condition, Congenital amegakaryocytic thrombocytopenia, can be done via the following:[7]

  • Blood tests of thrombocytopenia
  • Normal mean platelet volume
  • Highly elevated serum levels of TPO
  • Very few megakaryocytes
  • Genetic test

Treatment

The primary treatment for CAMT is bone marrow transplantation.[8]

Bone Marrow/Stem Cell Transplant is the only thing that ultimately cures this genetic disease. Frequent platelet transfusions are required to ensure that platelet levels do not fall to dangerous levels, although this is not always the case. It is known for patients to continue to create very small numbers of platelets over time.

See also

  • Thrombopoietin
  • Myeloproliferative leukemia virus oncogene

References

  1. Ballmaier M, Germeshausen M, Schulze H, et al. (January 2001). "c-mpl mutations are the cause of congenital amegakaryocytic thrombocytopenia". Blood. 97 (1): 139–46. doi:10.1182/blood.V97.1.139. PMID 11133753.
  2. Germeshausen M, Ballmaier M, Welte K (March 2006). "MPL mutations in 23 patients suffering from congenital amegakaryocytic thrombocytopenia: the type of mutation predicts the course of the disease". Hum. Mutat. 27 (3): 296. doi:10.1002/humu.9415. PMID 16470591.
  3. Rose MJ, Nicol KK, Skeens MA, Gross TG, Kerlin BA (June 2008). "Congenital amegakaryocytic thrombocytopenia: the diagnostic importance of combining pathology with molecular genetics". Pediatr Blood Cancer. 50 (6): 1263–5. doi:10.1002/pbc.21453. PMID 18240171. S2CID 5285793.
  4. Freedman MH, Estrov Z (1990). "Congenital amegakaryocytic thrombocytopenia: an intrinsic hematopoietic stem cell defect". Am. J. Pediatr. Hematol. Oncol. 12 (2): 225–230. doi:10.1097/00043426-199022000-00020. PMID 2378417. S2CID 23164119.
  5. 1 2 Ihara K, Ishii E, Eguchi M, Takada H, Suminoe A, Good RA, Hara T (1999). "Identification of mutations in the c-mpl gene in congenital amegakaryocytic thrombocytopenia". Proc. Natl. Acad. Sci. 96 (6): 3133–6. Bibcode:1999PNAS...96.3132I. doi:10.1073/pnas.96.6.3132. PMC 15907. PMID 10077649.
  6. Ballmaier M, Germeshausen M, Schulze H, Cherkaoui K, Lang S, Gaudig A, Krukemeier S, Eilers M, Strauss G, Welte K (2001). "C-mpl mutations are the cause of congenital amegakaryocytic thrombocytopenia". Blood. 97 (1): 139–46. doi:10.1182/blood.V97.1.139. PMID 11133753.
  7. "Congenital amegakaryocytic thrombocytopenia | Genetic and Rare Diseases Information Center (GARD) – an NCATS Program". rarediseases.info.nih.gov. Archived from the original on 12 May 2021. Retrieved 6 October 2021.
  8. King S, Germeshausen M, Strauss G, Welte K, Ballmaier M (December 2005). "Congenital amegakaryocytic thrombocytopenia: a retrospective clinical analysis of 20 patients". Br. J. Haematol. 131 (5): 636–44. doi:10.1111/j.1365-2141.2005.05819.x. PMID 16351641. S2CID 23998393.
Classification
External resources
This article is issued from Wmcloud. The text is licensed under Creative Commons - Attribution - Sharealike. Additional terms may apply for the media files.