Hallux varus
| Hallux varus | |
|---|---|
| Other names: Sandal gap[1] | |
![]() | |
| A right foot with hallux varus | |
| Specialty | Orthopedic |
Hallux varus is a deformity of the great toe joint where the hallux (great toe) is deviated medially (towards the midline of the body) away from the first metatarsal bone. The hallux usually moves in the transverse plane. Unlike hallux valgus, also known as hallux abducto valgus or bunion, hallux varus is uncommon in the West but it is common in cultures where the population remains unshod.
a) Preoperative photograph showing bilateral hallux varus with widening of the first web space b) Preoperative radiograph of the right foot at 58 months of age c,d) at the immediate postoperative follow-up and final
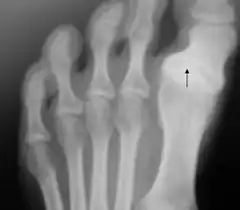
Radiography of the left foot of a young male showing progressive hallux varus
References
- ↑ Weerakkody, Yuranga. "Sandal gap deformity - Radiology Reference Article - Radiopaedia.org". radiopaedia.org. Archived from the original on 2017-07-07. Retrieved 2022-01-31.
External links
| Classification |
|---|
This article is issued from Wmcloud. The text is licensed under Creative Commons - Attribution - Sharealike. Additional terms may apply for the media files.
