Warthin tumor
| Warthin tumor | |
|---|---|
| Other names: Papillary cystadenoma lymphomatosum, Warthin tumour, monomorphic adenoma, adenolymphoma, cystadenolymphoma | |
![]() | |
| This Warthin's tumor presented as a parotid mass in a middle-aged male, who underwent superficial parotidectomy. The tumor, at the right of the image, is well-demarcated from the adjacent parotid tissue and tends to shell out from it. | |
| Specialty | ENT surgery |
| Symptoms | Round, painless, slowly growing mass in the parotid gland[1] |
| Complications | Facial nerve palsy, cancer[1][2] |
| Usual onset | 60s and 70s[1] |
| Types | Epithelial predominance, mixed, lymphoid predominance[1] |
| Causes | Unknown[1] |
| Risk factors | Epstein Barr virus, tobacco, autoimmune diseases, ionizing radiation, chronic inflammation[1] |
| Diagnostic method | Biopsy[2] |
| Differential diagnosis | Lymph node metastases, sebaceous lymphadenoma, cystadenoma[1] |
| Treatment | Surgery[1] |
| Prognosis | Good[1] |
| Frequency | 2 to 15% of parotid tumors[1] |
Warthin tumor, also known as papillary cystadenoma lymphomatosum, is a non-cancerous tumor of the salivary glands.[1] It generally presents as a round, painless, and slowly growing mass.[1] It typically occurs in the parotid gland though may rarely occur in the mouth, nose, or eyelids.[1] Complications may include facial nerve palsy, and in less than 1% of cases it may become cancerous.[1][2]
The cause is unknown.[1] Risk factors may include Epstein Barr virus infection, tobacco, autoimmune diseases, ionizing radiation, and chronic inflammation.[1] Diagnosis is by tissue biopsy.[2] Treatment is by surgical removal.[1]
Warthin tumor represents about 2% to 15% of parotid tumors.[1] It occurs most commonly in peoples 60s and 70s.[1] It was first described in 1895 by Hildebrand and was subsequently named after pathologist Aldred Scott Warthin, who described two cases in 1929.[1][3]
Signs and symptoms

Warthin tumor primarily affects older individuals (age 60–70 years). There is a slight male predilection according to recent studies. The tumor is slow growing, painless, and usually appears in the tail of the parotid gland near the angle of the mandible. In 5–14% of cases, Warthin's tumor is bilateral, but the two masses usually are at different times. Warthin's tumor is highly unlikely to become malignant.
Locations
The gland most likely affected is the parotid gland. In fact, it is the only tumor virtually restricted to the parotid gland. Though much less likely to occur than pleomorphic adenoma, Warthin's tumor is the second most common benign parotid tumor.
Cause
Its cause is unknown, but there is a strong association with cigarette smoking. Smokers are at 8 times greater risk of developing Warthin's tumor than the general population.[4]
Diagnosis
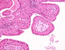
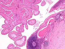
The appearance of this tumor under the microscope is unique. There are cystic spaces surrounded by two uniform rows of epithelial cells with centrally placed pyknotic nuclei. The cystic spaces have epithelium referred to as papillary infoldings that protrude into them. Additionally, the epithelium has lymphoid stroma with germinal center formation.
The differential diagnosis includes sebaceous lymphadenoma and oncocytoma.
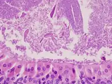
Low magnification micrograph of a Warthin tumor arising from the parotid gland.
Histopathology of Warthin tumor in the parotid gland. H&E stain. (Fig 1)
Histopathology of Warthin tumor in the parotid gland. Another view of Fig 1
Histopathology of Warthin tumor in the parotid gland. Higher magnification of a Fig 1
Intermediate magnification micrograph of a Warthin tumor.
High magnification micrograph of a Warthin tumor showing the characteristic bilayered epithelium.
Treatment
Most of these tumors are treated with surgical removal.[1] It generally dose not recur.[1]
History
It was first described in 1895 by Hildebrand and was subsequently named after pathologist Aldred Scott Warthin, who described two cases in 1929.[1]
See also
References
- 1 2 3 4 5 6 7 8 9 10 11 12 13 14 15 16 17 18 19 20 21 22 23 Limaiem, F; Jain, P (January 2020). "Warthin Tumor". PMID 32491572.
{{cite journal}}: Cite journal requires|journal=(help) - 1 2 3 4 "Warthin tumor". rarediseases.info.nih.gov. Genetic and Rare Diseases Information Center (GARD) – an NCATS Program. Archived from the original on 22 March 2021. Retrieved 13 February 2021.
- ↑ Witt, Robert L., ed. (2005). "Chapter 9 "Benign tumors, cysts, and tumor-like conditions of the salivary glands". Salivary Gland Diseases: Surgical and Medical Management. New York: Thieme Medical Publishers. p. 123. ISBN 1-58890-414-8. Archived from the original on 2021-10-17. Retrieved 2022-03-14.
- ↑ Kumar V, Abbas AK, Fausto N (2005). Robbins and Cotran pathologic basis of disease (7th ed.). St. Louis, MO: Elsevier Saunders. ISBN 0-7216-0187-1.
External links
| Classification | |
|---|---|
| External resources |
