Renal medullary fibroma
| Renal medullary fibroma | |
|---|---|
| Other names: Renomedullary interstitial cell tumou, medullary fibroma' | |
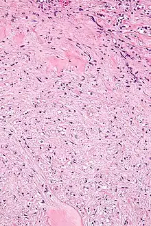
![]() | |
| Micrograph of a renal medullary fibroma (bottom of image). Renal tubules are seen at the top of the image. H&E stain. | |
| Specialty | Nephrology |
Renal medullary fibroma is a benign kidney tumour. It is commonly an incidental finding.[1]
Signs and symptoms
Renal medullary fibromas are typically asymptomatic.
Diagnosis
Renal medullary fibromas are diagnosed by pathologists based on the examination of tissue.
They consist of bland spindle-shaped or stellate-shaped cells in a loose stroma. Renal tubules may be entrapped.
Left flank pain and gross hematuria diagnosed with renal medullary fibroma
Low mag.
High mag.
Treatment
Generally, no treatment is required.
See also
References
Further reading
- Ohkawa, M.; Nonomura, A.; Shoda, R. (1993). "Renal medullary fibroma: a case report and review". International Urology and Nephrology. 25 (1): 45โ49. doi:10.1007/BF02552253. ISSN 0301-1623. Archived from the original on 12 June 2022. Retrieved 6 June 2022.
This article is issued from Wmcloud. The text is licensed under Creative Commons - Attribution - Sharealike. Additional terms may apply for the media files.
