Sea-blue histiocytosis
| Sea-blue histiocytosis | |
|---|---|
![]() | |
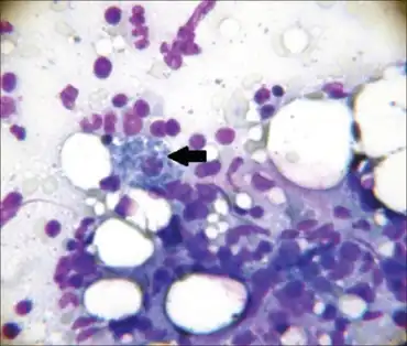
| Normal cellularity with normoblastic maturation and presence of sea blue histiocyte | |
Sea-blue histiocytosis is a cutaneous condition that may occur as a familial inherited syndrome or as an acquired secondary or systemic infiltrative process.[1]: 720
Signs and symtpoms
The clinical presentation of Sea-blue histiocytes consists of :[2]
- Splenomegaly
- Thrombocytopenia
- Hepatic abnormalities
- Heart disease
Causes
It can be associated with the gene APOE.[3]
It can also be acquired.[4] Sea-blue histiocyte syndrome is seen in patients receiving fat emulsion as a part of long-term parenteral nutrition (TPN) for intestinal failure.
Pathophysiology
The high lipid content in the blood leads to excessive cytoplasm loading of lipids within histiocytes.
The subsequent incomplete degradation of these lipids leads to the formation of cytoplasmic lipid pigments.
High lipid content may also cause membrane abnormality of the hemopoietic cells which is recognized by macrophages and therefore, increased accumulation within the bone marrow.
These lipid laden histiocytes appear blue with May-Giemsa[5]/PAS stain hence the name of Sea-Blue Histocyte Syndrome. Sea-blue histiocytosis is also seen in lipid disorders.
Diagnosis
The diagnosis for Sea blue histiocytosis is based on the following:[6]
- Medical history
- Physical exam
- Lab test
Treatment
Currently there is no guideline for management of this condition[2]
See also
References
- ↑ James, William D.; Berger, Timothy G.; et al. (2006). Andrews' Diseases of the Skin: clinical Dermatology. Saunders Elsevier. ISBN 978-0-7216-2921-6.
- 1 2 "Sea-Blue histiocytosis". NORD (National Organization for Rare Disorders). Archived from the original on 17 August 2021. Retrieved 5 May 2022.
- ↑ Faivre L, Saugier-Veber P, Pais de Barros JP, et al. (November 2005). "Variable expressivity of the clinical and biochemical phenotype associated with the apolipoprotein E p.Leu149del mutation". Eur. J. Hum. Genet. 13 (11): 1186–91. doi:10.1038/sj.ejhg.5201480. PMID 16094309.
- ↑ Candoni A, Grimaz S, Doretto P, Fanin R, Falcomer F, Bembi B (October 2001). "Sea-blue histiocytosis secondary to Niemann-Pick disease type B: a case report". Ann. Hematol. 80 (10): 620–2. doi:10.1007/s002770100354. PMID 11732877. Archived from the original on 2022-05-06. Retrieved 2020-12-17.
- ↑ Suzuki O, Abe M (April 2007). "Secondary sea-blue histiocytosis derived from Niemann-Pick disease". J Clin Exp Hematop. 47 (1): 19–21. doi:10.3960/jslrt.47.19. PMID 17510534.
- ↑ "Sea-Blue histiocytosis - Diagnosis & Treatment - Genetic and Rare Diseases Information Center". rarediseases.info.nih.gov. Archived from the original on 6 May 2022. Retrieved 5 May 2022.
External links
| Classification |
|---|
