Atypical pulmonary carcinoid tumour
| Atypical pulmonary carcinoid tumour | |
|---|---|
![]() | |
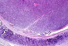
| Atypical pulmonary carcinoid. H&E stain. | |
| Specialty | Oncology |
Atypical pulmonary carcinoid tumour is a subtype of pulmonary carcinoid tumor.[1] It is an uncommon low-grade malignant lung mass that is most often in the central airways of the lung. It is also known as "atypical lung carcinoid tumour", " atypical lung carcinoid" or "moderately differentiated neuroendocrine carcinoma".
It is a more aggressive than typical carcinoid tumors: nodal metastases in 70% vs. 5%. The 5 year survival is 49-69%.
Atypical carcinoid tumors have increased mitotic activity (2-10 per 10 HPF), nuclear pleomorphism or foci of necrosis.
Morphological differential diagnosis

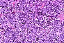
Atypical carcinoid of the lung exhibiting endobronchial growth, increased mitotic activity was seen (2-10 per 10 HPF). H&E stain.
- Typical pulmonary carcinoid tumor
- Typical pulmonary carcinoid lacks comedo-like necrosis, and has < 0.2 mitotic figures/HPF.
References
- ↑ Limaiem, Faten; Tariq, Muhammad Ali; Wallen, Jason M. (2021). "Lung Carcinoid Tumors". StatPearls. StatPearls Publishing. PMID 30725765. Retrieved 26 June 2021.
This article is issued from Wmcloud. The text is licensed under Creative Commons - Attribution - Sharealike. Additional terms may apply for the media files.
