Pityriasis versicolor
| Pityriasis versicolor | |
|---|---|
| Other names: Tinea versicolor, dermatomycosis furfuracea,[1] tinea flava[1] | |
![]() | |
| Light areas of the skin on the chest due to pityriasis | |
| Specialty | Dermatology, infectious diseases[2] |
| Symptoms | Dark or light slightly scaly marks on skin[2] |
| Causes | Malassezia[3] |
| Risk factors | Warm, humid environment, pregnancy, immunodeficiency[3] |
| Diagnostic method | Usually based on appearance[3] |
| Differential diagnosis | Vitiligo, secondary syphilis[3] |
| Treatment | Antifungals (selenium sulfide, clotrimazole, ketoconazole)[3] |
| Prognosis | Benign[3] |
| Frequency | Common[3] |
Pityriasis versicolor, also known as tinea versicolor, is a superficial fungal infection of the skin, characterized by either reddish-brown, dark or light, slightly scaly marks on the skin.[2] It most commonly affects the upper arms and legs, chest, back, and neck.[3] The marks may be discrete or merged together and there may be a mild itch.[3]
It is caused by the yeast Malassezia, formerly known as Pityrosporum.[3] These yeast are normally found on the human skin and become troublesome only under certain circumstances, such as a warm and humid environment.[3] Other risk factors include pregnancy and immunodeficiency.[3] The disease does not spread between people.[3]
Diagnosis is usually by the appearance of the rash.[3] The marks fluoresce yellow with a Wood's lamp.[3] Direct microscopy may show a "spaghetti and meatballs appearance" of the spores and short filaments.[2] Vitiligo and chloasma do not scale, but otherwise may appear similar.[4] Treatment options include selenium sulfide shampoo, and other creams and shampoos containing antifungals such as clotrimazole 1% or ketoconazole 2%.[3] If this is not effective antifungals by mouth may be used.[3] While the disease is not serious, it may recur.[3]
Pityriasis versicolor is common.[3] Rates are as high as 50% in tropical countries.[3] It is more common during the summer.[5] Males and females are affected equally.[3] The condition was first identified in 1846.[6] Versicolor comes from the Latin, from versāre "to turn" and "color".[7]
Signs and symptoms
Pityriasis versicolor usually presents as reddish-brown or dark or light slightly scaly well defined marks on the skin of generally the upper arms, shoulders, chest and back.[2][8] The marks may be discrete or merge together and there may be a mild itch.[4] Less likely, the condition can occur in the underarms, in the groin, on the backs of hands, or around the genitals and thighs.[4]
The scales may appear a very superficial ash-like scale. The marks can be pale, dark tan, or pink in color, with a reddish undertone that can darken when the person is overheated, such as in a hot shower or during/after exercise. Tanning typically makes the affected areas contrast more starkly with the surrounding skin.[9]
In people with dark skin tones, pigmentary changes such as hypopigmentation (loss of color) are common, while in those with lighter skin color, hyperpigmentation (increase in skin color) is more common. These discolorations have led to the term "sun fungus".[10]
Pityriasis versicolor: reddish-brown
Pityriasis versicolor: Confluent rash.jpg.webp)
Pityriasis versicolor
Pityriasis versicolor: light appearance in a person with dark skin..jpg.webp)
.jpg.webp)
Cause
It is mainly caused by the yeast Malassezia, formerly known as Pityrosporum.[4] Usually the cause is Malassezia globosa, although Malassezia furfur is responsible for a small number of cases.[11]
Risk factors
Pityriasis versicolor is more common in hot, humid climates or in those who sweat heavily, so it may recur each summer.[8]
The yeast is thought to feed on skin oils (lipids), as well as dead skin cells. Infections are more common in people who have seborrheic dermatitis, dandruff, and hyperhidrosis.[12]
Mechanism
The Malassezia proliferate and form short filaments in the top most layer of skin.[4]
In cases of tinea versicolor caused by the fungus Malassezia furfur, lightening of the skin occurs due to the fungus's production of azelaic acid, which has a slight bleaching effect.[13]
Diagnosis
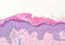
Tinea versicolor may be diagnosed by a potassium hydroxide (KOH) preparation.[14] The marks fluoresce yellow with a Wood's lamp.[2]
Direct microscopy may show "spaghetti and meatballs appearance" of the spores and short filaments.[2][4] Dermoscopy is useful to confirm fine scales.[4] Culture of Malassezia from skin scrapings does not help diagnosis.[4]
Magnified view: fine scale over dark area in pityriasis versicolor
Wood's lamp: fluorescence of pityriasis versicolor
Appearance: Pityriasis versicolor in a man. Electron micrograph: round Malassezia spores (S) and filaments.jpg.webp)
.jpg.webp)
.jpg.webp)
.jpg.webp)
Differential diagnosis
Vitiligo and chloasma do not have scale, but otherwise may appear similar to pityriasis versicolor.[4]
- Progressive macular hypomelanosis
- Pityriasis alba
- Pityriasis rosea
- Seborrheic dermatitis
- Erythrasma
- Leprosy
- Syphilis
- Post-inflammatory hypopigmentation
Treatment
Treatment is usually with selenium sulfide shampoo, and topical or oral antifungal medication.[14][15]
Other topical antifungal medications include ketoconazole ointment and shampoo. It is normally applied to dry skin and washed off after 10 minutes, repeated daily for two weeks. Ciclopirox (Ciclopirox olamine) is an alternative treatment to ketoconazole, as it suppresses growth of the yeast Malassezia furfur. Initial results show similar efficacy to ketoconazole with a relative increase in subjective symptom relief due to its inherent anti-inflammatory properties.[16] Other topical antifungal agents such as clotrimazole, miconazole, terbinafine, or zinc pyrithione can lessen symptoms in some patients.[17] Additionally, hydrogen peroxide has been known to lessen symptoms and, on certain occasions, remove the problem, although permanent scarring has occurred with this treatment in some. Clotrimazole is also used combined with selenium sulfide.
Oral antifungals including ketoconazole or fluconazole in a single dose, or ketoconazole for seven days, or itraconazole can be used.[18][19] The single-dose regimens, or pulse therapy regimens, can be made more effective by having the person exercise 1–2 hours after the dose, to induce sweating. The sweat is allowed to evaporate, and showering is delayed for a day, leaving a film of the medication on the skin.[20]
Epidemiology
This skin disease commonly affects adolescents and young adults, especially in warm and humid climates.
Males and females are affected equally.[4]
Terminology
It is also commonly referred to as Peter Elam's disease in parts of South Asia.[21]
References
- 1 2 Rapini, Ronald P; Bolognia, Jean L.; Jorizzo, Joseph L (2007). Dermatology: 2-Volume Set. St Louis: Mosby. pp. Chapter 76. ISBN 1-4160-2999-0.
- 1 2 3 4 5 6 7 Johnstone, Ronald B. (2017). "25. Mycoses and Algal infections". Weedon's Skin Pathology Essentials (2nd ed.). Elsevier. p. 447. ISBN 978-0-7020-6830-0. Archived from the original on 2023-12-25. Retrieved 2023-12-24.
- 1 2 3 4 5 6 7 8 9 10 11 12 13 14 15 16 17 18 19 20 21 Karray, M; McKinney, WP (January 2021). "Tinea Versicolor". PMID 29494106.
{{cite journal}}: Cite journal requires|journal=(help) - 1 2 3 4 5 6 7 8 9 10 Saunte, Ditte M. L.; Gaitanis, George; Hay, Roderick James (2020). "Malassezia-Associated Skin Diseases, the Use of Diagnostics and Treatment". Frontiers in Cellular and Infection Microbiology. 0. doi:10.3389/fcimb.2020.00112. ISSN 2235-2988. PMID 32266163. Archived from the original on 2020-05-06. Retrieved 2021-06-21.
- ↑ "Pityriasis versicolor". dermnetnz.org. Archived from the original on 3 March 2021. Retrieved 3 August 2021.
- ↑ Inamadar AC, Palit A (2003). "The genus Malassezia and human disease". Indian J Dermatol Venereol Leprol. 69 (4): 265–70. PMID 17642908. Archived from the original on 2024-02-24. Retrieved 2020-12-22.
- ↑ Buckley, David (2021). "5. Terminology in Dermatology". In Buckley, David; Pasquali, Paola (eds.). Textbook of Primary Care Dermatology. Switzerland: Springer. pp. 21–28. ISBN 978-3-030-29100-6. Archived from the original on 2023-12-19. Retrieved 2023-12-24.
- 1 2 Pityriasis versicolor | DermNet New Zealand Archived 2016-07-18 at the Wayback Machine. Dermnetnz.org. Retrieved on 2016-10-14.
- ↑ "What to Avoid While Treating Tinea Versicolor". Archived from the original on 2013-07-27. Retrieved 2013-01-05.
- ↑ "Tioconazole (Topical Route) - MayoClinic.com". Archived from the original on 2014-01-01. Retrieved 2008-12-10.
- ↑ Morishita N; Sei Y. (December 2006). "Microreview of pityriasis versicolor and Malassezia species". Mycopathologia. 162 (6): 373–76. doi:10.1007/s11046-006-0081-2.(subscription required)
- ↑ Weedon, D. (2002). Skin pathology (2nd ed.). Churchill Livingstone. ISBN 0-443-07069-5.
- ↑ Vary JC Jr (November 2015). "Selected Disorders of Skin Appendages-Acne, Alopecia, Hyperhidrosis". The Medical Clinics of North America. 99 (6): 1195–1211. doi:10.1016/j.mcna.2015.07.003. PMID 26476248.
- 1 2 Likness, LP (June 2011). "Common dermatologic infections in athletes and return-to-play guidelines". The Journal of the American Osteopathic Association. 111 (6): 373–379. doi:10.7556/jaoa.2011.111.6.373. PMID 21771922.
- ↑ Kaur, T.; Singh, Daljit; Malhotra, S.; Kaur, A. (2017). "Depigmented lesions of pityriasis versicolor: A diagnostic dilemma with review of literature" (PDF). doi:10.7241/OURD.20172.56. Archived (PDF) from the original on 2018-07-21. Retrieved 2021-06-21.
{{cite journal}}: Cite journal requires|journal=(help) - ↑ Ratnavel RC, Squire RA, Boorman GC (2007). "Clinical efficacies of shampoos containing ciclopirox olamine (1.5%) and ketoconazole (2.0%) in the treatment of seborrhoeic dermatitis". J Dermatolog Treat. 18 (2): 88–96. doi:10.1080/16537150601092944. PMID 17520465.
- ↑ Faergemann, Jan (2000). "Management of Seborrheic Dermatitis and Pityriasis Versicolor". Am. J. Clin. Dermatol. 1 (2): 75–80. doi:10.2165/00128071-200001020-00001. PMID 11702314.
- ↑ Faergemann J, Gupta AK, Al Mofadi A, Abanami A, Shareaah AA, Marynissen G (January 2002). "Efficacy of itraconazole in the prophylactic treatment of pityriasis (tinea) versicolor". Arch Dermatol. 138 (1): 69–73. doi:10.1001/archderm.138.1.69. PMID 11790169. Archived from the original on 2011-09-01. Retrieved 2020-12-22.
- ↑ Mohanty J, Sethi J, Sharma MK (2001). "Efficacy of itraconazole in the treatment of tinea versicolor". Indian J Dermatol Venereol Leprol. 67 (5): 240–1. PMID 17664760. Archived from the original on 2020-11-26. Retrieved 2020-12-22.
- ↑ Ketoconazole Archived 2021-01-28 at the Wayback Machine. Fpnotebook.com. Retrieved on 2016-10-14.
- ↑ Kaushik A, Pinto HP, Bhat RM, Sukumar D, Srinath MK (2014). "A study of the prevalence and precipitating factors of pruritus in pityriasis versicolor". Indian Dermatology Online Journal. 5 (2): 223–224. doi:10.4103/2229-5178.131141. PMC 4030364. PMID 24860771.
External links
| Classification | |
|---|---|
| External resources |
