Fibrofolliculoma

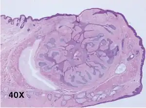
Characteristic appearances of proliferating infundibular epithelial strands with perifollicular fibrous reaction, anastomosing to form an epithelial network (arrow: hair follicle, Hematoxylin-eosin stain, ×100)
Fibrofolliculomas are 2 to 4 mm in diameter, dome-shaped, yellowish or skin-colored papules usually located on the head, neck, and upper trunk. They are characteristically seen in Birt–Hogg–Dubé syndrome.[1][2]: 674
Diagnosis

Histopathologic appearance of a fibrofolliculoma
See also
References
- ↑ "Birt-Hogg-Dube syndrome". dermnetnz.org. Archived from the original on 3 February 2023. Retrieved 29 April 2023.
- ↑ James, William D.; Berger, Timothy G.; et al. (2006). Andrews' Diseases of the Skin: Clinical Dermatology. Saunders Elsevier. ISBN 0-7216-2921-0.
This article is issued from Wmcloud. The text is licensed under Creative Commons - Attribution - Sharealike. Additional terms may apply for the media files.