Mucinous cystadenocarcinoma
| Mucinous cystadenocarcinoma | |
|---|---|
![]() | |
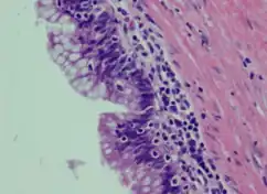
| Atypical goblet cells with focal tufting. | |
| Specialty | Oncology |
Mucinous cystadenocarcinoma is a type of tumor in the cystadenocarcinoma grouping.
It can occur in the breast[1] as well as in the ovary.[2] Tumors are normally multilocular with various smooth, thin walled cysts. Within the cysts is found a haemorrhagic or cellular debris.[2]
_(cropped).png.webp)
Mucinous cystadenocarcinoma
References
- ↑ Honma N, Sakamoto G, Ikenaga M, Kuroiwa K, Younes M, Takubo K (August 2003). "Mucinous cystadenocarcinoma of the breast: a case report and review of the literature". Arch. Pathol. Lab. Med. 127 (8): 1031–3. doi:10.5858/2003-127-1031-MCOTBA. PMID 12873181. Archived from the original on 2023-01-13. Retrieved 2022-04-25.
- 1 2 "Ovarian mucinous cystadenocarcinoma | Radiology Reference Article". Radiopaedia.org. Archived from the original on 25 April 2022. Retrieved 25 April 2022.
| Classification |
|---|
This article is issued from Wmcloud. The text is licensed under Creative Commons - Attribution - Sharealike. Additional terms may apply for the media files.
.jpg.webp)