Adnexal mass
| Adnexal mass | |
|---|---|
![]() | |
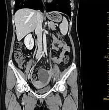
| Abdominal CT shows a 7.1 × 4.3 × 5.4 cm septal cystic, solid mass was detected on the left adnexal, and the solid components were enhanced. | |
| Specialty | Gynaecology |
| Symptoms | Pain of the pelvic / illiac regions especially if it involves the ovaries or fallopian tubes |
| Types | Benign or malignant; simple or complex |
An adnexal mass is a lump in the tissue of the adnexa of the uterus (structures which are closely related structurally and functionally to the uterus, such as the ovaries, fallopian tubes, or any of the surrounding connective tissue). Adnexal masses can be benign (noncancerous) or malignant (cancerous), and they can be categorized as simple or complex.[1]
Causes
In premenopausal women, adnexal masses include ovarian cysts, ectopic (tubal) pregnancies, benign or malignant tumors, endometriomas, polycystic ovaries, and tubo-ovarian abscess. The most common causes for adnexal masses in premenopausal women include follicular cysts and corpus luteum cysts. Abscesses can form as a complication of pelvic inflammatory disease.
In postmenopausal women, adnexal masses may be caused by cancer, fibroids, fibromas, or diverticular abscesses.
Diagnosis
One of the most important factors used to determine the clinical suspicion of malignancy of an adnexal mass is the sonographic (ultrasound) appearance of the mass.[2] Indications that the mass is at a higher risk of being malignant include the presence of loculations, nodules, papillary structures, septations, or a size greater than 10 cm.[3][4]
Treatment
Removal of an adnexal mass is sometimes referred to as "adnexectomy".[5]
References
- ↑ "Adnexal Mass". onlinemeded.org. Retrieved 2015-05-27.
- ↑ Roman LD, Muderspach LI, Stein SM, et al. Pelvic examination, tumor marker level, and gray-scale and Doppler sonography in the prediction of pelvic cancer. Obstet Gynecol 1997; 89:493.
- ↑ Curtin JP. Management of the adnexal mass. Gynecol Oncol 1994; 55:S42.
- ↑ Koonings PP, Campbell K, Mishell DR Jr, Grimes DA. Relative frequency of primary ovarian neoplasms: a 10-year review. Obstet Gynecol 1989; 74:921.
- ↑ Magrina JF, Espada M, Munoz R, Noble BN, Kho RM (September 2009). "Robotic adnexectomy compared with laparoscopy for adnexal mass". Obstet Gynecol. 114 (3): 581–4. doi:10.1097/AOG.0b013e3181b05d97. PMID 19701038. S2CID 2165483.
External links
- Adnexal mass entry in the public domain NCI Dictionary of Cancer Terms
- Emedicine overview
This article incorporates public domain material from Dictionary of Cancer Terms. U.S. National Cancer Institute.
