Pasteurellosis
| Pasteurellosis | |
|---|---|
| Other names: Pasteurella infection | |
![]() | |
| Gram-stained photomicrograph depicting numerous Pasteurella multocida bacteria | |
| Specialty | Infectious diseases |
| Symptoms | Swelling, Erythema, Tenderness[1] |
| Complications | Abscesses, osteomyelitis[2] |
| Types | Subcutaneous tissue disease,pneumonia disease or sepsis |
| Causes | Pasteurella multocida[2] |
| Diagnostic method | PCR[3] |
| Treatment | Co-amoxiclav[2] |
| Frequency | 714 cases (UK 2013)[2] |
Pasteurellosis (or Pasteurella infection[4]) is an infection with a species of the bacterial genus Pasteurella,[5] which is found in humans and other animals.
Pasteurella multocida (subspecies P. m. septica and P. m. multocida) is carried in the mouth and respiratory tract of various animals, including pigs. It is a small, Gram-negative bacillus with bipolar staining by Wayson stain. In animals, it can originate in fulminant septicaemia (chicken cholera), but is also a common commensal.[6][1][2]
Until taxonomic revision in 1999, Mannheimia spp. were classified as Pasteurella spp., and infections by organisms now called Mannheimia spp., as well as by organisms now called Pasteurella spp., were designated as pasteurellosis. The term "pasteurellosis" is often still applied to mannheimiosis, although such usage has declined.[7]
Types
The several forms of the infection are as follows (other locations are possible, such as meningitis, and acute endocarditis, but are very rare):[8][9][1]
- Skin/subcutaneous tissue disease is a septic phlegmon that develops classically in the hand and forearm after a cat bite. (Inflammatory signs are very rapid to develop; in 1 or 2 hours, edema, severe pain, and serosanguineous exudate appear. Fever, moderate or very high, can be seen, along with vomiting, headache, and diarrhea. Lymphangitis is common. Complications are possible, in the form of septic arthritis, osteitis, or evolution to chronicity.)[1]
- Pneumonia disease is also rare and appears in patients with some chronic pulmonary pathology. It usually presents as bilateral consolidating pneumonia, sometimes very severe.
- Sepsis is common in individuals with comorbidities
Signs and symptoms

The clinical presentation is a local wound infection which can become a serious soft tissue infection[2]
This can have the following manifestation:[1]
Complications
Among the possible complications are the following:[2][1]
- Abscesses
- Septic arthritis
- Osteomyelitis
- Bacterimia
- Ocular infection
Cause

Pasteurella multocida is a Gram-negative, nonmotile, penicillin-sensitive coccobacillus of the family Pasteurellaceae.[1]
Strains of the species are currently classified into five serogroups (A, B, D, E, F) based on capsular composition and 16 somatic serovars . [1][10]
P. multocida is the cause of a range of diseases in mammals and birds, including fowl cholera in poultry, atrophic rhinitis in pigs, and bovine hemorrhagic septicemia in cattle and buffalo. It can also cause a zoonotic infection in humans, which typically is a result of bites or scratches from domestic pets. Many mammals and birds harbor it as part of their normal respiratory microbiota.[1][11]
Transmission
The transmition, of Pasteurella multocida, occurs via animal bites or scratches, furthermore the animal can transmit the bacteria without being ill (symptomatic) [2]
Diagnosis
Diagnosis can be made with isolation of Pasteurella multocida in a normally sterile site (blood, pus, or cerebrospinal fluid).[12]
Diagnosis of the bacterium in humans was traditionally based on clinical findings, and culture and serological testing, but false negatives have been a problem due to easy death of P. multocida, and serology cannot differentiate between current infection and previous exposure. The quickest and most accurate method for confirming an active P. multocida infection is molecular detection using polymerase chain reaction.[3][1]
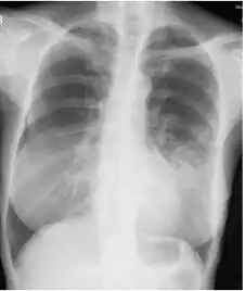
Image indicate bronchodilation, centrilobular granular shadow, and consolidation
Chest radiograph
a)Frontal radiograph of the left knee demonstrates normal post-operative appearance of prosthesis with no prosthetic loosening b,c) computer tomography shows an abscess in front of knee prosthesis caused by Pasteurella multocida
Differential diagnosis
The DDx for the infection that causes Pasteurellosis, is as follows:[1]
- Staphylococcus aureus
- Rabies lyssavirus
- Bartonella henselae
Treatment
As the infection is usually transmitted into humans through animal bites, antibiotics usually treat the infection, but medical attention should be sought if the wound is severely swelling. Pasteurellosis is usually treated with high-dose penicillin if severe. Either tetracycline or chloramphenicol provides an alternative in beta-lactam-intolerant patients, however, it is most important to treat the wound.[12][1]
History
Pasteurella multocida was first found in 1878 in cholera-infected birds. However, it was not isolated until 1880, by Louis Pasteur, in whose honor Pasteurella is named.[13]
In animals

P. multocida causes numerous pathological conditions in domestic animals, it often acts with other infectious agents, such as Mycoplasma species and viruses. Environmental conditions ( housing deficiency, and bad weather) also play a role.[14][1][15]
These diseases are considered caused by P. multocida, alone or associated with other pathogens:
- Shipping fever in sheep [16] ("shipping fever" may also be caused by Mannheimia haemolytica, in the absence of P. multocida,[17][18] and M. haemolytica serovar A1 is known as the most common cause of the disease.[17] The pathologic condition commonly arises where the causative organism becomes established by secondary infection, following a primary bacterial or viral infection, which may occur after stress, e.g. from handling or transport.[18])
- Enzootic pneumonia of sheep [19]
- Fowl cholera (chicken and other domestic poultry and cage birds)[20]
- Enzootic pneumonia and atrophic rhinitis of pigs[21]
- Pasteurellosis of rabbits[22]
- Pasteurellosis is suspected to be the cause of recurrent mass mortality of Saiga antelopes.[23]
See also
- Hemorrhagic septicemia
- Pasteurellaceae
References
- 1 2 3 4 5 6 7 8 9 10 11 12 13 Hasan, Jaan; Hug, Mark (2023). "Pasteurella Multocida". StatPearls. StatPearls Publishing. PMID 32491561. Archived from the original on 27 March 2023. Retrieved 29 September 2023.
- 1 2 3 4 5 6 7 8 "Pasteurellosis: characteristics, diagnosis and management". GOV.UK. Archived from the original on 26 October 2021. Retrieved 31 January 2022.
- 1 2 Miflin, J.K. and Balckall, P.J. (2001) Development of a 23 SrRNA-based PCR assay for the identification of Pasteurella multocida. Lett. Appl. Microbiol. 33: 216-221
- ↑ "Pasteurellosis (Concept Id: C0030636) - MedGen - NCBI". www.ncbi.nlm.nih.gov. Archived from the original on 20 October 2023. Retrieved 28 September 2023.
- ↑ Kuhnert P; Christensen H, eds. (2008). Pasteurellaceae: Biology, Genomics and Molecular Aspects. www.horizonpress.com. Caister Academic Press. ISBN 978-1-904455-34-9. Archived from the original on 2016-08-13. Retrieved 2021-06-02.
- ↑ Hunt Gerardo, S.; Citron, D. M.; Claros, M. C.; Fernandez, H. T.; Goldstein, E. J. C. (2001). "Pasteurella multocida subsp. multocida and P. multocida subsp. septica Differentiation by PCR Fingerprinting and -Glucosidase Activity". Journal of Clinical Microbiology. 39 (7): 2558–2564. doi:10.1128/JCM.39.7.2558-2564.2001. ISSN 0095-1137. PMC 88184. PMID 11427568.
- ↑ Angen Ø, Mutters R, Caugant DA, Olsen JE, Bisgaard M (1999). "Taxonomic relationships of the [Pasteurella] haemolytica complex as evaluated by DNA-DNA hybridizations and 16S rRNA sequencing with proposal of Mannheimia haemolytica gen. nov., comb. nov., Mannheimia granulomatis comb. nov., Mannheimia glucosida sp. nov., Mannheimia ruminalis sp. nov. and Mannheimia varigena sp. nov". Int. J. Syst. Bacteriol. 49 (Pt 1): 67–86. doi:10.1099/00207713-49-1-67. PMID 10028248.
- ↑ Colville, JOANN L.; Berryhill, DAVID L. (1 January 2007). "PASTEURELLOSIS". Handbook of Zoonoses. Mosby. pp. 127–129. ISBN 978-0-323-04478-3.
- ↑ Lloret, Albert; Egberink, Herman; Addie, Diane; Belák, Sándor; Boucraut-Baralon, Corine; Frymus, Tadeusz; Gruffydd-Jones, Tim; Hartmann, Katrin; Hosie, Margaret J; Lutz, Hans; Marsilio, Fulvio; Möstl, Karin; Pennisi, Maria Grazia; Radford, Alan D; Thiry, Etienne; Truyen, Uwe; Horzinek, Marian C (2013). "Pasteurella Multocida Infection in Cats" (PDF). Journal of Feline Medicine and Surgery. 15 (7): 570–572. doi:10.1177/1098612X13489215. ISSN 1098-612X. PMID 23813817. S2CID 10682140. Archived (PDF) from the original on 2017-09-22. Retrieved 2021-06-02.
- ↑ Peng, Zhong; Wang, Xiangru; Zhou, Rui; Chen, Huanchun; Wilson, Brenda A.; Wu, Bin (20 November 2019). "Pasteurella multocida: Genotypes and Genomics". Microbiology and Molecular Biology Reviews: MMBR. 83 (4): e00014–19. doi:10.1128/MMBR.00014-19. ISSN 1098-5557. PMC 6759666. PMID 31484691.
- ↑ Hubbert, W T; Rosen, M N (June 1970). "Pasteurella multocida infections. II. Pasteurella multocida infection in man unrelated to animal bite". American Journal of Public Health and the Nations Health. 60 (6): 1109–1117. doi:10.2105/AJPH.60.6.1109. Archived from the original on 2023-10-20. Retrieved 2023-10-09.
- 1 2 Gautier-Lerestif, A.-L.; Desbordes, L.; Gaillot, O.; Avril, J.-L. (2003). "[Human pasteurellosis: diagnosis, treatment and precautions]". Annales de Biologie Clinique. 61 (1): 15–21. ISSN 0003-3898. PMID 12604382. Archived from the original on 2023-10-20. Retrieved 2023-09-29.
- ↑ Pasteur, Louis (2011-05-13). "The Attenuation of the Causal Agent of Fowl Cholera". Archived from the original on 2021-11-19. Retrieved 2023-03-22.
- ↑ Wilson, Brenda A.; Ho, Mengfei (2013). "Pasteurella multocida: from Zoonosis to Cellular Microbiology". Clinical Microbiology Reviews. 26 (3): 631–655. doi:10.1128/CMR.00024-13. ISSN 0893-8512. PMC 3719492. PMID 23824375.
- ↑ Hashem, Youserya M; Mousa, Walid S; Abdeen, Eman E; Abdelkhalek, Hanaa M; Nooruzzaman, Mohammed; El-Askary, Ahmad; Ismail, Khadiga A; Megahed, Ayman M; Abdeen, Ahmed; Soliman, Enas A; Wareth, Gamal (1 January 2022). "Prevalence and Molecular Characterization of Mycoplasma Species, Pasteurella multocida, and Staphylococcus aureus Isolated from Calves with Respiratory Manifestations". Animals. 12 (3): 312. doi:10.3390/ani12030312. ISSN 2076-2615. Archived from the original on 20 October 2023. Retrieved 8 October 2023.
- ↑ "Pasteurellosis of Sheep and Goats - Generalized Conditions". MSD Veterinary Manual. Archived from the original on 10 June 2023. Retrieved 6 October 2023.
- 1 2 Zecchinon L, Fett T, Desmecht D (2005). "How Mannheimia haemolytica defeats host defence through a kiss of death mechanism". Vet. Res. 36 (2): 133–56. doi:10.1051/vetres:2004065. PMID 15720968.
- 1 2 Brogden KA, Lehmkuhl HD, Cutlip RC (1998). "Pasteurella haemolytica complicated respiratory infections in sheep and goats". Vet. Res. 29 (3–4): 233–54. PMID 9689740.
- ↑ Montgomerie, R. F.; Bosworth, T. J.; Glover, R. E. (1 January 1938). "Enzootic pneumonia in sheep". Journal of Comparative Pathology and Therapeutics. 51: 87–107. doi:10.1016/S0368-1742(38)80010-2. ISSN 0368-1742.
- ↑ "Fowl Cholera - Poultry". Merck Veterinary Manual. Archived from the original on 12 May 2023. Retrieved 6 October 2023.
- ↑ "Atrophic Rhinitis in Pigs - Respiratory System". Merck Veterinary Manual. Archived from the original on 30 March 2023. Retrieved 6 October 2023.
- ↑ "Diagnosis | Pasteurellosis". Lab Animal. 37 (1): 18–19. January 2008. doi:10.1038/laban0108-18. ISSN 1548-4475. Archived from the original on 20 October 2023. Retrieved 6 October 2023.
- ↑ Saigas on the brink: Multidisciplinary analysis of the factors influencing mass mortality events. Richard A. Kock,, Mukhit Orynbayev, Sarah Robinson, Steffen Zuther, Navinder J. Singh, Wendy Beauvais, Eric R. Morgan, Aslan Kerimbayev, Sergei Khomenko, Henny M. Martineau, Rashida Rystaeva, Zamira Omarova, Sara Wolfs, Florent Hawotte, Julien Radoux and Eleanor J. Milner-Gulland. Science Advances 17 Jan 2018: Vol. 4, no. 1, eaao2314 DOI: 10.1126/sciadv.aao2314
External links
| Classification |
|---|
