| Gangliocytic paraganglioma | |
|---|---|
![]() | |
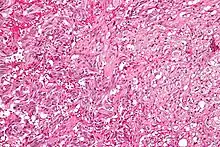
| Micrograph of a gangliocytic paraganglioma. H&E stain. | |
| Pronunciation |
|
| Specialty | Pathology |
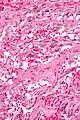
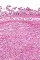
A gangliocytic paraganglioma is a rare tumour that is typically found in the duodenum and consists of three components: (1) ganglion cells, (2) epithelioid cells (paraganglioma-like) and, (3) spindle cells (schwannoma-like).[1]
Symptoms and signs
The most common presentation is gastrointestinal bleed (~45% of cases), followed by abdominal pain (~43% of cases) and anemia (~15% of cases).[2]
Pathology
GP consist of three components (1) ganglion cells, (2) epithelioid cells (neuroendocrine-like), and (3) spindle cells (schwannoma-like). The microscopic differential diagnosis includes poorly differentiated carcinoma, neuroendocrine tumour and paraganglioma.[1]
GPs may be sporadic or arise in the context neurofibromatosis type 1.
Intermed. mag.
Intermed. mag.
Very high mag.
Very high mag.
See also
References
- 1 2 Wong, A.; Miller, AR.; Metter, J.; Thomas, CR. (Mar 2005). "Locally advanced duodenal gangliocytic paraganglioma treated with adjuvant radiation therapy: case report and review of the literature". World J Surg Oncol. 3 (1): 15. doi:10.1186/1477-7819-3-15. PMC 554089. PMID 15740625.
- ↑ Okubo, Y.; Wakayama, M.; Nemoto, T.; Kitahara, K.; Nakayama, H.; Shibuya, K.; Yokose, T.; Yamada, M.; Shimodaira, K.; Sasai, Daisuke; Ishiwatari, Takao; Tsuchiya, Masaru; Hiruta, Nobuyuki (2011). "Literature survey on epidemiology and pathology of gangliocytic paraganglioma". BMC Cancer. 11: 187. doi:10.1186/1471-2407-11-187. PMC 3141762. PMID 21599949.
This article is issued from Wikipedia. The text is licensed under Creative Commons - Attribution - Sharealike. Additional terms may apply for the media files.
