< Pathology

Zell- und Gewebsschäden

Schäden der Zellorganellen

Viele pathologische Prozesse führen zu mehr oder weniger spezifischen Veränderungen einzelner Zellorganellen in bestimmten Zellpopulationen. Diese sind neben der Histologie und anatomischen Pathologie vielfach wegweisend bei der Diagnose und Beurteilung von Erkrankungen.

Zellkern

  • Unspezifische Reaktionen des Zellkerns auf Noxen
    • Kernschwellung
    • Kernpyknose - Kernschrumpfung durch Kondensation des Chromatins
    • Karyorrhexis - Kernfragmentierung
    • Karyolyse - Kernzerfall
    • Apoptose - Suizidprogramm der Zelle, ausgelöst durch Aktivierung des Fas-Ligand-Rezeptor-Weges oder Freisetzung von Cytochrom C aus den Mitochondrien -> morphologisch: Apoptosekörperchen
  • Kerneinschlüsse
    • Glykogen („Lochkerne“) - Z.B. bei Diabetes mellitus
    • Zytoplasma („Milchglaskerne“) - Z.B. beim papillären Schilddrüsenkarzinom
    • Viren („Eulenaugen“) - Einschluss von Virusmaterial, z.B. bei CMV-Infektion
  • Mehrkernige Riesenzellen - Sie entstehen durch Verschmelzung mehrerer Zellen oder bei inhibierter Zellteilung und kommen sowohl physiologisch als auch im Rahmen pathologischer Prozesse vor.
    • Physiologisch: Skelettmuskelzellen, Megakaryozyten, Osteoklasten, Trophoblast
    • Pathologisch:
      • Histiozytäre Zellen:
        • Fremdkörper-Riesenzellen - Typisch in Fremdkörpergranulomen, die Zellkerne sind in einem Haufen zusammengelagert
        • LANGHANS-Riesenzellen - In Tuberkulosegranulomen, die Kerne sind hufeisenförmig angeordnet
        • ANITSCHKOW-Riesenzellen - Bei rheumatischer Myokarditis
        • TOUTON-Riesenzelle - Schaumzellen, bei denen um eine kleine schaumfreie Insel mehrere Kerne ringförmig angeordnet sind, Vorkommen z.B. bei juveniler Xanthogranulomatose, siehe Abb.
        • Riesenzelle bei Epulis
      • Tumor-Riesenzellen:
        • REED-STERNBERG-Riesen-Zellen (Morbus HODGKIN)
        • Karzinom/Sarkom-Riesenzellen
  • Polymorphie - Zeichen der Malignität
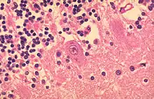
Typische große intranukleäre Einschlußkörperchen mit klarem Halo bei CMV-Infektion der Niere.
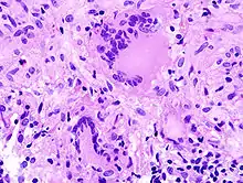
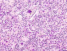
LANGHANS-Riesenzellen in einem Tbc-Granulom, transbronchiale Biopsie
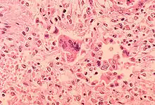
Fremdkörper-Riesenzellen bei Aspirationspneumonie, Autopsiepräparat, H&E.
Riesenzelle und diffuser Alveolarschaden bei SARS-Infektion.
Riesenzelle mit intrazytoplasmischen inclusion bodies bei Masernpneumonie, Histopathologie.

Nukleolus

  • Vergrößerung

Zeichen eines erhöhten RNA-Umsatzes und damit Indikator für Aktivität, Proliferation oder Malignität der Zelle.

  • Veränderungen

Schalen-, Ring-, Schwammnukleolen

  • AgNOR - Versilberbare Nucleolus-Organisator-Regionen

Anzahl, Größe und Fläche geben Auskunft über Aktivität und Malignität

Glattes Endoplasmatisches Retikulum

Pathologische Veränderungen:

  • Feinvakuoläre Degeneration
  • Hyperplasie bei chronischer Detoxifikation, z.B. in der Leberzelle bei langjähriger Medikamenteneinnahme
  • Milchglaszellen bei Hepatitis B durch Ablagerung von HBs-Ag
  • Dilatation und Zisternenbildung bei zellulären Sekretionsstörungen

Rauhes Endoplasmatisches Retikulum

Vergrößerung bei gesteigerter und/oder gestörter Funktion (vakuoläre Degeneration), z.B. bei Fibroblastom (Fibroblastentumor) oder Osteogenesis imperfecta (Osteoblasten).

Golgi-Apparat

  • Sekretionsstörungen führen zu Dilatation und Einschlüssen
  • Verstärkte Sekretionsleistung führt zur Hyperplasie

Mitochondrien

  • Verkalkung (Mitochondrien sind Kalziumfänger)
  • Megamitochondrien bei chronisch-toxischen Einflüssen
  • Schwellung: Crista-Typ (reversibel) oder Matrixtyp (irreversibel)
  • Feingranuläre Degeneration, trübe Schwellung
  • Einschlüsse
  • In Onkozyten (geschwollene, eosinophile Zellen mit vergrößerten Mitochondrien)

Lysomen

  • Lysosomale Restkörperchen - Bestehen aus Ablagerungen von Lipofuszin (Alterspigment)
  • Lysosomale Defekte - CHEDIAK-HIGASHI, Morbus WHIPPLE
  • Lysosomale Speicherkrankheiten - Morbus POMPE, Morbus GAUCHER, Morbus NIEMANN-PICK

Zellmembran

Z.B. Verlust der Mikrovilli des Darmepithels bei Zöliakie.

Zytoplasma

Verschiedene Viren führen zu intrazytoplasmatischen Einschlusskörperchen, so z.B. Tollwutviren (Negri bodies).

Purkinje-Zelle des Kleinhirns mit zytoplasmatischen NEGRI bodies bei Tollwut, post mortem.

Degeneration

  • Fettige Degeneration
  • Mukoide Verquellung
  • Chondroide Metaplasie
  • Dystrophische Verkalkung
  • Metaplastische Ossifikation
  • Entzündungsreaktion

Fettablagerung

Intrazelluläre Verfettung

  • Fettkörnchenzellen, Schaumzellen (lipidbeladene Phagozyten)
  • Fettleber (nutritiv, metabolisch, toxisch, hypoxisch)
  • Degenerative Herzmuskelverfettung (Makro: Tigerfellzeichnung)
  • Nierenverfettung
  • Skelettmuskelverfettung (Muskeldystrophie)
  • Xanthome
  • Xanthelasmen am Auge

Extrazelluläre Verfettung

  • Lipomatosis cordis (alter Infarkt, nutritiv)

Adipositas

  • Größenzunahme der Adipozyten bei Überernährung

Tumore des Fettgewebes

  • Lipom (benigne)
  • Liposarkom (maligne)

Eiweißablagerungen

Amyloid

Amyloid bedeutet stärkeähnlich. Wie Stärke färbt es sich schwarz, wenn es mit Jodlösung (Lugol'sche Lösung) behandelt wird.

Eigenschaften: Extrazellulär, homogen, spezifisch anfärbbar mit Kongorot, Doppelbrechung im Polarisationsmikroskop: Apfelgrün-gelb, irreversibel wasserunlöslich, immer pathologisch (von den Corpora amylacea der Prostata abgesehen).

Diagnose: Bioptisch mit Kongorot und Polarisation.

Formen:

  • Generalisiert
    • Amyloid A - ein alpha-Globulin. Vorkommen bei chronischen Entzündungen und Tumoren sowie beim autosomal-rezessiv erblichen Mittelmeerfieber.
    • Amyloid L - Leichtkettenamyloid (Lambda > Kappa), entspricht dem Bence-Jones-Protein im Harn. Vorkommen bei Ig-Ketten produzierenden Lymphomen wie dem Plasmozytom oder beim Morbus Waldenström.
  • Lokalisiert
    • Hämodialyse-Amyloid - ein beta-Globulin.
    • ZNS-Amyloid - Amyloid-β-Peptid. Vorkommen beim Morbus ALZHEIMER.
Amyloidose eines Lymphknotens, harte Konsistenz, beim Schneiden wachsartig.
Links: Schwarzfärbung eines Amyloidreichen Lymphknotens durch Lugolsche Lösung, rechts ebenfalls behandeltes Amyloidfreies Myometrium zum Vergleich.
Ausgeprägte Amyloidablagerungen (homogen rosa) in einem Lymphknoten, H&E.
Amyloidablagerungen in den Gefäßwänden, H&E.
Lymphknotenamyloidose, Anfärbung des Amyloids mit Kongorot.
Typische apfelgrün-gelbe Doppelbrechung im Polarisationsmikroskop.
Wattebauschähnliche extrazelluläre Amyloid-Plaques bei Morbus ALZHEIMER, Silber-Färbung.

Fibrinoid

Eigenschaften: Extrazellulär, homogen, vorkommen bei Autoimmunerkrankungen (z.B. fibrinoide Nekrose in subkutanen Rheumaknötchen).

Hyalin

Eigenschaften: Milchglasartig, homogen, eosinophil, Protein und MPS.

Formen:

  • Intrazellulär
    • MALLORY-bodies („Alkoholisches Hyalin“ in Hepatozyten bei alkoholischer Hepatitis, bestehend aus mehr oider weniger abgebauten Keratinfilamenten)
    • Russelkörperchen (Plasmazellen bei chronischer Entzündung)
  • Extrazellulär
    • Bindegewebiges H. : Zuckergußmilz, Leberkapsel, hyaline Pleuraplaques
    • Vaskuläres Hyalin : Diabetes mellitus, Hypertension
    • Councilman-bodies : Apoptotische Hepatozyten bei Virushepatitis
    • Pulmonale hyaline Membranen : ARDS, Beatmung, Frühgeborene
    • Hyaline Zylinder : Eiweißzylinder im Urin (TAM-HORSFALL-Protein)
    • Hyaline Thromben : Endotoxinschock

Pigmentablagerungen

Exogene Pigmente

  • Tätowierungepigment (Kohle, Tusche)
  • Anthrakose der Lunge (Kohlenstaub, Ruß), unschädlich
  • Anthrakosilikose der Lunge (Quarzstaub/Siliziumoxid SiO2), toxisch
  • Saturnismus (chronische Bleivergiftung)
  • Argyrismus (chronische Silbervergiftung)

Endogene Pigmente

  • Häm- und Hämoglobinderivate
    • Hämosiderin - Vitale Reaktion, intrazytoplasmatisch, eisenhaltig, pyrrolfrei, gelbbraun, Vorkommen z.B.: in Herzfehlerzellen, bei Transfusions-Hämosiderose, Hämochromatose
    • Hämatin - Entstehung: Hb + HCl, schwarz-braun, Bsp.: Kaffeesatzerbrechen, Teerstuhl bei oberer GI-Blutung
    • Hämatoidin = Indirektes Bilirubin - Entsteht ohne vitale Reaktion, extrazellulär, eisenfrei, pyrrolhaltig, gelb-orange, Bsp.: Bluterguss, Ikterus, Kernikterus
    • Hämatozoidin - Malariapigment in Kupfer-Stern-Zellen, schwarz-braun-grau
    • Porphyrin (Häm-Vorstufen) - Einlagerung in Haut und innere Organe, Bsp.: Porphyrie
    • Hämoglobinzylinder im Urin - Bsp.: Transfusionszwischenfall
    • Myoglobinzylinder im Urin - Bsp.: Crash-Niere
  • Phenylalaninstoffwechsel

Überblick über die Biochemie des Phenylalanin- bzw. Tyrosinstoffwechsels:

                                      .-> Homogentisat -3-> ... -> Acetoacetat + Fumarat
                                      |
 Phenylpyruvat <- Phenylalanin -1-> Tyrosin -2-> L-Dopa -> Dopamin -> Noradrenalin -> Adrenalin
 u.a. toxische                       |    |            
 Metabolite                          V    V            
                                  T3/T4  Melanin
 
1.: Phenylalaninhydroxylase (PAH)
2.: Tyrosinase
3.: Homogentisatdioxidase

Melanozyten versorgen, stimuliert durch MSH, die Keratinozyten über ihre Fortsätze mit Melanin. UV-Licht oxidiert das Melanin und aktiviert die Tyrosinase.

  • Hypopigmentierung:
    • Phenylketonurie : Phenylalaninhydroxylase-Mangel
    • Albinismus : Tyrosinase-Defekt
    • Vitiligo : Fehlen von Melanozyten
  • Hyperpigmentierung:
    • Morbus ADDISON : Hyperpigmentierung (NNR↓ -> CRH↑ -> POMC↑ -> ACTH↑, α-MSH↑, β-Endorphin↑)
    • Chloasma uterinum : hormonell
    • Sommersprossen (Ephelides) : Melaninreiche Flecken
  • Sonstiges:
    • Alkaptonurie : Homogentisatdioxidase-Mangel (schwarz-brauner Urin, Einlagerung von schwarzem Homogentisat in Knorpel und Bindegewebe)
  • Tumoren:
    • Naevuszellnaevus
    • Malignes Melanom
Melanom-Metastase im Lymphknoten.

Verkalkung

Physiologische Verkalkung

An der Knorpel-Knochen-Grenze

Dystrophische Verkalkung

Normaler Ca-P-Stoffwechsel, Zellschäden, Calcium reichert sich in saurem Gewebe an und fällt bei intermittierend besserer Durchblutung und pH-Anstieg aus. Z.T. ohne Einschaltung der Mitochondrien (degeneriertes Gewebe), z.T. mit (nekrotisches Gewebe mit Restdurchblutung).

Bsp.: Verkalkte Tuberkulome, Psammomkörperchen, Atherosklerose, Kalzium-Nierensteine.

Dystrophische Verkalkung (violett) bei Lymphknotenamyloidose, H&E.

Metastatische Verkalkung

Hyperkalzämie, keine Zellschäden (bzw. erst sekundär), Ablagerung in Säure-abgebenden Organen (Lunge H2CO3, Niere Harnsäure, Magen HCl).

Bsp.: Tuffsteinlunge, Nierenkalzinose

Idiopathische Verkalkung

  • Kalzium-Hydroxylapatit - Degenerativ, lokalisiert am geschädigten Bindegewebe, nicht doppelbrechend, Bsp.: Tendinosus calcanea des M. supraspinatus.
  • Kalzium-Pyrophosphat (Kalkgicht, Chondrokalzinose) - Bei Stoffwechselstörungen (Diabetes, Gicht), lokalisiert in bradytrophen Geweben (Menisken), doppelbrechend.

Kalkspritzer

Bei schwerer Pankreatitis: Freigesetzte Lipasen spalten Fette im Bauchraum in Glyzerin und Fettsäuren. Fettsäuren fangen Kalziumionen ein.

Bindegewebsveränderungen

Kollagen

Kollagentypen:

  • I - Knochen, Sehnen, Muskel, Gefäße
  • II - Knorpel
  • III - Retikulin
  • IV - Basalmembran

I, II und III interstitielle Typen

Störung der Kollagensynthese

  • Skorbut
  • Osteogenesis imperfecta (Kollagen I)
  • EHLERS-DANLOS-Syndrom (EDS)

Störung der Kollagenvernetzung

  • EHLERS-DANLOS Typ V (Kollagen III)
  • Morbus WILSON (Kupferspeicherkrankheit)
  • Dornenkollagen : Vermehrter Proteoglycananteil
  • Asbestfasern : Verminderter Proteoglycananteil, z.B. bei arthrotischem Gelenkknorpel (Demaskierung der Kollagenfasern)

Störung der Kollagenzusammensetzung

  • Kollagen I vermehrt : Atherosklerose, Sklerose, Fibrose

Störung des Kollagenabbaus

  • Hypertrophe Narben

Kollagenosen

Kollagenosen haben primär nichts mit Kollagenstoffwechsel zu tun, die Kollagenschäden entstehen erst sekundär.

Ursachen: Chronisch-rezidivierende Autoimmunerkrankungen (SLE, Dermatomyositis, Morbus WEGENER, CP).

Folgen: Generalisierte Bindegewebsveränderungen, fibrinoide Nekrose

Proteoglykane

Aufg.:

  • Organisation der Interzellularsubstanz des Bindegewebes
  • Gefäßpermeabilität
  • Mechanischer Schutz der Zelle vor Zerquetschung

Komplexierungsstörung

Mukoide Degeneration -> Wasserbindung -> Gewebsschwellung

Ursachen: MARFAN-Syndrom, idiopathische Medianekrose ERDHEIM-GSELL

Synthesestörung

Erkrankungen: Multiple epiphysäre Dyplasie, Chondrodystrophie

Folge : Zwergwuchs

Sekretionsstörung

Erkrankung: Mukoviszidose (Chlorid-Kanal CFTR defekt)

Zelltod

Apoptose

„Programmierte Zelltod“

Ursachen:

  • Freisetzung von Cytochrom C aus Mitochondrien oder Bindung von Fas-Ligand an den Fas-Ligand-Rezeptor
  • Genetisch induzierter Zelltod
  • Aktiver, energieverbrauchender Prozess der Zelle („Suizidprogramm“).

Mikro: keine Entzündungsreaktion, Beginn mit Kernpyknose, später Apoptose-Körperchen

Bsp.: Abtötung autoreaktiver T-Lymphozyten im Thymus, i. R. d. Embryonalentwicklung

Nekrose

Nekrose ist das intravitale Absterben von Zellen

Mikro: (nach Ablauf der Manifestationszeit!)

  • Homogenisierung des Zytoplasmas
  • Azidophilie, Eosinophilie
  • Kernpyknose, -lyse, -rhexis
  • Verlust zellspezifischer Parameter (z.B. Querstreifung beim Herzinfarkt)
  • Entzündungsreaktion

Formen:

  • Gruppenzellnekrosen - Bsp.: Tubulusnekrosen bei der Schockniere
  • Koagulationsnekrose - Eiweißdenaturierung, Verfestigung, Narbenbildung, Bsp.: Anämische Infarkte in eiweißreichen Organen (Herz, Niere, Milz), Säureverätzungen
  • Kolliquationsnekrose - Verflüssigung, Pseudocysten statt Narben, Bsp.: Infarkt in eiweißarmen, fettreichen Organen (Gehirn), Laugenverätzungen
  • Enzymatische Fettgewebsnekrose - Bsp.: Pankreatitis: Die freigesetzten Lipasen setzten aus dem Fettgewebe z.B. des Mesenteriums Fettsäuren frei, die mit Calzium Kalkseifen bilden.
  • Traumatische Fettgewebsnekrose
  • Käsige Nekrose - Bsp.: Tbc (Epitheloidzelliges Granulom mit Langhans-Riesenzellen und zentraler käsiger Nekrose)
  • Fibrinoide Nekrose - Keine echte Nekrose, Entstehung im Bindegewebe oder in der glatten Muskulatur,

Makrophagenreaktion (Histiozyten), Bsp.: Autoimmunerkrankungen (CP, M. Wegener).

  • Gangränöse Nekrose
    • Trockene Gangrän - Oft oberflächlich
    • Feuchte Gangrän - Fäulniserreger (Anaerobier)
  • Hämorrhagische Nekrose - Nekrose mit Einblutung, Bsp.: Hämorrhagische Pankreatitis
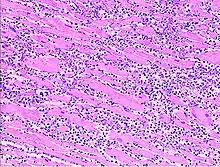
Myokardinfarkt 7.Tag, Sektionspräparat, H&E-Färbung.
Traumatische Nekrose.
Gangrän bei pAVK.

Entzündungspathologie

Eine Entzündung ist eine Gewebsabwehrreaktion gegen lokale Schädigungen.

Einteilung:

  • Spezifische Entzündung - Entzündungsmanifestationen, die für eine Erkrankung typisch sind z.B. Tbc, Sarkoidose
  • Unspezifische Entzündung

Ursachen:

  • Mikroorganismen
    • Bakteriell -> Eher eitrige, d.h. granulozytäre Entzündung
    • Viral -> Eher seröse, lymphoplasmazelluläre Entzündung
  • Mechanisch
  • Thermisch
  • Chemisch
  • Ionisierende Strahlen

Ablauf:

  • Schädigung
  • Gefäßreaktion, erhöhte Gefäßpermeabilität (Schwellung), Thrombosierung (Auskopplung vom Blutkreislauf)
  • Granulo-monozytäre Reaktion
  • Lympho-plasmazelluläre Reaktion und Granulationsgewebe
  • Kollagenfaserbildung, Vernarbung

Formen:

  • Serös - Bsp.: Rhinitis, virale Infektionen
  • Fibrinös - Bsp.: Fibrinöse Perikarditis
  • Eitrig (purulent, granulozytär)
    • Infektiös - Meist bakteriell
      • Abszess - Abgekapselter Eiterherd in einem nicht präformierten Hohlraum
      • Empyem - Eiterherd in einer präformierten Körperhöhle
      • Phlegmone - Sich diffus ausbreitende eitrige Entzündung
    • Steril - z.B. Pyoderma gangraenosum, Psoriasis pustulosa
  • Hämorrhagisch - Bsp.: Hämorrhagische Enterokolitis
  • Nekrotisierend - Bsp.: Verätzung
  • Putride gangräneszierend - Bsp.: Gasbrand

Klassische Entzündungszeichen:

  • Dolor - Schmerz
  • Calor - Überwärmung
  • Rubor - Rötung
  • Tumor - Schwellung
  • Functio laesa - Funktionseinschränkung

Entzündungsmediatoren:

  • Chemotaxis - C5a, Leukotrien B4, Bakterienprodukte
  • Fieber - IL-1, TNF, PG
  • Gewebsschädigung - O2-Radikale, lysosomale Enzyme, Proteasen
  • Permeabilitätserhöhung - Histamin, C3a, C5a, Bradykinin, Leukotriene, PAF
  • Schmerz - PG, Bradykinin
  • Vasodilatation - PG
Abszess am Oberschenkel.

Systemische Entzündungsreaktion

  • Akute-Phase-Reaktion bzw. SIRS (systemic inflammatory response syndrome)
  • Sepsis = SIRS mit Nachweis einer Infektion

SIRS ist eine sterotype unspezifischen Immunreaktion des Organismus auf Gewebsschädigungen (Verletzungen, operative Eingriffe, Infektionen, Verbrennungen). Bei Dekompensation wird die inflammatorische Kaskade zum Selbstäufer und kann nicht mehr gestoppt werden (circulus vitiosus).

Enzündungsmediatoren

Endothelzellen, Fibroblasten und Gewebsmakrophagen im geschädigten Gewebe setzen Entzündungsmediatoren frei, z.B. IL 1, IL 6, TNF-α, Transforming Growth Factor-β (TGF-β), IF-γ, Epidermal Growth Factor (EGF), Leukozyten induzierender Faktor (LIF) u.a., die einerseits für lokalen Effekte verantwortlich sind und andererseits in Anwesenheit von Cortisol die Leber zur vermehrten Synthese der etwa 30 verschiedenen Akute-Phase-Proteine stimulieren, deren Konzentration innerhalb von 6-48 Stunden nach dem schädigenden Ereignis auf das zwei- bis eintausendfache zunimmt.

Akute-Phase-Proteine

Aufgabe:

  • Lokalisierung der Entzündung
  • Verhinderung der Ausbreitung
  • Unterstützung des Immunsystems bei der Sanierung des Entzündungsherdes

Beispiele für Akute-Phase-Proteine:

  • Fibrinogen -> lokale Thrombusbildung im Entzündungsgebiet -> Erreger werden nicht weiter in die Blutbahn ausgeschwemmt.
  • α1-Antitrypsin und α-Antichymotrypsin -> reduzieren als Anti-Proteasen die Gewebsschädigung.
  • C-Reaktives-Protein -> Opsonierung
  • Saures Alpha1-Glykoprotein
  • Haptoglobin
  • Coeruloplasmin
  • Komplement-C3
  • Plasminogen
  • Transferrin

Stresshormone

Weiterhin werden die klassischen Stresshormone Adrenalin, Noradrenalin und Cortisol, sowie weitere Hormone (ADH, Aldosteron) freigesetzt. Diese Hormone dienen u.a. der Kreislaufstabilisierung durch Vasokonstriktion, Natrium- und Wasserretention (ggf. Zentralisation) und der Energiebereitstellung (Lipolyse, Glykogenolyse, Glukoneogenese).

Bakterielle Zellwandprodukte (bei Sepsis, bes. LPS gramneg. Keime)

bakterielle Zellwandprodukte ->

  • -> Komplementaktivierung und
  • -> primäre Mediatoren (TNF,IL1,IFN..) -> Leukozytenaktivierung -> sekundäre Mediatoren (PAF, Eicosanoide, IL)
    • => Aktivierung von PMN -> Kapillar- und Endothelschäden -> Volumenverlust ins Interstitium
  • -> ACTH/Endorphine -> Gerinnungsaktivierung -> Aktivierung d. Kallikrein-Kinin-Systems -> Vasdodilatation, Endothelschäden -> absoluter und relativer Volumenverlust
    • ==>> Schock, MOV, DIC
      • ===>>> Tod

Klinische Symptome:

  • Fieber > 38 °C oder < 36 °C
  • Herzfrequenz > 90/min
  • Tachypnoe > 20/min oder Hyperventilation mit pCO2 < 4,3 kPa (33 mmHg)
  • Leukozytose (> 12.000/μl) oder Leukopenie (< 4.000/μl) oder Linksverschiebung (d. h. > 10 % unreife Leukozytenformen)

bei Säuglingen oft unspezifisch!

Schock

Der Schock ist Ausdruck einer Systemerkrankung und definiert als ein Missverhältnis zwischen 02-Bedarf und 02-Angebot an die peripheren Gewebe.

Schockformen:

  • Kardiogener Schock - Ursachen: Herzinfarkt, Herzinsuffizienz, Herzrhythmusstörungen, hypertensive Krise
  • Hypovolämischer Schock (absoluter Blutvolumenmangel)
    • Flüssigkeitsverluste - Ursachen: Hitzekollaps, Verbrennungen, Diarrhoe und Erbreche.
    • Blutverluste
  • Distributiver Schock (relativer Blutvolumenmangel durch Vasodilatation)
    • Septischer Schock (Sepsis)
    • Anaphylaktischer Schock
    • Neurogener Schock - Ursachen: psychisch, Verletzungen, neurologische Erkrankungen, Vergiftungen
      • Spinaler Schock - SF des neurogenen Schocks bei Querschnittslähmung
  • Obstruktiver Schock - Störung der Blutzirkulation durch Verschluss von Innen oder Kompression von Außen. Ursachen: Perikardtamponade, Perikarderguss, Lungenembolie, Spannungspneumothorax, Vena-cava-Kompressionssyndrom, Thrombose

Entwicklungsstörungen

Allgemeine Entwicklungsstörungen

Gametopathien (siehe im Buch Klinische Humangenetik)

  • Autosomale Trisomien
    • Trisomie 13 - Pätau-Syndrom
    • Trisomie 18 - Edwards-Syndrom
    • Trisomie 21 - Down-Syndrom
  • Gonosomale Trisomien
    • XXY - Klinefelter-Syndrom
  • Monosomien
    • X0 - Ullrich-Turner-Syndrom
  • Triploidien

Blastopathien

  • Doppelmißbildungen
thumb|Illustration aus den Nürnberger Chroniken von Hartmann Schedel (1440-1514)

Embryopathien

Entscheidend ist der Zeitpunkt und das Ausmaß des Schädigung, die Art der Noxe ist weniger bedeutsam.

  • Fetales Alkoholsyndrom (FAS, Alkoholembryopathie) - Weblink: Fasworld.de
  • Rötelnembryopathie
  • Strahlenembryopathie
  • Thalidomidembryopathie

Fetopathien

  • Alkohol
  • Röteln, Listerien, CMV, Lues, Toxoplasmose
  • Diabetes der Mutter
  • Morbus haemolyticus neonatorum (Kernikterus, Hydrops congenitus)

Minderwuchs

  • Genetische Variante
    • Proportioniert
    • Z.B. Pygmäen
  • Kongenitale Skelettdysplasien (meist dysproportioniert)
    • Osteogenesis imperfecta (Kollagen I)
    • Achondroplasie (aut.-dom., Neumut., enchondrale Ossifikation)
    • Thanatophore Dysplasie (enchondrale Ossifikation, letal)
    • Achondrogenesis I und II (aut.-rez., letal)
  • Erworben
    • Rachitis (Vitamin D-Mangel)

Riesenwuchs

  • Hypophysärer Riesenwuchs (STH-produzierendes Adenom bei noch offenen Epiphysenfugen)
  • Akromegalie (nach Epiphysenschluss)

Regeneration

Die Regenerationsfähigkeit verhält sich reziprok zur Gewebedifferenzierung.

  • Physiologische Regeneration
    • Einmalig: Milchgebiss
    • Zyklisch: Endometrium
    • Dauernd: „Mausergewebe“, z.B. Endothel, Epidermis, hämatopoetisches System, Spermatogenese
  • Pathologische bzw. reparative Regeneration
    • Vollständig: Restitutio ad integrum.
    • Unvollständig: Defektheilung mit Bildung von Ersatzgewebe (Narbe).

Wundheilung

Phasen:

  • Exsudationsphase (seröses Exsudat, Antikörper, Fibrin, Plasmafaktoren)
  • Resorptionsphase (Immunzellen)
  • Proliferationsphase (Fibroblasten, Myofibroblasten, Kapillareinsprossung (Granulationsgewebe), Epithelialisierung)
  • Reparationsphase (Bildung extrazellulärer Matrix, Kollagen) -> Narbe (nach 3 Monaten volle Belastbarkeit)

Formen der Wundheilung:

  • Primäre Wundheilung (per primam, p.p.) - Frische, saubere Wunde, adaptierte Wundränder - rasche Heilung, geringe Narbenbildung
  • Sekundäre Wundheilung (per secundam, p.s.) - Ältere, offene, infizierte Wunden - Heilung aus der Tiefe, längere Heilungsdauer, Narbenbildung

Störungen:

  • „Wildes“ Fleisch : Überschießendes Granulationsgewebe
  • Narben-Keloid : Hypertrophische Narbe bei überschießender Bindegewebsbildung
Defektheilung mit überschießender Narbenbildung nach schwerer Verbrennung.
Primäre Wundheilung, Pyloromyotomie-Narbe 30 Std. nach OP.

Knochenheilung nach Frakturen

Arten der Knochenheilung:

  • Primäre/direkte Knochenheilung (nur bei anatomischer Reposition und Ruhigstellung, Osteosynthese) : direkte knöcherne Überbrückung des Frakturspalts (Osteoklasten bohren sich in den gegenüberliegenden Knochen, Osteblasten füllen die verbindenden Kanälchen wieder auf).
  • Sekundäre/indirekte Knochenheilung (bei konservativer Frakturbehandlung) : Frakturhämatom -> Kallusbildung (bindegewebige Organisation) -> Faserknochen -> Lamellenknochen

Störungen:

  • Pseudarthrose - Bindegewebige Überbrückung des Frakturspalts. Hypertrophe Pseudarthrose durch mangelnde Ruhigstellung, atrophe Pseudarthrose durch mangelnde Versorgung.
  • Frakturkrankheit, SUDECK-Dystrophie - Lokale Atrophie und Schrumpfung von Muskeln, Knorpel, Knochen, Gelenkkapsel und Bandapparat in der Nähe der Fraktur durch chronische Störungen der Trophik (Mikrozirkulation, Innervation).
  • VOLKMANN-Kontraktur - Ischämische und/oder neurogene Kontraktur der Armmuskulatur nach inadäquat versorgter Humerusfraktur mit Kompression der A. brachialis, des N. ulnaris, des N. medianus oder anderer Strukturen. Nekrose und Atrophie der Unterarmmuskulatur, besonders der Flexoren, die Hand befindet sich häufig in Krallenhandstellung.
  • Osteomyelitis - Bakterielle Entzündung des Knochenmarks, insbesondere bei offenen Frakturen zu erwarten.

Nervenheilung

Periphere Nerven können heilen, da sich jede Schwannsche Gliazelle in zahlreichen Windungen um jeweils nur ein Axon wickelt und nach Absterben des Axons die Axonhülle stehen bleibt. Im ZNS isolieren Oligodendrozyten gleichzeitig zahlreiche Axone, hier ist keine Heilung möglich.

Verletzung mit Durchtrennung des Axons -> WALLER'sche Degeneration des peripheren Axonteils -> proximales Axon wächst wieder in die stehengebliebende periphere Axonhülle (ca. 1mm/Tag). Voraussetzung: Genaue Adaptation, z.B. durch Nervennaht.

Störungen:

  • Neurom - Bei Amputationsverletzungen oder nicht adaptierten durchtrennten Nerven wachsen die Axone unkontrolliert aus und bilden schmerzempfindliche Nervenfaserknoten.

Tumorpathologie

Gutartige und bösartige (Krebs) Tumoren sind quasi der Preis für die Regenerationsfähigkeit der Gewebe. Es handelt sich dabei um Ansammlungen von Zellen mit überschießendem und unkontrollierten Wachstum.

Tumorklassifikation

  • Typing : Histologischer Typ (welches Ursprungsgewebe ahmt der Tumor nach)
  • Grading : 3 Malignitätsgrade (gegenläufig zum Differenzierungsgrad)
  • Staging : Ausbreitung (TNM-Schema)

Einteilung der Tumoren nach Dignität

  • Benigne - Verdrängend wachsend, langsam wachsend, oft abgekapselt, Organgrenzen respektierend, Ausdifferenzierung der Zellen, keine Metastasenbildung.
  • Maligne - Infiltrativ-invasiv wachsend, rasch wachsend -> Nekrosen, unreife, atypische Zellen, Metastasen.
  • Semimaligne - Lokal destruierend, selten Metastasen bildend.

Kriterien der Malignität

  • Makroskopisch: Infiltrierend/diffus wachsend
  • Histologisch: Nekrosen, Kapillarisierung (Neoangiogenese), Aufhebung der normalen Histologie.
  • Zytologisch: Polymorphie, basophiles Cytoplasma, erhöhte Kern/Plasmarelation
  • Nukleär: Polymorphie, Polychromasie, Hyperchromasie, Aneuploidie, (vergrößerte) Nukleolen, vermehrt Mitosen, atypische Mitosen, erhöhter Proliferationsindex (Ki-67 = MIB-1).
Adenokarzinom des Pankreas. Links unorganisiert angeordnete Tumorzellen mit überlappenden Kernen und auffälliger Form- und Größenvariation. Rechts gesundes flaches Gangepithel aus uniformen Zellen („Honigwabenmuster“). FNA.
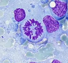
Mitose einer Lymphomzelle.
Ein muzinöses Adenokarzinom des Colon ascendens (links), das aus einem villösen Adenom (rechts) hervorging.

Kanzerogenese

Mutagene:

  • Chemikalien
    • Aromatische polyzyklische Kohlenwasserstoffe: Benzpyren, Anthrazen, Tabakrauch, Abgase
    • Aromatische Amine: Anilin, Aflatoxin (Aspergillus flavus), Benzidin, Benzol, Epoxide, Nitrosamine
  • Pharmaka (Zytostatika)
  • Viren: Virale Onkogene v-onc (Physiologische Protoonkogene (c-onc), zB. c-erb oder Bcl2, die durch Virus-DNA-Insertion verändert werden), Bsp.: HPV 16, 18 Zervixkarzinom
  • Ionisierende Strahlung
  • Chronische Entzündungen (Colitis ulcerosa)
  • Präkanzeröse Konditionen (XP, FAP, HNPCC u.a.)

Synkanzerogenese: Mutagene können sich bezüglich einer bestimmten Tumorentität additiv, überadditiv oder multiplikativ zueinander verhalten. Bsp.: Das Risiko für ein Bronchialkarzinom wird durch Asbestexposition 5x erhöht, durch Rauchen 10x. Asbest und Rauchen verhalten sich beim BC multiplikativ, das Risiko für einen Asbestexponierten Raucher ein BC zu entwickeln liegt also 50fach höher als beim nicht-rauchenden Bevölkerungsdurchschnitt!

Durch genetische Mutationen (ein Allel betroffen) kann die individuelle Anfälligkeit erhöht sein!

Wichtige Mutagene und Risikofaktoren nach Organsystemen:

  • Atemwege:
    • Nasen und NNH: Eichen- und Buchenholzstäube, Nickelverbindungen, Zinkchromat
    • Rachen: HPV, Rauchen, Alkohol
    • Larynx: HPV, Asbest, polyzyklische aromatische Kohlenwasserstoffe (PAH)
    • Lunge: Rauchen, Passivrauchen, Radon, aromatische Amine, Arsen, Asbest, Beryllium, Bischlordimethylether, Cadmiumverbindungen, chromhaltiger Staub, Hartmetalle (Wolframkarbid, Cobalt), Faserstäube, ionisierende Strahlen, Monochlordimethylether, Nickelverbindungen, Nitrosamine, PAH, Teer, Zinkchromat, Quarzstaub, Senfgas, Thorium, Uran
    • Pleura: Asbest
  • Seröse Häute (Pleura, Peritoneum, Tuncica vaginalis, Perikard): Asbest
  • MDT:
    • Magen: Helicobacter pylori, Nitrosamine
    • Darm: Faserarme Ernährung, Nitrosamine, Adipositas
    • Leber: Arsen, Vinylchlorid, chronische Hepatitis B und C
    • Gallengänge: Leberegel (Clonorchis, Opisthorchis)
  • Harnwege: 4-Aminodiphenyl, Benzidin, 4-Chlor-o-Toluidin, 2-Naphthylamin, Azofarbstoffe, Bilharziose, Arsen, Nitrosamine
  • Haematopoetisches System: Benzol, ionisierende Strahlen, Trisomie 21
  • Haut: UV-Licht, Arsen, Teer, ionisierende Strahlen

Genotoxine erhöhen die Inzidenz maligner Tumoren, sie vorverlagern den Erkrankungszeitpunkt (= Verkürzung der Latenzzeit) und sie erweitern das Tumorspektrum in einem Gewebe.

Mechanismen:

  • Punktmutationen: Basenaustausch, Addition, Deletion
  • Translokation (zB. t9/22 -> Philadelphia-Chromosom Bcr-Abl)
  • Amplifikation

Folgen:

  • Aktivierung von Protoonkogenen c-onc, die physiologisch vorkommen und für an der Proliferation beteiligte Gene kodieren, zB. Wachstumsfaktoren, Wachstumsfaktorrezeptoren, Tyrosinkinasen u.a.
  • Abschaltung von Tumorsupressorgenen, zB. DNA-Reparaturgene, Cycline

Formale Pathogenese:

  • Initiation - Initialer DNA-Schaden, Mutation
  • Latenz - Bis zu Jahrzehnten!
  • Promotion - Weitere Mutationen, Hormonwirkung
  • Progression - Entartung

Letztlich entsteht ein Tumor nicht von heute auf morgen, sondern die Zellen entarten über zahlreiche Zwischenschritte, bei denen diverse Gene an- und abgeschaltet werden. Bsp.: Adenom-Karzinom-Sequenz bei Darmkrebs unter Beteilung des Oncogens c-Ki-ras und der Tumorsupressorgene p53, APC, DCC u.a.m. Betroffen sind besonders Gewebe mit hoher regeneratorischer Aktivität (Epithel -> Karzinom, Knochenmark/Immunsystem -> Leukämie, Lymphome). Die Zunahme der Zellteilungen durch die Entartung beschleunigt dabei die Anhäufung von Mutationen im Sinne eines Circulus vitiosus und die Entstehung verschieden gut angepasster Zellklone, was den Tumorzellen einen Selektions- und Wachstumsvorteil gegenüber den körpereigenen Abwehrmechanismen und Geweben beschert.

Invasion

Abfolge:

  • Orientierung (Lamininrezeptoren)
  • Lokale Proteolyse (Cathepsin D, Kollagenasen)
  • Dissoziation - Die Krebszelle zieht die Adhäsionsmoleküle ein, kann den Zellverband verlassen, Verlust der Kontaktinhibition)
  • Lokomotion (Migration)

Metastasierung

Abfolge:

  • Infiltration - Einwachsen in umliegende Gewebe
  • Invasion - Eindringen in Blut- und Lymphwege
  • Disseminierung (lymphogen, hämatogen) - Verteilung im Organismus
  • Arrest im Zielorgan - Adhäsion an Rezeptoren oder Oberflächenmoleküle oder Steckenbleiben von Tumorzellemboli im Kapillarbett.
    • Reinvasion - Einwachsen ins Zielorgan
    • Angiogenese - Der Tumor bildet angiogenetische Wachstumsfaktoren, die das Wachstum neuer Gefäße stimulieren.
    • Anschluß an Arteriolen
    • Arterialisierung des Tumors (keine Venenbildung!)

Metastasierungswege:

  • Lymphogen - Über die Lymphwege
  • Hämatogen - Über den Blutweg (direkt oder erst lymphogen und dann über den Angulus venosus Eintritt in die Zirkulation)
  • Kanalikulär - Entlang seröser Häute
  • Per continuitatem - Direkt durchwachsend

Metastasierungstypen:

  • Cava-Typ : Organ -> Lunge
  • Arterieller Typ : Lunge -> Körper
  • Pfortadertyp : GIT -> Leber
  • Paravertebraler Venenplexus-Typ : Organ -> Wirbelsäule (Mamma-, Prostata-, Ovarial-Ca)
  • Cavitär : Organ -> Pleura, Peritoneum, Pericard
  • Lymphogen-hämatogen : Lymphgefäß -> Ductus thoracicus -> Venewinkel -> Blutbahn

Folgen der Tumorerkrankung

  • Kompression umliegender Strukturen
  • Stenosierung
  • Ulzeration
  • Gefäßarrosion
  • Fistelung
  • Nekrose
  • Abflussstörungen
  • Anämie (Ursachen: Chronische Blutung, Hämatopoesehemmung durch Tumorfaktoren, Knochenmarksverdrängung durch Metastasen, AIHA)
  • Gewichtsverlust
  • Paraneoplastische Syndrome (U: Entstehen indirekt durch vom Tumor freigesetzte Zerfallsprodukte und hormonähnliche Substanzen an primär nicht betroffenen Organen und Autoimmunphänomene (Kreuzantigenität)) Bsp.:
    • Hautveränderungen (Akanthose, Acanthosis nigricans maligna, Hyperkeratose, Dermatomyositis, Bullöses Pemphigoid)
    • Hämatologische Veränderungen (Anämie, leukämoide Reaktionen, Polyzythämie, Thrombosen, Nichtbakterielle thrombotische Endokarditis NBTE)
    • Endokrinopathien (M. Cushing (ACTH), Schwartz-Bartter-Syndrom (SIADH), Hyperkalzämie (PTH), Hypoglykämien (Insulin), Karzinoidsyndrom (5-HT, Histamin, Bradykinin), Polyzythämie (EPO))
    • Myasthenia gravis (bei Thymomen)
    • Paraneoplastische Kleinhirnatrophie, Polyneuritis
    • Glomerulonephritis

Spontane Tumorregression

Zerstörung von Tumorgewebe durch Makrophagen, NK, CD8-Zellen, AK (durch Kreuzantigenität auch Autoaggressionserkrankungen)

Spontanremission

Vollständige oder teilweise, vorübergehende oder dauerhafte Rückbildung sämtlicher oder einiger Aktivitätsmerkmale einer bösartigen Erkrankung, ohne Behandlung oder unter einer Behandlung, wo dies nicht zu erwarten gewesen wäre. Nicht unbedingt gleichbedeutend mit Heilung (Spontanheilung)!

Häufigkeit: 1:60.000 bis 1:100.000, Dunkelziffer!

In mehr als der Hälfte der Fälle betrifft die Spontanremission folgende Tumore: Malignes Melanom, malignen Lymphom, kindliche Neuroblastome, Nierenzellkarzinom

Tumormarker

Dienen hauptsächlich der Verlaufskontrolle und Rezidivfrüherkennung., einige auch zum Screening (PSA) und zur histopathologischen Diagnose (Immunhistochemie).

  • Onkofetal
    • AFP
    • CEA
  • Hormone
    • HCG (Trophoblasttumor)
    • Kalzitonin (C-Zell-Karzinom)
    • Katecholamine (Phäochromozytom)
  • Isoenzyme
    • Saure Prostataphosphatase
    • Neuronen spezifische Enolase (NSE)
  • Glykoproteine
    • CA 125
    • CA 19-9
    • CA 15-3
  • Intermediärfilamente
    • Keratin (Epithel)
    • Vimentin (Bindegewebe)
    • Neurofilamente (Nervenzelle)
    • Desmin (Muskel)
    • Aktin
    • Leukozytenantigen
  • Spezifische (Glyko)Proteine
    • Ig (Plasmazelltumoren)
    • PSA (Prostatakarzinom)
    • Thyreoglobulin (Schildrüsenkarzinom)
This article is issued from Wikibooks. The text is licensed under Creative Commons - Attribution - Sharealike. Additional terms may apply for the media files.