| Ductal carcinoma | |
|---|---|
![]() | |
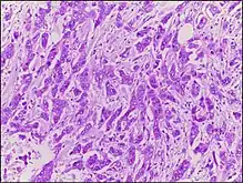
| Micrograph of breast tissue with ductal carcinoma. H&E stain. |
Ductal carcinoma is a type of tumor that primarily presents in the ducts of a gland.[1]
Types include:
References
- ↑ "NCI Dictionary of Cancer Terms". National Cancer Institute. 2 February 2011. Retrieved 21 November 2019.
External links
Media related to Ductal carcinomas at Wikimedia Commons
This article is issued from Wikipedia. The text is licensed under Creative Commons - Attribution - Sharealike. Additional terms may apply for the media files.
