Treponema carateum
| Treponema carateum | |
|---|---|
| Scientific classification | |
| Domain: | Bacteria |
| Phylum: | Spirochaetota |
| Class: | Spirochaetia |
| Order: | Spirochaetales |
| Family: | Treponemataceae |
| Genus: | Treponema |
| Species: | T. carateum |
| Binomial name | |
| Treponema carateum | |
Treponema carateum is a species of spirochete bacteria in the genus Treponema.
It is the cause of pinta, a disease affecting exclusively the skin.[1] Children living in tropical American countries are most at risk.

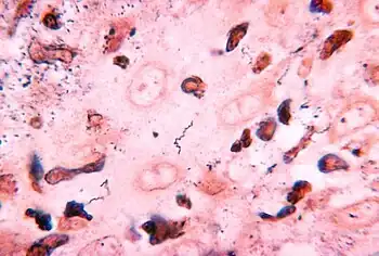
Photomicrograph of a Krajain’s stained chimpanzee tissue sample, revealed the presence of numbers of spiral shaped, Treponema carateum bacteria
References
- ↑ Antal GM, Lukehart SA, Meheus AZ (January 2002). "The endemic treponematoses". Microbes Infect. 4 (1): 83–94. doi:10.1016/S1286-4579(01)01513-1. PMID 11825779.
This article is issued from Wmcloud. The text is licensed under Creative Commons - Attribution - Sharealike. Additional terms may apply for the media files.