Ocular hypertension

Ocular hypertension
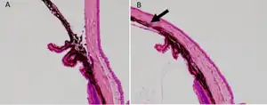
b) Anterior segment of laser-treated a) and control eye was histologically assessed. The arrow indicates the closed angle induced by laser photocoagulation.
SpecialtyOphthalmology

Ocular hypertension is the presence of elevated fluid pressure inside the eye (intraocular pressure), usually with no optic nerve damage or visual field loss.[1][2]

For most individuals, the normal range of intraocular pressure is between 10 mmHg and 21 mmHg.[3][4] Elevated intraocular pressure is an important risk factor for glaucoma. One study found that topical ocular hypotensive medication delays or prevents the onset of primary open-angle glaucoma.[5] Accordingly, most individuals with consistently elevated intraocular pressures of greater than 21mmHg, particularly if they have other risk factors, are treated in an effort to prevent vision loss from glaucoma.

Signs and symptoms

There is usually no clinical presentation.[6]

Pathophysiology

The pressure within the eye is maintained by the balance between the fluid that enters the eye through the ciliary body and the fluid that exits the eye through the trabecular meshwork.[7]

Diagnosis

The condition is diagnosed using ocular tonometry and glaucoma evaluation. Increased IOP without glaucomatous changes (in optic disc or visual field) is considered as ocular hypertension.[7]

Treatment

Ocular hypertension is treated with either medications or laser. Medications that lower intraocular pressure work by decreasing aqueous humor production and/or increasing aqueous humor outflow. Laser trabeculoplasty works by increasing outflow. The cannabinoids found in cannabis sativa and indica (marijuana) have been shown to reduce intraocular pressure, by up to 50% for approximately four to five hours. But due to the duration of effect, significant side-effect profile, and lack of research proving efficacy, the American Glaucoma Society issued a position statement in 2009 regarding the use of marijuana as a treatment for glaucoma.[8]

References

  1. American Academy of Ophthalmology Archived November 25, 2005, at the Wayback Machine
  2. "American Optometric Association - Ocular Hypertension". Archived from the original on 2013-06-05. Retrieved 2020-12-13.
  3. "webMD - Tonometry". Archived from the original on 2008-07-05. Retrieved 2020-12-13.
  4. "eMedicine - Glaucoma Overview". Archived from the original on 2008-07-04. Retrieved 2005-12-28.
  5. Kass, M.A. (2002). "The Ocular Hypertension Treatment Study". Arch Ophthalmol. 120 (6): 701–713. doi:10.1001/archopht.120.6.701.
  6. "What Is Ocular Hypertension?". American Academy of Ophthalmology. 6 May 2022. Archived from the original on 10 March 2022. Retrieved 23 August 2022.
  7. 1 2 Salmon, John F. (2020). "Glaucoma". Kanski's clinical ophthalmology : a systematic approach (9th ed.). Edinburgh: Elsevier. ISBN 978-0-7020-7713-5. OCLC 1131846767. Archived from the original on 2020-06-16. Retrieved 2020-12-13.
  8. Jampel, H (2010). "American Glaucoma Society Position Statement: Marijuana and the treatment of glaucoma". J Glaucoma. 19 (2): 75–76. doi:10.1097/ijg.0b013e3181d12e39. PMID 20160576.
Classification
External resources
This article is issued from Wmcloud. The text is licensed under Creative Commons - Attribution - Sharealike. Additional terms may apply for the media files.