Orthopedic surgery

Orthopedics
This fracture of the lower cervical vertebrae is one of the conditions treated by orthopedic surgeons and neurosurgeons.
MeSHD019637
Orthopedic surgeon
Occupation
Names
Occupation type
Specialty
Activity sectors
Medicine, Surgery
Description
Education required
Fields of
employment
Hospitals, Clinics

Orthopedic surgery or orthopedics (alternative spelling orthopaedics) is the branch of surgery concerned with conditions involving the musculoskeletal system.[1] Orthopedic surgeons use both surgical and nonsurgical means to treat musculoskeletal trauma, spine diseases, sports injuries, degenerative diseases, infections, tumors, and congenital disorders.

Etymology

Nicholas Andry coined the word in French as orthopédie, derived from the Ancient Greek words ὀρθός orthos ("correct", "straight") and παιδίον paidion ("child"), and published Orthopedie (translated as Orthopædia: Or the Art of Correcting and Preventing Deformities in Children[2]) in 1741. The word was assimilated into English as orthopædics; the ligature æ was common in that era for ae in Greek- and Latin-based words. As the name implies, the discipline was initially developed with attention to children, but the correction of spinal and bone deformities in all stages of life eventually became the cornerstone of orthopedic practice.

Differences in spelling

As with many words derived with the "æ" ligature, simplification to either "ae" or just "e" is common, especially in North America. In the US, the majority of college, university, and residency programmes, and even the American Academy of Orthopaedic Surgeons, still use the spelling with the digraph ae, though hospitals usually use the shortened form. Elsewhere, usage is not uniform; in Canada, both spellings are acceptable; "orthopaedics" is the normal spelling in the UK in line with other fields which retain "ae".

History

Early orthopedics

Many developments in orthopedic surgery have resulted from experiences during wartime.[3] On the battlefields of the Middle Ages, the injured were treated with bandages soaked in horses' blood, which dried to form a stiff, if unsanitary, splint.

Originally, the term orthopedics meant the correcting of musculoskeletal deformities in children.[4] Nicolas Andry, a professor of medicine at the University of Paris, coined the term in the first textbook written on the subject in 1741. He advocated the use of exercise, manipulation, and splinting to treat deformities in children. His book was directed towards parents, and while some topics would be familiar to orthopedists today, it also included 'excessive sweating of the palms' and freckles.[5]

Jean-André Venel established the first orthopedic institute in 1780, which was the first hospital dedicated to the treatment of children's skeletal deformities. He developed the club-foot shoe for children born with foot deformities and various methods to treat curvature of the spine.

Advances made in surgical technique during the 18th century, such as John Hunter's research on tendon healing and Percival Pott's work on spinal deformity steadily increased the range of new methods available for effective treatment. Robert Chessher, a pioneering British orthopedist, invented the double-inclined plane, used to treat lower-body bone fractures, in 1790.[6] Antonius Mathijsen, a Dutch military surgeon, invented the plaster of Paris cast in 1851. Until the 1890s, though, orthopedics was still a study limited to the correction of deformity in children. One of the first surgical procedures developed was percutaneous tenotomy. This involved cutting a tendon, originally the Achilles tendon, to help treat deformities alongside bracing and exercises. In the late 1800s and first decades of the 1900s, significant controversy arose about whether orthopedics should include surgical procedures at all.

Modern orthopedics

Hugh Owen Thomas, a pioneer of modern orthopedic surgery

Examples of people who aided the development of modern orthopedic surgery were Hugh Owen Thomas, a surgeon from Wales, and his nephew, Robert Jones.[7] Thomas became interested in orthopedics and bone-setting at a young age, and after establishing his own practice, went on to expand the field into the general treatment of fracture and other musculoskeletal problems. He advocated enforced rest as the best remedy for fractures and tuberculosis, and created the so-called "Thomas splint" to stabilize a fractured femur and prevent infection. He is also responsible for numerous other medical innovations that all carry his name: Thomas's collar to treat tuberculosis of the cervical spine, Thomas's maneuvere, an orthopedic investigation for fracture of the hip joint, the Thomas test, a method of detecting hip deformity by having the patient lying flat in bed, and Thomas's wrench for reducing fractures, as well as an osteoclast to break and reset bones.

Thomas's work was not fully appreciated in his own lifetime. Only during the First World War did his techniques come to be used for injured soldiers on the battlefield. His nephew, Sir Robert Jones, had already made great advances in orthopedics in his position as surgeon-superintendent for the construction of the Manchester Ship Canal in 1888. He was responsible for the injured among the 20,000 workers, and he organized the first comprehensive accident service in the world, dividing the 36-mile site into three sections, and establishing a hospital and a string of first-aid posts in each section. He had the medical personnel trained in fracture management.[8] He personally managed 3,000 cases and performed 300 operations in his own hospital. This position enabled him to learn new techniques and improve the standard of fracture management. Physicians from around the world came to Jones' clinic to learn his techniques. Along with Alfred Tubby, Jones founded the British Orthopedic Society in 1894.

During the First World War, Jones served as a Territorial Army surgeon. He observed that treatment of fractures both, at the front and in hospitals at home, was inadequate, and his efforts led to the introduction of military orthopedic hospitals. He was appointed Inspector of Military Orthopedics, with responsibility for 30,000 beds. The hospital in Ducane Road, Hammersmith, became the model for both British and American military orthopedic hospitals. His advocacy of the use of Thomas splint for the initial treatment of femoral fractures reduced mortality of open fractures of the femur from 87% to less than 8% in the period from 1916 to 1918.[9]

The use of intramedullary rods to treat fractures of the femur and tibia was pioneered by Gerhard Küntscher of Germany. This made a noticeable difference to the speed of recovery of injured German soldiers during World War II and led to more widespread adoption of intramedullary fixation of fractures in the rest of the world. Traction was the standard method of treating thigh bone fractures until the late 1970s, though, when the Harborview Medical Center group in Seattle popularized intramedullary fixation without opening up the fracture.

X-ray of a hip replacement

The modern total hip replacement was pioneered by Sir John Charnley, expert in tribology at Wrightington Hospital, in England in the 1960s.[10] He found that joint surfaces could be replaced by implants cemented to the bone. His design consisted of a stainless steel, one-piece femoral stem and head, and a polyethylene acetabular component, both of which were fixed to the bone using PMMA (acrylic) bone cement. For over two decades, the Charnley low-friction arthroplasty and its derivative designs were the most-used systems in the world. This formed the basis for all modern hip implants.

The Exeter hip replacement system (with a slightly different stem geometry) was developed at the same time. Since Charnley, improvements have been continuous in the design and technique of joint replacement (arthroplasty) with many contributors, including W. H. Harris, the son of R. I. Harris, whose team at Harvard pioneered uncemented arthroplasty techniques with the bone bonding directly to the implant.

Knee replacements, using similar technology, were started by McIntosh in rheumatoid arthritis patients and later by Gunston and Marmor for osteoarthritis in the 1970s, developed by John Insall in New York using a fixed bearing system, and by Frederick Buechel and Michael Pappas using a mobile bearing system.[11]

External fixation of fractures was refined by American surgeons during the Vietnam War, but a major contribution was made by Gavril Abramovich Ilizarov in the USSR. He was sent, without much orthopedic training, to look after injured Russian soldiers in Siberia in the 1950s. With no equipment, he was confronted with crippling conditions of unhealed, infected, and misaligned fractures. With the help of the local bicycle shop, he devised ring external fixators tensioned like the spokes of a bicycle. With this equipment, he achieved healing, realignment, and lengthening to a degree unheard of elsewhere. His Ilizarov apparatus is still used today as one of the distraction osteogenesis methods.[12]

Modern orthopedic surgery and musculoskeletal research have sought to make surgery less invasive and to make implanted components better and more durable. On the other hand, since the emergence of the opioid epidemic, orthopedic surgeons have been identified as one of the highest prescribers of opioid medications.[13][14] Decreasing prescription of opioids while still providing adequate pain control is a development in orthopedic surgery.[14][15][16]

Training

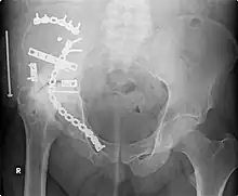
This image, taken in September 2006, shows extensive repair work to the right acetabulum six years after it was carried out (2000). The onset of arthritis, a bone/joint disease, has made further joint damage visible.

In the United States, orthopedic surgeons have typically completed four years of undergraduate education and four years of medical school and earned either a Doctor of Medicine (MD) or Doctor of Osteopathic Medicine (DO) degree. Subsequently, these medical school graduates undergo residency training in orthopedic surgery. The five-year residency is a categorical orthopedic surgery training.

Selection for residency training in orthopedic surgery is very competitive. Roughly 700 physicians complete orthopedic residency training per year in the United States. About 10% of current orthopedic surgery residents are women; about 20% are members of minority groups. Around 20,400 actively practicing orthopedic surgeons and residents are in the United States.[17] According to the latest Occupational Outlook Handbook (2011–2012) published by the United States Department of Labor, 3–4% of all practicing physicians are orthopedic surgeons.

Many orthopedic surgeons elect to do further training, or fellowships, after completing their residency training. Fellowship training in an orthopedic sub-specialty is typically one year in duration (sometimes two) and sometimes has a research component involved with the clinical and operative training. Examples of orthopedic subspecialty training in the United States are:

These specialized areas of medicine are not exclusive to orthopedic surgery. For example, hand surgery is practiced by some plastic surgeons, and spine surgery is practiced by most neurosurgeons. Additionally, some aspects of foot and ankle surgery are also practiced by board-certified doctors of podiatric medicine (DPM) in the United States. Some family practice physicians practice sports medicine, but their scope of practice is nonoperative.

After completion of specialty residency or registrar training, an orthopedic surgeon is then eligible for board certification by the American Board of Medical Specialties or the American Osteopathic Association Bureau of Osteopathic Specialists. Certification by the American Board of Orthopedic Surgery or the American Osteopathic Board of Orthopedic Surgery means that the orthopedic surgeon has met the specified educational, evaluation, and examination requirements of the board.[18][19] The process requires successful completion of a standardized written examination followed by an oral examination focused on the surgeon's clinical and surgical performance over a 6-month period. In Canada, the certifying organization is the Royal College of Physicians and Surgeons of Canada; in Australia and New Zealand, it is the Royal Australasian College of Surgeons.

In the United States, specialists in hand surgery and orthopedic sports medicine may obtain a certificate of added qualifications in addition to their board primary certification by successfully completing a separate standardized examination. No additional certification process exists for the other subspecialties.

Practice

Radiography to identify eventual bone fractures after a knee injury
Orthopedic implants to repair fractures to the radius and ulna. Note the visible break in the ulna. (right forearm)
Anterior and lateral view x-rays of fractured left leg with internal fixation after surgery

According to applications for board certification from 1999 to 2003, the top 25 most common procedures (in order) performed by orthopedic surgeons are:[20]

  1. Knee arthroscopy and meniscectomy
  2. Shoulder arthroscopy and decompression
  3. Carpal tunnel release
  4. Knee arthroscopy and chondroplasty
  5. Removal of support implant
  6. Knee arthroscopy and anterior cruciate ligament reconstruction
  7. Knee replacement
  8. Repair of femoral neck fracture
  9. Repair of trochanteric fracture
  10. Debridement of skin/muscle/bone/ fracture
  11. Knee arthroscopy repair of both menisci
  12. Hip replacement
  13. Shoulder arthroscopy/distal clavicle excision
  14. Repair of rotator cuff tendon
  15. Repair fracture of radius (bone)/ulna
  16. Laminectomy
  17. Repair of ankle fracture (bimalleolar type)
  18. Shoulder arthroscopy and debridement
  19. Lumbar spinal fusion
  20. Repair fracture of the distal part of radius
  21. Low back intervertebral disc surgery
  22. Incise finger tendon sheath
  23. Repair of ankle fracture (fibula)
  24. Repair of femoral shaft fracture
  25. Repair of trochanteric fracture

A typical schedule for a practicing orthopedic surgeon involves 50–55 hours of work per week divided among clinic, surgery, various administrative duties, and possibly teaching and/or research if in an academic setting. According to the American Association of Medical Colleges in 2021, the average work week of an orthopedic surgeon was 57 hours.[21][22] This is a very low estimation however, as research derived from a 2013 survey of orthopedic surgeons who self identified as "highly successful" due to their prominent positions in the field indicated average work weeks of 70 hours or more.[23][21]

Arthroscopy

The use of arthroscopic techniques has been particularly important for injured patients. Arthroscopy was pioneered in the early 1950s by Masaki Watanabe of Japan to perform minimally invasive cartilage surgery and reconstructions of torn ligaments. Arthroscopy allows patients to recover from the surgery in a matter of days, rather than the weeks to months required by conventional, "open" surgery; it is a very popular technique. Knee arthroscopy is one of the most common operations performed by orthopedic surgeons today, and is often combined with meniscectomy or chondroplasty. The majority of upper-extremity outpatient orthopedic procedures are now performed arthroscopically.[24]

Arthroplasty

Arthroplasty is an orthopedic surgery where the articular surface of a musculoskeletal joint is replaced, remodeled, or realigned by osteotomy or some other procedure.[25] It is an elective procedure that is done to relieve pain and restore function to the joint after damage by arthritis (rheumasurgery) or some other type of trauma.[25] As well as the standard total knee replacement surgery, the unicompartmental knee replacement, in which only one weight-bearing surface of an arthritic knee is replaced, may be performed,[25] but it bears a significant risk of revision surgery.[26] Joint replacements are used for other joints, most commonly the hip[27] or shoulder.[28]

A post-surgical concern with joint replacements is wear of the bearing surfaces of components.[29] This can lead to damage to the surrounding bone and contribute to eventual failure of the implant.[29] The plastic chosen is usually ultra-high-molecular-weight polyethylene, which can also be altered in ways that may improve wear characteristics.[29] The risk of revision surgery has also been shown to be associated with surgeon volume.[28][30]

Epidemiology

Between 2001 and 2016, the prevalence of musculoskeletal procedures drastically increased in the U.S, from 17.9% to 24.2% of all operating-room (OR) procedures performed during hospital stays.[31]

In a study of hospitalizations in the United States in 2012, spine and joint procedures were common among all age groups except infants. Spinal fusion was one of the five most common OR procedures performed in every age group except infants younger than 1 year and adults 85 years and older. Laminectomy was common among adults aged 18–84 years. Knee arthroplasty and hip replacement were in the top five OR procedures for adults aged 45 years and older.[32]

See also

References

  1. "Orthopedic Surgeons: Seven Things You Need to Know". Penn Musculoskeletal and Rheumatology Blog. Philadelphia, PA: The Trustees of the University of Pennsylvania. 4 December 2019. Retrieved 2022-02-26.
  2. Andry de Bois-Regard N (2 November 1980). "Orthopædia, or, The art of correcting and preventing deformities in children". Classics of Medicine Library via Google Books.
  3. Smith DC (September 2015). "Extremity Injury and War: A Historical Reflection". Clinical Orthopaedics and Related Research. 473 (9): 2771–2776. doi:10.1007/s11999-015-4327-5. PMC 4523509. PMID 25930212.
  4. "Orthopedic surgery". Harbin Howell Medical Apparatus and Instruments Co., LTD. Retrieved 2022-02-26.
  5. Meals CG, Meals RA (28 July 2021). Windle ML, Schraga ED (eds.). "Sugar-Tong Forearm Splinting Technique: Application of Sugar-Tong Splint, Postprocedural Care, Complications". Medscape. WebMD LLC. Retrieved 2022-02-26.
  6. Valentin, Bruno (October 1958). "Robert Chessher (1750–1831): An English Pioneer in Orthopaedics". Medical History. 2 (4): 308–313. doi:10.1017/s0025727300024054. ISSN 0025-7273. PMC 1034426. PMID 13599783.
  7. Beckett D (1999). "From bonesetters to orthopedic surgeons: a history of the specialty of orthopedics" (PDF). Surgical Technologist. 31: 6–11.
  8. Irving M (September 1981). "Care of emergencies in the United Kingdom". British Medical Journal. 283 (6295): 847–849. doi:10.1136/bmj.283.6295.847. PMC 1507078. PMID 6794724.
  9. Jones AR (1959). "Jones, Sir Robert, Bart". Dictionary of Welsh Biography. National Library of Wales. Retrieved 2010-12-31.
  10. Wroblewski BM (July 2002). "Professor Sir John Charnley (1911–1982)". Rheumatology. 41 (7). The British Society for Rheumatology via Oxford Journals: 824–825. doi:10.1093/rheumatology/41.7.824. PMID 12096235.
  11. Hamelynck KJ (September 2006). "The history of mobile-bearing total knee replacement systems". Orthopedics. 29 (9 Suppl): S7-12. PMID 17002140.
  12. Rozbruch SR, Ilizarov S, eds. (2006). Limb Lengthening and Reconstruction Surgery. CRC Press. ISBN 9781420014013 via Google Books.
  13. "Information Statement: Opioid Use, Misuse, and Abuse in Orthopedic Practice" (PDF). American Academy of Orthopedic Surgeons. 2015.
  14. 1 2 Armstrong AD, Hassenbein SE, Black S, Hollenbeak CS (November 2020). "Risk Factors for Increased Postoperative Pain and Recommended Orderset for Postoperative Analgesic Usage". The Clinical Journal of Pain. 36 (11): 845–851. doi:10.1097/AJP.0000000000000876. PMC 7671821. PMID 32889819.
  15. Seangleulur A, Vanasbodeekul P, Prapaitrakool S, et al. (November 2016). "The efficacy of local infiltration analgesia in the early postoperative period after total knee arthroplasty: A systematic review and meta-analysis". European Journal of Anaesthesiology. 33 (11): 816–831. doi:10.1097/EJA.0000000000000516. PMID 27428259. S2CID 13813622.
  16. Hansen RN, Pham A, Strassels SA, Balaban S, Wan GJ (September 2016). "Comparative Analysis of Length of Stay and Inpatient Costs for Orthopedic Surgery Patients Treated with IV Acetaminophen and IV Opioids vs. IV Opioids Alone for Post-Operative Pain". Advances in Therapy. 33 (9): 1635–1645. doi:10.1007/s12325-016-0368-8. PMC 5020121. PMID 27423648.
  17. "Orthopaedics". OrthoInfo. American Academy of Orthopedic Surgeons (AAOS).
  18. "Your Surgeon is certified by The American Board of Orthopaedic Surgery". American Board of Orthopedic Surgery. Archived from the original on 2007-06-12. Retrieved 26 October 2008.
  19. "AOBOS 2012 Candidate Handbook" (PDF). American Osteopathic Board of Orthopedic Surgery. 2012. Retrieved 19 September 2012.
  20. Garrett WE, Swiontkowski MF, Weinstein JN, Callaghan J, Rosier RN, Berry DJ, et al. (March 2006). "American Board of Orthopaedic Surgery Practice of the Orthopaedic Surgeon: Part-II, certification examination case mix" (PDF). The Journal of Bone and Joint Surgery. American Volume. 88 (3): 660–667. doi:10.2106/JBJS.E.01208. PMID 16510834. Archived from the original (PDF) on February 5, 2017. Retrieved November 30, 2016.
  21. 1 2 Pollock JR, Moore ML, Llanes AC, Brinkman JC, Makovicka JL, Dulle DL, et al. (2022-04-08). "Medical Scribes in an Orthopedic Sports Medicine Clinic Improve Productivity and Physician Well-Being". Arthroscopy, Sports Medicine, and Rehabilitation. 4 (3): e997–e1005. doi:10.1016/j.asmr.2022.02.003. ISSN 2666-061X. PMC 9210372. PMID 35747641. S2CID 248064612.
  22. "Orthopaedic Surgery | Careers in Medicine". www.aamc.org. Retrieved 2022-04-17.
  23. Klein G, Hussain N, Sprague S, Mehlman CT, Dogbey G, Bhandari M (2013). "Characteristics of highly successful orthopedic surgeons: a survey of orthopedic chairs and editors". Canadian Journal of Surgery. 56 (3): 192–198. doi:10.1503/cjs.017511. PMC 3672433. PMID 23706848.
  24. Jain NB, Higgins LD, Losina E, Collins J, Blazar PE, Katz JN (January 2014). "Epidemiology of musculoskeletal upper extremity ambulatory surgery in the United States". BMC Musculoskeletal Disorders. 15: 4. doi:10.1186/1471-2474-15-4. PMC 3893587. PMID 24397703.
  25. 1 2 3 "Restoring Joint Function with Arthroplasty". Baltimore, MD: Johns Hopkins University. 2024. Retrieved 17 February 2024.
  26. Levy KH, Fusco PJ, Salazar-Restrepo SA, et al. (December 2023). "Unicompartmental knee arthroplasty revised to total knee arthroplasty versus primary total knee arthroplasty: A meta-analysis of matched studies". The Knee. 45: 1–10. doi:10.1016/j.knee.2023.09.001. PMID 37708740.
  27. "Hip replacement surgery". Johns Hopkins University. 2024. Retrieved 17 February 2024.
  28. 1 2 "Shoulder replacements are less likely to be revised when surgeons perform more than 10 a year". NIHR Evidence. 18 January 2024. doi:10.3310/nihrevidence_61746. S2CID 267133950.
  29. 1 2 3 Dreyer MJ, Weisse B, Contreras Raggio JI, et al. (November 2023). "The influence of implant design and limb alignment on in vivo wear rates of fixed-bearing and rotating-platform knee implant retrievals". Journal of Orthopaedic Research. 42 (4): 777–787. doi:10.1002/jor.25734. hdl:20.500.11850/645236. PMID 37975250.
  30. Valsamis, Epaminondas Markos; Collins, Gary S.; Pinedo-Villanueva, Rafael; et al. (2023-06-21). "Association between surgeon volume and patient outcomes after elective shoulder replacement surgery using data from the National Joint Registry and Hospital Episode Statistics for England: population based cohort study". BMJ. 381: e075355. doi:10.1136/bmj-2023-075355. ISSN 1756-1833. PMC 10283034. PMID 37343999.
  31. Weiss AJ, Elixhauser A (March 2014). "Trends in Operating Room Procedures in U.S. Hospitals, 2001—2011". HCUP Statistical Brief No. 171. Rockville, MD: Agency for Healthcare Research and Quality. PMID 24851286.
  32. Fingar KR, Stocks C, Weiss AJ, Steiner CA (December 2014). "Most Frequent Operating Room Procedures Performed in U.S. Hospitals, 2003–2012". HCUP Statistical Brief No. 186. Rockville, MD: Agency for Healthcare Research and Quality.
This article is issued from Wmcloud. The text is licensed under Creative Commons - Attribution - Sharealike. Additional terms may apply for the media files.