Sebaceous hyperplasia

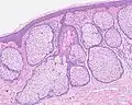
Sebaceous hyperplasia is a disorder of the sebaceous glands in which they become enlarged, producing flesh-colored or yellowish, shiny, often umbilicated bumps on the face.[1] Newly formed nodules often swell with sweating (which is pathognomonic for the condition), but this diminishes over time.

Sebaceous glands are glands located within the skin and are responsible for secreting an oily substance named sebum. They are commonly associated with hair follicles but they can be found in hairless regions of the skin as well. Their secretion lubricates the skin, protecting it from drying out or becoming irritated.[2]

Sebaceous hyperplasia generally affects newborns as well as middle-aged to elderly adults. The symptoms of this condition are 1–5 mm papules on the skin, mainly on the forehead, nose and cheeks, and seborrheic facial skin. The papules may be cauliflower-shaped. In infants, acne is sometimes associated with sebaceous hyperplasia.

See also

References

  1. James, William D.; Berger, Timothy G.; et al. (2006). Andrews' Diseases of the Skin: Clinical Dermatology. Saunders Elsevier. p. 662. ISBN 978-0-7216-2921-6.
  2. Jo Ann Coers Eurell; Brian L. Frappier (2006). Dellmann's textbook of veterinary histology. Wiley. p. 29. ISBN 9780781741484.
This article is issued from Wikipedia. The text is licensed under Creative Commons - Attribution - Sharealike. Additional terms may apply for the media files.