| Angioleiomyoma | |
|---|---|
![]() | |
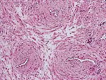
| Angioleiomyoma, smooth muscles encircling dilatated blood vessels | |
| Specialty | Oncology, rheumatology |
Angioleiomyoma (vascular leiomyoma, angiomyoma) of the skin is thought to arise from vascular smooth muscle, and is generally acquired.[1]
See also
References
External links
This article is issued from Wikipedia. The text is licensed under Creative Commons - Attribution - Sharealike. Additional terms may apply for the media files.
