Linear focal elastosis
| Linear focal elastosis | |
|---|---|
| Other names | Linear focal dermal elastosis, Elastotic striae |
![]() | |
| Specialty | Dermatology |
Linear focal elastosis or elastotic striae is a skin condition that presents with asymptomatic, palpable or atrophic, yellow lines of the middle and lower back, thighs, arms and breasts.[1]
Signs and symptoms
Linear focal elastosis manifests as hypertrophic linear yellow to red plaques that are asymptomatic and typically discovered by accident in the absence of a traumatic past. Though it usually affects the lower and middle back symmetrically, it can also affect the legs or face.[2]
Causes
Although the exact origin of linear focal elastosis is unknown, changes to elastic tissues are implicated.[2]
Diagnosis
According to histopathology, there may be more localized wavy fibers in the dermis, which are visible when elastic staining separates normal from hypertrophic collagen bundles.[3] There may be fragmentation or aggregation of the elastic fibers in the deep and upper dermis.[2] Fragmented elastic tissue, microfibrillar or granular constituents, and aggregated elastin are visible under an electron microscope.[4]
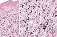
Gallery
Histopathology: Accumulation of fragmented elastotic material within the papillary dermis and transcutaneous elimination of elastotic fibers.[5]
See also
References
- ↑ James, William; Berger, Timothy; Elston, Dirk (2005). Andrews' Diseases of the Skin: Clinical Dermatology. (10th ed.). Saunders. Page 517. ISBN 0-7216-2921-0.
- 1 2 3 Jeong, Jin Seob; Lee, Ji Yeoun; Kim, Mi Kyeong; Yoon, Tae Young (2011). "Linear Focal Elastosis Following Striae Distensae: Further Evidence of Keloidal Repair Process in the Pathogenesis of Linear Focal Elastosis". Annals of Dermatology. 23 (Suppl 2). Korean Dermatological Association and The Korean Society for Investigative Dermatology: S141. doi:10.5021/ad.2011.23.s2.s141. ISSN 1013-9087.
- ↑ Burket, John M.; Zelickson, Alvin S.; Padilla, R. Steven (1989). "Linear focal elastosis (elastotic striae)". Journal of the American Academy of Dermatology. 20 (4). Elsevier BV: 633–636. doi:10.1016/s0190-9622(89)70075-x. ISSN 0190-9622.
- ↑ Hagari, Yoshitaka (1991-09-01). "Linear Focal Elastosis: An Ultrastructural Study". Archives of Dermatology. 127 (9): 1365. doi:10.1001/archderm.1991.01680080101010. ISSN 0003-987X.
- ↑ Hosen, Mohammad J.; Lamoen, Anouck; De Paepe, Anne; Vanakker, Olivier M. (2012). "Histopathology of Pseudoxanthoma Elasticum and Related Disorders: Histological Hallmarks and Diagnostic Clues". Scientifica. 2012: 1–15. doi:10.6064/2012/598262. ISSN 2090-908X. PMC 3820553. PMID 24278718.
-Creative Commons Attribution 3.0 Unported license
Further reading
- Florell, Abigail J.; Wada, David A.; Hawkes, Jason E. (2017). "Linear focal elastosis associated with exercise". JAAD Case Reports. 3 (1). Elsevier BV: 39–41. doi:10.1016/j.jdcr.2016.10.012. ISSN 2352-5126. PMC 5288297.
- Ramlogan, D.; Tan, B.B.; Garrido, M. (2001). "Linear focal elastosis". British Journal of Dermatology. 145 (1). Oxford University Press (OUP): 188–190. doi:10.1046/j.1365-2133.2001.04319.x. ISSN 0007-0963.
