Pineoblastoma
| Pineoblastoma | |
|---|---|
![]() | |
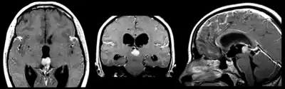
| Pineoblastoma localized predominantly in posterior part of the third ventricle | |
Pineoblastoma is a malignant tumor of the pineal gland. A pineoblastoma is a supratentorial midline primitive neuroectodermal tumor.[1][2]
Pineoblastoma may occur in patients with hereditary uni- or bilateral retinoblastoma. When retinoblastoma patients present with pineoblastoma this is characterized as "trilateral retinoblastoma".[3] Up to 5% of patients with hereditary retinoblastoma are at risk of developing trilateral retinoblastoma.[4] Prognosis of patients with trilateral retinoblastoma is dismal, only a few patients have survived more than 5 years after diagnosis; all survivors were diagnosed with small tumors in a subclinical stage.[5] Recent advances in (high-dose) chemotherapy treatment regimens and early detection have improved survival of patients with trilateral retinoblastoma to up to 50%.[6]
References
- ↑ Mayo Clinic Staff. "Brain Tumor: Pineoblastoma". Archived from the original on 18 April 2022. Retrieved 18 April 2022.
- ↑ "Brain Tumor: Pineoblastoma". Mayo Clinic.org. Archived from the original on 2022-05-09. Retrieved 2022-05-08.
- ↑ Provenzale JM, Weber AL, Klintworth GK, McLendon RE (January 1995). "Radiologic-pathologic correlation. Bilateral retinoblastoma with coexistent pineoblastoma (trilateral retinoblastoma)". AJNR. American Journal of Neuroradiology. 16 (1): 157–65. PMID 7900586. Archived from the original on 2022-10-06. Retrieved 2022-05-08.
- ↑ de Jong MC, Kors WA, de Graaf P, Castelijns JA, Moll AC, Kivelä T (December 2015). "The Incidence of Trilateral Retinoblastoma: A Systematic Review and Meta-Analysis". American Journal of Ophthalmology. 160 (6): 1116–1126.e5. doi:10.1016/j.ajo.2015.09.009. hdl:10138/223832. PMID 26374932.
- ↑ Kivelä T (June 1999). "Trilateral retinoblastoma: a meta-analysis of hereditary retinoblastoma associated with primary ectopic intracranial retinoblastoma". Journal of Clinical Oncology. 17 (6): 1829–37. doi:10.1200/JCO.1999.17.6.1829. PMID 10561222.
- ↑ de Jong MC, Kors WA, de Graaf P, Castelijns JA, Kivelä T, Moll AC (September 2014). "Trilateral retinoblastoma: a systematic review and meta-analysis". The Lancet. Oncology. 15 (10): 1157–67. doi:10.1016/s1470-2045(14)70336-5. PMID 25126964.
External links
| Classification |
|---|
Template:Oncology-stub
