Megaesophagus
Other namesEsophageal dilatation
Chagas megaseophagus
SpecialtyGastroenterology

Megaesophagus, also known as esophageal dilatation, is a disorder of the esophagus in humans and other mammals, whereby the esophagus becomes abnormally enlarged. Megaesophagus may be caused by any disease which causes the muscles of the esophagus to fail to properly propel food and liquid from the mouth into the stomach (that is, a failure of peristalsis). Food can become lodged in the flaccid esophagus, where it may decay, be regurgitated, or maybe inhaled into the lungs (leading to aspiration pneumonia).[1]

Humans

Megaesophagus may occur secondary to diseases such as achalasia or Chagas disease. Achalasia is caused by a loss of ganglion cells in the myenteric plexus. There is a marked lack of contraction within the muscles involved in peristalsis with a constant contraction of the lower esophageal sphincter. Dilation of the esophagus results in difficulty swallowing. Retention of food bolus is also noted.[2]

Other animals

Dogs

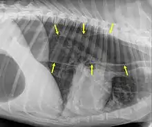
An x-ray of the thorax of a dog with megaoesophagus. The edges of the esophagus are shown by the yellow arrows. (In this image, the head end of the dog is to the right, and the tail end is to the left

Megaesophagus can also be a symptom of the disease myasthenia gravis. Myasthenia gravis is a neuromuscular disease where the primary symptom is weakness in various body parts of the dog. However, when myasthenia gravis occurs in older dogs it is thought of as an immune-mediated disease. Often when myasthenia gravis is diagnosed in older dogs the first symptom the dog may manifest is megaesophagus. [3]

Myasthenia gravis occurs when acetylcholine receptors (nicotinic acetylcholine receptors) fail to function properly, so that the muscle is not stimulated to contract. There is an invention known as the "bailey chair" that uses the force of gravity to push down liquids and food into the dog's stomach. Usually dogs are known to understand when it's time to eat in their bailey chair, and this helps prevent issues. Bailey chairs can be made and are sold. [4] Also, a simple chair turned upside down can be successfully used for this purpose.

The apparatus for management of the dog's megaesophagus can be simply made from a regular chair turned upside down. Some soft material to protect the back and chest of the dog may be used.

In two unrelated incidents in Latvia and Australia megaesophagus developed in dogs that had eaten certain brands of dog food; however, no agent that could have caused the disorder has been found in lab tests of the food.[5][6][7]

Diagnosis

An important distinction in recognizing megaesophagus is the difference between when a dog regurgitates or vomits. When a dog regurgitates there is usually not as much effort involved as when a dog vomits. Often when regurgitating, the dog will tip its head down and the liquid and/or food will almost appear to "spill out" of its throat.

One of the primary dangers to a dog with megaesophagus is aspiration pneumonia. Because the food stays lodged in the throat, it can often be inhaled into the lungs causing aspiration pneumonia. One way to avoid this is to make sure that every time the dog eats or drinks anything, that the dog sits for at least 10 minutes afterward or is held in a sitting up or begging position. This disorder has a guarded prognosis, however, a successful management technique is vertical feeding in a Bailey Chair.[8]

Affected breeds

Cats

Affected breeds:

Horses

Megaesophagus is rare in horses.[9] It is more frequently reported in Friesian horses than in other breeds.[10] Congenital megaesophagus is usually identified when a foal begins to eat solid food from the ground; prior to this, as the foal nurses milk from its mother, the milk passes easily down into the stomach.[11] The most common signs are difficulty swallowing (dysphagia) and inhalational pneumonia.[11]

References

  1. "Achalasia". The Lecturio Medical Concept Library. 14 October 2020. Retrieved 26 June 2021.
  2. Lewandowski, A. (2009). "Diagnostic criteria and surgical procedure for megaesophagus--a personal experience". Diseases of the Esophagus. 22 (4): 305–309. doi:10.1111/j.1442-2050.2008.00897.x. ISSN 1442-2050. PMID 19207550.
  3. Richardson, D (February 2011). "Acquired myasthenia gravis in a poodle". The Canadian Veterinary Journal. 52 (2): 169–172. PMC 3022456. PMID 21532824.
  4. Haines, J; Khoo, A; Brinkman, E; Thomason, J; Mackin, A (17 May 2019). "Technique for Evaluation of Gravity-Assisted Esophageal Transit Characteristics in Dogs with Megaesophagus". Journal of the American Animal Hospital Association. 55 (4): 167–177. doi:10.5326/JAAHA-MS-6711. PMID 31099601. S2CID 157058034. Retrieved 26 June 2021.
  5. Mičāne, Ingrīda. "Jauns 'megaesophagus' uzliesmojuma precedents suņiem – šoreiz Austrālijā". Latvijas Avīze. Retrieved 30 March 2018.
  6. Matīse-VanHoutana, Ilze. "I did my research, blew the whistle and found myself at war". YouTube. Retrieved 13 December 2018.
  7. DONNELLAN, ANGELIQUE; SCOPELIANOS, SARAH. "Pet food Advance Dermocare linked to megaesophagus outbreak, research shows". Retrieved 13 December 2018.
  8. "Megaesophagus". vca_corporate. Retrieved 2019-12-29.
  9. Broekman, LE; Kuiper, D (December 2002). "Megaesophagus in the horse. A short review of the literature and 18 own cases". The Veterinary Quarterly. 24 (4): 199–202. doi:10.1080/01652176.2002.9695136. PMID 12540136. S2CID 40515417.
  10. Ploeg, M; Gröne, A; Saey, V; de Bruijn, CM; Back, W; van Weeren, PR; Scheideman, W; Picavet, T; Ducro, BJ; Wijnberg, I; Delesalle, C (November 2015). "Esophageal dysfunction in Friesian horses: morphological features". Veterinary Pathology. 52 (6): 1142–7. doi:10.1177/0300985814556780. PMID 25367366.
  11. 1 2 McAuliffe, Siobhan Brid (2013). "Esophageal dilatation/megaesophagus". Knottenbelt and Pascoe's color atlas of diseases and disorders of the horse (2nd ed.). Elsevier Saunders. pp. 23–24. ISBN 9780723436607.
This article is issued from Wikipedia. The text is licensed under Creative Commons - Attribution - Sharealike. Additional terms may apply for the media files.