Refractory cytopenia of childhood
| Refractory cytopenia of childhood | |
|---|---|
| Other names: RCC | |
![]() | |
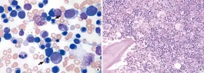
| a,b)Refractory cytopenia of childhood-bone marrow aspiration/biopsy | |
| Specialty | Haematology, oncology |
Refractory cytopenia of childhood (RCC[1]) is a subgroup of myelodysplastic syndrome (MDS), having been added to the World Health Organization classification in 2008. Before then, RCC cases were classified as childhood aplastic anemia.[2][3] RCC is the most common form of MDS in children and adolescents, accounting for approximately half of all MDS cases.[4]
Signs and symptoms
Symptoms result from underproduction of red blood cells (weakness, pallor, failure to thrive, pica), white blood cells (recurrent or overwhelming infection), and/or platelets (bleeding).
Cause
The etiology of RCC is found to be the cytogenetic abnormality in Monosomy 7 , as well as, Trisomy 8 and Trisomy 21 (chromosomal numerical abnormalities)[5]
Histopathologic features
The bone marrow of patients with RCC contains islands of erythroid precursors and spare granulocytes. In some scenarios, multiple bone marrow biopsy examinations may be recommended before a diagnosis can be established.
Diagnosis
In terms of the diagnosis of Refractory cytopenia of childhood we find that the following is done:[5]
- Bone biopsy
- Blood test
- Clinical features
Management
Bone marrow transplant is the only known curative treatment.
References
- ↑ "Refractory cytopenia of childhood (Concept Id: C2826323) - MedGen - NCBI". www.ncbi.nlm.nih.gov. Archived from the original on 7 September 2023. Retrieved 4 September 2023.
- ↑ Niemeyer, C. M.; Baumann, I (2011). "Classification of childhood aplastic anemia and myelodysplastic syndrome". Hematology. 2011: 84–9. doi:10.1182/asheducation-2011.1.84. PMID 22160017.
- ↑ "Medscape Pediatric Myelodysplasia". Archived from the original on 4 May 2015. Retrieved 16 June 2015.
- ↑ Niemeyer, C. M.; Baumann, I (2008). "Myelodysplastic syndrome in children and adolescents". Seminars in Hematology. 45 (1): 60–70. doi:10.1053/j.seminhematol.2007.10.006. PMID 18179970.
- 1 2 Chatterjee, Tathagata; Choudhry, V. P. (September 2013). "Childhood myelodysplastic syndrome". Indian Journal of Pediatrics. 80 (9): 764–771. doi:10.1007/s12098-013-1130-8. ISSN 0973-7693. Archived from the original on 16 June 2022. Retrieved 4 September 2023.
