Renal cortical necrosis
| Renal cortical necrosis | |
|---|---|
| Other names: Kidney cortical necrosis, diffuse bilateral renal cortical necrosis (BRCN), diffuse cortical necrosis, acute cortical necrosis, acute kidney failure with acute cortical necrosis | |
| Video explanation | |
| Specialty | Nephrology |
| Symptoms | Decreased urine volume, flank pain, dark brown urine[1] |
| Complications | Acute kidney injury[1] |
| Causes | Sepsis, hemolytic-uremic syndrome, dehydration, preeclampsia, rejection of a transplanted kidney, certain toxin[1] |
| Diagnostic method | Medical imaging, kidney biopsy[1] |
| Differential diagnosis | Other causes of acute kidney injury[1] |
| Treatment | Supportive care, underlying cause[1] |
| Prognosis | >20% one year risk of death[2] |
| Frequency | Rare[2] |
Renal cortical necrosis (RCN) is the death of the outer part of the kidney.[1] Symptoms can include decreased urine volume, flank pain, and dark brown urine.[1] Complications can include acute kidney injury.[1]
The cause may include sepsis, hemolytic-uremic syndrome, dehydration, preeclampsia, rejection of a transplanted kidney, and certain toxin.[1] The underlying mechanism often involves injury to the arterioles of the kidneys as a result of low blood pressure.[1][2] Diagnosis can be confirmed by medical imaging or kidney biopsy.[1]
Treatment involves addressing the underlying cause and supportive care.[1] This may involve intravenous fluids, antibiotics, or dialysis.[1] Often long term dialysis or a kidney transplant is required.[1] The one year risk of death is greater than 20%.[2] Renal cortical necrosis is rare.[2] About 10% of cases occur in children.[2]
Signs and symptoms
Symptoms can include decreased urine volume, flank pain, and dark brown urine.[1] Complications can include acute kidney injury.[1]
Causes
Adults
- Pregnancy related (>50% of cases)
- Placental abruption
- Infected abortion
- Prolonged intrauterine fetal death
- Severe eclampsia
- HIV[3]
- Snake bites[4]
- Binge drinking[5]
- Shock
- Trauma
- Sickle cell disease[6]
- Systemic lupus erythematosus (SLE)[7]
- Sepsis[8]
- SLE-associated antiphospholipid syndrome[9]
- Vitamin deficiency[10]
- Pancreatitis[11]
- Malaria[12]
- Meningococcemia[13]
- Drug-induced toxicity (e.g. NSAIDs, Contrast Media, Quinine,[14] or ATRA[15])
Babies
- Congenital heart disease
- Fetal-maternal transfusion
- Dehydration
- Perinatal asphyxia
- Anemia
- Placental hemorrhage
- Severe hemolytic disease
- Sepsis[8]
Pathophysiology
The exact pathologic mechanism for RCN is unclear, however the onset of small vessel pathology is likely an important aspect in the cause of this condition. In general the renal cortex is under greater oxygen tension and more prone to ischemic injury, especially at the level of the proximal collecting tubule, leading to its preferential damage in a sudden drop in perfusion. Rapidly corrected acute renal ischemia leads to acute tubular necrosis, from which complete recovery is possible, while more prolonged ischemia may lead to RCN. Pathologically, the cortex of the kidney is grossly atrophied with relative preservation of the gross structure of the medulla. The damage is usually bilateral owing to its underlying systemic causes, and is most frequently associated with pregnancy (>50% of cases).[16] It accounts for 2% of all cases of acute kidney failure in adults and more than 20% of cases of acute kidney failure during late pregnancy.[17][18]
Diagnosis
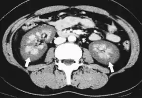
.png.webp)
While the only diagnostic "gold standard" mechanism of diagnosis en vivo is via kidney biopsy, the clinical conditions and blood clotting disorder often associated with this disease may make it impractical in a clinical setting. Alternatively, it is diagnosed clinically, or at autopsy, with some authors suggesting diagnosis by contrast enhanced CT.[19]
Treatment
Patients will require dialysis to compensate for the function of their kidneys.
Prognosis
Cortical necrosis is a severe and life-threatening condition, with mortality rates over 50%. Those mortality rates are even higher in neonates with the condition due to the overall difficult nature of neonatal care and an increased frequency of comorbid conditions. The extent of the necrosis is a major determinant of the prognosis, which in turn is dependent on the duration of ischemia, duration of oliguria, and the severity of the precipitating conditions. Of those that survive the initial event, there are varying degrees of recovery possible, depending on the extent of the damage.
References
- 1 2 3 4 5 6 7 8 9 10 11 12 13 14 15 16 17 "Cortical Necrosis of the Kidneys - Kidney and Urinary Tract Disorders". Merck Manuals Consumer Version. Archived from the original on 28 February 2021. Retrieved 27 January 2021.
- 1 2 3 4 5 6 "Renal Cortical Necrosis - Genitourinary Disorders". Merck Manuals Professional Edition. Archived from the original on 11 November 2017. Retrieved 28 January 2021.
- ↑ Singh, B.; Gupta, A.; Mahajan, S.; Gupta, R. (2012). "Acute cortical necrosis and collapsing glomerulopathy in an HIV-infected patient: A rare clinical scenario". Saudi Journal of Kidney Diseases and Transplantation. 23 (2): 363–366. PMID 22382240.
- ↑ Kumar, S.; Sharma, A.; Sodhi, K. S.; Wanchu, A.; Khandelwal, N.; Singh, S. (2012). "Renal cortical necrosis, peripheral gangrene, perinephric and retroperitoneal haematoma in a patient with a viper bite". Tropical Doctor. 42 (2): 116–117. doi:10.1258/td.2011.110281. PMID 22316624.
- ↑ Jung, Y. S.; Shin, H. S.; Rim, H.; Jang, K.; Park, M. H.; Park, J. -S.; Lee, C. -H.; Kim, G. -H.; Kang, C. M. (2012). "Bilateral Renal Cortical Necrosis Following Binge Drinking". Alcohol and Alcoholism. 47 (2): 140–142. doi:10.1093/alcalc/agr154. PMID 22215004.
- ↑ Jha, R.; Narayan, G.; Swarnalata, G.; Shiradhonkar, S.; Rao, B. S.; Sinha, S. (2011). "Acute cortical necrosis following renal transplantation in a case of sickle cell trait". Indian Journal of Nephrology. 21 (4): 286–288. doi:10.4103/0971-4065.78066. PMC 3193676. PMID 22022093.
- ↑ Uppin, M. S.; Rajasekhar, L.; Swetha, H.; Srinivasan, V. R.; Prayaga, A. K. (2010). "Renal cortical necrosis at presentation in a patient with systemic lupus erythematosus: An autopsy case report". Clinical Rheumatology. 29 (7): 815–818. doi:10.1007/s10067-010-1395-5. PMID 20169460.
- 1 2 Huang, C. C.; Huang, J. K. (2011). "Sepsis-Induced Acute Bilateral Renal Cortical Necrosis". Nephrology. 16 (8): 787. doi:10.1111/j.1440-1797.2011.01478.x. PMID 22029648.
- ↑ Kim, J. O.; Kim, G. H.; Kang, C. M.; Park, J. S. (2011). "Bilateral Acute Renal Cortical Necrosis in SLE-Associated Antiphospholipid Syndrome". American Journal of Kidney Diseases. 57 (6): 945–947. doi:10.1053/j.ajkd.2011.02.381. PMID 21514023.
- ↑ Novembrino, C.; De Giuseppe, R.; De Liso, F.; Bonara, P.; Bamonti, F. (2010). "Vitamin deficiency and renal cortical necrosis". The Lancet. 376 (9736): 160. doi:10.1016/S0140-6736(10)61101-4. PMID 20638557.
- ↑ Kumar, S.; Krishna, G. S.; Kishore, K. C.; Sriram, N. P.; Sainaresh, V. V.; Lakshmi, A. Y. (2009). "Bilateral renal cortical necrosis in acute pancreatitis". Indian Journal of Nephrology. 19 (3): 125. doi:10.4103/0971-4065.57112. PMC 2859480. PMID 20436735.
- ↑ Baliga, K. V.; Narula, A. S.; Khanduja, R.; Manrai, M.; Sharma, P.; Mani, N. S. (2008). "Acute Cortical Necrosis inFalciparumMalaria: An Unusual Manifestation". Renal Failure. 30 (4): 461–463. doi:10.1080/08860220801964293. PMID 18569922.
- ↑ Toh, H. -S.; Cheng, K. -C.; Kuar, W. -K.; Tan, C. -K. (2008). "The Case ∣ Generalized petechiae and acute renal failure". Kidney International. 73 (12): 1443–1444. doi:10.1038/ki.2008.143. PMID 18516063.
- ↑ Leroy, F.; Bridoux, F.; Abou-Ayache, R.; Belmouaz, S.; Desport, E.; Thierry, A.; Bauwens, M.; Touchard, G. (2008). "Nécrose corticale rénale bilatérale induite par la quinine". Néphrologie & Thérapeutique. 4 (3): 181–186. doi:10.1016/j.nephro.2008.01.001. PMID 18343736.
- ↑ Sastre López, A.; Gago González, E.; Baños Gallardo, M.; Gómez-Huertas, E.; Ortega Suárez, F. (2007). "All-trans retinoic acid syndrome corrected and renal cortical necrosis". Anales de Medicina Interna (Madrid, Spain : 1984). 24 (11): 551–553. doi:10.4321/s0212-71992007001100009. PMID 18275266.
- ↑ Deverajan, Prasad (May 26, 2011). Langman, Craig B (ed.). "eMedicine: Renal Cortical Necrosis". Medscape. Archived from the original on 29 August 2021. Retrieved 27 March 2012.
- ↑ Prakash, J.; Niwas, S. S.; Parekh, A.; Pandey, L. K.; Sharatchandra, L.; Arora, P.; Mahapatra, A. K. (2010). "Acute kidney injury in late pregnancy in developing countries". Renal Failure. 32 (3): 309–313. doi:10.3109/08860221003606265. PMID 20370445.
- ↑ Pertuiset, N.; Grünfeld, J. P. (1994). "Acute renal failure in pregnancy". Baillière's Clinical Obstetrics and Gynaecology. 8 (2): 333–351. doi:10.1016/s0950-3552(05)80324-4. PMID 7924011.
- ↑ Kim, H. J.; Cho, O. K. (1996). "CT scan as an important diagnostic tool in the initial phase of diffuse bilateral renal cortical necrosis". Clinical Nephrology. 45 (2): 125–130. PMID 8846525.
External links
| Classification |
|---|