Citrobacter koseri infection
| Citrobacter koseri | |
|---|---|
| Other names: formerly known as Citrobacter diversus | |
![]() | |
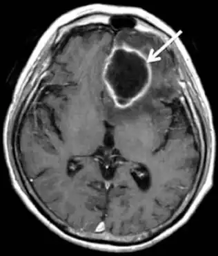
| MRI of brain revealed a mass in left frontal lobe that was ring-enhanced | |
| Specialty | Infectious disease |
Citrobacter koseri infection, is due to a Gram-negative, non-spore-forming bacillus. It is a facultative anaerobe capable of aerobic respiration. It is motile via peritrichous flagella.[1]
It rarely is community-acquired, and mainly occurs as hospital-acquired infections. Infections caused by C. koseri can lead to a range of symptoms, including fever, chills, diarrhea, and abdominal pain. In severe cases, the bacterium can cause sepsis, meningitis, or brain abscesses. Brain abscesses have a high rate of mortality and complications, particularly in neonates. The transmission of C. koseri could be vertical from mother to fetus, and other sources can be horizontal by asymptomatic nursery staff.[2]
Signs and symptoms
Neonates infected with C. koseri usually present with sepsis, meningitis, seizures, apnea, and a bulging fontanelle. No evidence of stiff neck or high-grade fever is present.[3]
Complications
Occasionally, it causes meningitis, but it can cause sepsis and ventriculitis.[3]
Arterial and venous infarctions are possible because of the bacterial infiltration along the main vessel; exudates within the ventricles and ventriculitis may obstruct the ventricular foramina and result in a multicystis hydrocephalus with consequent long-lasting shunting difficulties, and necrotizing meningeoencephalitis with pneumocephalus has been reported.[3]
Cause
| Citrobacter koseri infection | |
|---|---|
| Scientific classification | |
| Domain: | Bacteria |
| Phylum: | Pseudomonadota |
| Class: | Gammaproteobacteria |
| Order: | Enterobacterales |
| Family: | Enterobacteriaceae |
| Genus: | Citrobacter |
| Species: | C. koseri |
| Binomial name | |
| Citrobacter koseri Frederiksen 1970[4] | |
| Synonyms | |
| |
Citrobacter koseri it is a member of the family of Enterobacteriaceae. The members of this family are the part of the normal flora and commonly found in the digestive tracts of humans and animals. C. koseri may act as an opportunistic pathogen in individuals who are immunocompromised.[5]
Mechanism
The pathogenic mechanism is poorly understood. C.koseri may have a unique ability to penetrate, survive, and replicate into vascular endothelial cells and macrophages. Furthermore, it survives in phagolysozomal fusion and replicates within macrophages, which may contribute to the establishment of chronic abscesses.[3][6]
Diagnosis
Early and massive tissue necrosis is a specific feature of C. koseri brain infection. The early stage of the disease predominates in the white matter, causing cerebritis; the later stage is marked with necrotic cavities in multiple locations. The cavities are initially square in shape and not tense, but when pus forms and collects in these cavities, they tend to become more rounded in shape; a persisting cavity leads to septated ventriculitis that may result in multicyctic hydrocephalus.[3]
Early, cerebritis is seen, and multiple large cavities can be seen in the late stage of the disease; abscesses formation, contraction of the cavities, and hydrocephalus due to ventriculitis are observed in the late follow up.[3][6]
Pathology
Macroscopic findings include purulent exudates, opaque leptomeninges (thinning of meninges), pus, and ventriculitis/ ependymitis.
Microbiology
In samples collected from cerebrospinal fluid, C. koseri grows well on an any ordinary medium; they produce unpigmented, colorless mucoid colonies. If incubated for 24 hours in other media such as indole, citrate, and adonitol, C.koseri will be positive, hydrogen sulfide negative in Kligers’ iron agar, negative results in lactose, salicin, and sucrose broth as well.[3][7]
Histology
Citrobacter koseri may be identified in the walls of congested vessels, presence of the cavities resulting from the infection do not develop well-formed fibrotic wall.[3]
Differential diagnosis
The differential diagnosis of C. koseri brain abscesses can be confused with other related diseases, so diagnostic imaging is important to confirm this bacterium. The significant feature of C. koseri is the necrotic cavity which cannot be misidentified as earlier ischemic or hemorrhagic insult or other mass lesions; congential/neonatal tumors are uncommon (choroid plexus papillomas, craniopharyngiomas, teratomas); even when they present, they are different from the inflammatory ring of a cerebral infection. Early cerebritis should not be mistaken for normal, immature white matter, nor for cicatricial leukomalacia.[3][6]
Prevention
The most effective way to reduce transmission of organisms is regular handwashing.[3]
Treatment
A broad spectrum cephalosporin and meropenem are often used because of the good penetration into the central nervous system. If the response to the antibiotic is poor, the surgical aspiration of the collected pus reduces the mass effect and enhances the efficacy of the antibiotics.[3][7][8]
Prognosis
The prognosis of the C. koseri infection is 20 to 30% of neonates die, and 75% of survivors have significant neurologic damage such as complex hydrocephalus, neurologic deficits, mental delay, and epilepsy.[3]
References
- ↑ Ong CL, Beatson SA, Totsika M, Forestier C, McEwan AG, Schembri MA (2010). "Molecular analysis of type 3 fimbrial genes from Escherichia coli, Klebsiella and Citrobacter species". BMC Microbiol. 10: 183. doi:10.1186/1471-2180-10-183. PMC 2900259. PMID 20576143.
- ↑ Greenwood, David; Slack, Richard C. B.; Peutherer, John F.; Barer, Michael R. (2007). Medical Microbiology: A Guide to Microbial Infections: Pathogenesis, Immunity, Laboratory Diagnosis and Control (17th ed.). Elsevier. pp. 1264–6. ISBN 978-0-7020-4009-2.
- 1 2 3 4 5 6 7 8 9 10 11 12 Babyn, Paul S. (2011). "Section I: Neuroradiology: Case 3". Teaching Atlas of Pediatric Imaging. Thieme. pp. 44–7. ISBN 978-1-60406-494-0. Archived from the original on 2023-07-12. Retrieved 2023-07-11.
- 1 2 "Species Citrobacter koseri". LPSN. Archived from the original on 21 April 2023. Retrieved 21 April 2023.
- ↑ Pennington, Kelly; Van Zyl, Martin; Escalante, Patricio (6 October 2016). "Citrobacter koseri Pneumonia as Initial Presentation of Underlying Pulmonary Adenocarcinoma". Clinical Medicine Insights: Case Reports. 9. doi:10.4137/CCRep.S40616. ISSN 1179-5476. PMC 5054941. PMID 27746678. Archived from the original on 25 April 2023. Retrieved 11 July 2023.
- 1 2 3 Doran TI (1999). "The role of Citrobacter in clinical disease of children: review". Clin. Infect. Dis. 28 (2): 384–94. doi:10.1086/515106. PMID 10064257.
- 1 2 Feferbaum R, Diniz EM, Valente M, Giolo CR, Vieira RA, Galvani AL, Ceccon ME, Araujo MC, Krebs VL, Vaz FA (2000). "Brain abscess by Citrobacter diversus in infancy: case report". Arq Neuropsiquiatr. 58 (3A): 736–40. doi:10.1590/s0004-282x2000000400023. PMID 10973119.
- ↑ McPherson C, Gal P, Ransom JL (2008). "Treatment of Citrobacter koseri infection with ciprofloxacin and cefotaxime in a preterm infant". Ann Pharmacother. 42 (7): 1134–8. doi:10.1345/aph.1L008. PMID 18577764. S2CID 12607380.
External links
- "Citrobacter koseri". NCBI Taxonomy Browser. 545. Archived from the original on 2023-04-21. Retrieved 2023-07-11.
- Type strain of Citrobacter koseri at BacDive - the Bacterial Diversity Metadatabase Archived 2016-06-10 at the Wayback Machine
