Gandy–Gamna nodules

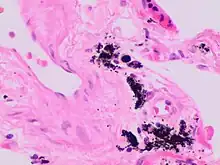
Micrograph of the spleen showing darkly stained, spheroid Gamna-Gandy bodies (arrows) outside the vessel wall at the center. Also shown is diffusely scattered, brown, granular hemosiderin pigment (arrowheads), indicating previous hemorrhage (hematoxylin & eosin staining, 40x magnification).

Gandy–Gamna nodules may also be seen in chronic pulmonary congestion.
Gandy–Gamna nodules or Gandy-Gamna bodies, sometimes known as Gamna-Gandy bodies or Gamna-Gandy nodules, are small yellow-brown, brown, or rust-colored foci found in the spleen in patients with splenomegaly due to portal hypertension,[1] as well as sickle cell disease. They consist of fibrous tissue with haemosiderin and calcium deposits, and probably form due to scarring at sites of small perivascular haemorrhages.[2] They are visible on MRI scanning due to the presence of haemosiderin.[3]
They can also be seen in atrial myxomas.
They are named after Charles Gandy and Carlos Gamna.
References
- ↑ Kuntz, Erwin; Kuntz, Hans-Dieter (11 March 2009). Hepatology: Textbook and Atlas. Springer Science & Business Media. p. 253. ISBN 9783540768395.
Prolonged portal hypertention sometimes leads to the formation of Gamna-Gandy nodules.
- ↑ Gandy-Gamna bodies at Mondofacto online medical dictionary
- ↑ Sagoh T, Itoh K, Togashi K, Shibata T, Nishimura K, Minami S, Asato R, Noma S, Fujisawa I, Yamashita K (1989). "Gamna-Gandy bodies of the spleen: evaluation with MR imaging". Radiology. 172 (3): 685–7. doi:10.1148/radiology.172.3.2672093. PMID 2672093.
{{cite journal}}: CS1 maint: multiple names: authors list (link)
External links
Gandy-Gamna bodies at Who Named It?
This article is issued from Wmcloud. The text is licensed under Creative Commons - Attribution - Sharealike. Additional terms may apply for the media files.