Bizarre parosteal osteochondromatous proliferation
| Bizarre parosteal osteochondromatous proliferation | |
|---|---|
| Other names: Nora lesion or Nora disease (not recommended)[1][2] | |
![]() | |
| Bizarre parosteal osteochondromatous proliferation, middle finger | |
| Specialty | Orthopedics |
| Symptoms | Painless lump in finger or toe[1] |
| Risk factors | Possibly trauma in a minority[1] |
| Diagnostic method | Medical imaging[1] |
| Differential diagnosis | Mainly subungal exostosis[1] |
| Treatment | Surgical excision.[1] |
| Prognosis | Up to 50% recur after surgery[1] |
| Frequency | <5% of cartilage tumors,[3] Males=Females[1] |
Bizarre parosteal osteochondromatous proliferation (BPOP) is a type of non-cancerous bone tumor belonging to the group of cartilaginous tumors.[1][4] It is generally seen in the tubular bones of the hands and feet,[5] where it presents with a rapidly growing 1-3cm painless lump, usually in a finger or toe.[1][2]
BPOP is composed of bone, cartilage and spindle cells.[1] A small number of people have reported previous trauma.[1]
Diagnosis is by medical imaging.[1] Treatment is by surgical excision.[1] Up to 50% recur after surgery.[1]
It occurs more often in the 20s and 30s,[1] and combined with subungal exostosis, accounts for less than 5% of cartilage tumors.[3] Males and females are affected equally.[1] The condition was first described in 1983 by Frederick E. Nora.[5][6]
Signs and symptoms
BPOP generally presents with a rapidly growing 1-3cm painless lump in a finger or toe.[1][2]
Mechanism
It is composed of bone, cartilage and spindle cells.[1] A small number of people have reported previous trauma.[1]
Diagnosis
Medical imaging usually shows a well-defined wide-based bony growth on the surface of bone.[5] It can be pedunculated and irregular, giving it a "bizarre" appearance, and is not connected to underlying bone.[2]
X-ray left foot: Bizarre parosteal osteochondromatous proliferation in 2nd toe
MRI mid-upper arm
MRI mid-arm axial view
X-ray hand, BPOP 2nd metacarpal
X-ray hand, BPOP 2nd metacarpal (side view)
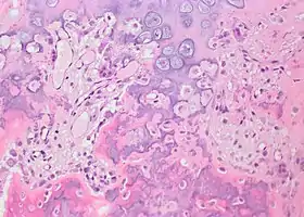
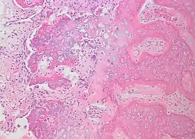
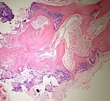
Histopathology
Bone Bizzare Parosteal Osteochondromatous Proliferation
Bone Bizzare Parosteal Osteochondromatous Proliferation
Bone Bizzare Parosteal Osteochondromatous Proliferation
Differential diagnosis
BPOP is distinct from subungal exostosis.[1][5] Granulomatous infection may also appear similar.[2] Other differential diagnoses include:
Treatment
Treatment is by surgical excision.[1]
Outcomes
Bizarre parosteal osteochondromatous proliferations are non-cancerous with no risk of spread.[5] They may invade local tissue and recurrence after surgery can occur in up to 50%.[1][5]
Epidemiology
They are most often seen in people in their 20s and 30s.[1] Combined with subungal exostosis, account for less than 5% of cartilage tumors.[3] Males and females are affected equally.[1][5]
History
Bizarre parosteal osteochondromatous proliferation was first described by Frederick E. Nora in 1983.[5][6] Generally in the US, it has been thought of as a mouthful and hence it is sometimes referred to as Nora's lesion.[7]
Other animals
In 1998 a report of a similar lesion to BPOP was reported in a wallaby.[8]
References
- 1 2 3 4 5 6 7 8 9 10 11 12 13 14 15 16 17 18 19 20 21 22 23 24 25 26 WHO Classification of Tumours Editorial Board, ed. (2020). "Bizarre parosteal osteochondromatous proliferation". Soft Tissue and Bone Tumours: WHO Classification of Tumours. Vol. 3 (5th ed.). Lyon (France): International Agency for Research on Cancer. pp. 348–350. ISBN 978-92-832-4503-2. Archived from the original on 2021-06-13. Retrieved 2021-07-04.
- 1 2 3 4 5 6 Bocklage, Therese J.; Quinn, Robert; Verschraegen, Claire; Schmit, Berndt (2014). "16. Cartilaginous tumours of bones and joints". Bone and Soft Tissue Tumors: A Multidisciplinary Review with Case Presentations. London: JP Medical Ltd. p. 379. ISBN 978-1-907816-22-2. Archived from the original on 2023-01-11. Retrieved 2021-07-05.
- 1 2 3 Engel, Hannes; Herget, Georg W.; Füllgraf, Hannah; Sutter, Reto; Benndorf, Matthias; Bamberg, Fabian; Jungmann, Pia M. (March 2021). "Chondrogenic Bone Tumors: The Importance of Imaging Characteristics". RoFo: Fortschritte Auf Dem Gebiete Der Rontgenstrahlen Und Der Nuklearmedizin. 193 (3): 262–275. doi:10.1055/a-1288-1209. ISSN 1438-9010. PMID 33152784. Archived from the original on 2021-07-09. Retrieved 2021-07-05.
- ↑ "ICD-11 - ICD-11 for Mortality and Morbidity Statistics". icd.who.int. Archived from the original on 1 August 2018. Retrieved 6 July 2021.
- 1 2 3 4 5 6 7 8 9 10 11 12 13 Mahajan, Sumit; Chandra, Rajesh; Mohan Lal, Yash (December 2012). ""Nora lesion" – Bizarre parosteal osteochondromatous proliferation". Journal of Clinical Orthopaedics and Trauma. 3 (2): 119–121. doi:10.1016/j.jcot.2012.07.001. ISSN 0976-5662. PMID 26403451. Archived from the original on 2020-12-11. Retrieved 2021-07-04.
- 1 2 Nora, F. E.; Dahlin, D. C.; Beabout, J. W. (April 1983). "Bizarre parosteal osteochondromatous proliferations of the hands and feet". The American Journal of Surgical Pathology. 7 (3): 245–250. doi:10.1097/00000478-198304000-00003. ISSN 0147-5185. PMID 6837834. Archived from the original on 2021-07-09. Retrieved 2021-07-04.
- ↑ Davies, A. Mark; Sundaram, Murali; James, Steven J. (2009). Imaging of Bone Tumors and Tumor-Like Lesions: Techniques and Applications. Springer Science & Business Media. p. 684. ISBN 978-3-540-77982-7. Archived from the original on 2021-08-28. Retrieved 2021-08-18.
- ↑ Rungsipipat, A.; Yamaguchi, R.; Naganobu, K.; Iwamoto, K.; Uchida, K.; Tateyama, S.; Kurogi, T.; Katayama, N. (1998). "A bone tumour resembling bizarre parosteal osteochondromatous proliferation in a wallaby". Australian Veterinary Journal. 76 (8): 561–564. doi:10.1111/j.1751-0813.1998.tb10218.x. ISSN 1751-0813. PMID 9741726. Archived from the original on 2021-08-18. Retrieved 2021-07-05.



.jpg.webp)

.PNG.webp)

.png.webp)