Mycobacterium florentinum
| Mycobacterium florentinum | |
|---|---|
| Scientific classification | |
| Domain: | Bacteria |
| Phylum: | Actinomycetota |
| Class: | Actinomycetia |
| Order: | Mycobacteriales |
| Family: | Mycobacteriaceae |
| Genus: | Mycobacterium |
| Species: | M. florentinum |
| Binomial name | |
| Mycobacterium florentinum Tortoli et al. 2005, DSM 44852 | |
Mycobacterium florentinum is a strain of bacteria found in humans that can cause infections and other disease conditions, and prolong sickness. It presents a high resistance to antimycobacterial drugs. It is characterized by: slow growth and a short helix 18 in the 16S rDNA.
The word origin of florentinum, is from Italian city of Florence, where the majority of the strains were collected and investigated.

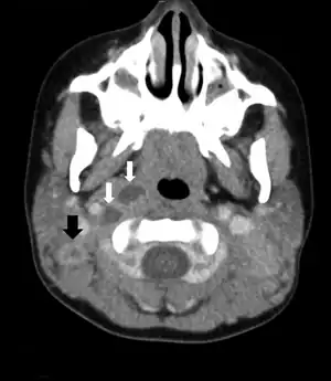
Cervical lymphadenitis caused by Mycobacterium florentinum
Type strain
First isolated and characterized in Florence, Italy. Strain FI-93171 = CCUG 50992 = CIP 108409 = DSM 44852
See also
References
- Tortoli et al.. 2005. Mycobacterium florentinum sp. nov., isolated from humans. Int. J. Syst. Evol. Microbiol. 55, 1101–1106. PMID 15879240
External links
- Type strain of Mycobacterium florentinum at BacDive - the Bacterial Diversity Metadatabase Archived 2023-08-23 at the Wayback Machine
This article is issued from Wmcloud. The text is licensed under Creative Commons - Attribution - Sharealike. Additional terms may apply for the media files.