Keratosis lichenoides chronica
| Keratocosis lichenoides chronica | |
|---|---|
![]() | |
| Specialty | Dermatology |
| Symptoms | Hard scaly purplish small bumps in a line or lacey pattern, often with facial rash[1] |
| Diagnostic method | Appearance, skin biopsy[2] |
| Frequency | Rare[1] |
Keratosis lichenoides chronica is a longterm skin disease that presents with multiple hard scaly brown-purplish small bumps.[1] These tend to appear in a line or lace-like pattern on particularly the arms, legs and buttocks of young adults.[1] A third affect the palms and soles.[1] Two-thirds involve the face, where it can look like seborrhoeic dermatitis or rosacea.[3] A fifth are itchy.[3] Affected nails may be thick, yellow, and have warty bumps or ridges.[1] It can present as ulcers in the mouth or genital area, and the voice may become hoarse if vocal cords are affected.[1] It can affect the eyes and cause reduced vision.[3] It tends to develop over several years.[4]
The cause is not well understood.[3] It is not clear if it is a variant of lichen planus or a distinct disease on its own.[3]
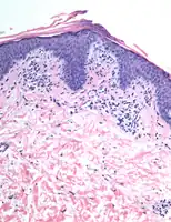
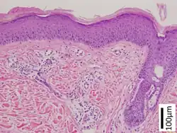
Diagnosis is by its appearance and skin biopsy, which, under the microscope shows a lichenoid reaction pattern.[2] Applying calcipotriol may help, but generally treatment is difficult.[4] Other options include taking retinoids by mouth and PUVA phototherapy.[4] The disease usually progresses slowly and very rarely does it resolve completely.[4]
It is rare.[1] As of 2019, only 70 cases have been reported worldwide.[3] Most affected people are adults aged between 20 and 40 years.[4] It is also known under several other names including Nekam disease, lichen verrucosus et reticularis, lichenoid trikeratosis, keratose lichenoide striae, porokeratosis striata lichenoides, and lichen ruber moniliformis.[3]
Signs and symptoms
Keratosis lichenoides chronica presents with multiple hard scaly purplish small bumps.[1] These typically appear in a line or lace-like pattern on particularly the arms, legs and buttocks of young adults.[1] A third affect the palms and soles.[1] Two-thirds involve the face, where it can look like seborrhoeic dermatitis or rosacea.[3] A fifth are itchy.[3] Affected nails may be thick, yellow, and have warty bumps or ridges.[1] It can present as ulcers in the mouth or genital area, and the voice may become hoarse if vocal chords are affected.[1] It can affect the eyes and cause reduced vision.[3]
Lines and lace-like pattern shoulder
Affecting eyes
Affecting mouth
Lace-like pattern on leg
Cause
The cause is not well understood.[3] It is not clear if it is a variant of lichen planus or a distinct disease on its own.[3]
Diagnosis
Diagnosis is by its appearance and skin biopsy, which, under the microscope shows a lichenoid reaction pattern.[2]
Epidemiology
It is rare.[1] As of 2019, only 70 cases have been reported worldwide.[3] It is also known under several other names including Nekam disease, lichen verrucosus et reticularis, lichenoid trikeratosis, keratose lichenoide striae, porokeratosis striata lichenoides, and lichen ruber moniliformis.[3]
References
- 1 2 3 4 5 6 7 8 9 10 11 12 13 14 James, William D.; Elston, Dirk; Treat, James R.; Rosenbach, Misha A.; Neuhaus, Isaac (2020). "12. Lichen planus and related conditions". Andrews' Diseases of the Skin: Clinical Dermatology (13th ed.). Edinburgh: Elsevier. pp. 224–225. ISBN 978-0-323-54753-6. Archived from the original on 2022-04-08. Retrieved 2022-04-07.
- 1 2 3 Johnstone, Ronald B. (2017). "3. Lichenoid reaction pattern". Weedon's Skin Pathology Essentials (2nd ed.). Elsevier. p. 39. ISBN 978-0-7020-6830-0. Archived from the original on 2021-05-25. Retrieved 2022-04-07.
- 1 2 3 4 5 6 7 8 9 10 11 12 13 14 "Keratosis lichenoides chronica | DermNet NZ". dermnetnz.org. Archived from the original on 13 August 2021. Retrieved 7 April 2022.
- 1 2 3 4 5 "Keratosis lichenoides chronica (syn. Nekam's disease)". Primary Care Dermatology Society. Archived from the original on 5 January 2020. Retrieved 7 April 2022.


