Crescentic glomerulonephritis

Crescentic glomerulonephritis
Other names: Rapidly progressive glomerulonephritis (RPGN)[1]
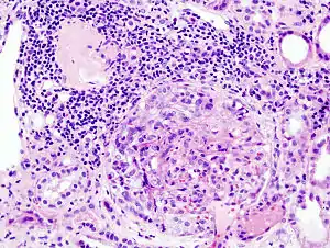
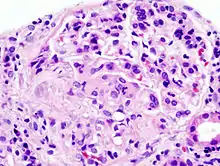
Histopathological image of crescentic glomerulonephritis in a person with MPO-ANCA positive rapid progressive glomerulonephritis. Hematoxylin & eosin stain.
SpecialtyNephrology
SymptomsBloody urine, foamy urine, swelling, fever, abdominal pain[2][3]
ComplicationsKidney failure[3]
Usual onset20 to 50 years old[3]
CausesAnti-glomerular basement membrane disease, granulomatosis with polyangiitis, microscopic polyangiitis, following infection, lupus nephritis, IgA nephropathy[3]
Diagnostic methodBlood tests, urine tests, and kidney biopsy[2]
Differential diagnosisOther causes of acute kidney injury, nephrotic syndrome[2]
TreatmentCorticosteroids, plasmapheresis, dialysis[2][3]
PrognosisBetter with early treatment[3]
FrequencyRare[2]

Crescentic glomerulonephritis, previously known as rapidly progressive glomerulonephritis, is combination of a rapid decrease in kidney function, blood and protein in the urine, and specific findings on kidney biopsy.[2] Other symptoms may include tiredness, joint pain, fever, swelling, and abdominal pain.[3] Without treatment, kidney failure occurs within weeks to months.[3]

It may occur as a result of anti-glomerular basement membrane disease, granulomatosis with polyangiitis, microscopic polyangiitis, lupus nephritis, IgA nephropathy, and following infection.[3] Diagnosis is based on blood tests, urine tests, and a kidney biopsy.[2] The biopsy show crescent-shaped scaring in over half the glomeruli.[3]

Initial treatment is generally with intravenous methylprednisolone.[2] Further treatment may depend on the underlying cause.[2] Other medications that may be used include cyclophosphamide or rituximab.[3] Plasmapheresis may be considered if their is lung involvement.[2] Kidney failure may be treated with dialysis or kidney transplant.[3]

Crescentic glomerulonephritis is rare, occurring in about 2 to 7 people per million per year.[2] Those affected are generally between 20 to 50 years of age.[3] Males and females are affected equally frequently.[2] White people are more commonly affected.[2] The underlying appearance on kidney biopsy was first described in 1914 while the current name came into use in 1942.[4]

Signs and symptoms

Most types of crescentic glomerulonephritis are characterized by severe and rapid loss of kidney function with marked hematuria; red blood cell casts in the urine; and proteinuria sometimes exceeding three grams in twenty-four hours, a range associated with nephrotic syndrome. Some patients also experience hypertension and edema. Severe disease is characterized by pronounced oliguria or anuria, which portends a poor prognosis.[5]

Pathophysiology

mmunofluorescence pattern produced by binding of serum from a peron with microscopic polyangiitis to ethanol-fixed neutrophils

It is thought that antineutrophil cytoplasmic antibodies (ANCA) interact with antigens in the cytoplasm of neutrophils to cause an early degranulation, triggering the release of lytic enzymes at the site of injury[6] and leading to the formation of glomerular crescents that consist primarily of parietal epithelial cells from Bowman's capsule and in some cases podocytes.[7]

Diagnosis

Serum analysis often aids in the diagnosis of a specific underlying disease. The presence of anti-glomerular basement membrane (GBM) antibodies suggests type I RPGN; antinuclear antibodies (ANA) may support a diagnosis of systemic lupus erythematosus and type II RPGN; and type III and idiopathic RPGN are frequently associated with anti-neutrophil cytoplasmic antibodies (ANCA)-positive serum.[5]

Impaired kidney function in an individual who has had the condition for fewer than three months is characteristic of RPGN. An ultrasonographic examination of the abdomen should be obtained. Although the presence of sediment in the urine on examination can indicate proliferative glomerulonephritis, many cases of rapidly progressive glomerulonephritis need a renal biopsy to make a diagnosis.[8]

Classification

Crescentic glomerulonephritis

RPGN can be classified into three types, based upon the immunofluorescence patterns:[9]

Type I

Accounting for approximately 20% of RPGN, type I RPGN, also called anti-GBM glomerulonephritis, is characterized by the presence of autoantibodies directed against The antibodies are directed against type IV collagen (specifically, the noncollagenous region of its α3 chain)[5] in the glomerular basement membrane (GBM). Some cases are associated with antibodies directed against the basement membrane of lung alveoli, producing Goodpasture syndrome. The majority of type I disease, however, features anti-GBM antibodies alone; these cases are considered idiopathic.[5]

Type II

Characterized by deposition of immune complexes in glomerular tissues, type II RPGN accounts for 25% of cases. Any immune complex disease—including systemic lupus erythematosus, acute proliferative glomerulonephritis, Henoch–Schönlein purpura, and IgA nephropathy—that involves the glomerulus may progress to RPGN if severe enough.[5]

Type III

Also known as pauci-immune RPGN, type III RPGN accounts for 55% of RPGN and features neither immune complex deposition nor anti-GBM antibodies. Instead, the glomeruli are damaged in an undefined manner, perhaps through the activation of neutrophils in response to ANCA. Type III RPGN may be isolated to the glomerulus (primary, or idiopathic) or associated with a systemic disease (secondary). In most cases of the latter, the systemic disease is an ANCA-associated vasculitis such as granulomatosis with polyangiitis, microscopic polyangiitis or eosinophilic granulomatosis with polyangiitis.[5]

Treatment

Therapy consists of a combination of rituximab,[10] corticosteroids, and cyclophosphamide, with a substitution of azathioprine for cyclophosphamide after a ninety-day initial period being another option.[10] When remission is achieved, immunosuppressants are still used,[11] usually corticosteroids with azathioprine or rituximab infusions.[11]

Epidemiology

The incidence rate of rapidly progressive glomerulonephritis is approximately 3.9 individuals per million.[12]

References

  1. "Orphanet: OBSOLETE: Rapidly progressive glomerulonephritis". www.orpha.net. Archived from the original on 3 May 2020. Retrieved 25 January 2021.
  2. 1 2 3 4 5 6 7 8 9 10 11 12 13 Naik, RH; Shawar, SH (January 2020). "Rapidly Progressive Glomerulonephritis". PMID 32491362. {{cite journal}}: Cite journal requires |journal= (help)
  3. 1 2 3 4 5 6 7 8 9 10 11 12 13 "Rapidly Progressive Glomerulonephritis (RPGN) - Genitourinary Disorders". Merck Manuals Professional Edition. Archived from the original on 25 November 2020. Retrieved 25 January 2021.
  4. Visveswaran, kasi (2009). Essentials of Nephrology, 2/e. BI Publications Pvt Ltd. p. 98. ISBN 978-81-7225-323-3. Archived from the original on 2021-08-28. Retrieved 2021-01-25.
  5. 1 2 3 4 5 6 Cotran, Ramzi S.; Kumar, Vinay; Fausto, Nelson; Nelso Fausto; Robbins, Stanley L.; Abbas, Abul K. (2005). Robbins and Cotran pathologic basis of disease. St. Louis, MO: Elsevier Saunders. pp. 976–8. ISBN 978-0-7216-0187-8.
  6. "Rapidly Progressive Glomerulonephritis: Background, Pathophysiology, Epidemiology". 2018-04-05. Archived from the original on 2015-10-26. Retrieved 2015-10-31. {{cite journal}}: Cite journal requires |journal= (help)
  7. Morita T, Suzuki Y, Churg J (1973). "Structure and development of the glomerular crescent". Am J Pathol. 72 (3): 349–68. PMC 1904036. PMID 4125698. Archived from the original on 2021-08-28. Retrieved 2022-03-06.{{cite journal}}: CS1 maint: multiple names: authors list (link)
  8. Bhowmik, Dipankar (January 2011). "Clinical Approach to Rapidly Progressive Renal Failure" (PDF). Journal of the Association of Physicians of India. 59: 38–41. PMID 21751663. Archived from the original (PDF) on 18 April 2016. Retrieved 31 October 2015.
  9. Ghosh, Amit K. (2008). Mayo Clinic Internal Medicine Review: Eighth Edition (Mayo Clinic Internal Medicine Review). Informa Healthcare. p. 694. ISBN 978-1-4200-8478-8.
  10. 1 2 Greenhall, George H.B.; Salama, Alan D. (2015). "What is new in the management of rapidly progressive glomerulonephritis?". Clinical Kidney Journal. 8 (2): 143–150. doi:10.1093/ckj/sfv008. ISSN 2048-8505. PMC 4370308. PMID 25815169.
  11. 1 2 Jennette, J. Charles; Nachman, Patrick H. (2017-10-06). "ANCA Glomerulonephritis and Vasculitis". Clinical Journal of the American Society of Nephrology. 12 (10): 1680–1691. doi:10.2215/CJN.02500317. ISSN 1555-9041. PMC 5628710. PMID 28842398. Archived from the original on 2020-08-21. Retrieved 2020-04-04.
  12. Hedger, Neil; Stevens, Judith; Drey, Nick; Walker, Sarah; Roderick, Paul (2000-10-01). "Incidence and outcome of pauci‐immune rapidly progressive glomerulonephritis in Wessex, UK: a 10‐year retrospective study". Nephrology Dialysis Transplantation. 15 (10): 1593–1599. doi:10.1093/ndt/15.10.1593. ISSN 0931-0509. PMID 11007827. Archived from the original on 2021-08-28. Retrieved 2015-10-31.

Further reading

Classification
External resources
This article is issued from Wmcloud. The text is licensed under Creative Commons - Attribution - Sharealike. Additional terms may apply for the media files.