Pituicytoma
| Pituicytoma | |
|---|---|
![]() | |
| Biopsy specimen of a pituicytoma of the posterior pituitary gland (H&E stain, x200 magnification) | |
Pituicytoma is a rare brain tumor. It grows at the base of the brain from the pituitary gland. This tumor is thought to be derived from the parenchymal cells of the posterior lobe of the pituitary gland, called pituicytes. Some researchers[1] believe that they arise from the folliculostellate cells in the anterior lobe of the pituitary. As such, it is a low-grade glioma. It occurs in adults and symptoms include visual disturbance and endocrine dysfunction. They are often mistaken for pituitary adenomas which have a similar presentation and occur in the same location. The treatment consists of surgical resection, which is curative in most cases.[2]

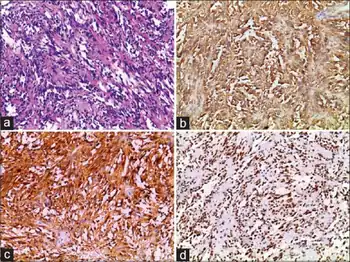
a-d) Histological and immunophenotypic features of pituicytoma
References
- ↑ Cenacchi G, Giovenali P, Castrioto C, Giangaspero F (July 2001). "Pituicytoma: ultrastructural evidence of a possible origin from folliculo-stellate cells of the adenohypophysis". Ultrastructural Pathology. 25 (4): 309–312. doi:10.1080/019131201753136331. PMID 11577776.
- ↑ Feng M, Carmichael JD, Bonert V, Bannykh S, Mamelak AN (October 2014). "Surgical management of pituicytomas: case series and comprehensive literature review". Pituitary. 17 (5): 399–413. doi:10.1007/s11102-013-0515-z. PMID 24037647.
Further reading
- Brat D, Scheithauer B, Staugaitis S, Holtzman N, Morgello S, Burger P (2000). "Pituicytoma: A distinctive low grade glioma of the neurohypophysis". Am J Surg Pathol. 24 (3): 362–368. doi:10.1097/00000478-200003000-00004. PMID 10716149.
- Cenacchi G, Giovenali P, Castrioto C, Giangaspero F (2001). "Pituicytoma: Ultrastructural evidence of a possible origin from folliculo-stellate cells of the adenohypophysis". Ultrastruct Pathol. 25 (4): 309–312. doi:10.1080/019131201753136331. PMID 11577776.
- Secci F, Merciadri P, Criminelli Rossi D, D'Andrea A, Zona G (2012). "Pituicytomas: radiological findings, clinical behaviour and surgical management". Acta Neurochirurgica. 154 (4): 649–657. doi:10.1007/s00701-011-1235-7. PMID 22120541.
- Danila DC, Zhang X, Zhou Y, Dickerson GR, Fletcher JA, Hedley-Whyte ET, Selig MK, Johnson SR, Klibanski A (2000). "A human pituitary tumor-derived folliculo-stellate cell line". J Clin Endocrinol Metab. 85 (3): 1180–1187. PMID 10720059.
- Figarella-Branger D, Dufour H, Fernandez C, Bouvier-Labit C, Grisoli F, Pellissier JF (2002). "Pituicytomas, a mis-diagnosed benign tumor of the neurohypophysis: Report of three cases". Acta Neuropathol. 104 (3): 313–319. doi:10.1007/s00401-002-0557-1. PMID 12172918.
- Hurley T, D'Angelo C, Clasen R, Wilkinson S, Passavoy R (1994). "Magnetic resonance imaging and pathological analysis of a pituicytoma: Case report". Neurosurgery. 35 (2): 314–317. doi:10.1097/00006123-199408000-00021. PMID 7969842.
- Inoue K, Couch EF, Takano K, Ogawa S (1999). "The structure and function of folliculo-stellate cells in the anterior pituitary gland". Arch Histol Cytol. 62 (3): 205–218. doi:10.1679/aohc.62.205. PMID 10495875.
External links
| Classification | |
|---|---|
| External resources |
|
This article is issued from Wmcloud. The text is licensed under Creative Commons - Attribution - Sharealike. Additional terms may apply for the media files.
