Pentalogy of Cantrell
| Pentalogy of Cantrell | |
|---|---|
![]() | |
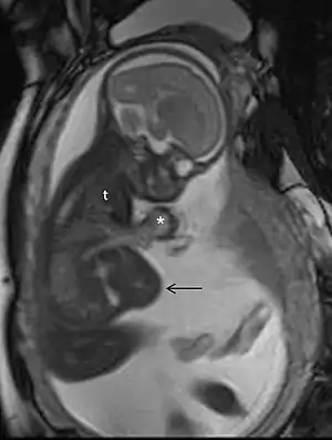
| MRI in pregnancy in a case of pentalogy of Cantrell, showing ectopia cordis (*), partial herniation of the liver (arrow), and a small thoracic cavity (t) | |
Pentalogy of Cantrell (or thoraco-abdominal syndrome) is a rare[1] congenital syndrome that causes defects involving the diaphragm, abdominal wall, pericardium, heart and lower sternum.
Signs and symptoms

There are five characteristic findings in pentalogy of Cantrell:
- an abdominal wall defect,
- lower sternal defect,
- congenital heart malformations,
- absence of the diaphragmatic pericardium,
- and an anterior diaphragmatic defect.[2]
Abdominal wall defects in pentalogy of Cantrell occur above the umbilicus (supraumbilical) and in the midline, and have a wide range of presentations. Diastasis recti, hernias, and omphalocele have all been described in conjunction with the pentalogy.[2]
Sternal defects too have a range of presentations, from absence of the xiphoid process to shortened or cleft sternum. If the sternal defect is large enough, the neonate may have ectopia cordis, in which the heart is located outside of the thorax.[2]
Many congenital heart malformations have been described in conjunction with pentalogy of Cantrell. The most common is ventricular septal defect, found in 72% of cases. Others include atrial septal defect, cardiac diverticulum, pulmonic stenosis, double outlet right ventricle, tetralogy of Fallot, dextrocardia, and transposition of the great vessels.[2]
Causes
Most cases of pentalogy of Cantrell are idiopathic (no known cause). However, some cases have been described with a genetic linkage to a locus at Xq25-q26.1.[3]
Diagnosis
The diagnosis of this condition, Pentalogy of Cantrell can be done via the following :[4]
- Ultrasound
- Echocardiogram
- MRI
Treatment
The management for this condition is via surgical intervention, which can be done in one operation or several .[4]
Epidemiology
Pentalogy of Cantrell occurs in 1/65,000 to 1/200,000 live births.[2]
History
It was first characterized in 1958.[5]
A 2010 study concluded that the 13th-century Christian saint Rose of Viterbo died of complications of Pentalogy of Cantrell.[6]
References
- ↑ Katranci AO, Görk AS, Rizalar R, et al. (1998). "Pentalogy of Cantrell". Indian J Pediatr. 65 (1): 149–53. doi:10.1007/BF02849710. PMID 10771959. Archived from the original on 2022-01-18. Retrieved 2021-12-04.
- 1 2 3 4 5 "Orphanet: Pentalogy of Cantrell". www.orpha.net. Archived from the original on 2017-07-29. Retrieved 2017-07-29.
- ↑ "OMIM Entry - % 313850 - THORACOABDOMINAL SYNDROME; THAS". www.omim.org. Archived from the original on 2019-04-25. Retrieved 2018-10-31.
- 1 2 "Pentalogy of Cantrell". NORD (National Organization for Rare Disorders). Archived from the original on 15 April 2021. Retrieved 17 January 2022.
- ↑ CANTRELL JR, HALLER JA, RAVITCH MM (November 1958). "A syndrome of congenital defects involving the abdominal wall, sternum, diaphragm, pericardium, and heart". Surg Gynecol Obstet. 107 (5): 602–14. PMID 13592660.
- ↑ D'Anastasio PhD, Ruggero; et al. (19 June 2010). "The Heart of Santa Rosa". The Lancet. 375 (9732): 2168. doi:10.1016/s0140-6736(09)60729-7. PMID 20541795. Archived from the original on 28 January 2021. Retrieved 4 December 2021.
External links
| Classification | |
|---|---|
| External resources |
|
