Small-blue-round-cell tumor

Small blue round cells of Ewing Sarcoma

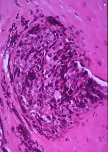
Display of small round blue cells characteristic of desmoplastic small round cell tumour.
In histopathology, a small-blue-round-cell tumour (abbreviated SBRCT), also known as a small-round-blue-cell tumor (SRBCT) or a small-round-cell tumour (SRCT), is any one of a group of malignant neoplasms that have a characteristic appearance under the microscope, i.e. consisting of small round cells that stain blue on routine H&E stained sections.
These tumors are seen more often in children than in adults. They typically represent undifferentiated cells. The predominance of blue staining is because the cells consist predominantly of nucleus, thus they have scant cytoplasm.[1][2]
Examples
Tumors that belong to this group are:
- Desmoplastic small-round-cell tumour
- Ewing's Sarcoma/PNET[3][4]
- Neuroblastoma[3]
- Medulloblastoma
- Rhabdomyosarcoma[3]
- Synovial sarcoma
- Carcinoid tumor
- Mesothelioma
- Small cell lung cancer
- Wilms' tumour[1]
- Retinoblastoma
- Small-cell lymphoma[3]
- Hepatoblastoma[3]- only the anaplastic form has round blue cells, the more common fetal and embryonal types do not [5]
- Merkel cell carcinoma
- Mesenchymal chondrosarcoma
Conditions mimicking SBRCT

Endometrial stromal condensation may mimic a small-blue-round-cell tumour.
Endometrial stromal condensation may mimic a small-blue-round-cell tumour.
References
- 1 2 Gregorio A, Corrias MV, Castriconi R, Dondero A, Mosconi M, Gambini C, et al. (July 2008). "Small round blue cell tumours: diagnostic and prognostic usefulness of the expression of B7-H3 surface molecule". Histopathology. 53 (1): 73–80. doi:10.1111/j.1365-2559.2008.03070.x. PMC 2658025. PMID 18613926.
- ↑ Khan J, Wei J, Saal L, Marc L, Markus R, Peterson C, Chen Y, Meltzer P (April 2001). "Development of a molecular taxonomy of small blue round-cell tumors using cDNA microarrays". Nature Genetics. 27 (4s): 64. doi:10.1038/87150.
- 1 2 3 4 5 Chen QR, Vansant G, Oades K, Pickering M, Wei JS, Song YK, et al. (February 2007). "Diagnosis of the small round blue cell tumors using multiplex polymerase chain reaction". The Journal of Molecular Diagnostics. 9 (1): 80–8. doi:10.2353/jmoldx.2007.060111. PMC 1867426. PMID 17251339. Archived from the original on 2020-02-13. Retrieved 2020-09-21.
- ↑ Grünewald TG, Cidre-Aranaz F, Surdez D, Tomazou EM, de Álava E, Kovar H, et al. (July 2018). "Ewing sarcoma". Nature Reviews. Disease Primers. 4 (1): 5. doi:10.1038/s41572-018-0003-x. PMID 29977059. S2CID 49571421.
- ↑ Gray W, Kocjan G. Diagnostic Cytopathology; . p.307
This article is issued from Wmcloud. The text is licensed under Creative Commons - Attribution - Sharealike. Additional terms may apply for the media files.