Squamous-cell thyroid carcinoma
| Squamous-cell thyroid carcinoma | |
|---|---|
| Other names: SCTC | |
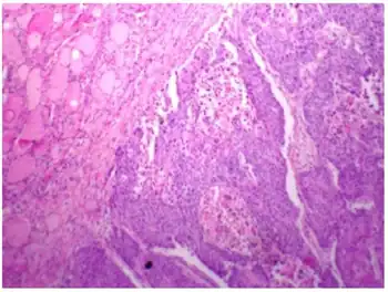
![]() | |
| Micrograph of squamous-cell carcinoma (H&E stain) | |
| Specialty | Oncology |
Squamous-cell thyroid carcinoma is rare malignant neoplasm of thyroid gland which shows tumor cells with distinct squamous differentiation. The incidence of SCTC is less than 1% out of thyroid malignancies.[1]
Signs and symptoms
The clinical presentation of Squamous cell thyroid carcinoma is as follows:[2]
- Dysphagia
- Night sweats
- Local pain in neck
Pathophysiology
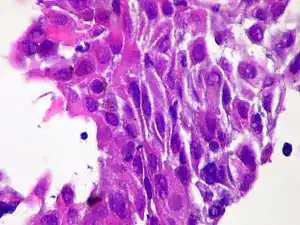
Squamous epithelial cells are not found in normal thyroid, thus the origin of SCTC is not clear. However, it might be a derived from the embryonic remnants such as thyroglossal duct or branchial clefts. Often SCTC is diagnosed in one of the thyroid lobes, but not in the pyramidal lobe. Another possible way of SCTC development can be through the squamous metaplasia of cells. However, that theory is also controversial, since the Hashimoto's thyroiditis and chronic lymphocytic thyroiditis (neoplasms to be showed squamous metaplasia) are not associated with SCTC. Primary STCT is usually diagnosed in both lobes of thyroid gland. The histopathology of STCT shows a squamous differentiation of tumor cells.
Diagnosis

The SCTC is biologically aggressive malignant neoplasm which is associated with rapid growth of neck mass followed by infiltration of thyroid-adjacent structures.
FNAC
Ultrasound-guided FNAC should be performed for verification of SCTC.
Radiological examination
There are no specific radiological tests for SCTC verification. However these tests might be useful for identification of tumor borders and in planning of surgery.
Markers
Immunohistochemistry is performed as additional test. The strong positive expression of cytokeratin 19 was shown in primary SCTC, and negative in metastatic SCTC.
Treatment
Thyroidectomy and neck dissection show good results in early stages of SCTC. However, due to highly aggressive phenotype, surgical treatment is not always possible. The SCTC is a radioiodine-refractory tumor. Radiotherapy might be effective in certain cases, resulting in relatively better survival rate and quality of life. Vincristine, Adriamycin, and bleomycin are used for adjuvant chemotherapy, but their effects are not good enough according to published series.
Prognosis
SCTC exhibits a highly aggressive phenotype, thus prognosis of that malignancy is extremely poor. The overall survival is less than 1 year in most of cases.[3]
References
- ↑ MI Syed; M Stewart; S Syed; S Dahill; C Adams; DR Mclellan; LJ Clark (2011). "Squamous cell carcinoma of the thyroid gland: primary or secondary disease?". The Journal of Laryngology & Otology. 125 (1): 3–9. doi:10.1017/S0022215110002070. PMID 20950510.
- ↑ Wartofsky, Leonard; Nostrand, Douglas Van (19 September 2016). Thyroid Cancer: A Comprehensive Guide to Clinical Management. Springer. p. 827. ISBN 978-1-4939-3314-3. Retrieved 6 October 2022.
- ↑ Booya F, Sebo TJ, Kasperbauer JL, Fatourechi V (2006). "Primary squamous cell carcinoma of the thyroid: report of ten cases". Thyroid. 16 (1): 89–93. doi:10.1089/thy.2006.16.89. PMID 16487020.
External links
| Classification |
|---|
