Eosinophilic vasculitis
| Eosinophilic vasculitis | |
|---|---|
![]() | |
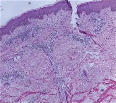
| (Recurrent Cutaneous) Eosinophilic Vasculitis-perivascular inflammatory infiltrate in recurrent cutaneous eosinophilic vasculitis | |
| Specialty | Dermatology |
Eosinophilic vasculitis is a cutaneous condition characterized by an inflammation of blood vessels and the presence of eosinophils.[1]
See also
References
- ↑ Rapini, Ronald P.; Bolognia, Jean L.; Jorizzo, Joseph L. (2007). Dermatology: 2-Volume Set. St. Louis: Mosby. ISBN 1-4160-2999-0.
This article is issued from Wmcloud. The text is licensed under Creative Commons - Attribution - Sharealike. Additional terms may apply for the media files.
