Subependymoma
| Subependymoma | |
|---|---|
![]() | |
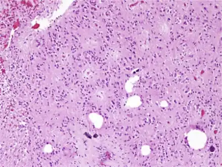
| Micrograph of a subependymoma showing the characteristic clustering of nuclei. H&E stain. | |
| Specialty | Neoplasms, Neuro-oncology |
A subependymoma is a type of brain tumor; specifically, it is a rare form of ependymal tumor.[1] They are usually in middle aged people. Earlier, they were called subependymal astrocytomas.[2]
The prognosis for a subependymoma is better than for most ependymal tumors,[3] and it is considered a grade I tumor in the World Health Organization (WHO) classification.
They are classically found within the fourth ventricle, typically have a well demarcated interface to normal tissue and do not usually extend into the brain parenchyma, like ependymomas often do.[4]
Symptoms and signs
Patients are often asymptomatic, and are incidentally diagnosed. Larger tumours are often with increased intracranial pressure.[2]
Pathology
These tumours are small, no more than two centimeters across, coming from the ependyma. The best way to distinguish it from a subependymal giant cell astrocytoma is the size.[2]
Diagnosis
Characteristic clusters of nuclei in a dense fibrillary background suggestive of subependymoma
Subependymomas of the fourth ventricle, extending into the cerebellopontine angle via the foramen of Luschka, right side of illustration.
The diagnosis is based on tissue, e.g. a biopsy. Histologically subependymomas consistent of microcystic spaces and bland appearing cells without appreciable nuclear atypia or mitoses. The nuclei tend to form clusters.
On a CT, it often shows a less dense to equally dense mass. If it is big, it may have parts that are cystic or calcific.[2] In 50-60% of cases, the tumor is in the fourth ventricle, while the second most common (30-40% of cases) location is the side ventricles. It is rare for it to be in the third ventricle or the central canal of the spinal cord.[2]
Treatment
Asymptomatic cases may only need watchful waiting. If symptomatic, it can be surgically removed, and partial removal also carries an excellent prognosis.[2]
Prognosis
The outlook of a cure is extremely favorable.[2]
References
- ↑ Orakcioglu B, Schramm P, Kohlhof P, Aschoff A, Unterberg A, Halatsch ME (January 2009). "Characteristics of thoracolumbar intramedullary subependymomas". Journal of Neurosurgery. Spine. 10 (1): 54–59. doi:10.3171/2008.10.SPI08311. PMID 19119934.
- 1 2 3 4 5 6 7 Gaillard, Frank. "Subependymoma | Radiology Reference Article | Radiopaedia.org". radiopaedia.org. Archived from the original on 2018-04-16. Retrieved 2018-04-15.
- ↑ Prayson RA, Suh JH (April 1999). "Subependymomas: clinicopathologic study of 14 tumors, including comparative MIB-1 immunohistochemical analysis with other ependymal neoplasms". Archives of Pathology & Laboratory Medicine. 123 (4): 306–309. doi:10.5858/1999-123-0306-S. PMID 10320142.
- ↑ Hoeffel C, Boukobza M, Polivka M, Lot G, Guichard JP, Lafitte F, et al. (1995). "MR manifestations of subependymomas". AJNR. American Journal of Neuroradiology. 16 (10): 2121–2129. PMID 8585504. Archived from the original on 2009-07-18. Retrieved 2021-12-28.
External links
| Classification |
|
|---|---|
| External resources |
|
